1/36
Looks like no tags are added yet.
Name | Mastery | Learn | Test | Matching | Spaced |
|---|
No study sessions yet.
External oblique ridge
What is the radiopaque structure seen here?

Mylohyoid ridge (internal oblique ridge)
What is the radiopaque structure seen here?

Anterior border of the ramus
What is the radiopaque structure seen here?

Submandibular fossa
What is the radiolucent structure seen here?

Coronoid process
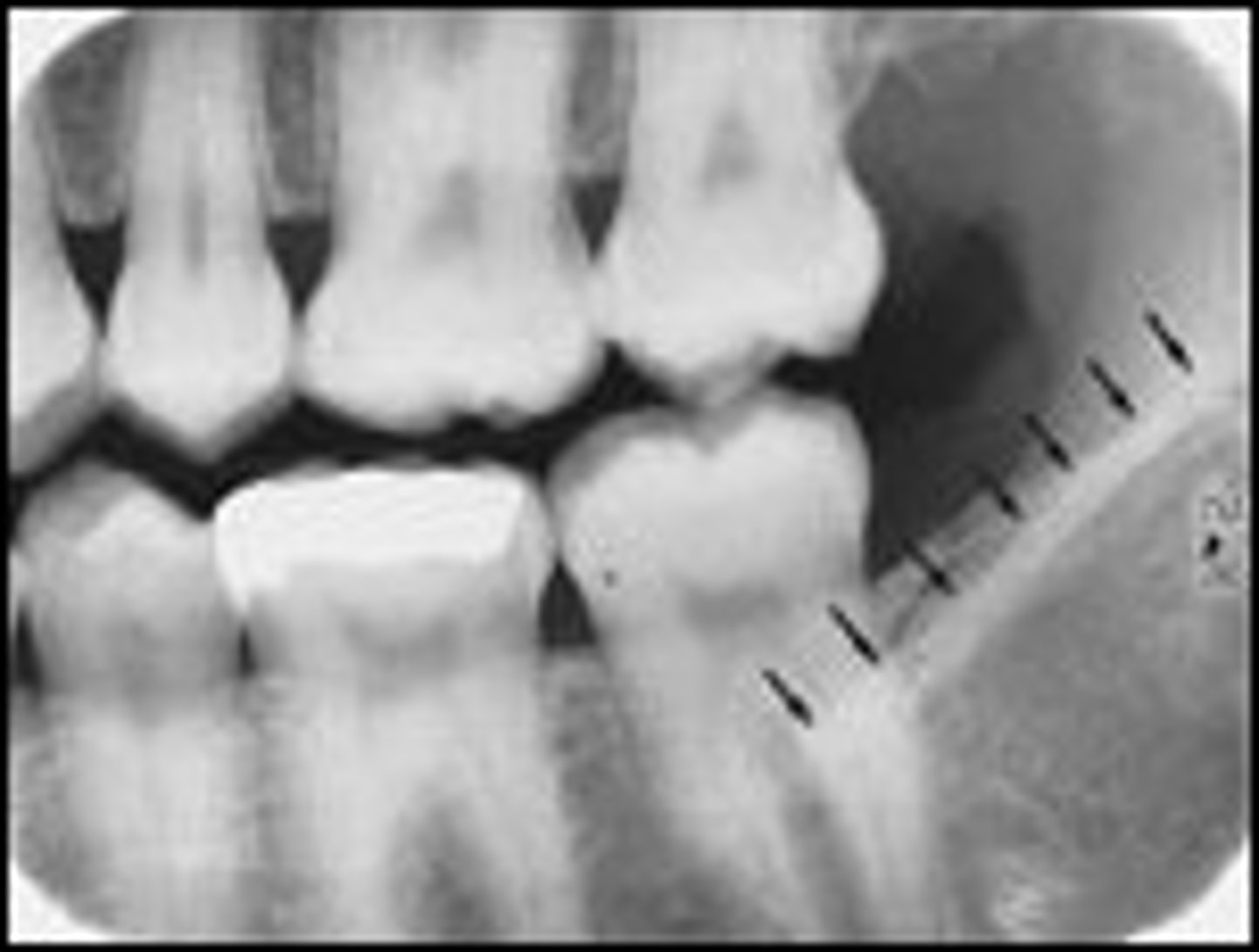
What is the radiopaque structure seen here?

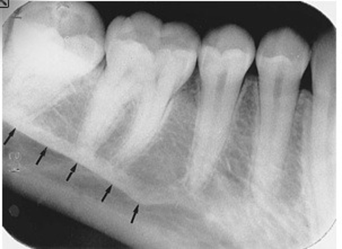
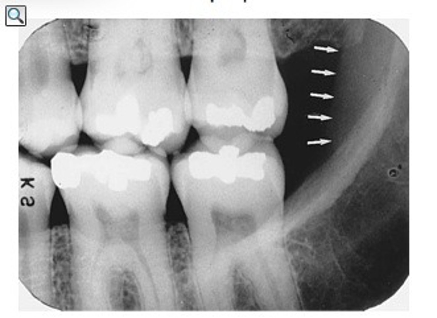
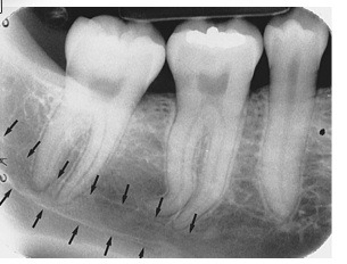
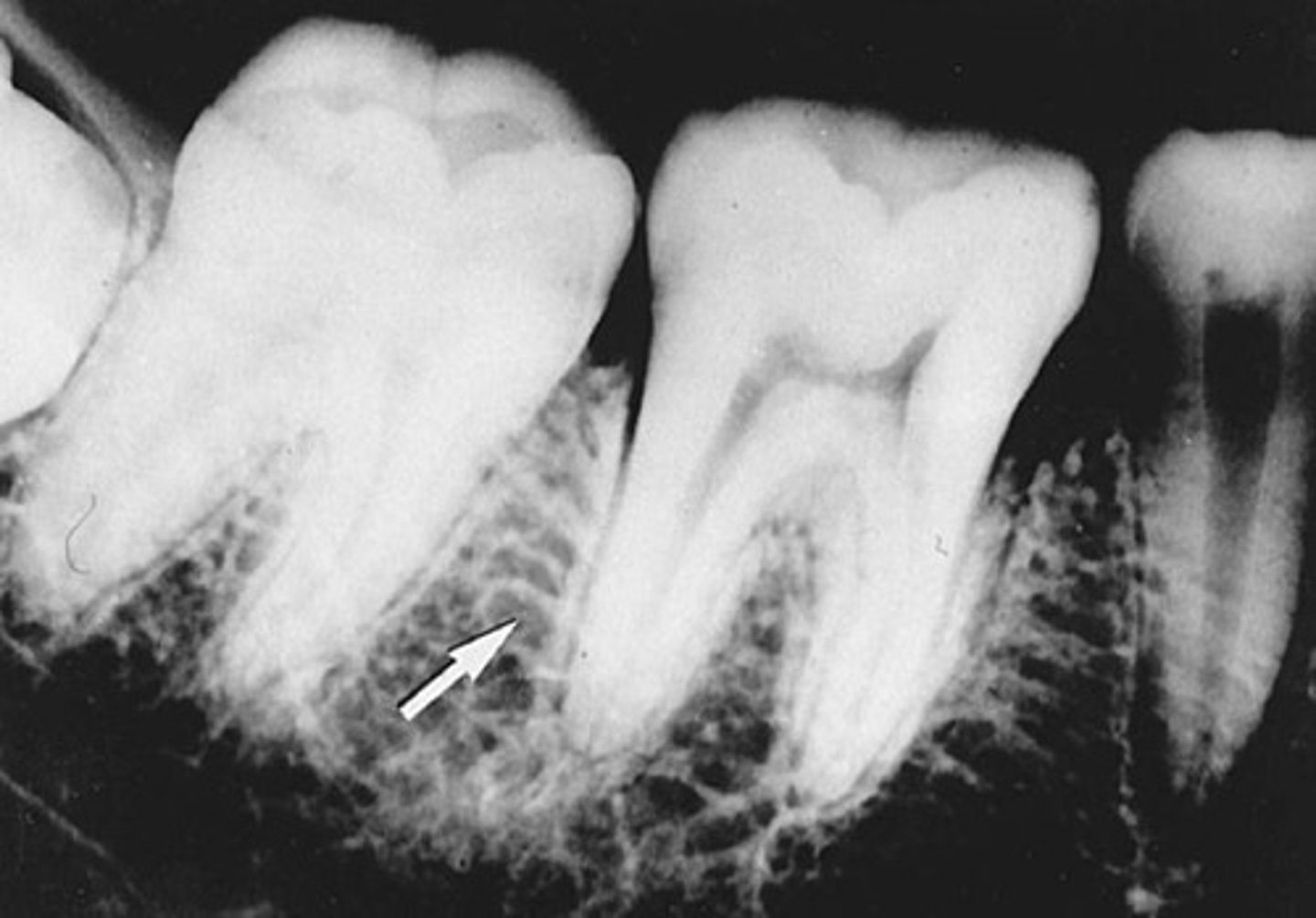
Mandibular canal
What is the radiolucent structure seen here?

Mental foramen
What is the radiolucent structure seen here?

Mental fossa
What is the radiolucent structure seen here?

Mental ridge
What is the radiopaque structure seen here?

Nutrient canals
What is the radiolucent structure seen here?

Lingual foramen
What is the radiolucent structure seen here?

Genial tubercles
What is the radiopaque structure seen here?

Zygomatic process
What is the radiopaque structure seen in the upper right picture?

Hamulus
What is the radiopaque structure seen here?

Maxillary tuberosity
What is the radiopaque structure seen here?

The inverted Y
What is the radiopaque structure seen here?

Nutrient canals within the maxillary sinus
What is the radiolucent structure seen here?

Septa within the maxillary sinus
What is the radiopaque structure seen here?

Maxillary sinus
What is the radiolucent structure seen here?

The floor of the maxillary sinus
What is the radiopaque structure seen here?

Inferior nasal conchae
What is the radiopaque structure seen here?

Anterior nasal spine
What is the radiopaque structure seen here?

Nasal septum
What is the radiopaque structure seen here?

Nasal cavity
What is the radiolucent structure seen here?

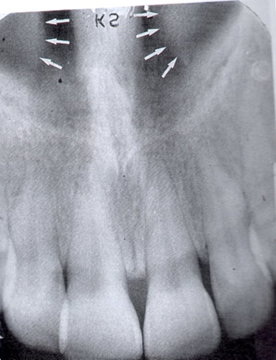
Lateral fossa
What is the radiolucent structure seen here?

Median palatal suture
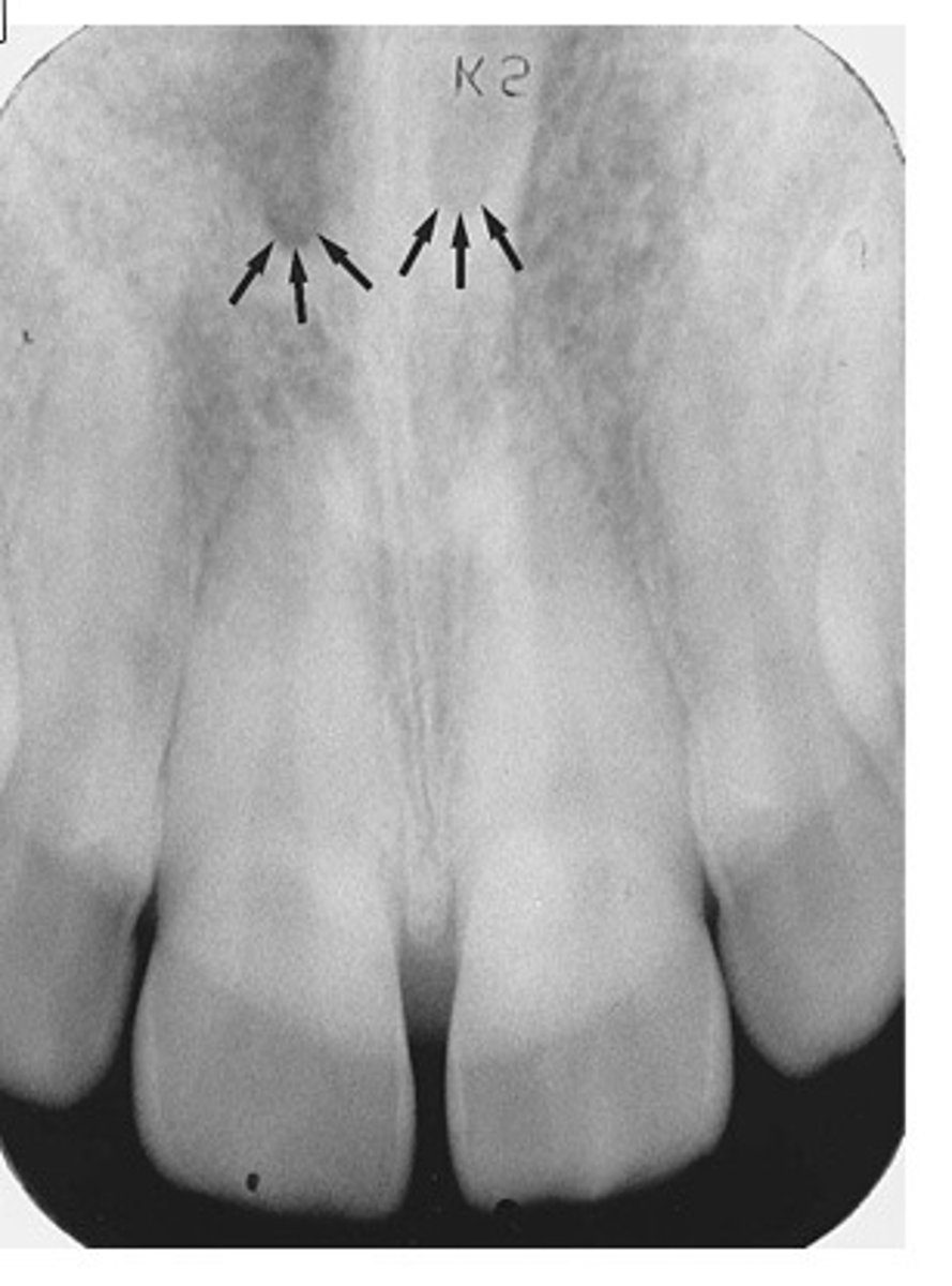
What is the radiolucent structure seen here?

Superior foramina of the incisive canal
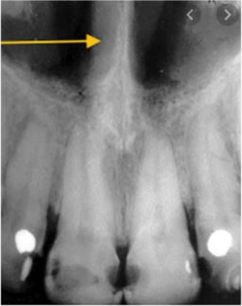
What is the radiolucent structure seen here?

Incisive foramen
What is the radiolucent structure seen here?

Cortical bone
What kind of bone is shown here?

Cancellous bone
What kind of bone is shown here?

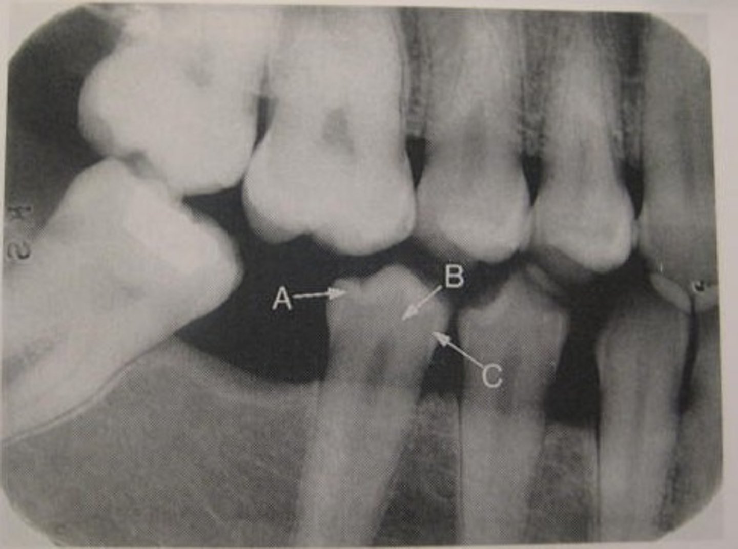
Enamel
What is arrow A pointing to?

Dentin
What arrow B pointing to?

Pulp cavity
What is the radiolucent structure shown here?

Dentino-enamel junction (DEJ)
What arrow C pointing to?

Lamina dura
What is the radiopaque structure seen here?

Alveolar crest
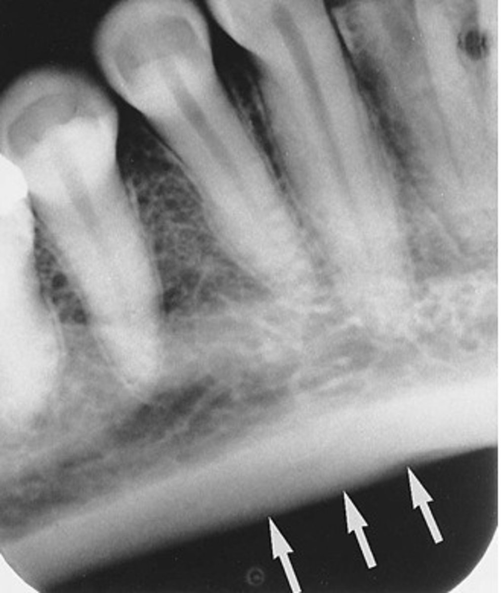
What is the radiopaque structure seen here?

Periodontal ligament space
What is the radiolucent structure seen here?
