1. Anatomy Review (Intraoral Image Identification)

0.0(0)
studied byStudied by 0 people
full-widthCall with Kai
GameKnowt Play
learnLearn
examPractice Test
spaced repetitionSpaced Repetition
heart puzzleMatch
flashcardsFlashcards
Card Sorting

1/68

encourage image

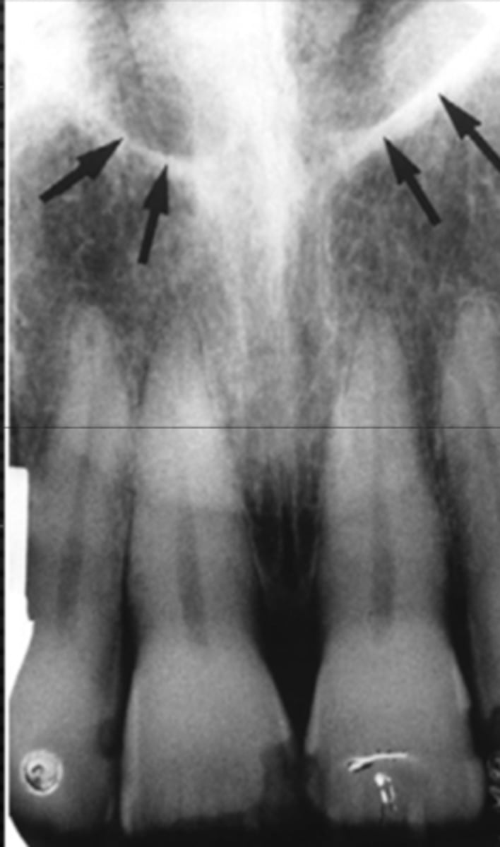
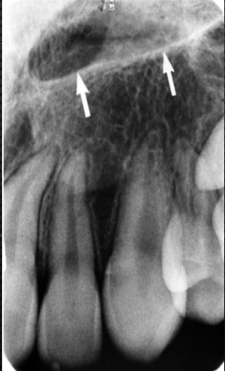
There's no tags or description

Looks like no tags are added yet.

Study Analytics
Name
Mastery
Learn
Test
Matching
Spaced

No study sessions yet.

69 Terms

1
New cards

Intermaxillary suture (palatine suture)

Identify the structure

<p>Identify the structure</p>
2
New cards

Anterior nasal spine

Identify the structure

<p>Identify the structure</p>
3
New cards

Black arrow - Nasal septum

White arrow- nasal conchae

Identify both structures

<p>Identify both structures</p>
4
New cards

nasal aperture

Identify the structure

<p>Identify the structure</p>
5
New cards

Floor of nasal cavity

Identify the structure

<p>Identify the structure</p>
6
New cards

Floor of nasal cavity

Identify the structure

<p>Identify the structure</p>
7
New cards

Incisive foramen

Identify the structure

<p>Identify the structure</p>
8
New cards

Nasopalatine canal

Identify the structure

<p>Identify the structure</p>
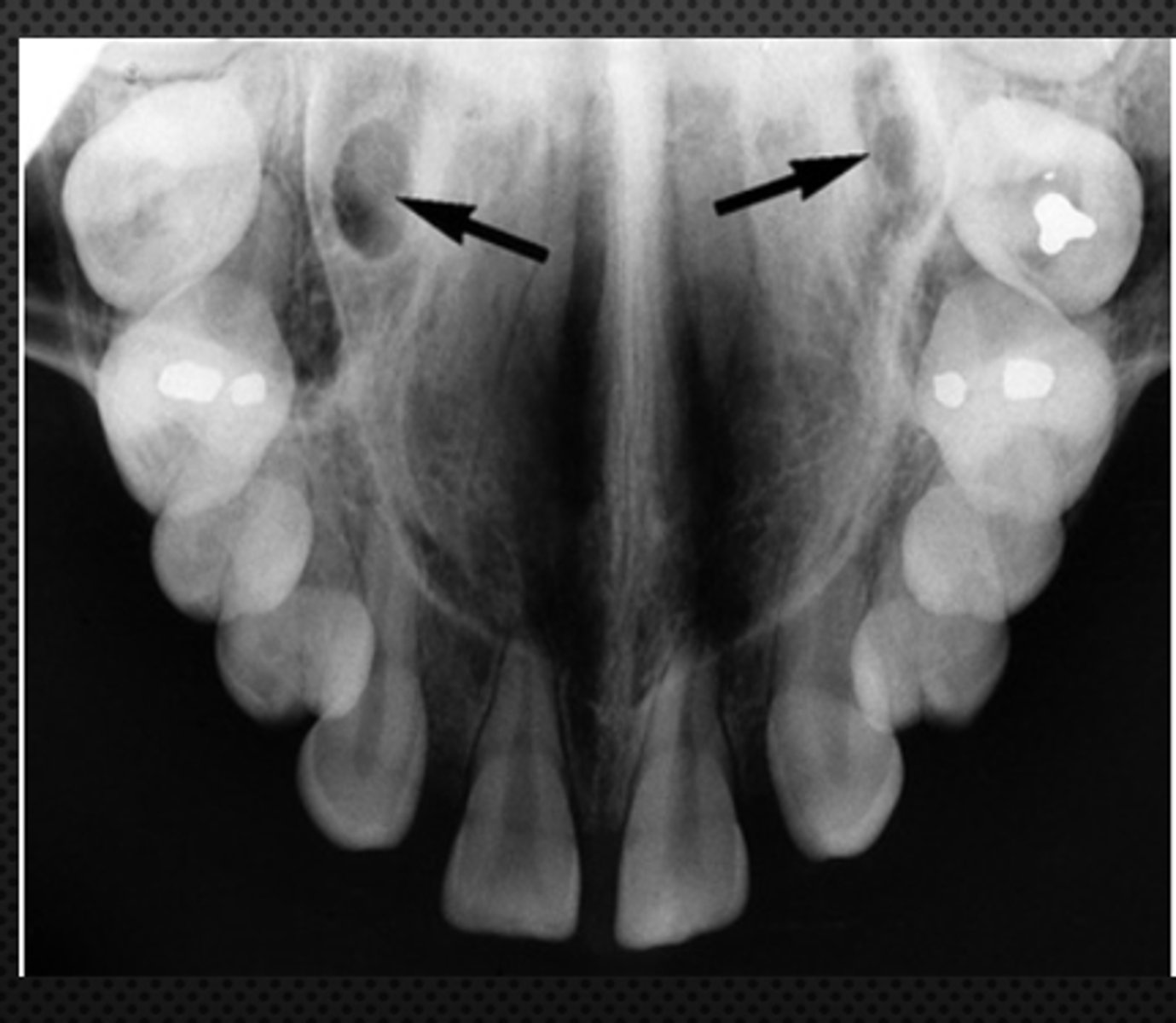
9
New cards

Superior foramina of the Nasopalatine canal

Identify the structure

<p>Identify the structure</p>
10
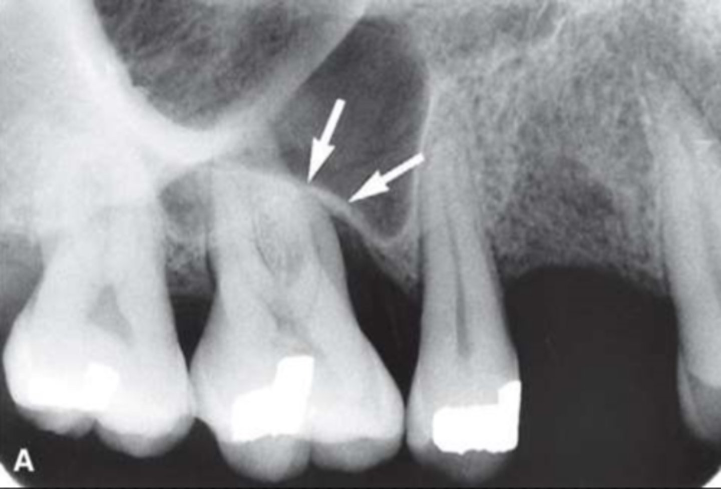
New cards

Lateral fossa

Identify the structure

<p>Identify the structure</p>
11
New cards

Nose (Soft tissue)

Identify the structure

<p>Identify the structure</p>
12
New cards

Nasolacrimal canal

Identify the structure

<p>Identify the structure</p>
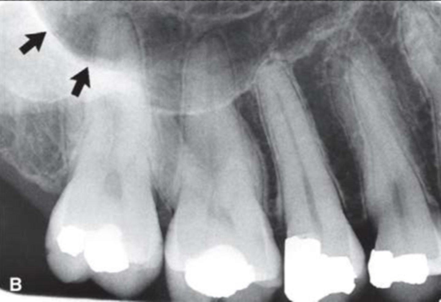
13
New cards

Black arrow - Floor of the nasal cavity

White arrow- maxillary sinus

Identify the structures

<p>Identify the structures</p>
14
New cards

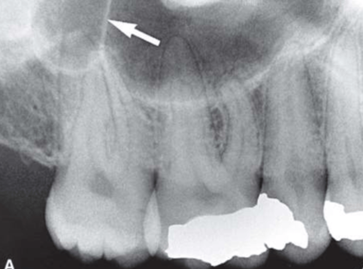
Maxillary sinus

Identify the structure

<p>Identify the structure</p>
15
New cards

Maxillary sinus

Identify the structure

<p>Identify the structure</p>
16
New cards

Neurovascular canal (nutrient canal)

Identify the structure

<p>Identify the structure</p>
17
New cards

Septum

Identify the structure

<p>Identify the structure</p>
18
New cards

Zygomatic process of the maxilla

Identify the structure

<p>Identify the structure</p>
19
New cards

yellow line- zygomatic process

white arrow - zygomatic bone

Identify the two structures

<p>Identify the two structures</p>
20
New cards

Nasolabial fold

Identify the structure

<p>Identify the structure</p>
21
New cards

Pterygoid plates

Identify the structure

<p>Identify the structure</p>
22
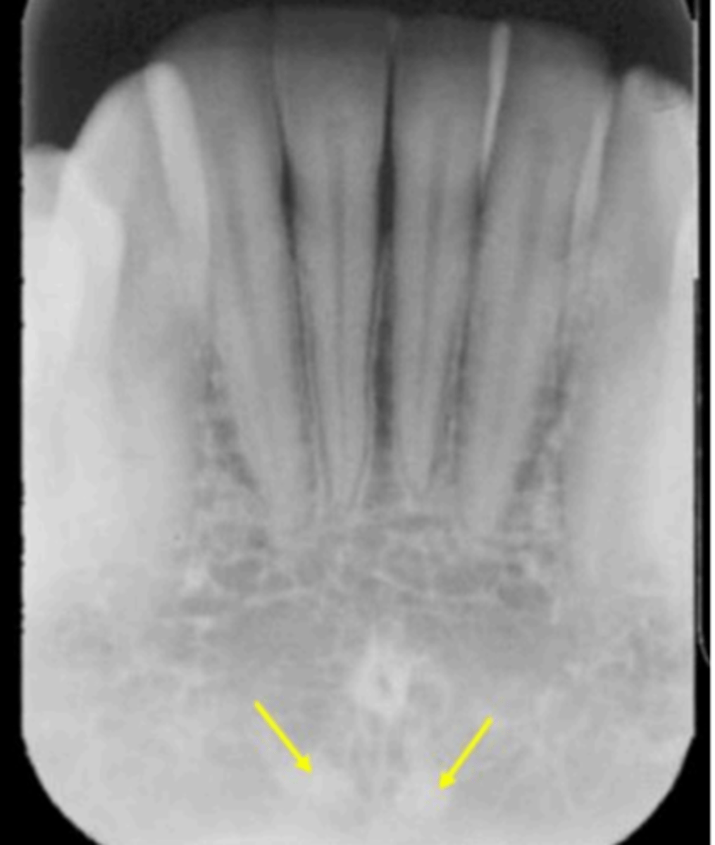
New cards

Lingual foramen

Identify the radiolucent spot

<p>Identify the radiolucent spot</p>
23
New cards

Genial tubercles (mental spines)

Identify the radiopaque structure

<p>Identify the radiopaque structure</p>
24
New cards

Genial tubercles (mental spines)

Identify the structure

<p>Identify the structure</p>
25
New cards

Mental ridge

Identify the radiopaque structure

<p>Identify the radiopaque structure</p>
26
New cards

Mental fossa

Identify the structure

<p>Identify the structure</p>
27
New cards

Mental foramen

Identify the structure

<p>Identify the structure</p>
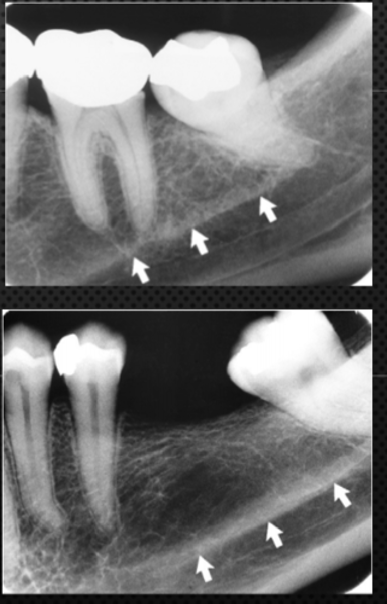
28
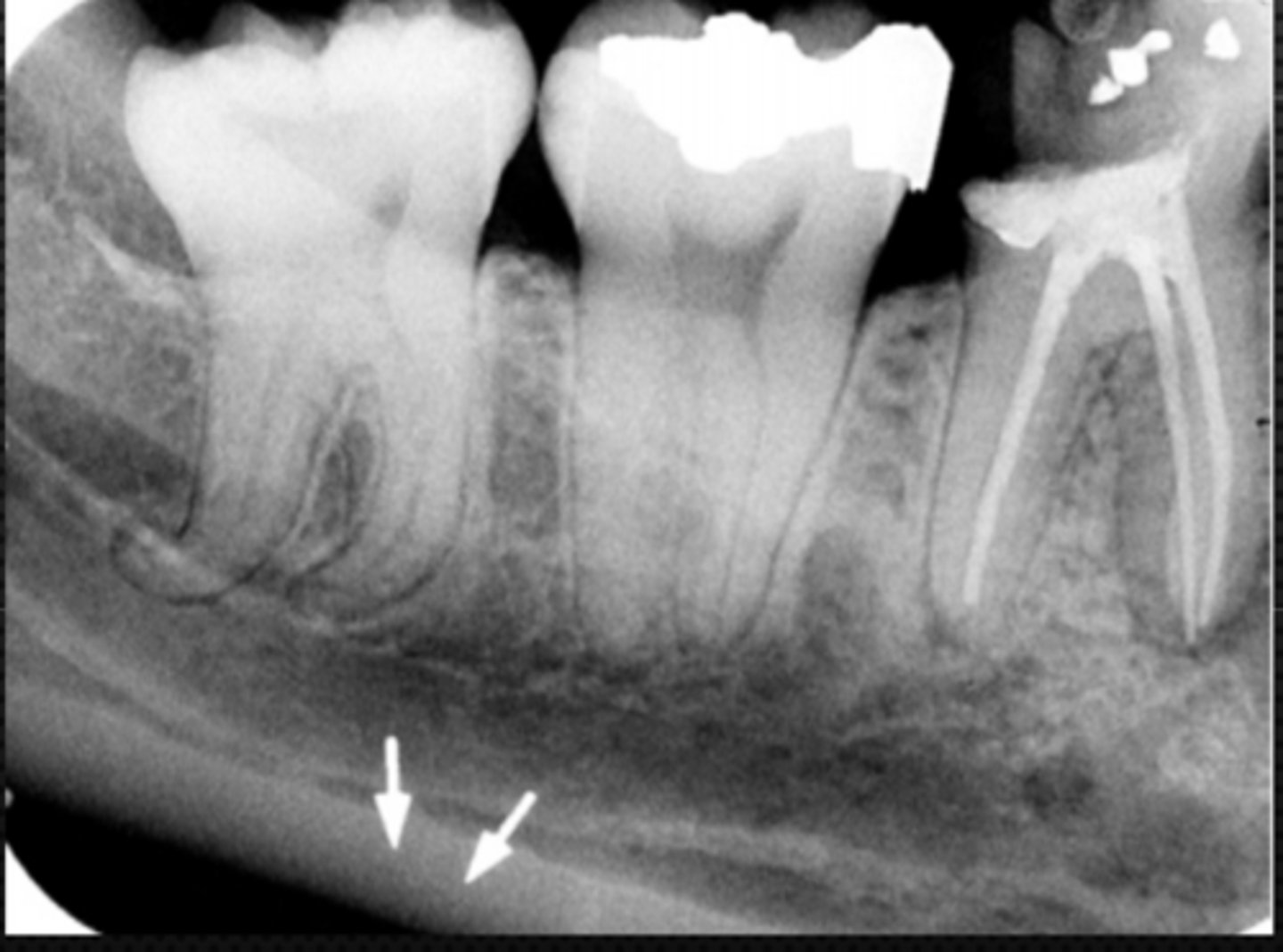
New cards

Mandibular canal

Identify the structure

<p>Identify the structure</p>
29
New cards

Mandibular canal

Identify the radiolucent structure

<p>Identify the radiolucent structure</p>
30
New cards

Nutrient canals (neurovascular canals)

Identify the radiolucent structure

<p>Identify the radiolucent structure</p>
31
New cards

Nutrient canals (neurovascular canals)

Identify the radiolucent structure

<p>Identify the radiolucent structure</p>
32
New cards

External oblique ridge

Identify the structure

<p>Identify the structure</p>
33
New cards

Mylohyoid (internal oblique) ridge

Identify the radiopaque structure

<p>Identify the radiopaque structure</p>
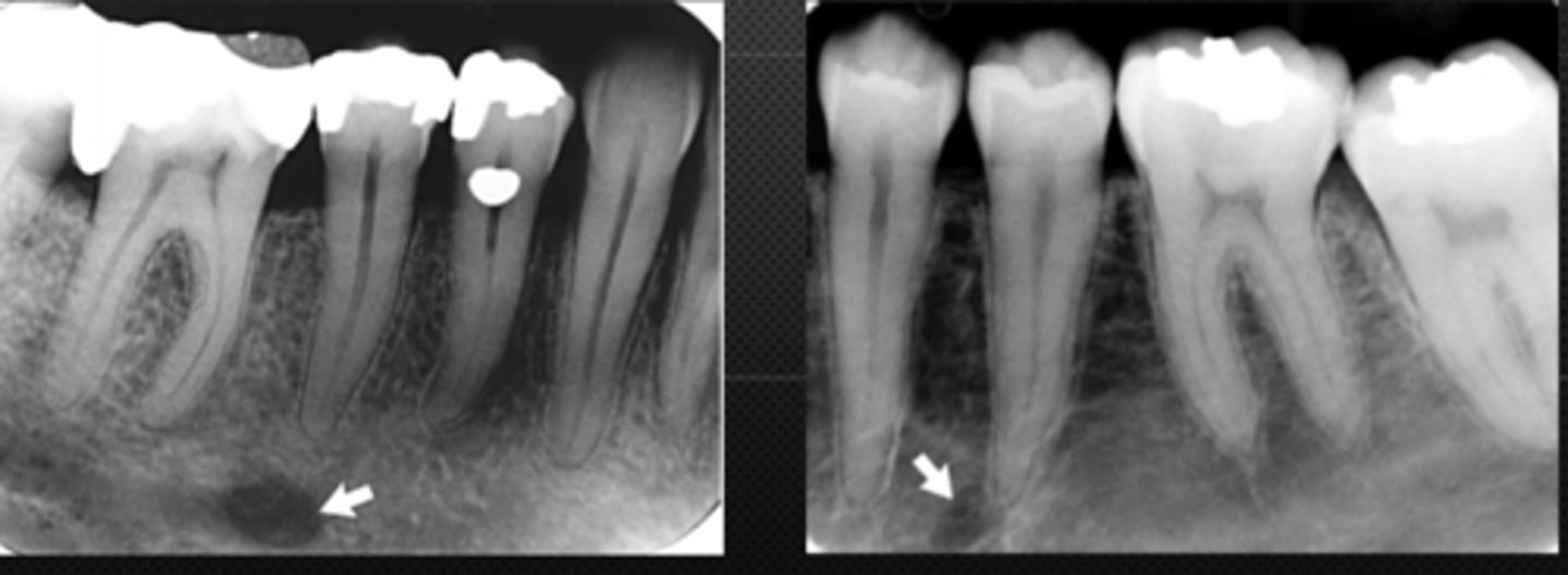
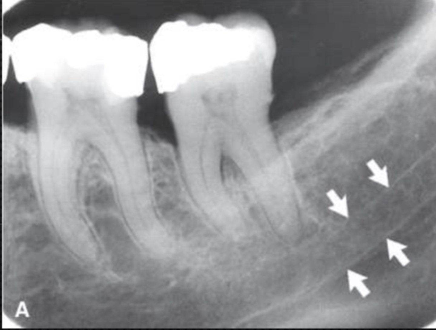
34
New cards

Submandibular fossa

Identify the large radiolucent area

<p>Identify the large radiolucent area</p>
35
New cards

inferior boarder of the mandible

Identify the structure

<p>Identify the structure</p>
36
New cards

Coronoid process

Identify the structure

<p>Identify the structure</p>
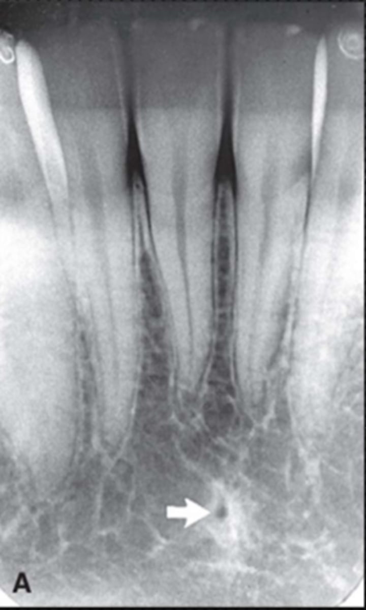
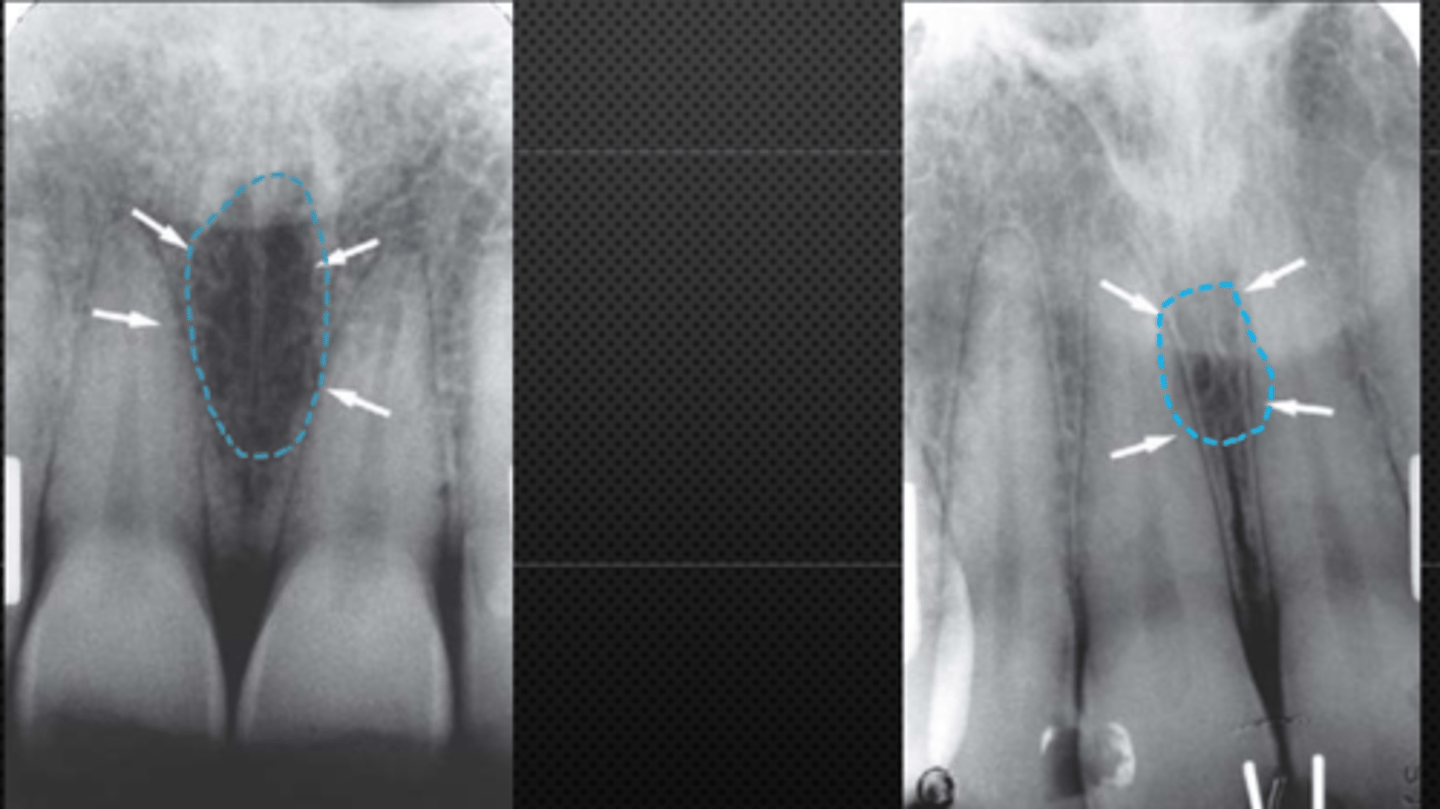
37
New cards

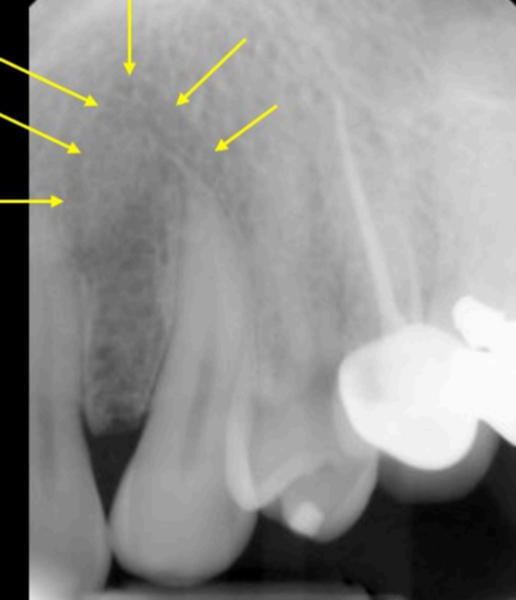
Nasopalatine (incisive) foramen

Identify the round, ovoid radiolucent structure indicated by the black arrows.

<p>Identify the round, ovoid radiolucent structure indicated by the black arrows.</p>
38
New cards

Nasopalatine canal

Identify the straight, radiopaque lines indicated by the white arrows.

<p>Identify the straight, radiopaque lines indicated by the white arrows.</p>
39
New cards

Nasal cavity

In which radiolucent space does the #6 lie?

<p>In which radiolucent space does the #6 lie?</p>
40
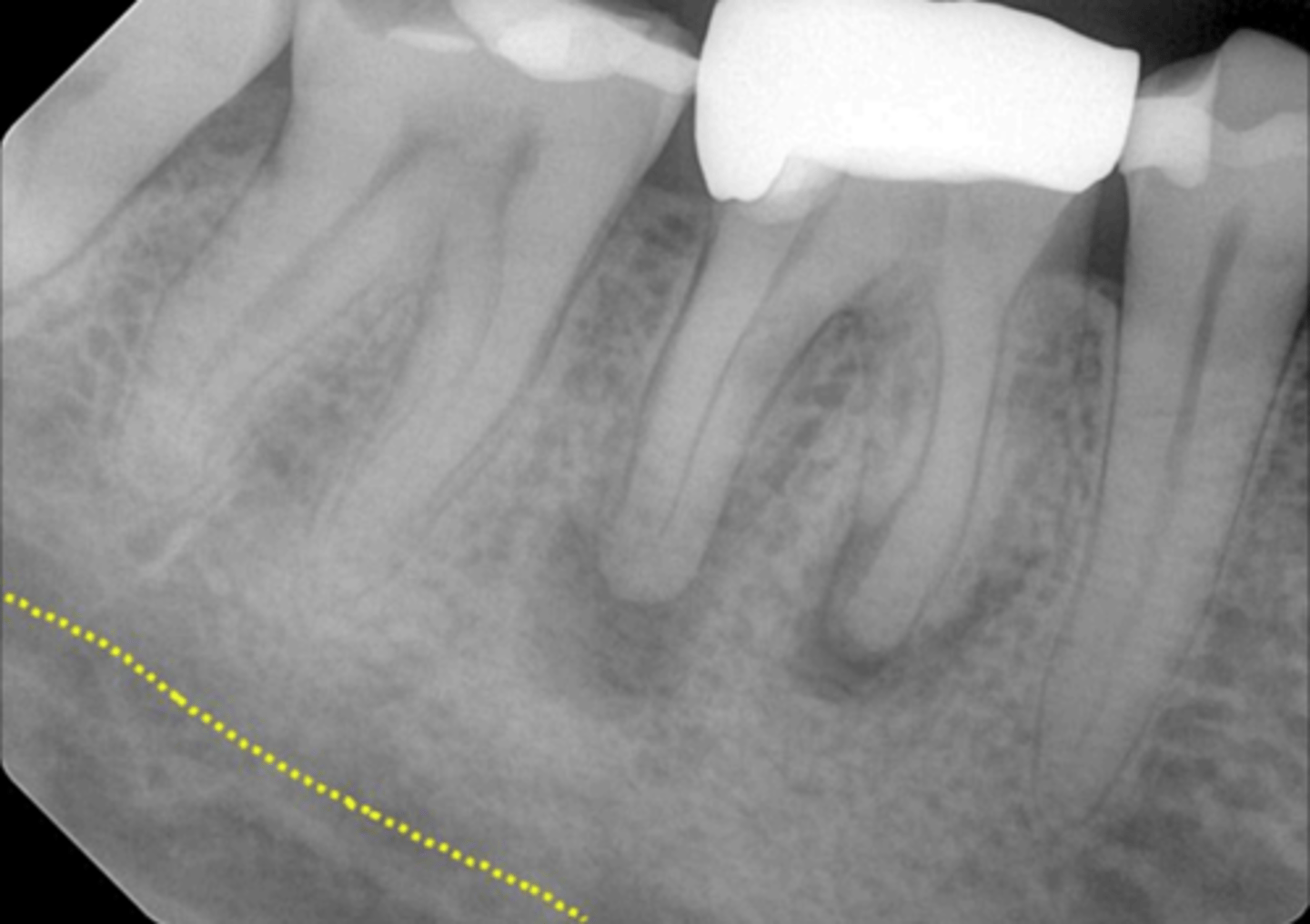
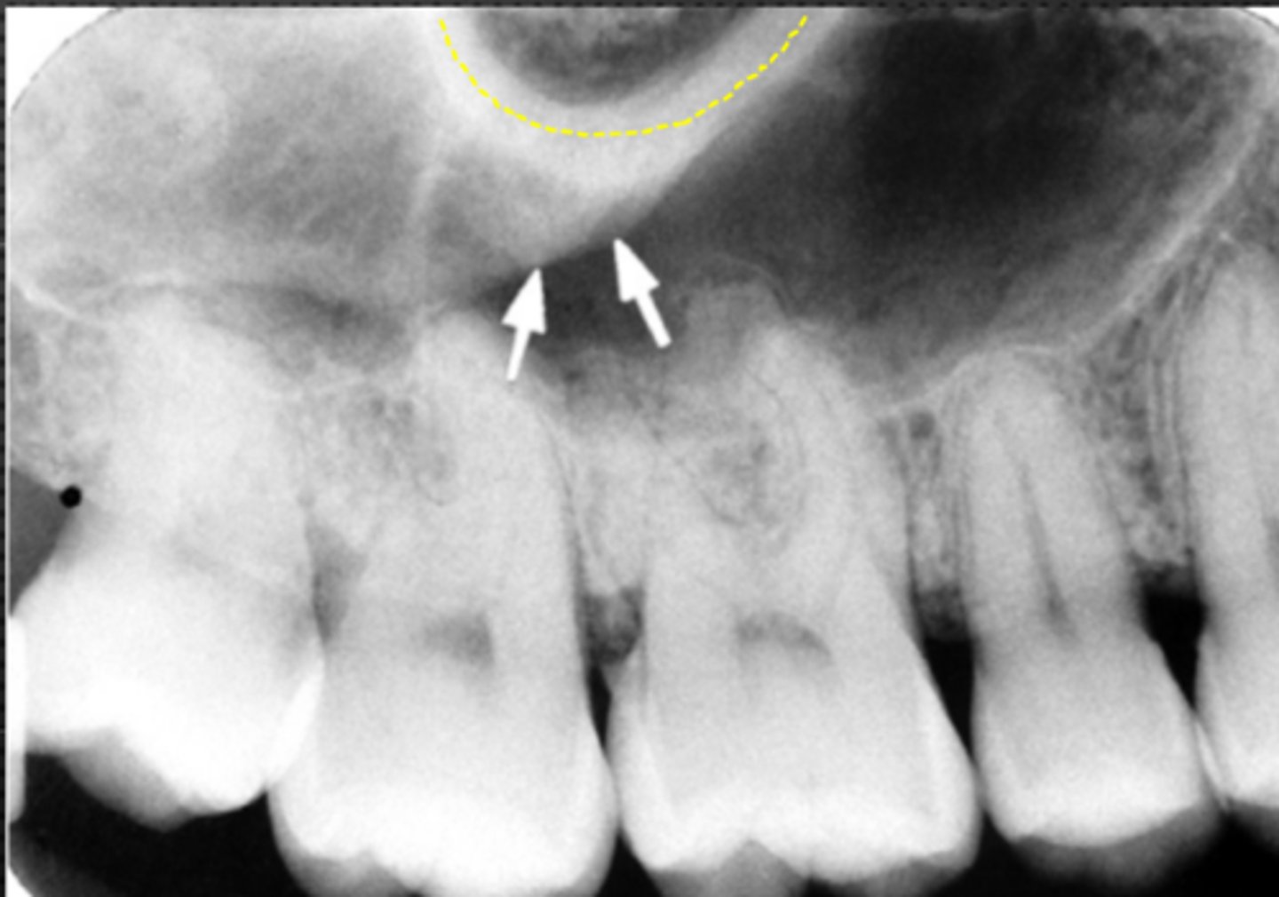
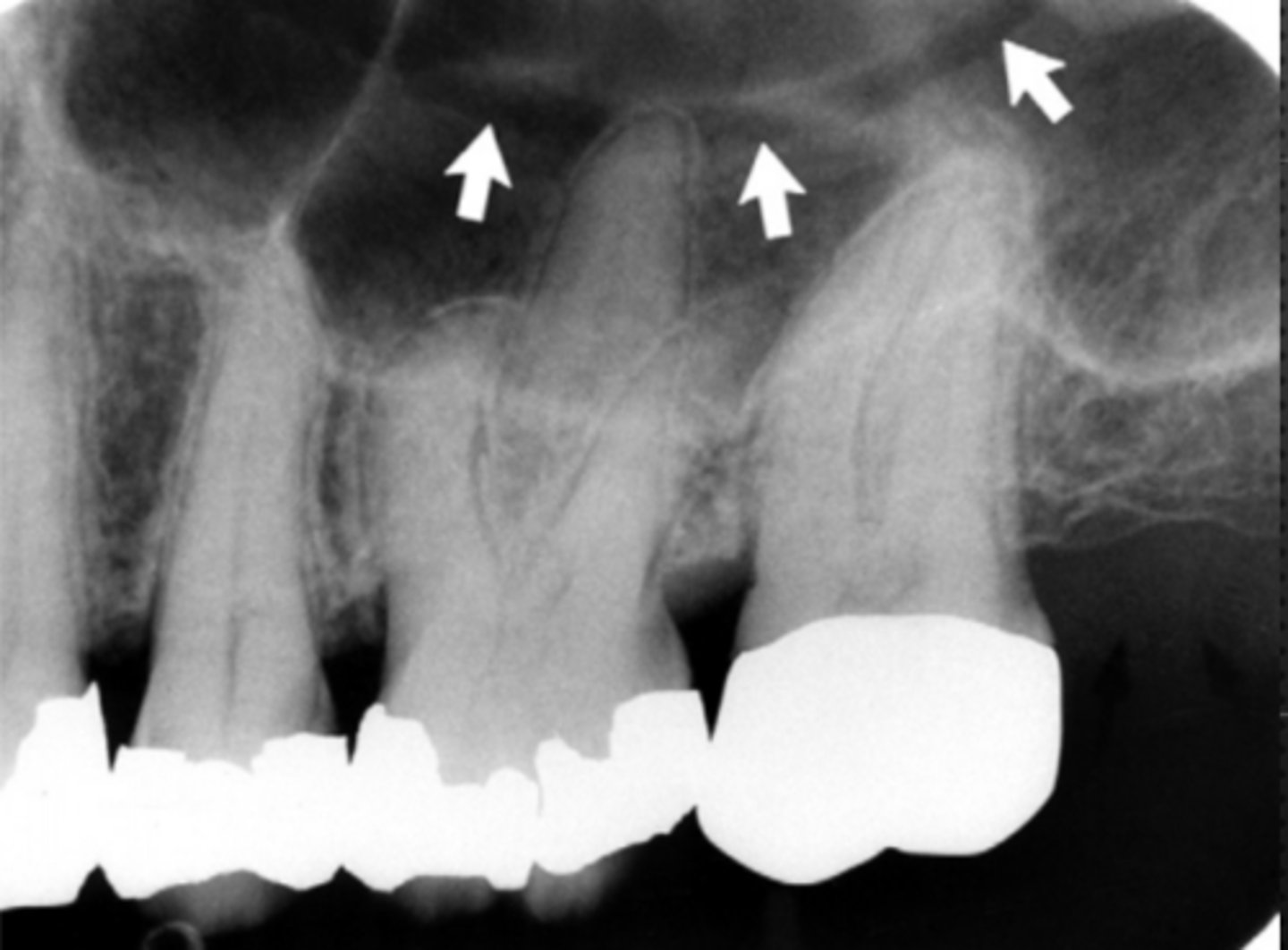
New cards

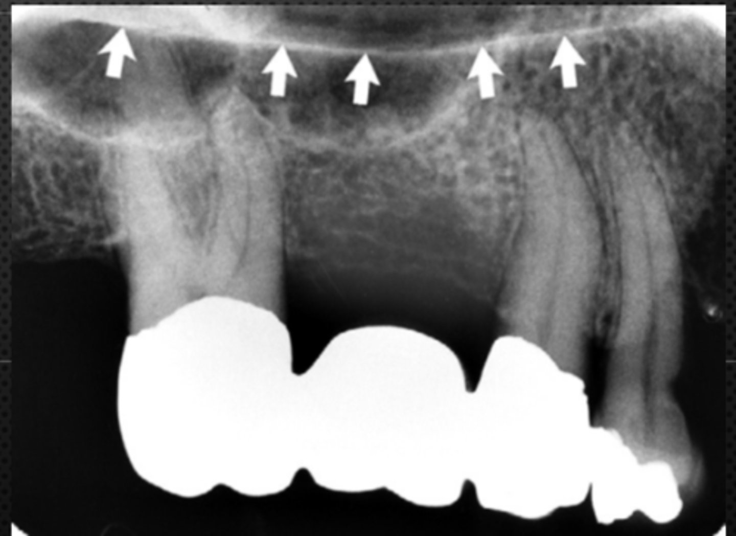
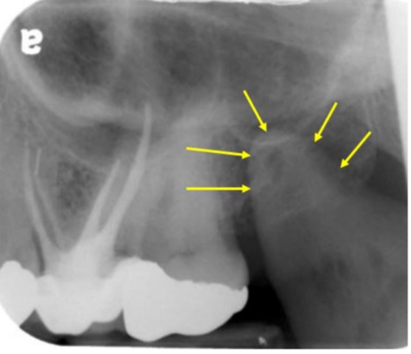
Floor of maxillary sinus

Name the curved, radiopaque line that superimposes the roots of the teeth indicated by #7.

<p>Name the curved, radiopaque line that superimposes the roots of the teeth indicated by #7.</p>
41
New cards

Floor of the maxillary sinus

Name the line indicated by arrows labeled #2.

<p>Name the line indicated by arrows labeled #2.</p>
42
New cards

Hamulus

Name the elongated radiopacity indicated by #5.

<p>Name the elongated radiopacity indicated by #5.</p>
43
New cards

Lateral pterygoid plate

Name the large radiopacity with a rounded inferior margin indicated by #4.

<p>Name the large radiopacity with a rounded inferior margin indicated by #4.</p>
44
New cards

Zygoma

Name the horizontal radiopaque line labeled #2.

<p>Name the horizontal radiopaque line labeled #2.</p>
45
New cards

Floor of maxillary sinus

Name the curved line scalloping between tooth roots labeled #3.

<p>Name the curved line scalloping between tooth roots labeled #3.</p>
46
New cards

Coronoid process

Name the curved, conical structure outlined in the bottom left corner of the image.

<p>Name the curved, conical structure outlined in the bottom left corner of the image.</p>
47
New cards

Lingual foramen

Name the small, radiolucent dot indicated by #4.

<p>Name the small, radiolucent dot indicated by #4.</p>
48
New cards

Lip line

Name the curved radiopacity, the superior border of which is labeled #7.

<p>Name the curved radiopacity, the superior border of which is labeled #7.</p>
49
New cards

Zygomatic process of the maxilla

Name the curved, radiopaque structure indicated by the arrows.

<p>Name the curved, radiopaque structure indicated by the arrows.</p>
50
New cards

Sinus septum

Name the straight (slightly curved), radiopaque structure indicated by the arrows.

<p>Name the straight (slightly curved), radiopaque structure indicated by the arrows.</p>
51
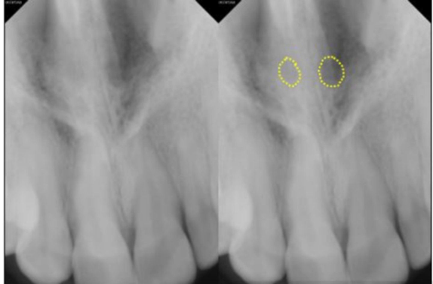
New cards

Superior foramina of the nasopalatine duct

Name the two round radiolucencies indicated.

<p>Name the two round radiolucencies indicated.</p>
52
New cards

anterior border of the ramus

Name the structure the white arrow is pointing to.

<p>Name the structure the white arrow is pointing to.</p>
53
New cards

internal oblique ridge or mylohyoid ridge

Name structure the black arrow is pointing to.

<p>Name structure the black arrow is pointing to.</p>
54
New cards

Submandibular fossa

Name the radiolucent area indicated by the arrows

<p>Name the radiolucent area indicated by the arrows</p>
55
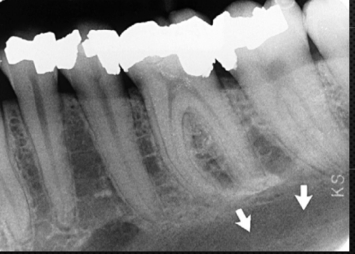
New cards

Floor of nasal cavity

What does the line indicated by the arrows represent?

<p>What does the line indicated by the arrows represent?</p>
56
New cards

Mental fossa

What is the radiolucent oval indicated?

<p>What is the radiolucent oval indicated?</p>
57
New cards

Mandibular canal

What is causing the thick radiolucent line surrounding the dotted line?

<p>What is causing the thick radiolucent line surrounding the dotted line?</p>
58
New cards

Lateral fossa

What is causing the well-defined round, radiolucent area indicated?

<p>What is causing the well-defined round, radiolucent area indicated?</p>
59
New cards

Genial tubercles (mental spine)

What is creating the radiopaque objects indicated by the arrows?

<p>What is creating the radiopaque objects indicated by the arrows?</p>
60
New cards

External oblique ridge

What is indicated by the dotted line?

<p>What is indicated by the dotted line?</p>
61
New cards

Coronoid process

What is the cone-shaped radiopacity indicated?

<p>What is the cone-shaped radiopacity indicated?</p>
62
New cards

Anterior nasal spine

What is the V-shaped radiopacity indicated?

<p>What is the V-shaped radiopacity indicated?</p>
63
New cards

Ala of the nose

Name the curved, radiopaque structure indicated by arrow #3.

<p>Name the curved, radiopaque structure indicated by arrow #3.</p>
64
New cards

Floor of maxillary sinus

Name the curved, hyperdense line that superimposes the roots of the teeth indicated by #7.

<p>Name the curved, hyperdense line that superimposes the roots of the teeth indicated by #7.</p>
65
New cards

Floor of the nasal cavity

Name the line indicated by arrows labeled #1.

<p>Name the line indicated by arrows labeled #1.</p>
66
New cards

Mental ridge

What makes the inverted-V shaped line indicated?

<p>What makes the inverted-V shaped line indicated?</p>
67
New cards

Nasopalatine duct

What is the wide, vertical structure indicated by the arrows?

<p>What is the wide, vertical structure indicated by the arrows?</p>
68
New cards

nasolacrimal duct

Name the structure the black arrow is pointing to.

<p>Name the structure the black arrow is pointing to.</p>
69
New cards

Inverted Y

Name the two thin, curved, radiopaque lines that merge indicated by arrows #4.

<p>Name the two thin, curved, radiopaque lines that merge indicated by arrows #4.</p>