Intracellular Accumulation

0.0(0)
studied byStudied by 0 people
0.0(0)
full-widthCall with Kai
GameKnowt Play
New
learnLearn
examPractice Test
spaced repetitionSpaced Repetition
heart puzzleMatch
flashcardsFlashcards
Card Sorting

1/86

encourage image

There's no tags or description

Looks like no tags are added yet.

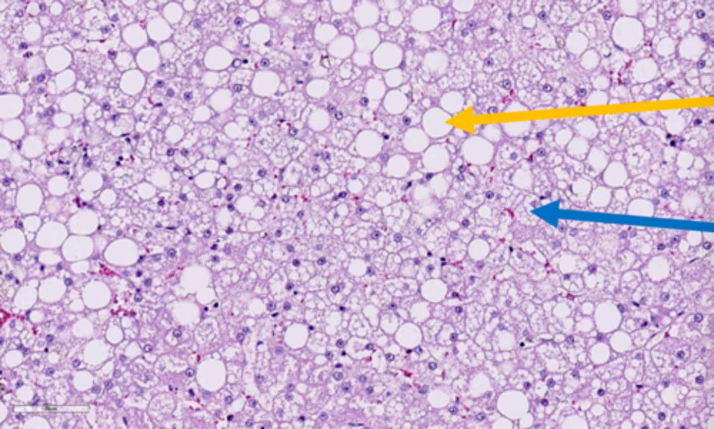
Study Analytics
Name
Mastery
Learn
Test
Matching
Spaced

No study sessions yet.

87 Terms

1
New cards

Intracellular, extracellular, pigmentation

What are the three general categories of cellular accumulations

2
New cards

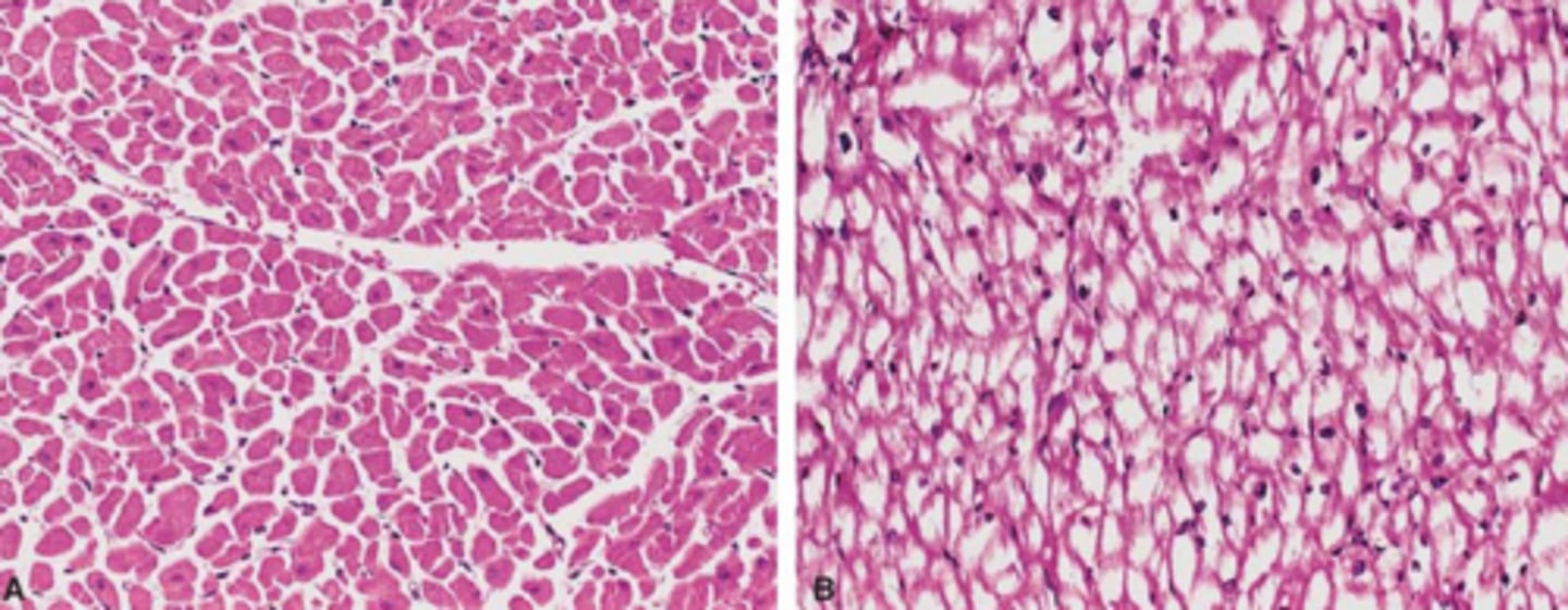
true

True/false: cellular accumulations can be relatively harmless or promote cell degeneration and death.

3
New cards

lipidosis

__________ Accumulation of lipids within parenchyma cells

4
New cards

liver and kidney

lipidosis can occur in many organs and tissue but which two are 'classic'.

5
New cards

steatosis, fatty change

what are two other names for lipidosis

6
New cards

its role in lipid metabolism

why does lipidosis commonly occur in the liver?

7
New cards

liver,

adipose tissue or GI

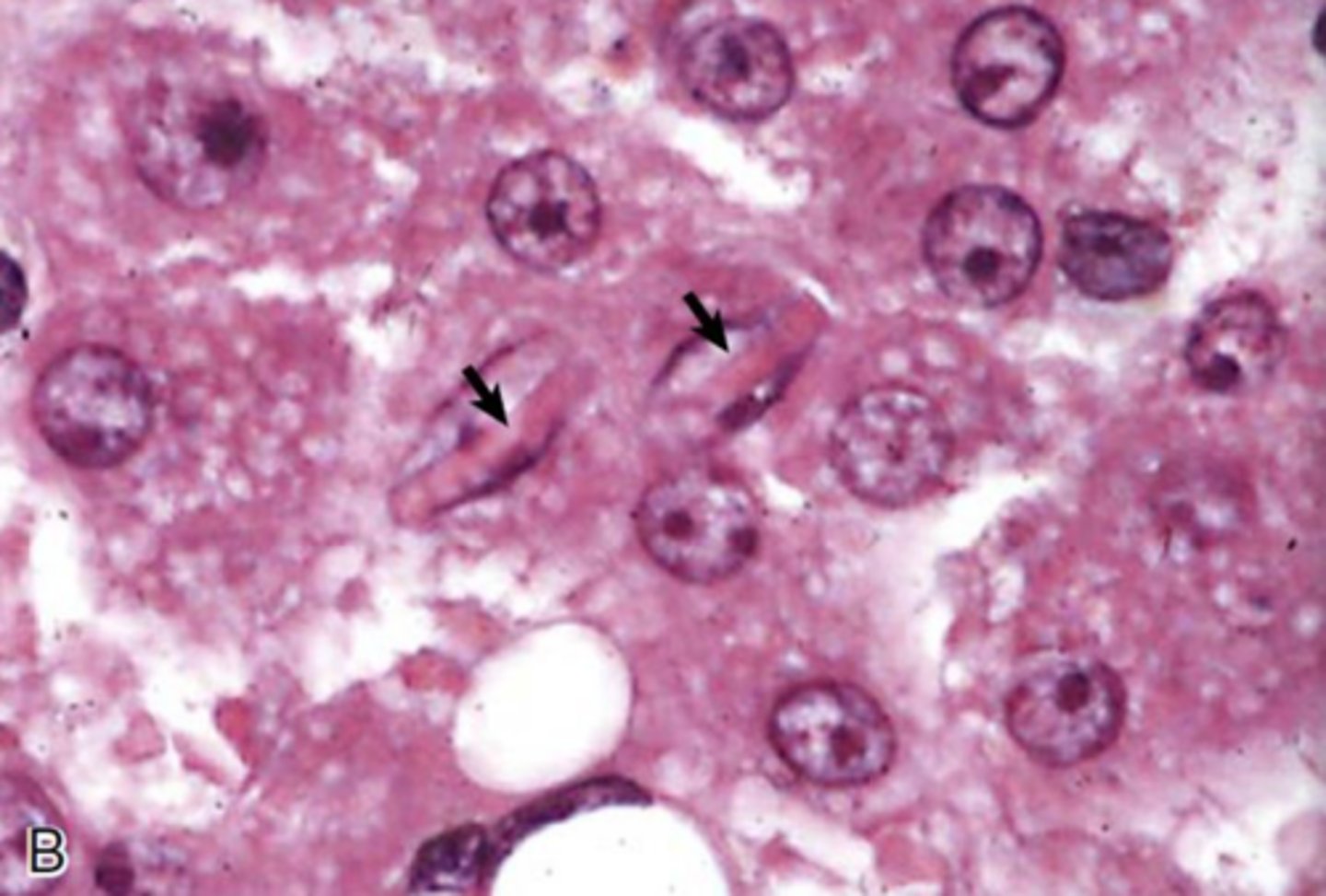
lipids are transported to the ______ from ______ or _______

8
New cards

esterified to triglycerides, converted to cholesterol or phospholipids, oxidized to ketone bodies

within hepatocytes, free fatty acids can be __________ , ______________, or _______________

9
New cards

apoproteins,

lipoproteins,

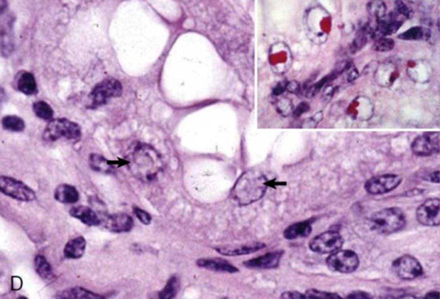
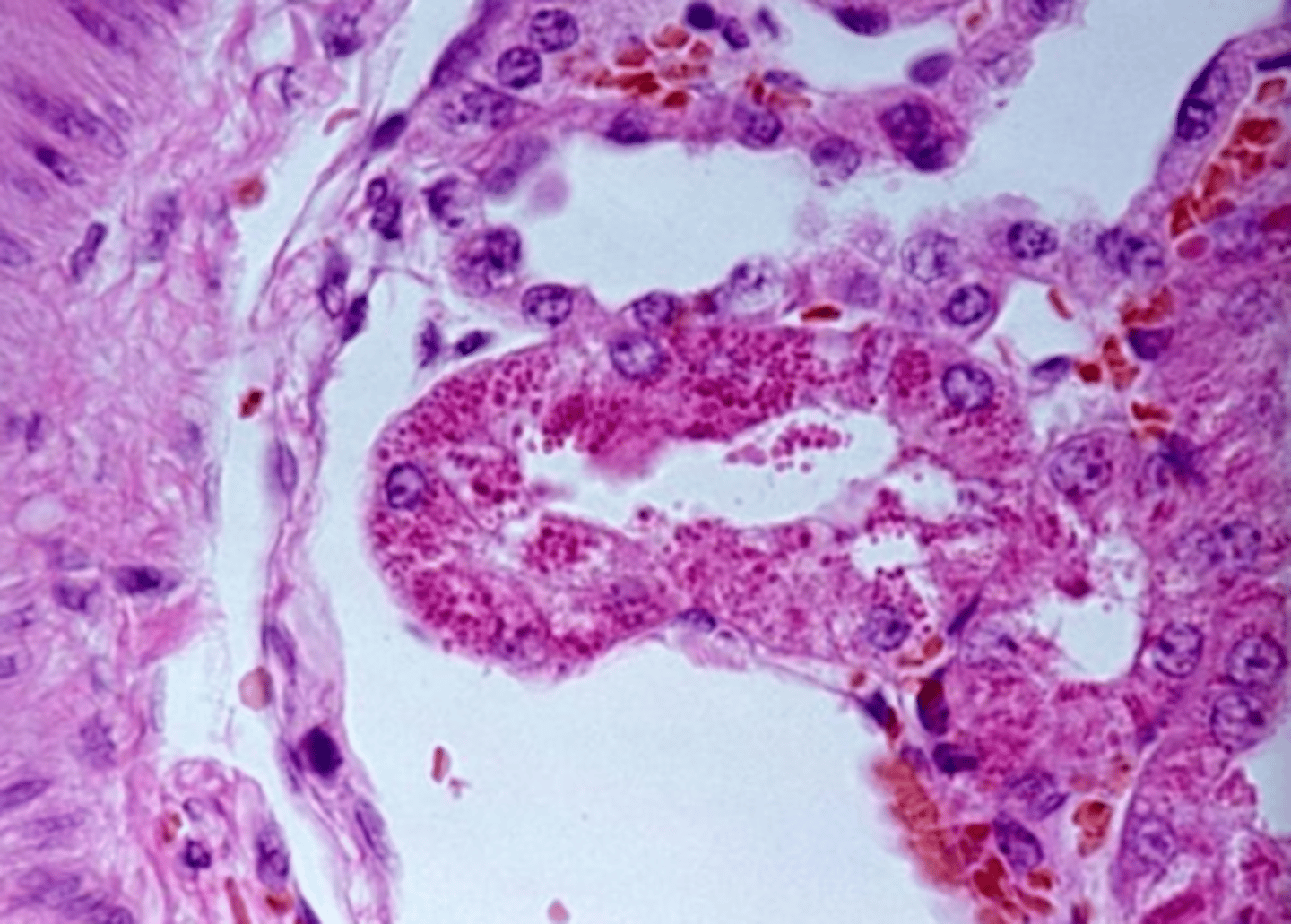
an energy source

Triglycerides can be complexed with _______ to form low-density ________ for release into the plasma as _______ for tissue

10
New cards

increased mobilization of free fatty acids, abnormal hepatocellular metabolism, impaired release of lipoproteins

what are three causes of lipidosis?

11
New cards

high dietary fat, increased fat mobilization (starvation cat, diabetes, lactation)

what two main things can cause increased mobilization of free fatty acids?

12
New cards

free fatty acids, triglycerides, apoproteins

if there is abnormal hepatocellular metabolism, what do you expect to see>

13
New cards

hypoxia, cellular injury

what two things may cause abnormal hepatocellular metabolism

14
New cards

possible mechanisms that lead to lipid accumulation

What do these things all potentially have in common?

1.Excessive delivery of free fatty acids (FFAs) from fat stores or diet

2. Decreased oxidation or use of FFAs

3. Impaired synthesis of apoprotein

4. Impaired combination of protein and triglycerides to form lipoproteins

5. Impaired release of lipoproteins

from hepatocytes

15
New cards

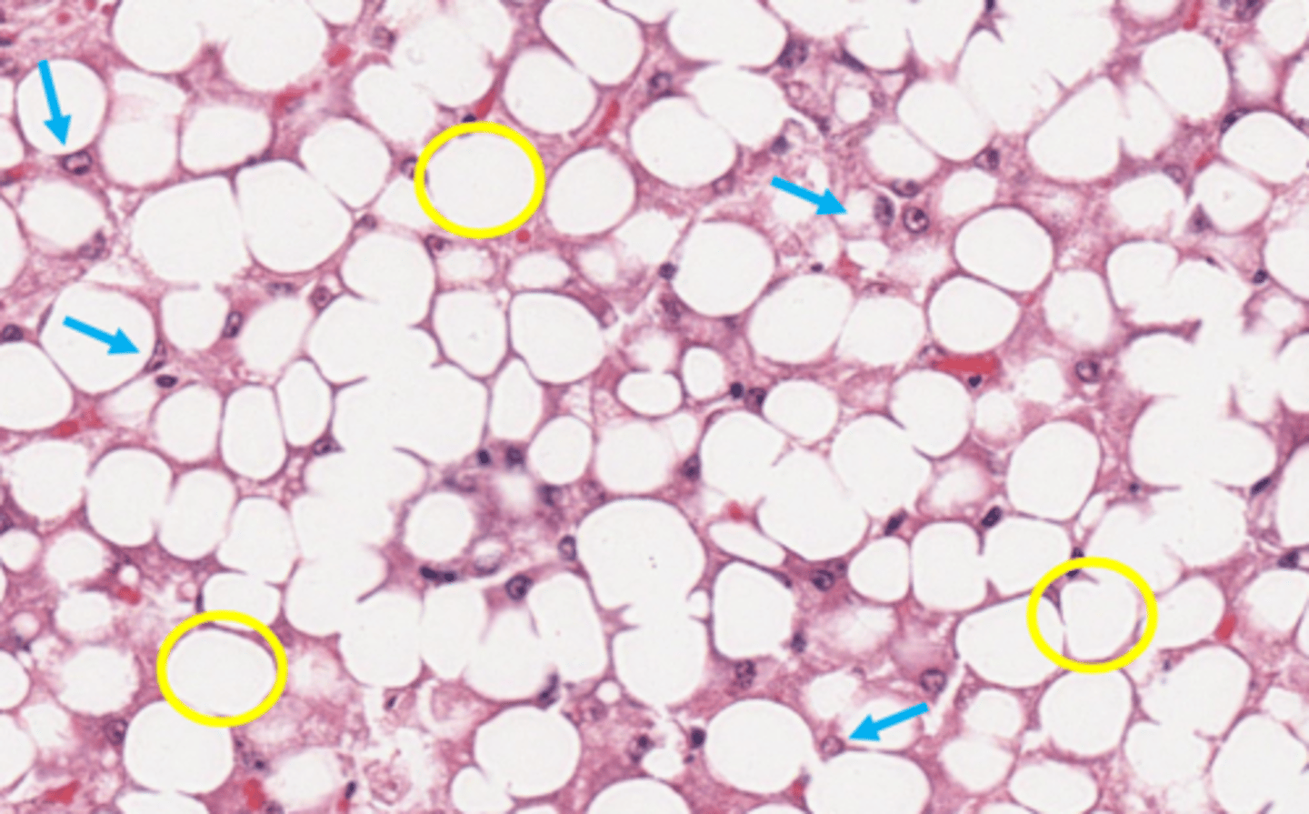
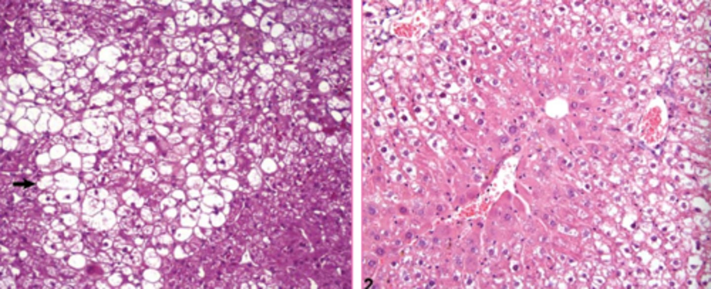
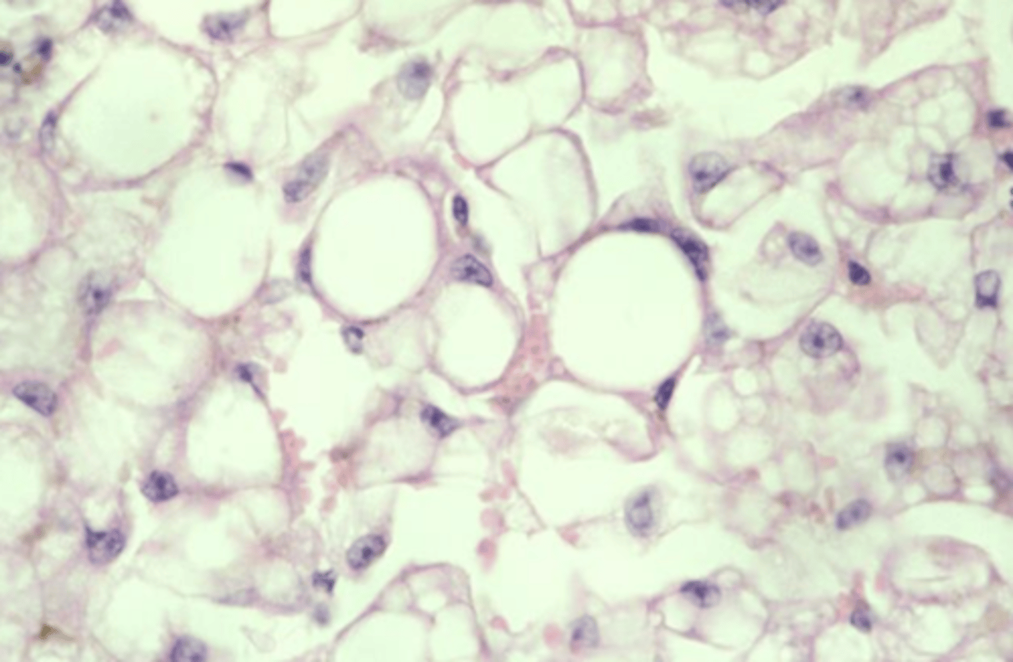
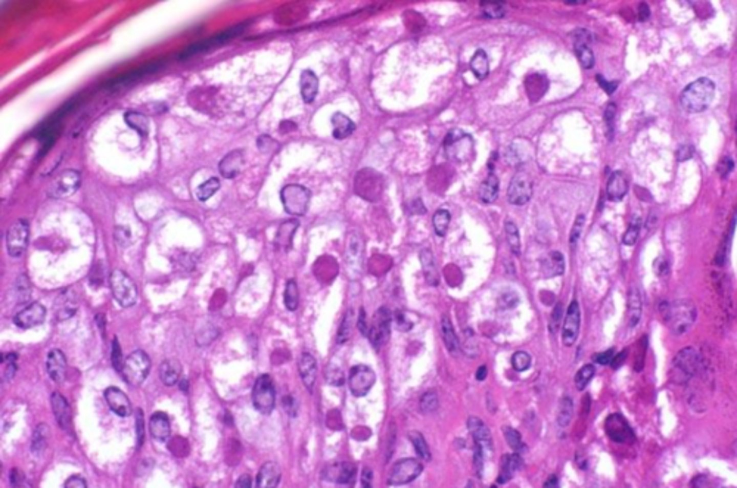
macrovesicular (most common) , microvesicular

what are the two classifications of microscopic lipidosis? And which is more common?

16
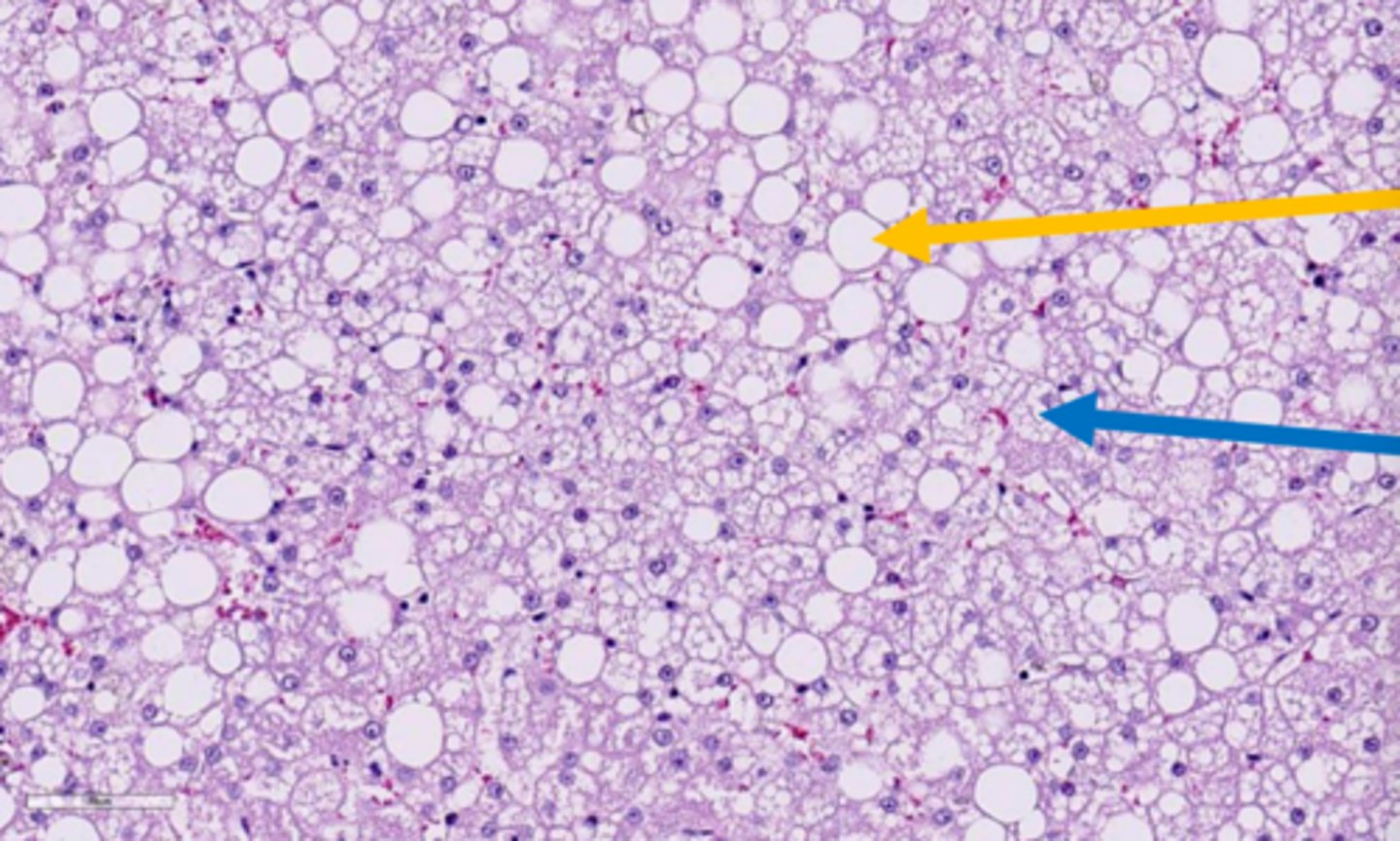
New cards

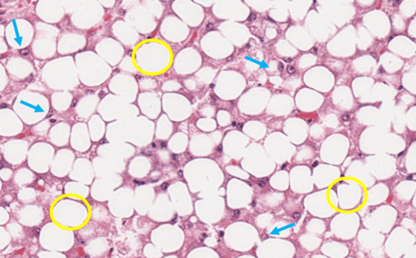
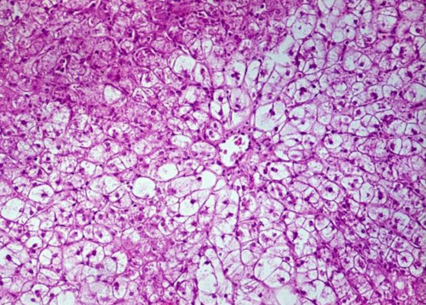
macrovesicular lipidosis

Which type of lipidosis is this describing?

Large, clear, sharply defined vacuoles that are larger than the nucleus, distend the

cytoplasm, and displace the nucleus to the periphery of the cell

17
New cards

macrovesicular hepatic lipidosis

yellow arrow?

<p>yellow arrow?</p>
18
New cards

microvesicular hepatic lipidosis

blue arrow?

<p>blue arrow?</p>
19
New cards

displaced nucleus

blue arrow

<p>blue arrow</p>
20
New cards

macrocytic lipidosis - large cytoplasmic vacuole

yellow circle?

<p>yellow circle?</p>
21
New cards

oil red O stain (or Sudan Black B)

What stain is used to prove that an intracellular accumulation is lipid?

22
New cards

no! must use frozen samples

Can you do oil red O staining on tissue processed for the regular paraffin embedding?

23
New cards

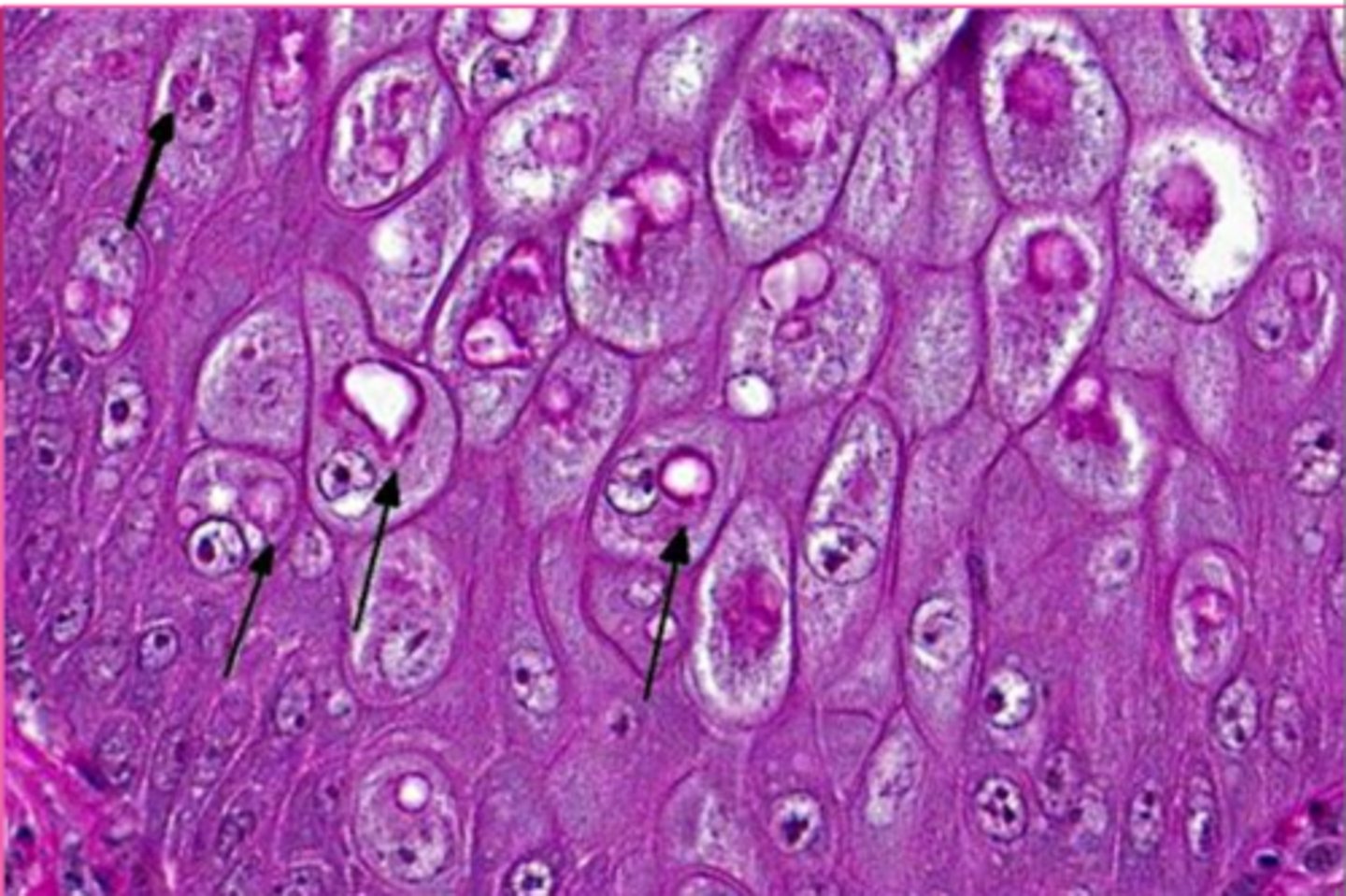
oil red O stain, staining lipid inclusions

What the hell is happening to these cells???

<p>What the hell is happening to these cells???</p>
24
New cards

swollen, yellow, greasy texture, maybe friable and floats in formalin, rounded margins

What are the characteristics grossly of an organ with lipidosis?

25
New cards

true

true/false: lipidosis can be physiologic and normal (its just like that sometimes)

26
New cards

late pregnancy, heavy lactation in ruminants, equine hyperlipidemia, feline hepatic lipidosis

what are some classic examples of hepatic lipidosis?

27
New cards

serum triglycerides

In equine hyperlipidemia, the negative energy balance leads to marked elevation of _________

28
New cards

feline fatty liver syndrome

what is the common term for feline hepratic lipidosis in an obese nutritionally stressed cat?

29
New cards

hepatic lipidosis

grossly.. what is this

<p>grossly.. what is this</p>
30
New cards

hepatocytes , skeletal muscle

Glycogen is normally stored in _____ and __________

31
New cards

starvation or illness;

metabolic abnormalities, storage diseases, endocrine disorders

glycogen can be depleted in: _________ or ________

Excessive glycogen accumulation can occur with: __________-, _______ or _______

32
New cards

clear granules/vacuoles, "feathered cytoplasm", not displaced nuclei

what are the microscopic features of glycogen in the cytoplasm?

33
New cards

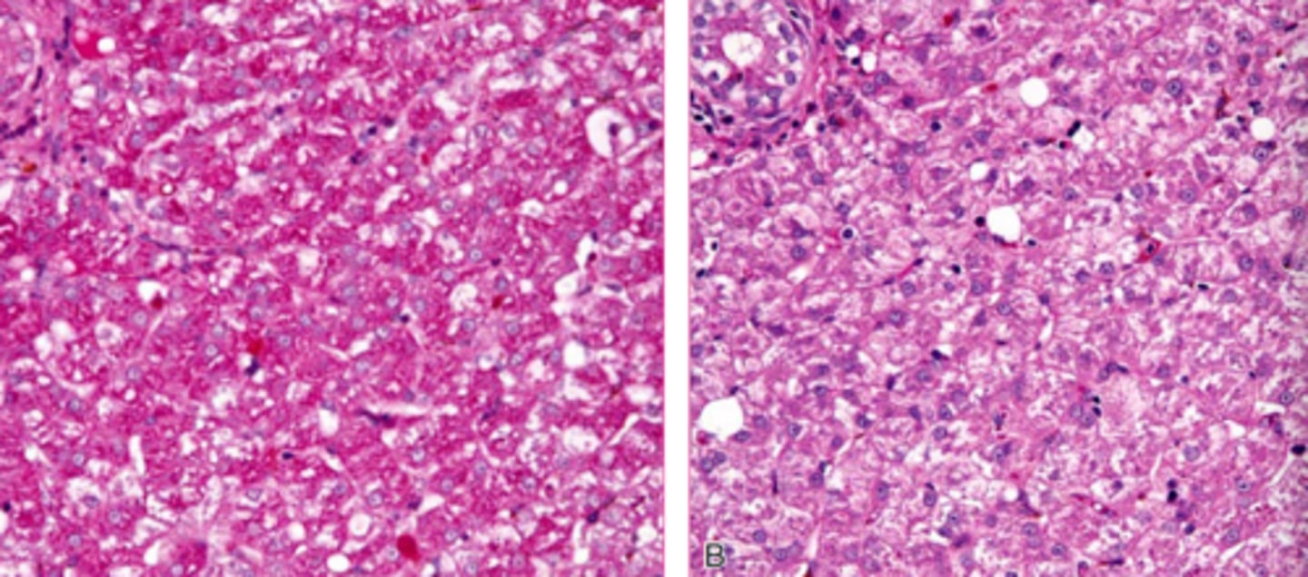
hepatocellular vacuolar change - glycogen type (glycogen in cytoplasm)

Both of these images are showing what?

<p>Both of these images are showing what?</p>
34
New cards

amount of glycogen observed microscopically

What do all three of these things affects?:

Glycogen concentration, delay between death and fixation, type of fixation

35
New cards

periodic acid-Schiff (PAS)

which histochemical stain is sued to detect lgycogen?

36
New cards

false; its not

True/false: the PAS stain is specific to glycogen

37
New cards

diastase

what is PAS stain used in conjunction with in order to visualize glycogen?

38
New cards

right side sample has been treated with diastase

Both of these images are PAS stains to see glycogen... what's different about them?

<p>Both of these images are PAS stains to see glycogen... what's different about them?</p>
39
New cards

swollen, pale brown, mottled

What are some gross characteristics of an organ (liver) with glycogen inclusions?

40
New cards

glycogen

glycogen or lipid inclusions?

<p>glycogen or lipid inclusions?</p>
41
New cards

lipid

glycogen or lipid inclusions?

<p>glycogen or lipid inclusions?</p>
42
New cards

glycogen

gycogen or lipid inclusions?

<p>gycogen or lipid inclusions?</p>
43
New cards

eosinophilic (pink/orange/red)

proteins are what color?

44
New cards

hyaline

What is the term for a proteinatious cellular inclusion? Often homogenous/eosinophilic/translucent substance that is internal or external to the cell.

45
New cards

Yes! Russel bodies are normal in plasma cells

can Hyaline inclusions be normal in any cells?

46
New cards

well, protein accumulation in proximal renal tubular epithelial cells is abnormal... so duh.

Oh, so russel bodies are normal protein accumulation in plasma cells... is hyaline inclusions ever abnormal?

47
New cards

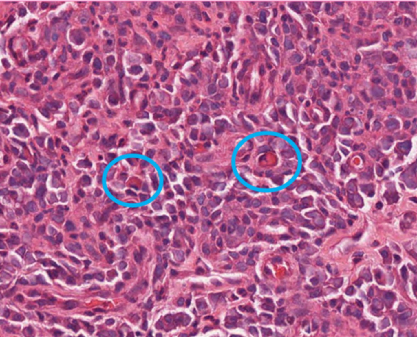
Russel bodies in Mott cells

These are plasma cells. what is circled?

<p>These are plasma cells. what is circled?</p>
48
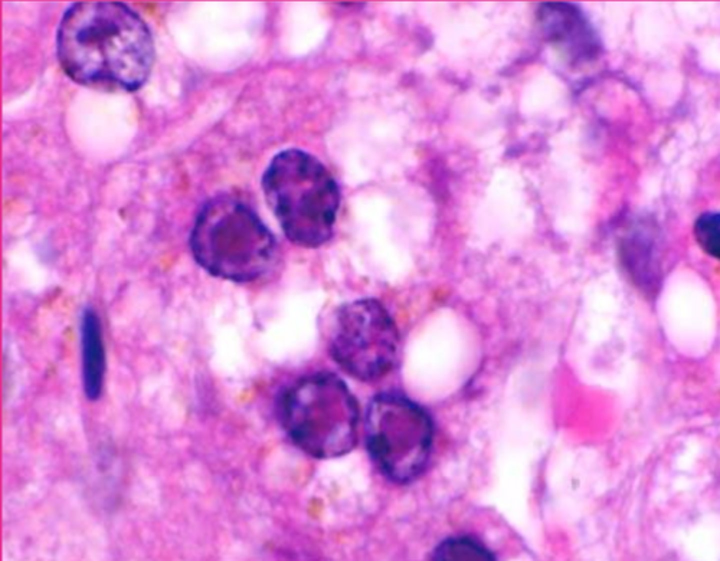
New cards

hyaline droplet

these are renal tubular epithelial cells... what is circled?

49
New cards

hyaline droplet

what are these bright esosinophilic 'dip dops'

<p>what are these bright esosinophilic 'dip dops'</p>
50
New cards

can be extruded or remain as lipofuscin pigment

what is an important to know about autophagic vacuoles?

51
New cards

increase with age, common in hepatocytes/renal tubular epithelial cells

what are important to know about crystalline protein inclusions? (2)

52
New cards

intranuclear

Where are lead inclusions found in a renal tubular epithelial cell?

53
New cards

lead and protein mixture, acid-fast stains

What are lead inclusions made of? how best are they seen?

54
New cards

crystalline protein inclusions

What is the inclusion?

<p>What is the inclusion?</p>
55
New cards

lead inclusions

what is the inclusion?

<p>what is the inclusion?</p>
56
New cards

intracytoplasmic, intranuclear

what are the two types of viral inclusion bodies?

(location, not specific virus)

57
New cards

eosinophilic, basophilic, amphophilic, round to oval

the intranuclear DNA virus inclusions look... how? (variable)

58
New cards

herpesvirus, adenovirus, parvovirus

what three DNA virus inclusions are intranuclear? (that we were given at least)

59
New cards

poxviruses, large eosinophilic

What is the one viral cytoplasmic inclusion and what does it look like?

60
New cards

Rabies, canine distemper

what two RNA virus inclusions were we given as examples?

61
New cards

negri bodies

rabies inclusions are called?

62
New cards

both!

Is canine distemper a nuclear or cytoplasmic inclusion?

63
New cards

herpesvirus

which viral inclusion?

<p>which viral inclusion?</p>
64
New cards

adenovirus

which viral inclusion

<p>which viral inclusion</p>
65
New cards

poxvirus

which viral inclusion?

<p>which viral inclusion?</p>
66
New cards

rabies

which viral inclusion?

<p>which viral inclusion?</p>
67
New cards

canine distemper virus

which viral inclusions?

<p>which viral inclusions?</p>
68
New cards

storage diseases

Group of diseases characterized by mutations that result in the

accumulation of complex substrates or blockage of metabolic

pathways

69
New cards

lysosomal storage disease

which storage disease is characterized by a deficiency of lysosomal acid hydrolases

70
New cards

incomplete breakdown of substrates, accumulating partially degraded, insoluble metabolites

What shows up as a result of lysosomal storage diseases?

71
New cards

lysosomal

lysosomal galactocerebroside beta-galactosidase (sorry)

Globoid cell leukodystrophy is an example of what type of storage disease?

Specifically, it is a functional deficiency of ___________________________

72
New cards

galactocerebroside, macrophages of the CNS

Globoid cell leukodystrophy is an accumulation of __________ within the ________ cells of the _________ system

73
New cards

GM1 gangliosidosis, lysosomal, GM1 ganglioside

what storage disease is marked by a deficiency of GM1 ganglioside beta-galactosidase.

What type of storage disease is this and what accumulates?

74
New cards

hexosaminidase, tay-sachs disease, sandhoff disease

GM2 gangliosidosis is a deficiency or ______

If its a deficiency of the alpha subunit its called ________.

If its the beta subunit, it's called ___________

75
New cards

globoid cell leukodystrophy

What?

<p>What?</p>
76
New cards

globoid cell leukodystrophy

what?

<p>what?</p>
77
New cards

globoid cell leukodystrophy

what?

<p>what?</p>
78
New cards

Tay-sachs disease

what?

<p>what?</p>
79
New cards

an enzyme involved in synthesis or degradation of gylcogen (accumulates glycogen)

generally, glycogen storage diseases are characterized as a deficiency in _______________________________

80
New cards

Pompe disease, alpha-glucosidase enzyme

what is another name for glycogenesis type II?

Where is the deficiency?

81
New cards

Cori's disease,

function of amylo-1,6 glucosidase debranching enzyme (IM SORRY OKAY?)

Whta is another name for glycogenosis type III?

where is the deficiency?

82
New cards

Pompe disease

What?

<p>What?</p>
83
New cards

induced storage diseases

What do you call an inhibition of enzymes due to outside sources like the ingestion of locoweed

84
New cards

lysosomal alpha mannosidase

what is inhibited in locoweed toxicosis?

85
New cards

proprioceptive defects and abnormal behavior

chronic consumption of locoweed causes _________ and __________

86
New cards

locoweed toxicosis

if you have a goat standing around like this, and this plant is in his habitat, and his cells look like this... what do we think this is?

<p>if you have a goat standing around like this, and this plant is in his habitat, and his cells look like this... what do we think this is?</p>
87
New cards

viral inclusions

What is this?

(Options are like, glycogen, lipid, viral, iron inclusions.... options are all the inclusions a cell can have)

<p>What is this?</p><p>(Options are like, glycogen, lipid, viral, iron inclusions.... options are all the inclusions a cell can have)</p>