1/20
Looks like no tags are added yet.
Name | Mastery | Learn | Test | Matching | Spaced |
|---|
No study sessions yet.
early stages of liver impairment
asymptomatic
general feeling unwell
fatigue
nausea
vomiting
loss of appetite
late stages of liver impairment
weight loss
clinical jaundice
acieties
hepatic encephalopathy
bleeding
susceptiblity to ifnection
clinical signs of liver impairment
hepatosplenomegaly
finger clubbing/nail changes
abnormal bruising/spider naevi
palmar erythema
muscle wasting
gynaecomastia
hepatosplenomegaly
enlargement of the liver + spleen
finger clubbing/nail changes
the liver is important for regulating hormones, people with liver dysfunction may have excess oestrogen which changes blood flood, like peripheral blood causing fingers to swell up
It occurs due to an increase in peripheral blood flow and dilation of the veins in the fingers
caused by the release of platelet-derived growth factor (PDGF) and vascular endothelial growth factor (VEGF) by special cells in the nail bed.
abnormal bruising/spider naevi
due to changes in peripheral blood flow
palmar erythema
reddening of palms
In patients with liver disease, palmar erythema is thought to be related
abnormal levels of estradiol and testosterone in the serum, and changes in blood vessels.
muscle wasting
due to chane sin live rprotein synthesis
These data show that reduced protein synthesis and increased autophagy mediated protein breakdown
contribute to ongoing skeletal muscle loss in cirrhosis.
gynaecomastia
excess oestrogen causes breast formation in males
Liver damage can make it harder for the liver to break down oestrogens,
which can lead to higher levels of oestrogens in the body.
abnormal LFT do not always indicate
the DEGREE of liver damage
LFTs can eb affected by
non liver conditions
there is no single specific method
of determining a patients liver function

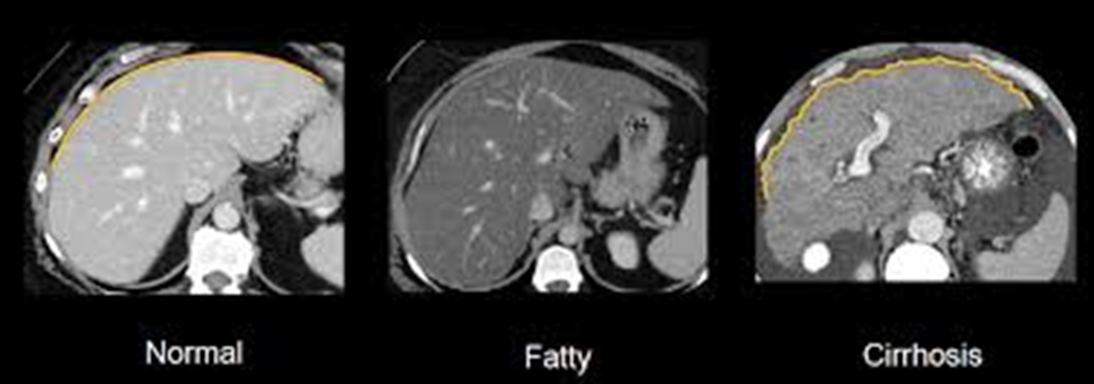
liver imaging uses techniques like ultrasound, CT and MRI to visualise the liver for diagnostic purposes
drug induced hepatotoxicity can occur through different mechanisms
many drugs cna cause mild/transient/ insignificant increases in LFTs
risk Vs benefits of using each medication must be considered
The NIH has a searchable database of drugs, herbal medications, and dietary supplements associated with Drug Induced Liver Injury
‘LiverTox: Clinical and Research Information on Drug-Induced Liver Injury
different scoring systems use to determine prognosis in liver disease and priotitise patients for liver transplants
-Child Pugh Score
-
-Model for End Stage Liver Disease (MELD)
-
-Paediatric End-Stage Liver Disease (PELD)