1/37
This set of flashcards covers the identification features of various glands and structures in the digestive system, including their unique characteristics and histological features.
Name | Mastery | Learn | Test | Matching | Spaced | Call with Kai |
|---|
No analytics yet
Send a link to your students to track their progress

What are the identifying features of the sublingual gland?
Pale mucous acini.

Identification
Sublingual gland

How can you identify the parotid gland?
It has many intralobular ducts.

Identification
Parotid gland

How to identify?
Parallel foliate papillae

Identification
Tongue

How to identify?
Many tongue papillae on the upper
surface

Identification:
Tongue

How to identify?
Presence of skin on the outer
surface showing hair follicles

Identification
Lip

What type of epithelium lines the esophagus?
Stratified squamous epithelium.

Identification
Esophagus
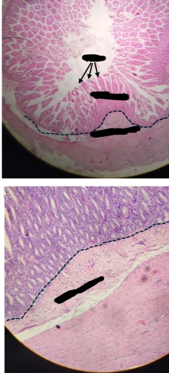
What distinguishes the fundus of the stomach?
Mucosa contains fundic glands with short narrow pits.

Identification:
Fundus of the
stomach

What is characteristic of the pylorus of the stomach?
It has pyloric glands with deep, wide pits.

Identification:
Pylorus of the
stomach

What are Brunner's glands associated with?
The submucosa of the duodenum.

Identification:
duodenum

What defines the jejunum structure?
The submucosa is empty, with no glands or lymphoid follicles.

Identification
Jejunum
What features are seen in the ileum?
Presence of Payer's patches on the antimesenteric border.

Identification
Ilum

How do you identify the pancreas histologically?
It has serous acini with a dark periphery and pale center.

Identification
Pancreas

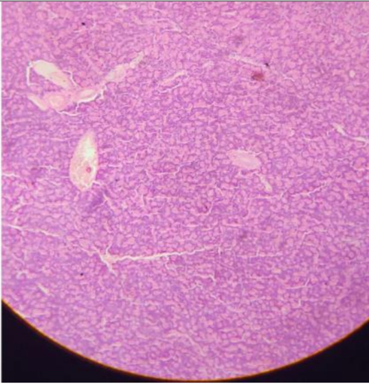
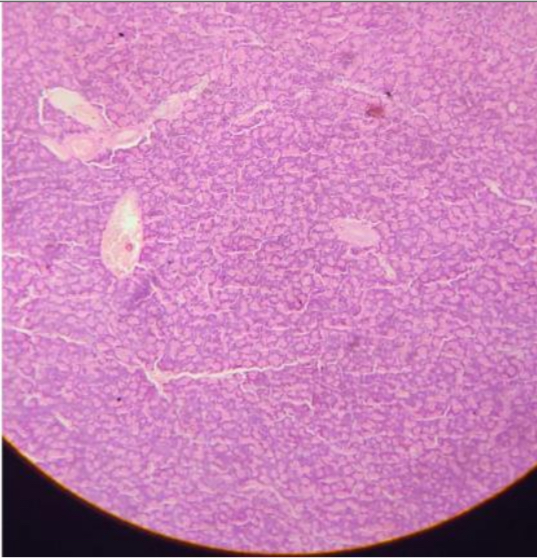
What structures are found in the liver?
Acidophilic cells around central veins.

Identification
Liver

identify?
Hepatocytes , central vein

identify?
Gall bladder . Liver

Identification
Enterocytes & Goblet cellsMucin

Identification
goblet cell

Identification
Sinusoids & perisinusoidal space

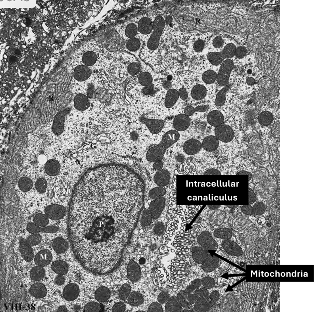
Identification
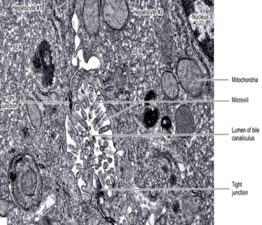
Bile canaliculus

Identification
Mucous Neck cell

Identification
Surface mucous secreting cells

Identification
Parietal cell

Identification
Enteroendocrine cell , open type

Identification
Enteroendocrine cell , closed type

Identification