1/112
Looks like no tags are added yet.
Name | Mastery | Learn | Test | Matching | Spaced | Call with Kai |
|---|
No analytics yet
Send a link to your students to track their progress
t/f: Desquamative Gingivitis is a diagnosis.
true
what is a clinical term to describe a manifestation of what is usually lichen planus, mucous membrane pemphigoid, or pemphigus vulgaris?
Desquamative Gingivitis
The following are all _______ diseases.
• Idiopathic lichen planus
• Lichenoid drug eruptions
• Lupus erythematosus
• Graft versus host disease
Lichenoid
The following are all _______ diseases.
• Pemphigus vulgaris
• Mucous membrane pemphigoid
autoimmune
The following are all _______ diseases.
• Erythema multiforme
• Stevens-Johnson syndrome/
• Toxic epidermal necrolysis
other immune-mediated

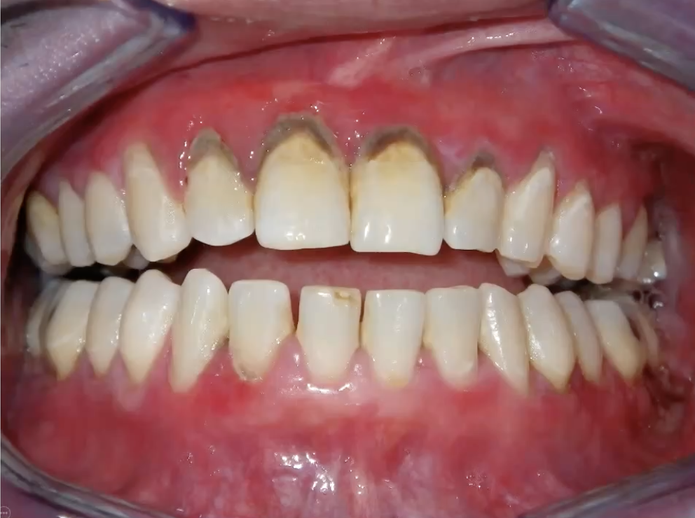
Desquamative Gingivitis
Desquamative Gingivitis have a predilection for what gender?
females
Desquamative Gingivitis may display sensitivity to…?
spicy foods
what condition?
• Diffuse, markedly erythematous gingiva
• Generally involves attached tissues
Desquamative Gingivitis

What condition?
• Purple, polygonal, pruritic papules
• Develops on flexor surfaces of extremities
Lichen Planus (cutaneous)
what are the 3 oral variants of lichen planus?
• Reticular
• Erosive/erythematous
• Ulcerative
lichen planus affects % of the population
1%
what is the most common oral form of lichen planus?
reticular

what condition?
• Often asymptomatic
• Posterior buccal mucosa
• Lacy white striations (Wickham striae)
• almost always bilateral
lichen planus reticular form

what condition?
• Often symptomatic
• Striae at periphery of erythema
lichen planus Erythematous form
Erythematous and ulcerative lichen planus may cause …?
desquamative gingivitis (Must be distinguished from mucous membrane pemphigoid or pemphigus)
what is the least common form of lichen planus?
ulcerative

what condition?
• Least common form
• Usually symptomatic
• Ulcers with striae and erythema
ulcerative lichen planus
lichen planus is associated with meds including…?
• NSAIDs
• anti-hypertensive agents
• anti-hyperglycemic agents
• cholesterol lowering agents
• anti-hypothyroidism agents
• anti-gout medications
• amalgam restorations
• cinnamon flavoring agents
• herbal remedies

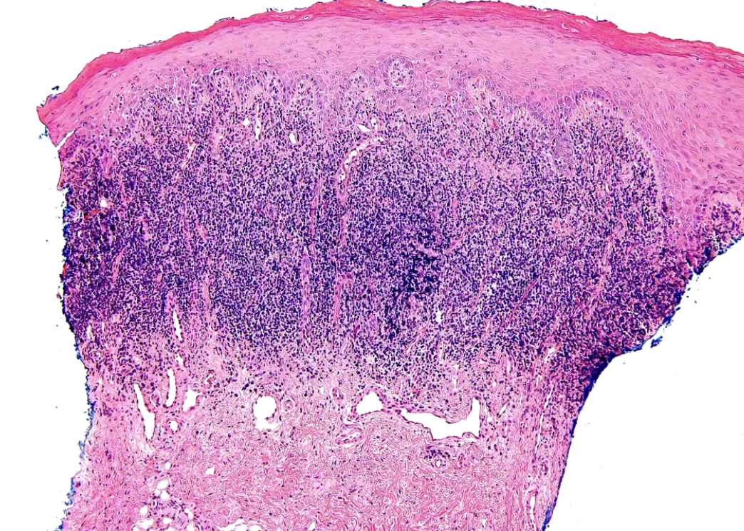
what are some histopathologic features of lichen planus?
• Orthokeratosis or parakeratosis
• Degeneration of basal cell layer
• Colloid bodies
• Saw tooth rete ridges
• Band-like infiltrate of lymphocytes
what tx is indicated for lichen planus?
Observation if asymptomatic
Topical corticosteroids
Fluocinonide or clobetasol gel 0.05%
Dexamethasone mouthrinse 0.5mg/5ml
patients on topical corticosteroids for lichen planus should be monitored for…?
candidiasis
how should you instruct patients to use Fluocinonide or clobetasol gel 0.05%?
• Dispense: one 60g tube
• Dry and apply to affected area QID
how should you instruct patients to use Dexamethasone mouthrinse 0.5mg/5ml?
• Dispense: 600cc
• Swish 5 cc for 5 minutes and expectorate QID
lichen planus displays a % increased risk of developing SCCa. Reported cases are associated with which form?
0.9%
erosive
t/f: Life-long follow-up recommended for licehn planus patients
true
Systemic Lupus Erythematosus has a predilection for which gender?
8-10:1 female predilection
what is the average age at diagnosis of Systemic Lupus Erythematosus?
31 years
what are some early stage non-specific clinical features of Systemic Lupus Erythematosus?
Fever, weight loss, arthritis, fatigue, malaise
butterfly rash
kidney and cardiac involvement
40-50% of butterfly rash in SLE occurs where?
malar area and nose

kidney involvement occurs in SLE in % of the time
40-50
what % of SLE patients have oral lesions?
5-40%
what are some features of oral lesions that occur in SLE patients?
• Lichenoid lesions of palate, buccal mucosa, or gingiva
• May involve vermilion (lupus cheilitis)
• Ulceration, pain, erythema, and hyperkeratosis seen in varying degrees

Chronic Cutaneous Lupus Erythematosus is also known as…?
discoid lupus
Chronic Cutaneous Lupus Erythematosus is exacerbated by exposure to ____
sun
in Chronic Cutaneous Lupus Erythematosus patients, healing results in…?
atrophy with scarring
Skin and oral lesions, but few or no systemic signs or symptoms is characteristic of what condition?
Chronic Cutaneous Lupus Erythematosus

what condition?
• Scaly red patches on sun-exposed skin
• Oral lesions identical to lichen planus
• Rarely without skin lesions
Chronic Cutaneous Lupus Erythematosus

Chronic Cutaneous Lupus Erythematosus
oral lesions in Lupus Erythematosus resemble…?
lichen planus
DIF of Lupus Erythematosus shows what antibodies in the granular band at basement membrane?
IgM, IgG, and C3
whgat tx is indicated for Lupus Erythematosus?
• Avoid sun exposure
• Mild disease managed with NSAIDs and anti-malarial medications
what is the 5-year survival of SLE?
95%
what is the 15-year survival of SLE?
75%
what is the #1 cause of death in SLE?
renal failure
SLE has worse prognosis when seen in men/women?
men
prognosis of SLE depends on…?
which organs involved and frequency of reactivation
what tx is indicated for chronic Cutaneous Lupus Erythematosus?
• Avoid sun exposure
• Topical corticosteroids
• Thalidomide or anti-malarial medications for resistant cases
% of chronic Cutaneous Lupus Erythematosus transforms to SLE
5%
% of chronic Cutaneous Lupus Erythematosus resolves after several years
50%
most chronic Cutaneous Lupus Erythematosus remain confined to ____
skin
what condition is seen in allogeneic hematopoietic stem cell transplant recipients?
Graft vs. Host Disease
how many allogeneic hematopoietic stem cell transplant recipients are there in the USA annually?
Graft vs. Host Disease
what is the MOA of graft vs host disease?
Engrafted cells recognize they are not in their own environment and attack host as perceived foreign body
systemic signs of Graft vs. Host Disease depends on…?
organ(s) involved and whether disease is acute or chronic
milder versions of Graft vs. Host Disease can be seen in patients with…?
• Better histocompatibility match
• Younger age
• Cord blood received
• Female gender
acute form of Graft vs. Host Disease is seen within ___ days of transplant
100
% of Graft vs. Host Disease patients are affected by the acute form
50%
how does acute form of Graft vs. Host Disease present?
mild rash to diffuse sloughing (resemble TEN)
Diarrhea, nausea, vomiting, liver dysfunction, abdominal pain
how long does it take for chronic form of Graft vs. Host Disease to develop?
continuation of acute form or develops >100 days after transplant
% of patients are affected by chronic form of Graft vs. Host Disease
33-64%
oral lesions in Graft vs. Host Disease resemble…?
lichen planus (both clinically and microscopically)

% of acute Graft vs. Host Disease patients have oral lesions. what % of chronic form?
33-75% of acute patients, 80% of chronic patients
what tx is indicated for Graft vs. Host Disease?
• Prevention
• Topical or intra-lesional steroids for oral ulcers
• Topical fluoride and/or sialogogues for patients with hyposalivation
patients with Graft vs. Host Disease display an increased risk of …?
oral SCCA
what test identifies auto-antibodies bound to patient’s tissue?
Direct Immunofluorescence
with direct immunofluorescence, Antibodies directed against human immunoglobulins are tagged with …?
fluorescein

with direct immunofluorescence, Patient’s tissue incubated with …?
anti-human antibodies
what test?
Section viewed with ultraviolet light source to determine area of antibody deposition
direct Immunofluorescence
what test identifies auto-antibodies circulating in patient’s blood?
Indirect Immunofluorescence
what test?
Frozen section of tissue similar to human oral mucosa incubated with patient’s serum
Indirect Immunofluorescence
what test?
Autoantibodies in serum bind to homologous structure in tissue
Indirect Immunofluorescence
When considering vesiculobullous disease… always include ______
intact epithelium
When considering vesiculobullous disease… Submit separate biopsies in:
• 10% formalin for H&E
• Michel medium for DIF
t/f: When considering vesiculobullous disease…Defer empiric treatment, if possible, until after biopsy is complete
true
which form of pemphigus is most common?
Pemphigus vulgaris
which form of pemphigus is rare, sometimes oral lesions?
Pemphigus vegetans
which form of pemphigus has skin lesions only?
Pemphigus erythematosus AND Pemphigus foliaceus
what condition?
Potentially life-threatening skin and mucous membrane disease where patients have antibodies that target desmosomes?
Pemphigus Vulgaris (PV)
what is the incidence of Pemphigus Vulgaris (PV)?
1-5 per million
what demographics are more affected by Pemphigus Vulgaris (PV)?
• Usually seen over 50 years of age
• No gender predilection
• More common in people of Ashkenazi Jewish descent
what are some clinical features of Pemphigus Vulgaris (PV)?
• Painful chronic oral sores, dysphagia, weight loss
• Oral lesions → 50% show oral lesions first, almost all show oral lesions eventually
• Positive Nikolsky sign


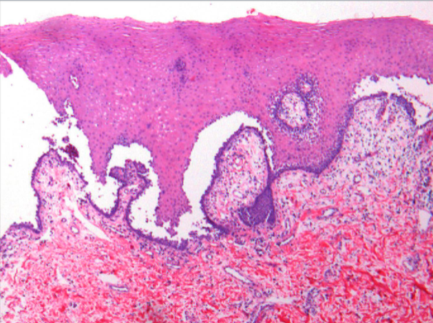
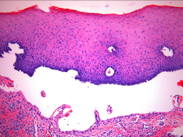
Histopathologic Features of what condition?
• Perilesional tissue required for diagnosis
• Intraepithelial separation above basal layer (SUPRA-basilar cleavage)
• Acantholysis of spinous layer
• Rounded Tzanck cells
• Generally positive with direct or indirect immunofluorescence
Pemphigus Vulgaris
what tx is indicated for Pemphigus Vulgaris?
• Corticosteroids
• Azathioprine
• Immunoglobulin therapy
Untreated Pemphigus Vulgaris has a % mortality
80%
what condition was Formerly known as “benign mucous membrane pemphoid” or “cicatricial pemphigoid”?
Mucous Membrane Pemphigoid
what is an Autoimmune disorder with autoantibodies to hemidesmosomes?
Mucous Membrane Pemphigoid
Mucous Membrane Pemphigoid is ___ times as common as pemphigus vulgaris
twice
what demographics are more affected by Mucous Membrane Pemphigoid?
• Average age= 50-60
• Female predilection= 2:1
what are some sub-types of Mucous Membrane Pemphigoid?
• Only ocular involvement
• Only oral cavity involvement
• Mucosal & cutaneous lesions
• Multiple mucosal surfaces, no significant skin disease
Mucous Membrane Pemphigoid is often restricted to …?
gingiva

% of Mucous Membrane Pemphigoid patients with oral lesions develop eye lesions
25%
what are some clincial features of Mucous Membrane Pemphigoid?
• Positive Nikolsky sign
• Symblepherons (adhesions)
• Entropions (inward turning eyelids)
• Trichiasis (irritation secondary to eyelids rubbing against globe)

Histopathologic Features of what condition?
• Sub-epithelial separation below basal layer (SUB-basilar cleavage)
• Mimics linear IgA disease, epidermolysis bullosa acquisita, and angina bullosa hemorrhagica
Mucous Membrane Pemphigoid
what tx is indicated for Mucous Membrane Pemphigoid?
• Topical steroids for oral lesions
• REFER TO OPHTHALMOLOGIST
most cases of Erythema Multiforme is secondary to …?
infection (HSV or mycoplasma pneumoniae)
what demographics are more affected by Erythema Multiforme?
Male predilection; mostly age 20-40
Erythema Multiforme has a characteristic _____ onset
rapid
what are some clinical features of Erythema Multiforme?
• Erythematous mucosal patches
• Shallow ulcers
• Entire perimeter of tongue may be affected
• Hemorrhagic crusts of lips
• Targetoid cutaneous lesions
