1/9
Looks like no tags are added yet.
Name | Mastery | Learn | Test | Matching | Spaced | Call with Kai |
|---|
No analytics yet
Send a link to your students to track their progress
how are cell membranes in archaea unique?
phospholipids in archaea are joined by ether bonds, not ester bonds
diglycerols can be formed, so they can form monolayers as well as bilayers

how are the structures of G+ve and G-ve bacterial cell walls different?
G+ve bacteria have a cytoplasmic membrane and a large layer of peptidoglycan over it
G-ve bacteria have a thin layer of peptidoglycan around the cytoplasmic membrane, followed by a second outer unit membrane (so they don’t take up gram stain), with large carbohydrate chains sticking off- inbetween the two membranes is the periplasm

what is the structure of peptidoglycan?
the sugar backbone is composed of alternating monomers of N-acetylglucosamine, NAG, and N-acetylmuramic acid, NAM, (modified glucose residues) joined by a beta-1,4 linkage
a short peptide side chain is attached to N-acetylmuramic acid- the amino acids vary between species
strands of peptidoglycan cross-link by peptide bonds between the amino acids in these peptide side chains

how are archaeal cell walls different to bacterial cell walls?
archaea don’t have peptidoglycan in their cell walls
they don’t have an outer membrane like G-ve bacteria
protein subunits can form an S-layer
the structure of the cell walls varies a lot between archaeal species

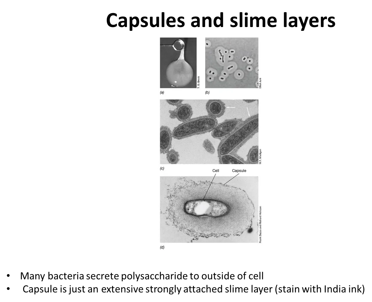
what are capsules and slime layers?
many prokaryotes secrete sticky/slimy polysaccharides on their cell surface, outside the cell envelope:
a capsule is a tight matrix that excludes small particles
a slime layer is easily deformed and loosely attached, and doesn’t exclude particles
these mediate attachment, protect the cell from attack and environmental stresses eg. dehydration
they are often used by nitrogen-fixing bacteria to exclude oxygen, because nitrogenase is destroyed by oxygen

what are pili used for?
sticking to surfaces
sticking to other cells (helpful for pathogens/conjugation)
forming thin sheets of cells: biofilms (on solid surfaces) and pellicles (on liquids)
movement via twitching motility (by attaching to a surface then retracting)
all G-ve have pili, some G+ve do too
what are the four distributions of flagella?
peritrichous - scattered around the cell surface
polar- one flagella at one end
lophotrichous- bundle at one end
amphitricous- bundles at both ends

how do bacteria move using flagella?
in peritrichous bacteria:
all the flagella bundle together and rotate counterclockwise
to turn, one flagellum turns clockwise, causing a ‘tumble’ where it will change direction
then the flagella bundle back up and rotate counterclockwise in the new direction
in polar bacteria:
some cells can reverse by turning their flagella counterclockwise or clockwise (reversible flagella)
some cell have to stop and reorient to turn (unidirectional flagella)

how do flagella rotate?
bacterial flagella are rigid and helical
the basal body is anchored in the cytoplasmic membrane
this contains a proton motor- proton movement through channels and electrostatic forces cause the rotation of the proteins
they change their speed in relation to the strength of the proton motive force

how do flagella enable chemotaxis?
positive chemotaxis towards an attractant (eg. sugar):
if the bacteria are swimming away from the attractant, the frequency of tumbling increases so that the bacteria turn towards it, and the frequency of tumbling then decreases
the opposite occurs for negative chemotaxis away from a repellent (eg. toxin)
this is called the biased 3D random walk
