Intestino delgado y colon

0.0(0)
studied byStudied by 5 people
full-widthCall with Kai
GameKnowt Play
learnLearn
examPractice Test
spaced repetitionSpaced Repetition
heart puzzleMatch
flashcardsFlashcards
Card Sorting

1/61

encourage image

There's no tags or description

Looks like no tags are added yet.

Study Analytics
Name
Mastery
Learn
Test
Matching
Spaced

No study sessions yet.

62 Terms

1
New cards
term image

Divertículo de Meckel

es verdadero

2
New cards
term image

Divertículo de Meckel

es verdadero

3
New cards
term image

Enfermedad de Hirschsprung

4
New cards
term image

Enfermedad de Hirschsprung

5
New cards
term image

Enfermedad de Hirschsprung

6
New cards
term image

Adherencia

7
New cards
term image

Intususcepción

8
New cards
term image

Intususcepción

9
New cards
term image

Vólvulo

10
New cards
term image

Enfermedad isquémica intestinal

11
New cards
term image

Enfermedad isquémica intestinal

12
New cards
term image

Enfermedad isquémica intestinal

13
New cards
term image

Enfermedad isquémica intestinal

Mucosa intestinal que pone de manifiesto necrosis e hiperemia

14
New cards
term image

Enfermedad isquémica intestinal

Atrofia y desprendimiento del epitelio superficial

15
New cards
term image

Enfermedad celíaca

Pérdida de vellosidades o la atrofia vellosa total con densos infiltrados de células plasmáticas en la lámina propia.

16
New cards
term image

Enfermedad celíaca

Aplanamiento de la mucosa, aumento de la actividad mitótica

17
New cards
term image

Esprúe tropical

Agrandamiento atípico de los núcleos de las células epiteliales

(cambio megalobástico).

18
New cards
term image

Shigelosis

19
New cards
term image

Colitis pseudomembranosa

20
New cards
term image

Colitis pseudomembranosa

21
New cards
term image

Enfermedad de Whipple

22
New cards
term image

Enfermedad de Whipple

23
New cards
term image

Amebiasis

24
New cards
term image

Amebiasis

Entamoeba histolytica que ingieren los eritrocitos.

25
New cards
term image

Giardiasis

26
New cards
term image

Giardiasis

27
New cards
term image

Enfermedad de Crohn

28
New cards
term image

Enfermedad de Crohn

Camino empedrado.

29
New cards
term image

Enfermedad de Crohn

30
New cards
term image

Enfermedad de Crohn

31
New cards
term image

Enfermedad de Crohn

32
New cards
term image

Colitis ulcerosa

33
New cards
term image

Colitis ulcerosa

Úlceras lineales que socavan la mucosa restante, dejando islotes de mucosa residual.

34
New cards
term image

Colitis ulcerosa

35
New cards
term image

Colitis ulcerosa

36
New cards
term image

Colitis ulcerosa

37
New cards
term image

Diverticulosis

38
New cards
term image

Diverticulosis

39
New cards
term image

Diverticulosis

40
New cards
term image

Pólipos hiperplásicos

41
New cards
term image

Pólipos hiperplásicos

42
New cards
term image

Pólipos hiperplásicos

43
New cards
term image

Adenoma de intestino

44
New cards
term image

Adenoma pediculado

45
New cards
term image

Adenoma con superficie aterciopelada.

46
New cards
term image

Adenoma pediculado

47
New cards
term image

Adenoma pediculado

48
New cards
term image

Poliposis adenomatosa familiar

49
New cards
term image

Poliposis adenomatosa familiar

Cientos de pequeños pólipos por todo el colon con un pólipo dominante

50
New cards
term image

Poliposis adenomatosa familiar

51
New cards
term image

Adenocarcinoma

52
New cards
term image

Adenocarcinoma

53
New cards
term image

Adenocarcinoma

54
New cards
term image

Adenocarcinoma

55
New cards
term image

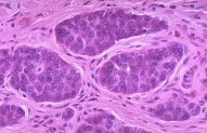
Tumor carcinoide

56
New cards
term image

Tumor carcinoide

57
New cards
term image

Linfoma

58
New cards
term image

Linfoma

59
New cards
term image

Hemorroides

60
New cards
term image

Apendicitis aguda

61
New cards
term image

Apendicitis aguda

Infiltrado extenso de polimorfonucleares, neutrófilos, en la muscular propia.

62
New cards
term image

Mucocele