1/909
Looks like no tags are added yet.
Name | Mastery | Learn | Test | Matching | Spaced |
|---|
No study sessions yet.
Clinical picture of 14 y.o. with inflamed gingival
Leukemia
How should an allergic reaction to barbiturates on lip be treated?
Benadryl
Patient does not like look on canine (pictured), asked what it was
Hypoplasia

Facial erosion due to acidic beverages

Amelogenesis Imperfecta (xray)

Blue sclera (eye picture), what dental findings should you see?
Dentinogenesis imperfecta

All of the following are Hyperthyroid symptoms except?
a. fatigue
b. exopthalamus
c. tachycardia
d. tremor of extremities
a. fatigue
The minimal axial reduction for crowns are
1.5mm
Crown on #9 needs to be replaced. What measurement is correct?
2mm occlusal reduction
What is the maximum amount of unsupported porcelain allowed?
2mm
The most important treatment for ANUG is
debridement
What is Gingivectomy used for
gingival hyperplasia
What is the treatment for a patient with a liver clot?
Irrigate, apply pressure, reassess
(liver clot-unstable and often large, friable clot commonly forming in mucous membranes. Usually lead to excessive bleeding and abnormal wound healing.)
In order to improve gingival health, what must you do to temporary crown?
Under contour
Picture of Upper and lower complete arch crowns. What is wrong?
Impingement on gums/gums health
Patient presents with pain on swallowing when wearing their denture. What is wrong?
Overextension of lingual flange
Patient presents with space in between 3rd molar and premolar, with class II mobility. How should you treat?
Implant
Patient missing #2 and #3. #1 has Class III mobility and furcation involvement. What would be the optimal treatment plan?
Extract #1 and implant for #3 or #2and #3
If you cannot pick a color for crown, what should you choose?
something with LOWER shade saturation and less gray
What is the worst location for an implant?
maxillary posterior
What is the best location for an implant?
Either mandibular posterior or mandibular anterior
What is the best long term prognosis for an implant?
Either mandibular posterior or mandibular anterior
Zinc phosphate is the worst cement for what type of restoration
deep restoration (pulpal irritation)
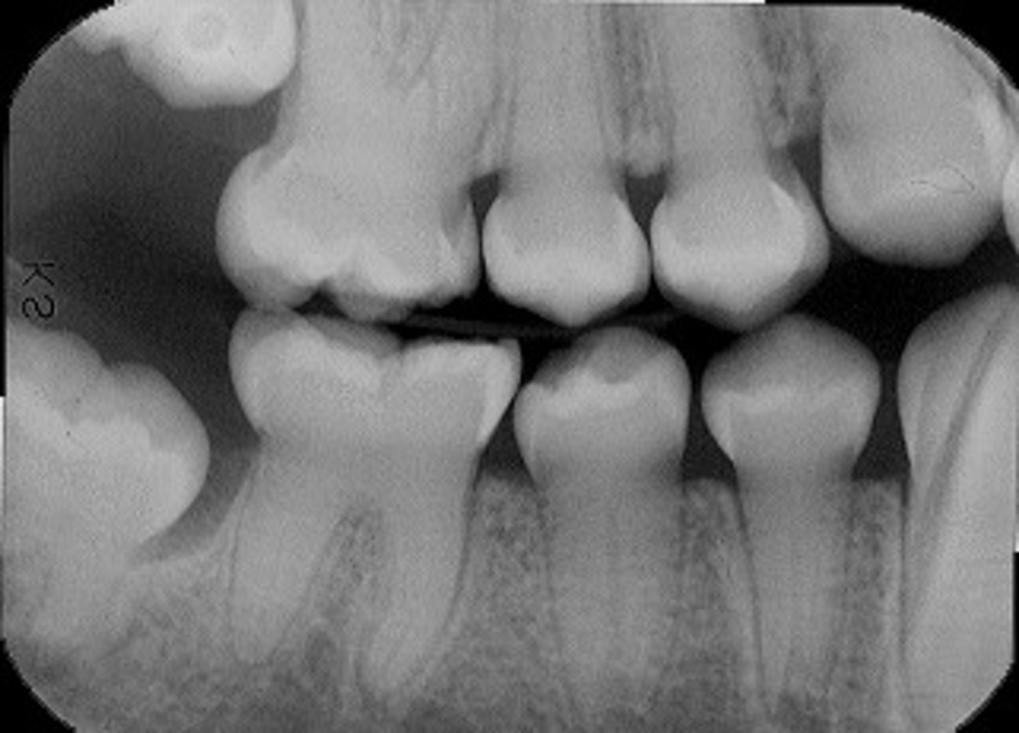
BW xray of amalgam restoration. Patient complained of pain when provoked by hot or cold. What is wrong?
Deep amalgam restoration
How long should periodontal packs be left for ?
1 week
How should an epulis be treated before making a new denture?
Excision

What is the major reason for periodontal flaps?
access of instrumentation
Patient presents with maxillary tori. What needs to be done before making new denture
Remove tori
What is a characteristic of a major connector of a denture?
Rigidity
How often does OSHA make you check the autoclave
Weekly
HIV ELISA test was negative for a person who had a needle stick. What does that mean?
Patient has no Abs present
Ortho case - what was the most important thing they did in maxillary arch?
Align the teeth for future restorative procedures ( not close upper or lower diastemas)
What pain reliever do you give to a patient who has kidney disease?
Acetaminophen
Picture of surveyor. Asked what we were looking at?
space for guide plane

What is the major complications of Phelobitis
pulmonary emboli
Patient complaining of space in between teeth after SRP, why?
because of
reduction in edema
1-2mm of reduction of probing depth after preforming SRP, what is the cause?
LJE
If there is a shunt on left arm, what should you consider
take BP on right arm
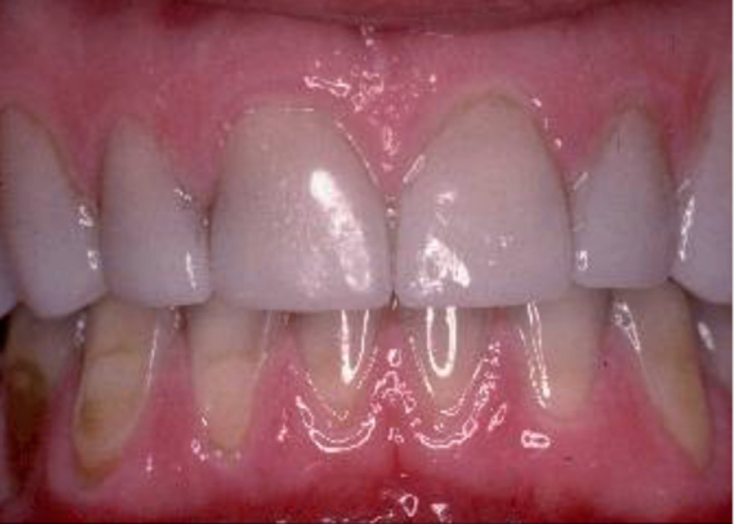
Picture of #10 and #11 lingual surface, what is wrong with the gingiva?
Edema
Space in between #29 and #30 in a very old patient with no #31 or #32 and barely
occluding with #3. This is due to what?
No occlusion or mesial drifting premolars
Surgical stent fits the gums but the immediate denture doesn't fit, what do you do?
Relieve until it seats
Picture of the bottom of the tongue with multiple white lesions. Stated that the patient had complaint of sore gums and tongue, he had a fever of 101 degrees.
Most likely diagnosis?
Primary Herpetic Stomatitis . (herpes on attached gingiva)
Treatment of Primary Herpetic Stomatitis
palliative
Patient with purple lesions on palate and said they had similar lesions on their
body too? What is the most probable cause?
HIV (Kaposi Sarcoma)
Other choices
were Sturge Weber and Erthyema Multiforme
What disease will effect wearing complete dentures the most?
Sjorgens syndrome
(xerostomia)
Lesion in the mouth that heals with a scar?
Major apthous ulcer -(minor heal w/out scar)
Picture with an arrow pointing to a Soft tissue mass on FOM?
Opening of wharton's duct

Lichen planus present on the tongue that was asymptomatic, what is the treatment?
Corticosteroids (nothing was not an option)
Picture of white things on the buccal mucosa and asked what it was?
lichen planus
(but it also looked like luekoedema, cheek biting, etc. and all were answer choices)

Panoramic xray with radiopacity underneath the mandibular incisors, asked what
was it?
supernumerary tooth
(other choices- odontoma, impacted insicor)
Gingival edema is caused by?
anaerobes
Post crown cementation sensitivity is due to
Microleakage
Before you reline a complete denture you must first do what?
establish posterior occlusion
Precision attachments not good for what type of patient?
patient with low dexterity
What information do you need from patient on steroids?
you want to know the duration and the dosage before dental treatment
Patients _____ is the most important thing for calculating medication dosage for a child
weight
Patient just had a stroke. What do you need to worry about?
if they are on anticoagulants
Contraindication for apically positioned flap is?
esthetics
Purpose of a wedge during a restoration is ?
adaptation of the matrix band
What medication is a contraindication for a patient with hyperthyroidism ?
giving them an analgesic with vasoconstrictors
Symptoms: No hair and missing teeth. What is the diagnosis?
Ectodermal dysplasia
Pernicious anemia is caused by what?
a lack of intrinsic factor, which is required to absorb vitamin B12 from food
What is hemolytic anemia
a condition in which red blood cells are destroyed and removed from the bloodstream before their normal lifespan is over.
Hereditary Telegnastia is associated with what?
Fe deficiency problems
Gave normal ranges and the patient's numbers for RBC, WBC, and platelets.
What is wrong?
Leukemia because high WBC, sore lymph nodes, and painful gums (they give example of 14 y.o pt. w/ inflamed gingiva)
Arm rash - what drug caused it
Penicillin allergy
Patient was on penicillin for 2 weeks, their tongue is sore, what test do you do?
Fungal test
Picture of a red painful tongue in an uncontrolled diabetic, what is it due to?
Malnutrition
Biopsy the red and white portions of a mixed lesion
Most likely reason that sealants fail?
contamination
There is an unconscious patient in your waiting room what is the first thing you
do?
check breathing
ID of mental ridge on radiograph

RO on pano - mucous retention cyst that was in the maxillary sinus

What is the difference in anaphylaxis vs syncope?
anaphylaxis has wheezing and
bronchoconstriction
Patient returns with pain 72 hours after extraction, what should you do?
give irrigation and use eugenol soaked gauze
Extraction of tooth and patient comes back with a big infection? What is it?
Subperiostial
abscess
Picture of a patient with down syndrome and question asked what you need to be
worried about as a dentist?
CHD (congenital heart defect?)
When can you use tissue conditioner and soft reline on a complete denture ?
at anytime
How long should you wait to do lab relines?
6 months for lab reline
What is a reason for a try in for an immediate denture?
to check the vertical dimension
Picture of a patient with a very Large diastema, what do you do?
Leave it alone
RL next to PM- what should you do?
refer to oral surgery
Panoramic of RL at ramus- what should you do?
retake for diagnostic reasons or refer to oral surgery?
Broken coronal portion of a canine, what do you do?
conservative endo and
prepare post and core
T/F: Acid etching creates a chemical bond
FALSE
- does not create chemical bond
Multiple odontomas are linked to what disorder
Gardner's syndrome (colorectal polyposis)
After cleaning, there is still BOP. What does this mean?
Retained subgingival plaque
Swollen lesion on the tongue, what do you do next?
Palpate lesion and see if firm
Picture of lip with something on the corner of it?
it was either SCC or Syphilis
*other choices- angular chelitis or herpes labialis
bone loss on #4
crater defect
Guided Tissue Regeneration is best for what type of furction?
class 2 furcations
Reduction of Probing Depths after SRP but still had mobility in anterior mandibular teeth, what do you do?
Either GTR or periodic evaluation
SLOB rule
Same Lingual
Opposite Buccal
What medication can be prescribed for candida
Fluconazole
Identify the picture which was a pleomorphic adenoma
because firm and they
said it was benign

Asymptomatic crowned lateral with a PA radioluceny, what do you do?
RCT
Mandibular incisor with large pulp chamber and PA RL. What is the large pulp chamber from?
Trauma right after eruption
2 months after RCT tooth still had RL. What should you do?
Monitor
2 years after RCT, and still had RL. What should you do?
Retreat
#14 with RCT and patient is symptomatic with RL at one of the canals. How do you treat?
Retreat all canals