 Call Kai
Call Kai Learn
Learn Practice Test
Practice Test Spaced Repetition
Spaced Repetition Match
Match1/30
Trematodes and Cestodes
| Name | Mastery | Learn | Test | Matching | Spaced | 
|---|
No study sessions yet.

Fasciola hepatica egg


Fasciola hepatica miracidium


Fasciola hepatica redia


Fasciola hepatica cercaria


Fasciola hepatica adult


Fasciolopsis buski adult


Clonorchis sinensis egg


Clonorchis sinensis adult


Paragonimus westermani egg


Paragonimus westermani adult


Schistosoma mansoni egg


Schistosoma mansoni adult male


Schistosoma mansoni adult female


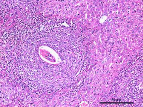
Schistosoma mansoni liver granuloma


Schistosoma haematobium egg


Schistosoma japonicum egg


Taenia pisiformis egg


Taenia pisiformis cysticercus

Taenia pisiformis adult scolex

Taenia pisiformis adult mature proglottid

Echinococcus granulosus adult scolex

Echinococcus granulosus adult immature proglottid

Echinococcus granulosus adult mature proglottid

Echinococcus granulosus adult gravid proglottid


Echinococcus granulosus hydatid cyst

Dipylidium caninum adult scolex

Dipylidium caninum adult mature proglottid


Hymenolepis diminuta egg


Hymenolepis diminuta cysticercoid

Hymenolepis diminuta adult scolex


Hymenolepis diminuta adult mature proglottid
