1/107
Identify species, common name, I. H., D.H., and organ location
Name | Mastery | Learn | Test | Matching | Spaced | Call with Kai |
|---|
No analytics yet
Send a link to your students to track their progress

Fasciola gigantica
IH: Lymnaea auricularia rubiginosa
DH: Ruminants
Organ: Liver

Fasciola hepatica
DH: Ruminants
Organ location: liver
note: development of ‘shoulders’

Fascioloides magna
IH: Fossaria spp., Lymnaea bulimoides teckela, Pseudosucinea, Columella, Stagnicola spp.
DH: cattle, horses, sheep, pigs, and deer
Organ location: liver

Give scientific name and parasite
Lymnaea auricularia rubiginosa
IH of Fasciola spp.

Fasciolopsis buski
IH: Planorbis and Segmentina
DH: man and pigs
Organ location: small intestine

Give scientific name and parasite
Planorbis spp.
IH of Fasciolopsis buski

Fischoederius elongatus
DH: cattle and carabaos
Organ location: rumen
note: simple caeca and end at the middle of the body

Fischoederius elongatus
DH: cattle and carabaos
Organ location: rumen

Fischoederius elongatus
DH: cattle and carabaos
Organ location: rumen
note: simple caeca and end at the middle of the body, tandem testes, ovary in midline

Fischoederius cobboldi
DH: cattle
Organ location: rumen

Fischoederius cobboldi
DH: cattle
Organ location: rumen

Carmyerius
DH: ruminants
Organ location: rumen
note: horizontally-lined testes, uterus middle

Gastrothylax spp.
DH: ruminants
organ location: rumen
note: horizontally-lined testes, uterus crosses midline from one side to another

Velasquezotrema brevisaccus
DH: water buffaloes
organ location: rumen
note: ventral pouch extends only to the middle half

Calicophoron calicophorum
DH: ruminants
Organ location: rumen and reticulum

Explanatum explanatum
DH: ruminants
Organ location: liver and bile ducts
note: enormous acetabulum

Orthocoelium spp.

Orthocoelium spp.

Cotylophoron spp.
note: presence of genital sucker

Gastrodiscus aegyptiacus
DH: horses, pigs
Organ location: Large and small intestine
note: saucer-shaped

Homalogaster paloniae
DH: cattle
Organ location: large intestine

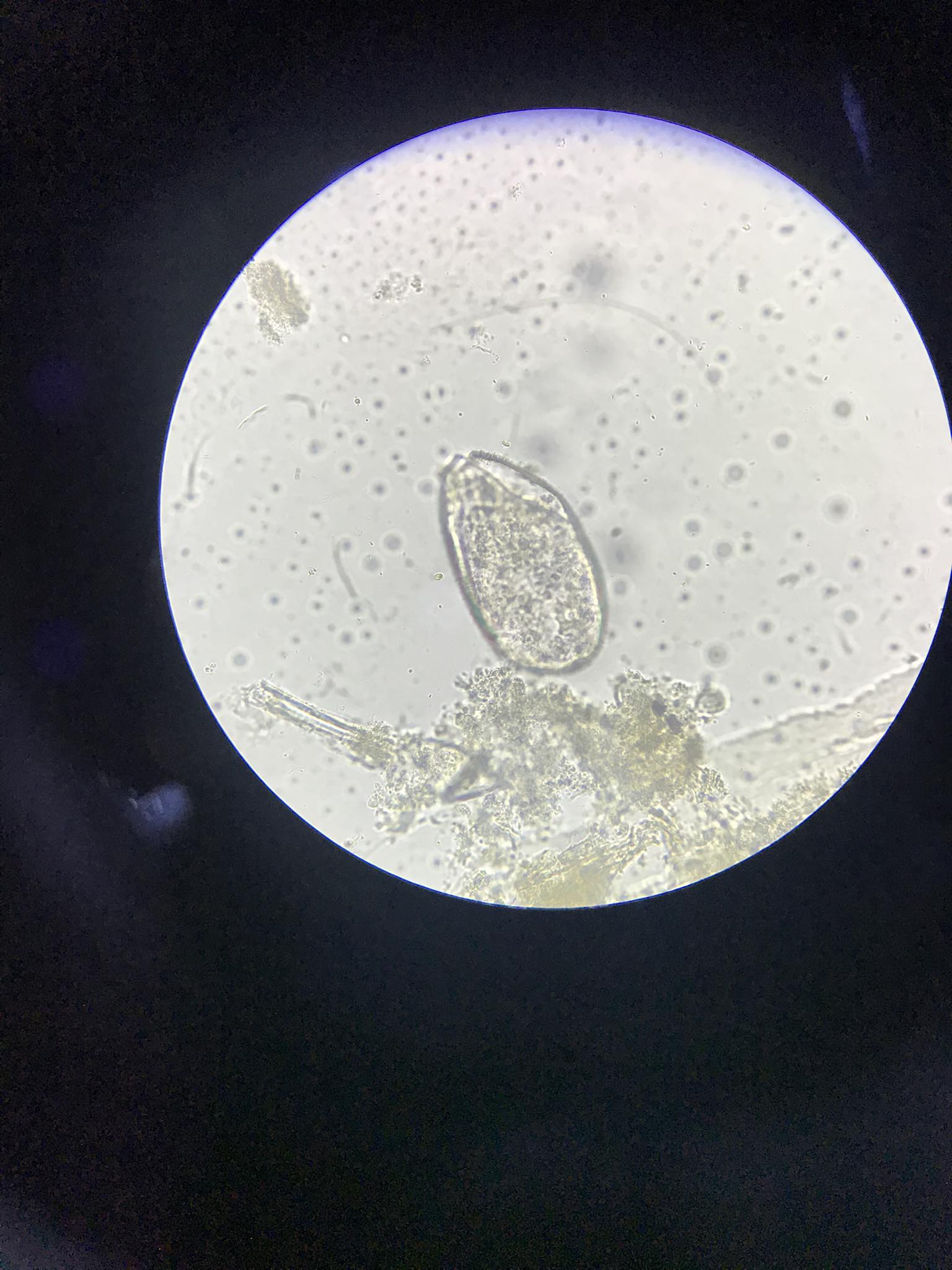
Amphistome egg

Cotylophoron spp.
note: presence of genital sucker

Schistosoma japonicum
IH: Oncomelania quadrasi
DH: man and domestic animals
Organ location: portal and mesenteric vessels
What is the long ventral organ in male Schistosomas in which the female is carried during copulation
Gynaecophoric canal

Larval stage of which species? Type?
Cercariae of S. japonicum, furcocercous

Give scientific name and parasite
Oncomelania quadrasi
Parasite of Schistosoma japonicum

Eurytrema pancreaticum
1st IH: land snails (Bradybaena spp., Cathaica ravida sieboldtiana)
2nd IH: grasshoppers and tree cricket
DH: cattle, water buffalo and sheep
Organ location: pancreatic duct
note: tongue-like caudal appendage

Eurytrema pancreaticum
1st IH: land snails (Bradybaena spp., Cathaica ravida sieboldtiana)
2nd IH: grasshoppers and tree cricket
DH: cattle, water buffalo and sheep
Organ location: pancreatic duct, sometimes bile duct
note: tongue-like caudal appendage

Eurytrema escuderoi
1st IH: land snails (Bradybaena spp., Cathaica ravida sieboldtiana)
2nd IH: grasshoppers and tree cricket
DH: cattle & water buffaloes
Organ location: pancreatic ducts
note: caudal appendage not distinct. spherical vitelline follicles

Eurytrema escuderoi
1st IH: land snails (Bradybaena spp., Cathaica ravida sieboldtiana)
2nd IH: grasshoppers and tree cricket
DH: cattle & water buffaloes
Organ location: pancreatic ducts
note: caudal appendage not distinct. spherical vitelline follicles

Eurytrema coelomaticum
1st IH: land snails (Bradybaena spp., Cathaica ravida sieboldtiana)
2nd IH: grasshoppers and tree cricket
DH: cattle & water buffaloes
Organ location: pancreatic ducts
note: vitellaria consist of small “tuldok-tuldok” round follicles

Eurytrema coelomaticum
1st IH: land snails (Bradybaena spp., Cathaica ravida sieboldtiana)
2nd IH: grasshoppers and tree cricket
DH: cattle & water buffaloes
Organ location: pancreatic ducts
note: vitellaria consist of small “tuldok-tuldok” round follicles

Dicrocoelium dendriticum
!st IH: land snails (Zebrina detrita and Cionella lubrica)
2nd IH: ants (Formica and Protoformica)
DH: ruminants, deer, rarely pigs and man
Organ location: bile ducts

Platynosomum fastosum
1st IH: snail (Sublima octona)
2nd IH: lizard (Anolis cristatelus) and isopod crustaceans
Common name of Dicrocoelium dendriticum
Lancet fluke
Common name of Platynosomum fastosum
Cat liver fluke

Opisthorchis felineus
DH: dogs, cats, pigs, man
Organ location: bile ducts, rarely in pancreatic ducts and small intestine

Opisthorchis sinensis
DH: dogs, cats, pigs, man
Organ location: bile ducts, rarely in pancreatic ducts and duodenum
note: branched testes
Opisthorchis obsequens
DH: domestic ducks
Organ location: bile ducts and liver

Common name of Opisthorchis sinensis
Oriental/ Chinese liver fluke

Metorchis caintaensis
DH: rail (Rallus philippensis philippensis)
Organ location: intestines

Give genus name and parasite
Vivipara spp.
IH of Opisthorchis sinensis

Give genus name and parasite
Melania spp.
IH of Opisthorchis sinensis

Paragonimus westermani
1st IH: snail (Brotia asperata)
2nd IH: crab (Sundathelphusa philippina) and shrimps
DH: pigs, dogs, cats, cattle, goats, wild carnivores, and man
Organ location: lungs
note: lobed testes and ovary

Give species name and parasite
Brotia aspirata
IH of Paragonimus westermani

Echinostoma revolutum
DH: ducks, geese, fowl, pigeons, man
Organ location: intestine and ceca
note: head collar

Prosthogonimus spp.
DH: birds
Organ location: Bursa of Fabricius and oviduct
note: genital pore is located anteriorly beside the oral sucker

Philophthalmus spp.
DH: birds
Organ location: conjunctival sacs
note: large ventral sucker in the middle part
Common name of Philophthalmus spp.
eye fluke

Cyclocoelium spp.
DH: wild aquatic birds
Organ location: body and nasal cavities
note: intestinal caeca reunite posteriorly

Tanasia spp.
DH: wild chicken (Gallus gallus gallus)
Organ location: kidney
note: no ventral sucker

Notocotylus spp.
DH: aquatic birds
Organ location: intestine and ceca
note: ventral glands

Spirometra erinacei
1st IH: Freshwater copepods (Cyclops spp.)
2nd IH: frog, snake, birds, mammals
DH: dogs and cats, carnivores
Organ location: small intestine
note: spiral uterus

Give genus and parasite
Cyclops spp.
1st IH of Spirometra spp.

Diphyllobothrium latum
1st IH: freshwater copepods (Diaptomus gracilis)
2nd IH: freshwater fish
DH: dogs, cats, fish-eating mammals, man
Organ location: small intestine
note: roseate uterus

Spirometra erinacei
1st IH: Freshwater copepods (Cyclops spp.)
2nd IH: frog, snake, birds, mammals
DH: dogs and cats, carnivores
Organ location: small intestine
note: wrinkled side of body
Common name of Diphyllobothrium latum
Broad-fish tapeworm of man

Egg of which parasite?
Spirometra spp. egg
note: pointed both ends

Diphyllobothrium latum
1st IH: freshwater copepods (Diaptomus gracilis)
2nd IH: freshwater fish
DH: dogs, cats, fish-eating mammals, man
Organ location: small intestine
note: less wrinkled

whose egg is this hehe
Paragonimus westermani
note: thick-shelled and operculated

Anoplocephala spp.
IH: Oribatid mites
DH: horses
Organ location: small and large intestine

Thysanosoma actinioides
IH: oribatid mites
DH: ruminants

Moniezia expansa
IH: oribatid mites (Galumna, Oribatula, Peloribates)
DH: sheep and goats
Organ location: small intestine
note: roseate interproglottidal glands
Common name of Moniezia expansa
Double-pored tapeworm of sheep and goats

Moniezia benedini
IH: oribatid mites (Galumna, Oribatula, Peloribates)
DH: cattle and carabaos
Organ location: small intestine
note: interproglottidal glands arranged in short linear series

Moniezia egg

Thysanosoma actinioides
IH: oribatid mites
DH: ruminants

Hymenolepis diminuta
DH: rats, mice, and man
note: 3 testes and unilateral genital pore

Avitellina spp.
IH: Psocids
DH: ruminants

Raillietina tetragona
IH: ants (Pheidole & Tetramorium)
DH: fowls

Raillietina echinobothridia
IH: red ants (Tetramorium caespitum, Pheidole pallidula etc.)
DH: fowls
note: circular suckers with large hooks

Raillietina cesticillus
IH: beetles (Calathus, Amara etc.)
DH: fowls
note: broad and flatenned rostellum

Dipylidium caninum
IH: Ctenocephalides canis & felis (fleas), Trichodectes canis, Heterodoxus spiniger & longitarsus (biting lice)
DH: dogs and cats

Dipylidium caninum
IH: Ctenocephalides canis & felis (fleas), Trichodectes canis, Heterodoxus spiniger & longitarsus (biting lice)
DH: dogs and cats

Dipylidium caninum egg

Taenia solium
DH: pig and man
note: muscular suckers and rostellum with double row of hooks

name of larval stage and of which parasite?
Cysticercus cellulosae of Taenia solium

name of larval stage and of which parasite? give the organ.
Cysticercus cellulosae of Taenia solium in pig muscle

Taenia spp. egg

Also give the stage of segment of proglottid
Taenia saginata/ immature
DH: man

Taenia pisiformis
IH: rabbits and hares
DH: dogs, wild carnivores, cat (occasionally)

Cysticercus tenuicollis of Taenia spp.

name of larval stage and of which parasite? give the organ.
Cysticercus pisiformis of Taenia pisiformis.
Found in liver/ peritoneal cavity of rabbits/ hares

name of larval stage and of which parasite?
Cysticercus pisiformis of Taenia pisiformis.

Taenia pisiformis
IH: rabbits and hares
DH: dogs, wild carnivores, cat (occasionally)

Echinococcus granulosus
IH: various mammals, including man (lungs and liver)
DH: dogs and other wild Canids

name of larval stage and of which parasite?
hydatid cyst of Echinococcus granulosus

Ascaris suum
DH: pigs
note: tail bent ventral strongly

Ascaris suum
DH: pigs
note: tail bent ventral strongly

Ascaris suum/ suis
DH: pigs
note: tail bent ventral strongly

Parascaris equorum
DH: horses
note: lips are distinctly marked off from the rest of the body

Parascaris equorum
DH: horses
note: lips are distinctly marked off from the rest of the body

give species name and sex
Ascaris lumbricoides, female

give species name and sex
Ascaris lumbricoides, male

Parascaris egg
note: brown color, no mammillation

Ascaris egg
note: thick, coarsely mammillated shell (bumps)

Parascaris equorum
DH: horses
note: lips are distinctly marked off from the rest of the body

Toxascaris leonina
DH: dogs and cats
note: lanceolate cervical alae

give species name and sex
Ascaris spp., female

give species name and sex
Ascaris spp. male