1/84
Looks like no tags are added yet.
Name | Mastery | Learn | Test | Matching | Spaced | Call with Kai |
|---|
No analytics yet
Send a link to your students to track their progress
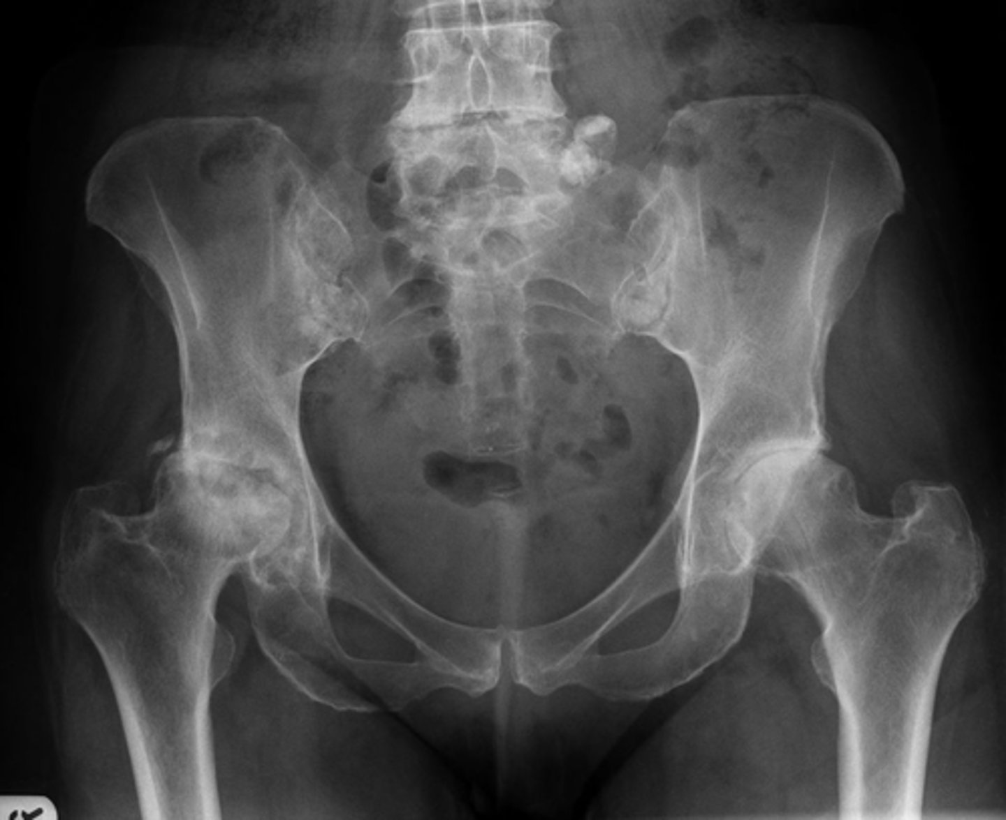
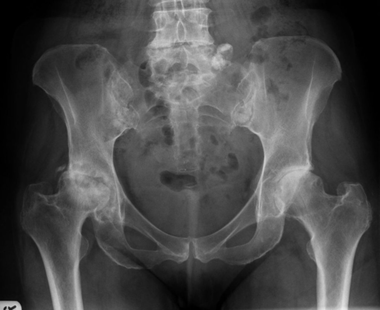
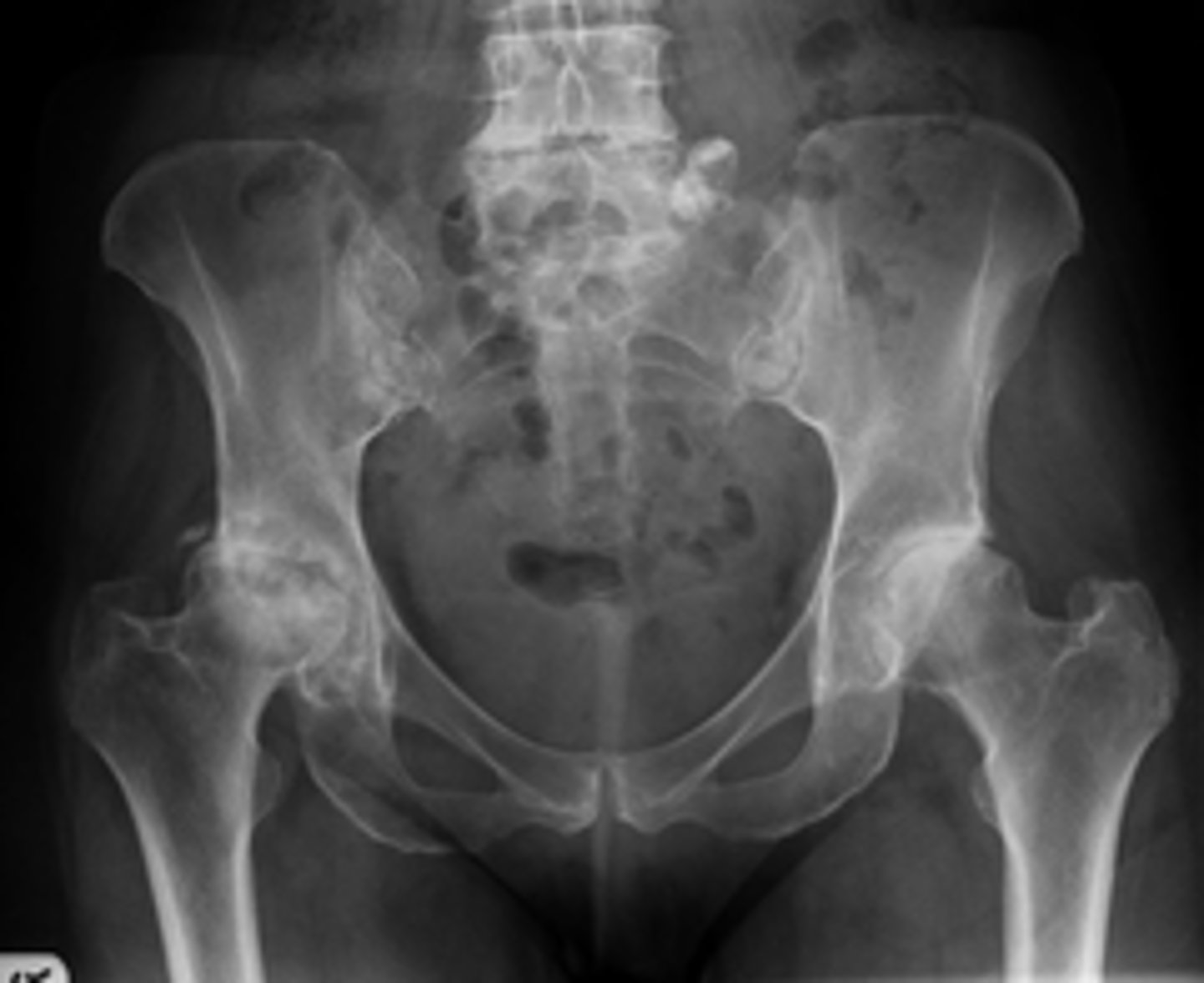
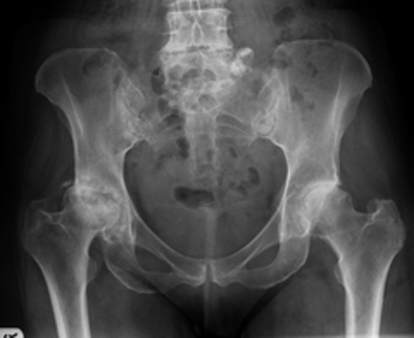
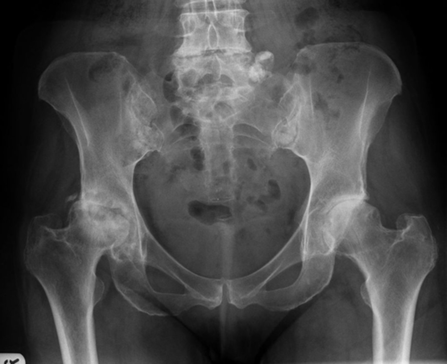
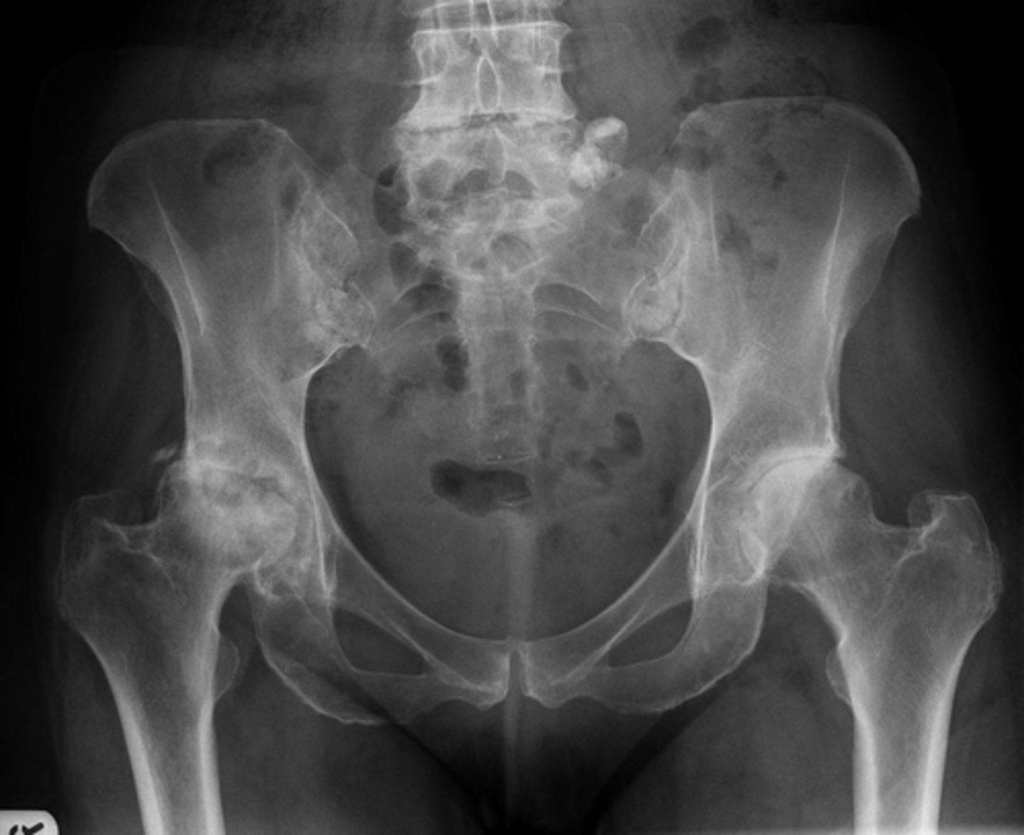
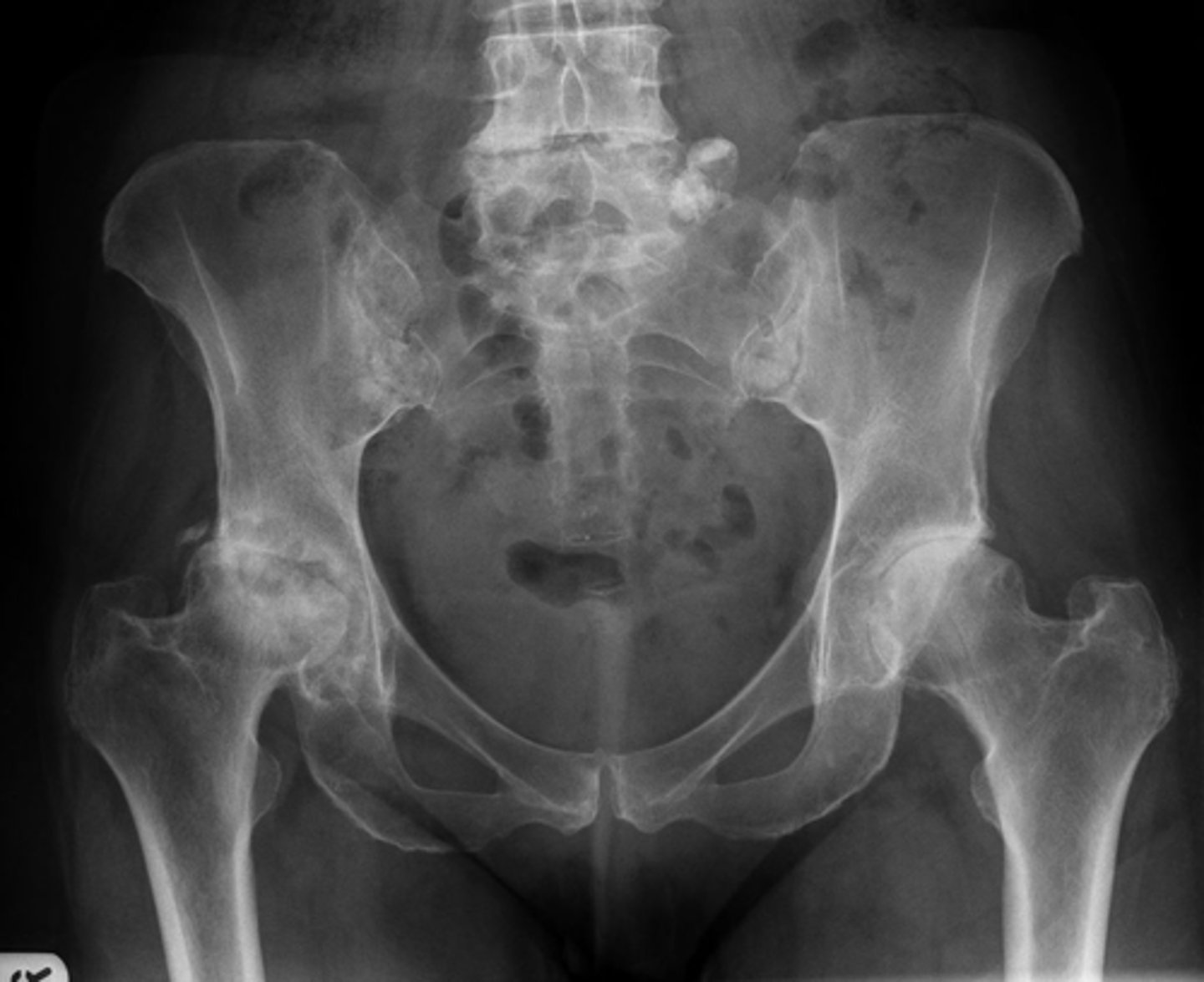
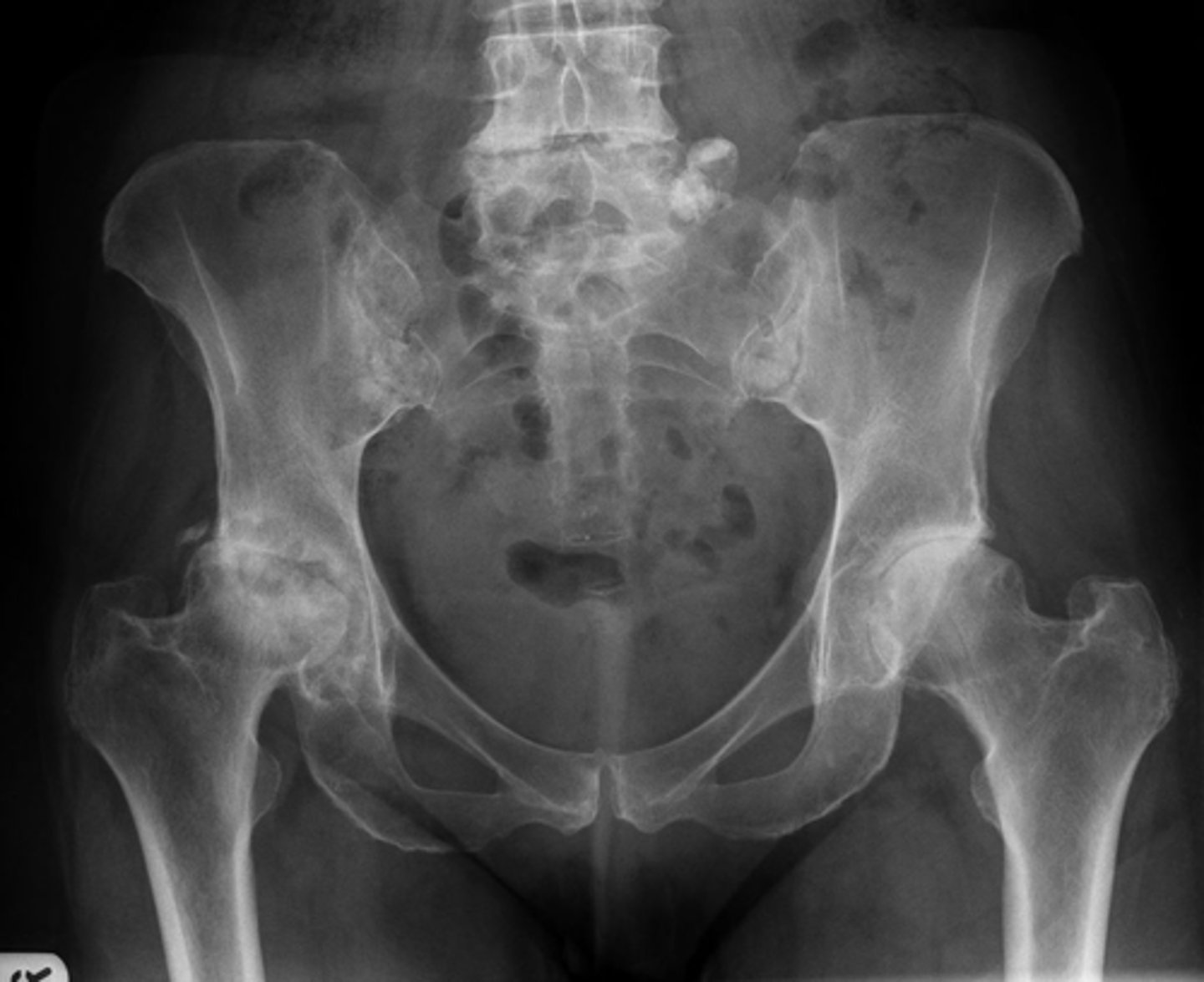
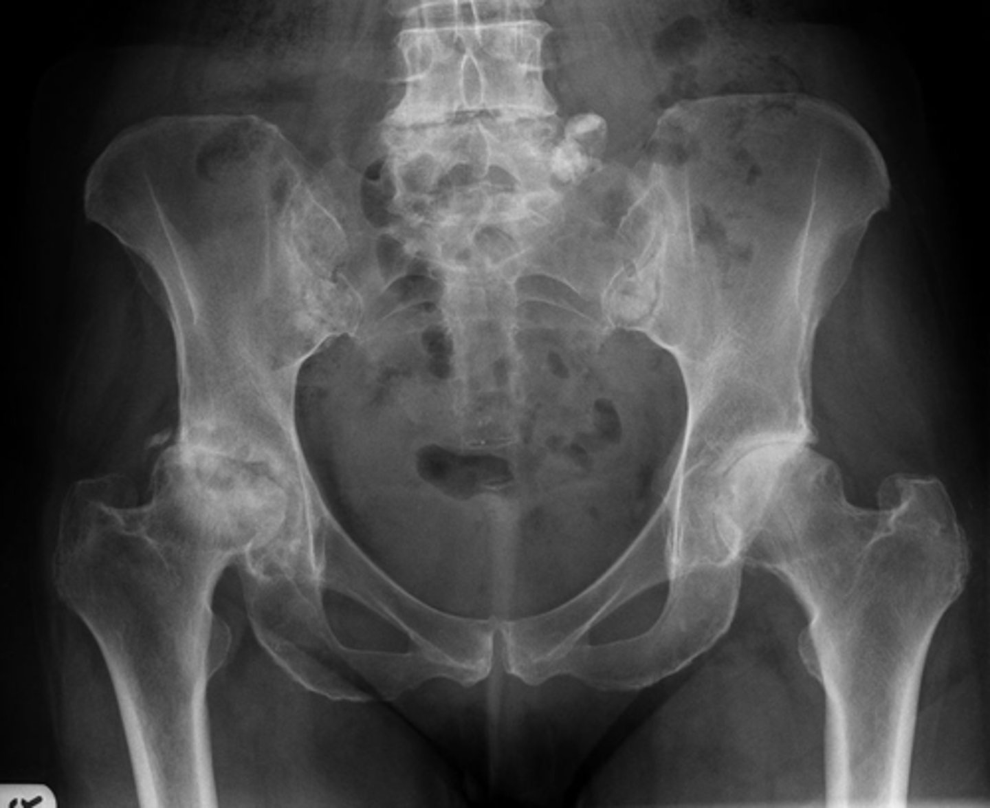
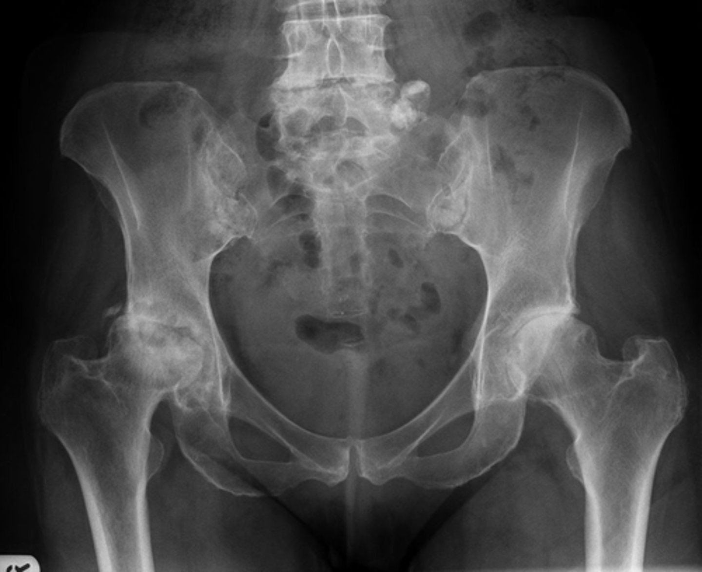
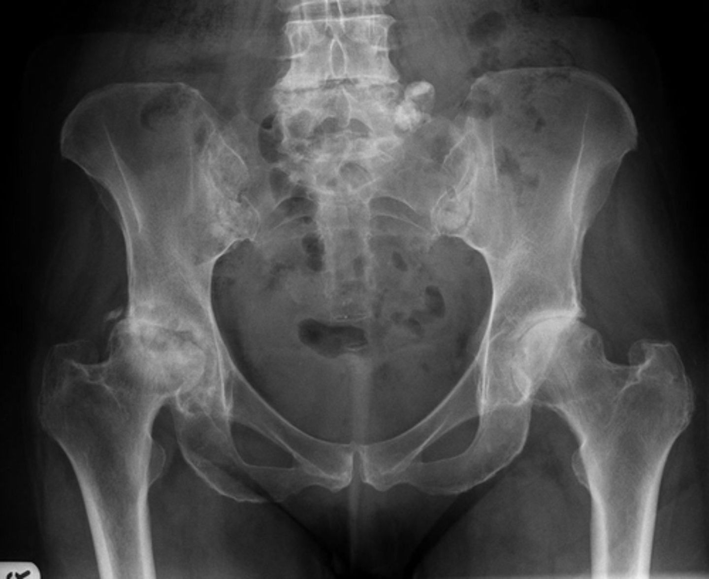
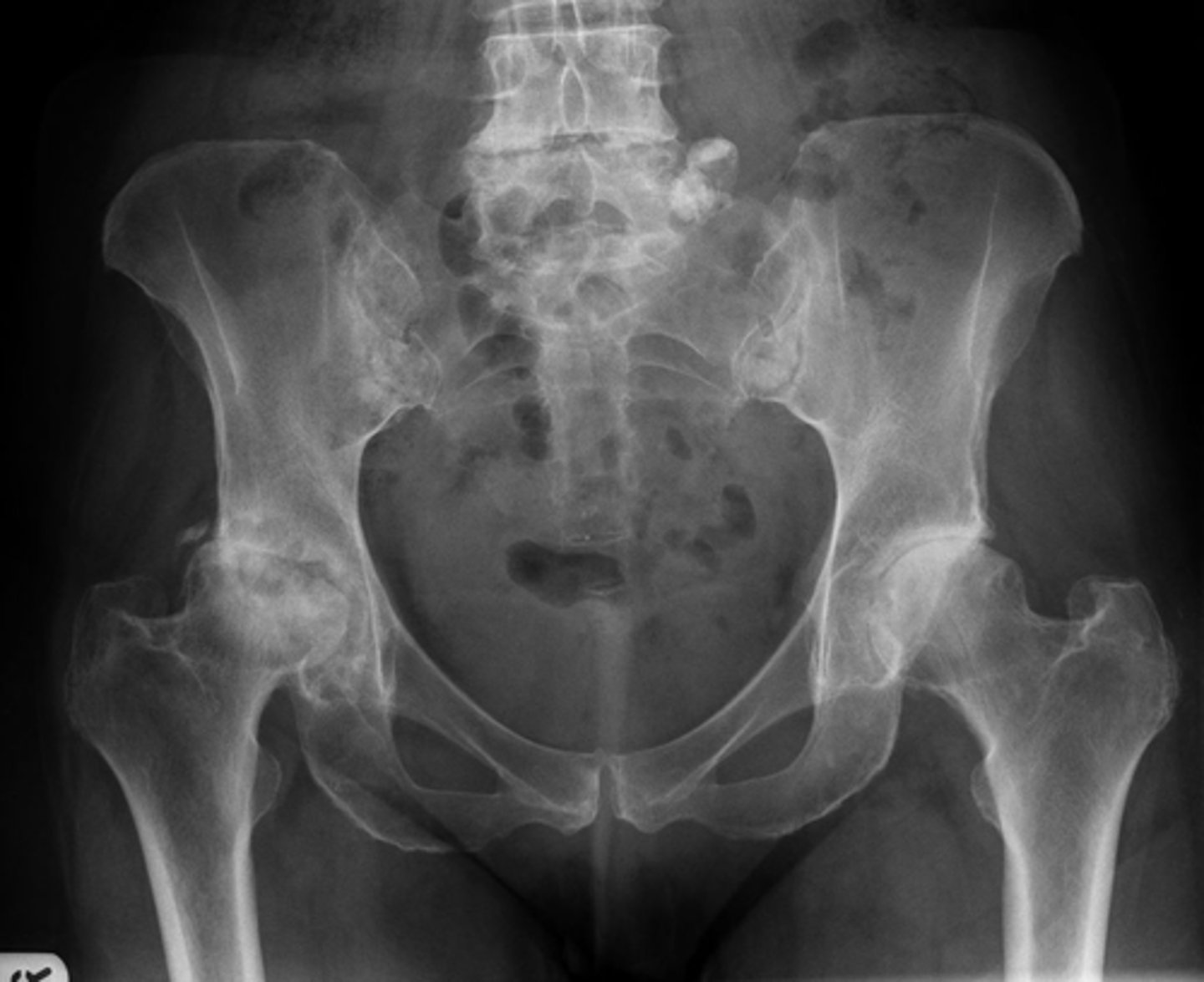
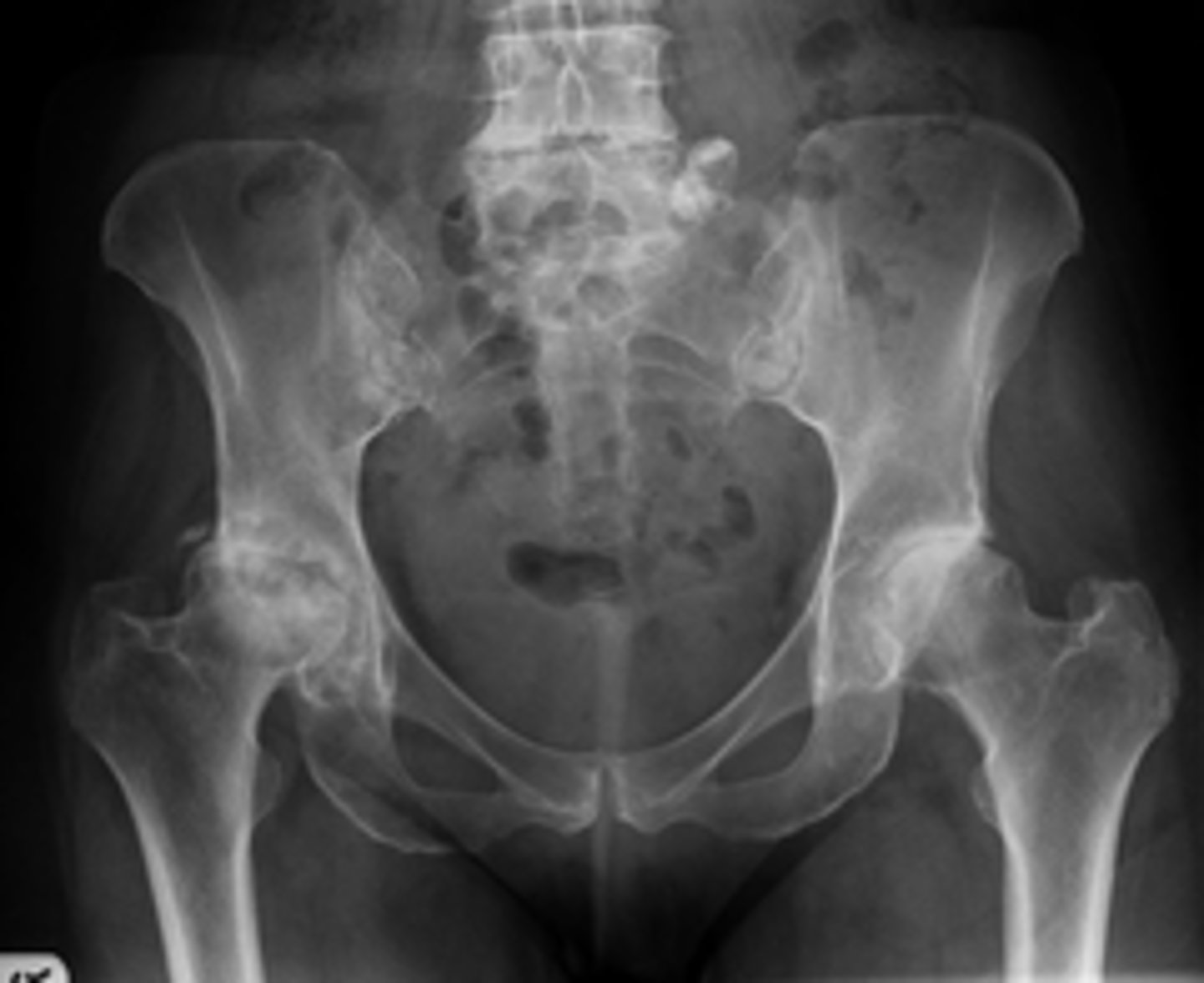
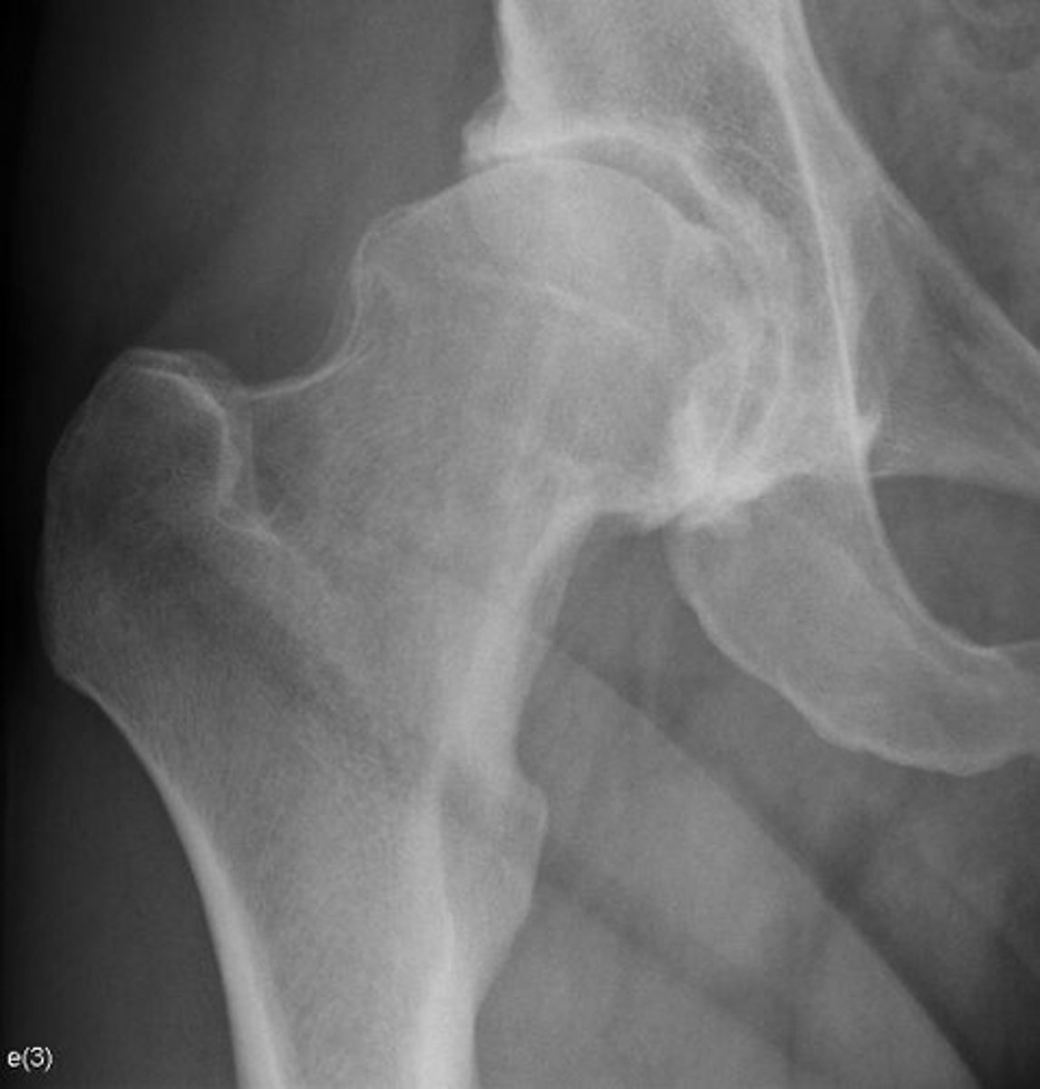
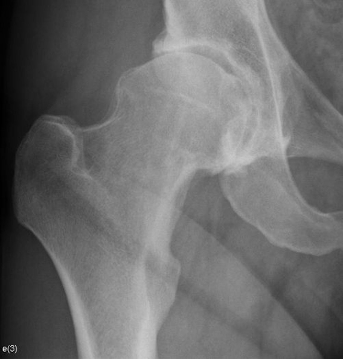
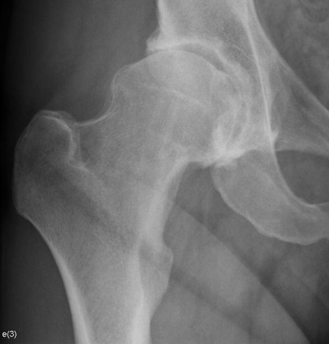
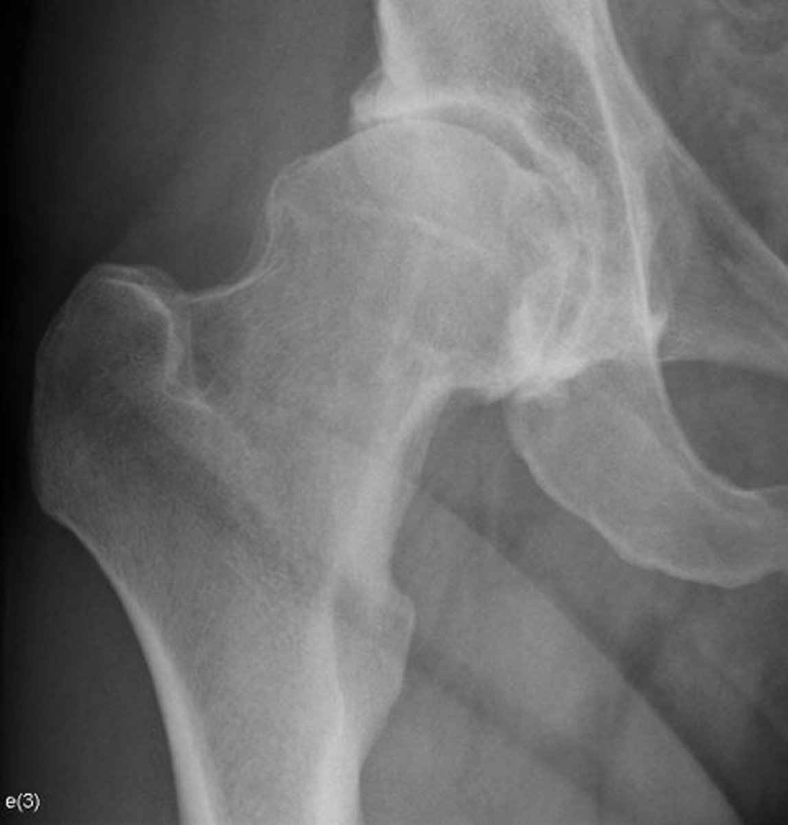
Right hip
Bone

Right femoroacetabular joint
Joint

Yes
Joint space narrowed?

Non-uniform
Uniform/non-uniform narrowing

No
Periarticular erosions

Yes
Osteophytes

Yes
Subchondral cysts

Yes
Subchondral sclerosis

No
Periarticular osteopenia

No
Soft tissue swelling

No
Intra-articular calcification

No
Joint ankylosis

Yes
Extra-articular calcification/osseous bodies

Yes
Subluxation

No
Dislocation/diastasis

Bilateral
Bilateral/unilateral

Degenerative
Category of joint disease

Osteoarthrosis
Most likely diagnosis?

Orthopedic referral
Next step?

- Collapse
- Step-off deformity
- More fragmentation
How can you differentiate this from avascular necrosis?

1st metarcarpal and trapezium
Bone

Carpometacarpal joint
Joint

Yes
Joint space narrowed?

No
Periarticular erosions

Yes
Osteophytes

Yes
Subchondral cysts

Yes
Subchondral sclerosis

Yes
Periarticular osteopenia

No
Soft tissue swelling

No
Intra-articular calcification

No
Joint ankylosis

No
Extra-articular calcification/osseous bodies

Yes
Subluxation

No
Dislocation/diastasis

Unilateral
Bilateral/unilateral

Degenerative
Category of disease

Osteoarthrosis
Diagnosis?

Correlate with patient
Next step?

DIPs
Joint

Yes
Joint space narrowed?

Non-uniform
Uniform/non-uniform joint narrowing

No
Periarticular erosions

Yes
Osteophytes

A little bit
Subchondral cysts

Yes
Subchondral sclerosis

No
Periarticular osteopenia

Not a lot
Soft tissue swelling

No
Intra-articular calcification

No
Joint ankylosis

No
Extra-articular calcification/osseous bodies

Yes
Subluxation

No
Dislocation/diastasis

Degenerative
Category of disease

Osteoarthrosis
Diagnosis?

Heberden's nodes
Clinically, what may be noted by inspecting the involved joints?

- PIPs and DIPs involved
- Thick/swollen hand
- Gull-wing deformity
- Osteophytes
Describe findings

Erosive osteoarthritis
Diagnosis?

Middle-aged females
What patient population generally gets this disease?

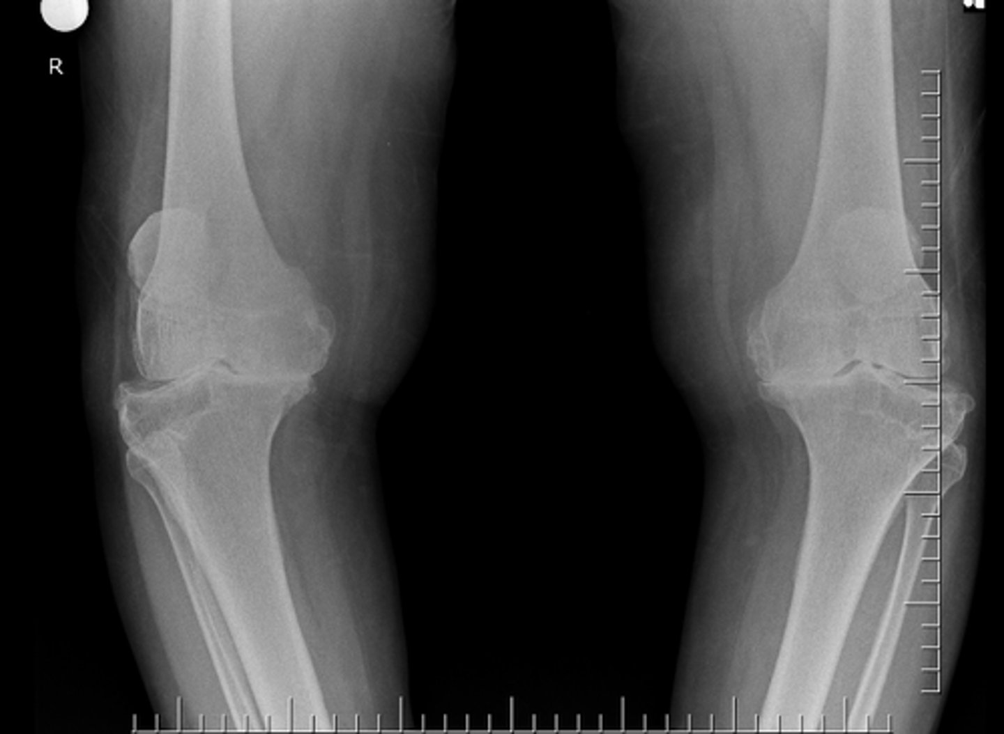
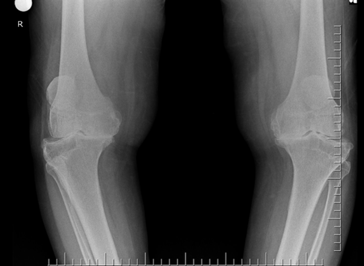
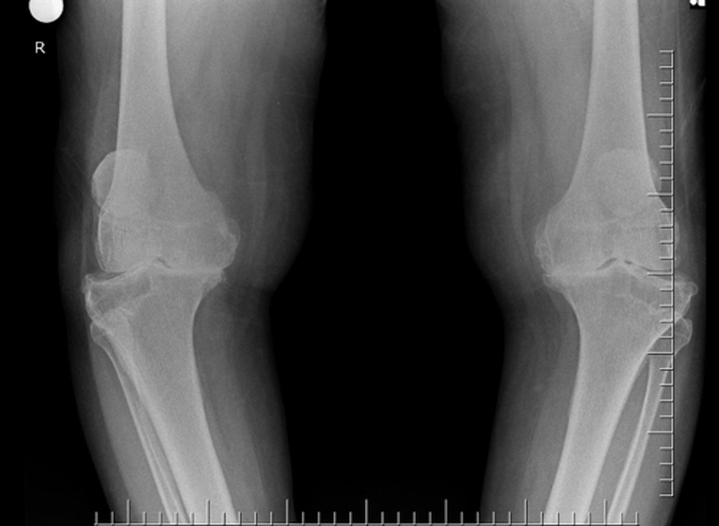
- Subluxation
- Non-uniform loss of joint space (medial tibiofemoral joint)
- Osteophytes
- Subchondral sclerosis
Describe findings

Osteoarthrosis
Diagnosis?

Genu varum
Clinically, the patient's lower extremities would take on what kind of appearance?

- Subluxation
- Osteophytes
- Subchondral sclerosis
- Non-uniform loss of joint space (medial tibiofemoral joint)
Describe findings

Osteoarthrosis
Diagnosis?

Patellar tooth sign
How would you describe the anterior aspect of the patella and what does it indicate?

- Subchondral cyst
- Subluxation
- Non-uniform loss of joint space
- Subchondral sclerosis
- Osteophytes
Describe findings

Osteoarthrosis
Diagnosis?

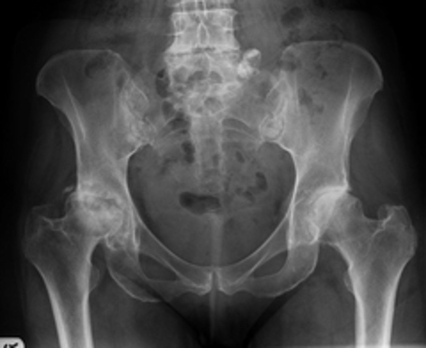
- CAM deformity
- Yes
- What "deformity" of the femoroacetabular joint is present?
- Do you think it relates to the diagnosis?

No
Would you adjust this patient?

- Calcification of anterior longitudinal ligament
- Intercalary bone
- Preserved disc height across 4 levels
List at least 3 findings

Ossification of the posterior longitudinal ligament (OPLL)
What complication has occurred in the cervical spine?

Diffuse idiopathic skeletal hyperostosis (DISH)
Most likely diagnosis?

Neurosurgeon referral
Next step?

No
Would you adjust this patient?

Ossification of the posterior longitudinal ligament (OPLL)
What is the main finding on the CT study?

Diffuse idiopathic skeletal hyperostosis (DISH)
Most likely diagnosis?

Neurosurgeon referral
Next step?

No
Would you adjust this patient's cervical spine?

- Swelling (distension)
- Dislocation
- Destruction
- Density changes
- Debris
- Disorganization
Describe findings

- Neuropathic arthritis
- Diabetes, neurosyphilis, syringomyelia, myelomeningocele, alcoholism
- Diagnosis?
- What are some causes of this?

Primary care provider
Next step?

No
Would you adjust the ankle?

- Intra-articular calcifications
- Loose bodies
List main findings

- Osteophytes
- Unilateral loss of joint space
Any secondary findings?

Synoviochondrometaplasia (SCM)
Diagnosis?

Orthopedic surgeon referral
Next step?
