1/83
Looks like no tags are added yet.
Name | Mastery | Learn | Test | Matching | Spaced |
|---|
No study sessions yet.

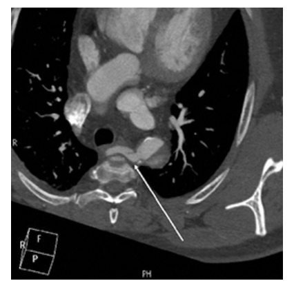
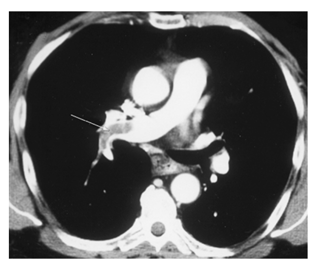
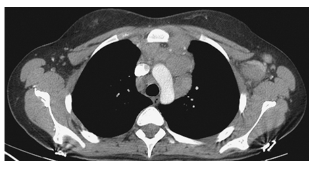
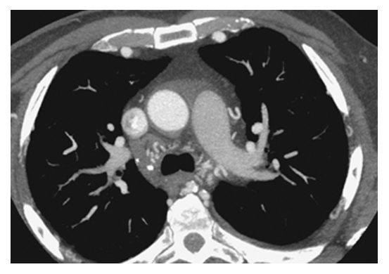
Aberrant Right Subclavian Artery. Axial contrast-enhanced CT shows aberrant right subclavian artery moving toward the right arm crossing the midline of the body (arrow).

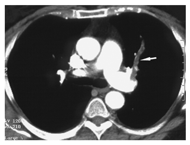
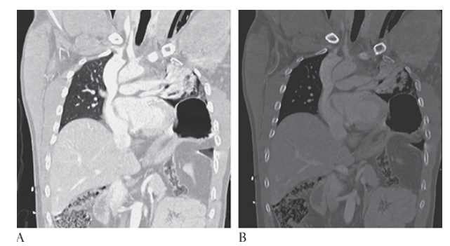
Aberrant Right Subclavian Artery. Coronal contrast-enhanced CT shows aberrant right subclavian artery (top arrow). Type B aortic dissection involving the descending thoracic aorta extending up to the left subclavian artery is also seen (bottom arrow).

Aortic Regurgitation. Coronal oblique view shows moderate jet (dark, signal void) emanating from the aortic value into the left ventricle (arrow). There is also dilatation of the ascending aorta.

Aortic Regurgitation. Velocity encoded coronal image shows aortic regurgitation jet into the left ventricle (arrow).

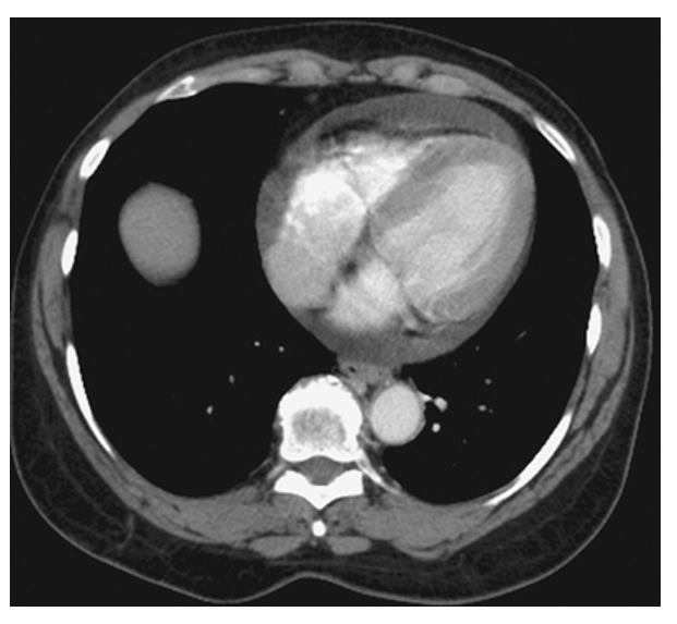
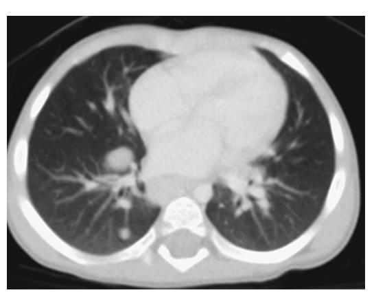
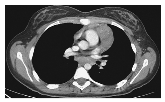
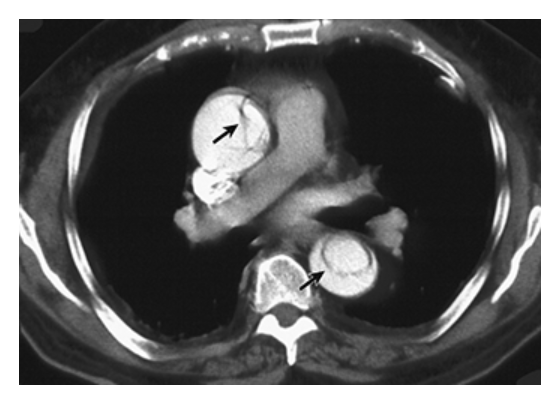
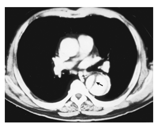
Atrial Myxoma. Contrast-enhanced axial CT shows a round filling defect/mass in the left atrium consistent with a myxoma (arrow).

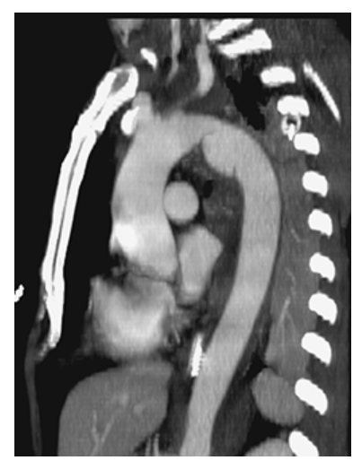
Atrial Myxoma. Contrast-enhanced coronal MPR CT shows a round filling defect/mass in the left atrium consistent with a myxoma (arrow).

Atrial Myxoma. Contrast-enhanced sagittal MPR CT shows a round filling defect/mass in the left atrium consistent with a myxoma (arrow).

What is A
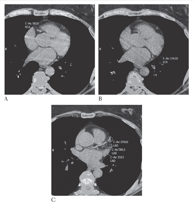
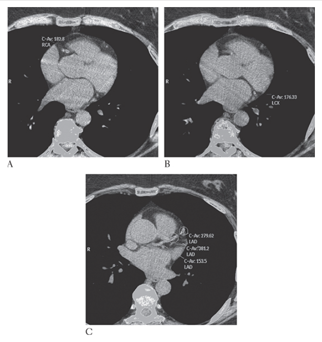
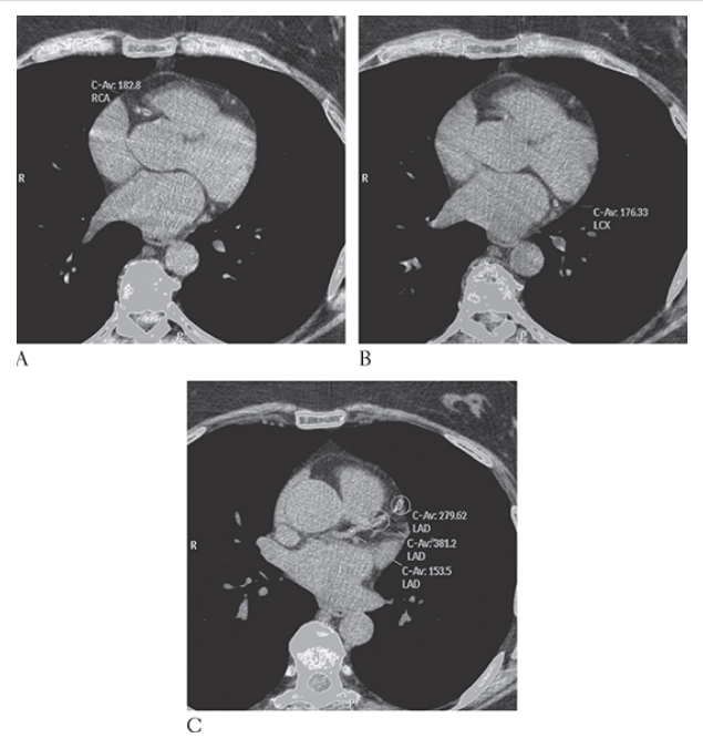
Coronary Artery Disease. Nonenhanced CT (NECT) shows computer-aided detection and calculation of coronary artery calcification in the right coronary artery left circumflex artery

What is B
Coronary Artery Disease. Nonenhanced CT (NECT) shows computer-aided detection and calculation of coronary artery calcification in the right coronary artery and left anterior descending coronary artery

What is C
Coronary Artery Disease. Nonenhanced CT (NECT) shows computer-aided detection and calculation of coronary artery calcification in the right coronary artery

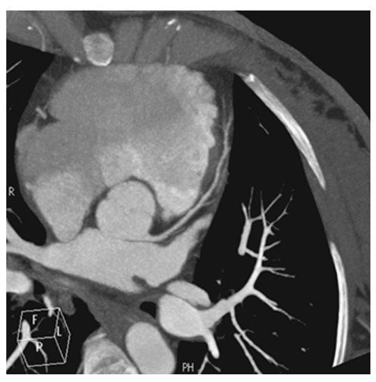
Coronary Artery Disease. Maximum intensity projection CT coronary angiogram showing near-complete occlusion of the right coronary artery.

Pericardial Effusion. Contrast-enhanced CT (CECT) shows increased fluid density around the heart consistent with a pericardial effusion.

Pericardial Effusion. Normal for comparison.

What is A
Situs Inversus. CT axial and coronal multiplanar reconstruction (MPR)

What is B
Situs Inversus. CT axial show the heart apex on the right.
Superior

What is A
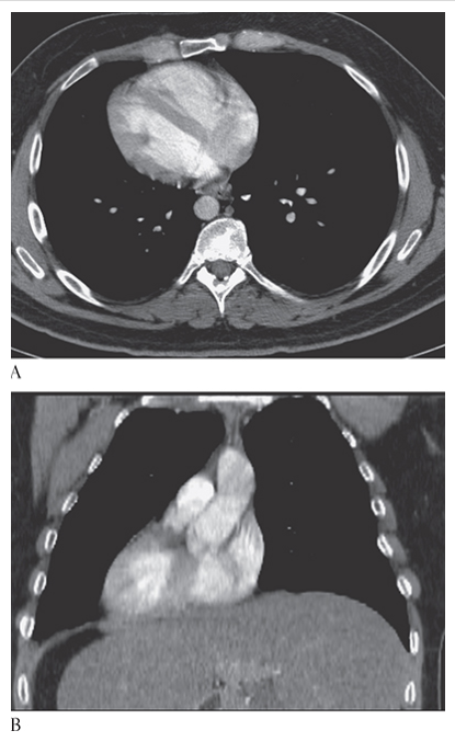
Superior Vena Cava Syndrome. CECT coronal and MPR CECT sagittal

What is B
Superior Vena Cava Syndrome. CECT coronal images show significant narrowing of the superior vena cava with development of multiple collaterals.

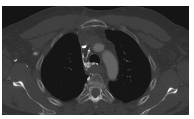
Superior Vena Cava Syndrome. Axial CECT shows significant narrowing of the superior vena cava with development of multiple collaterals.

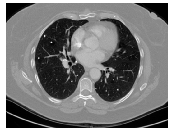
Histoplasmosis. Axial CECT shows two well-ground glass nodules in the right mid lung in a patient with histoplasmosis.

Histoplasmosis. Axial CT shows multiple well-defined subcentimeter calcified nodules in the lungs and mediastinum as a result of prior histoplasmosis infection.

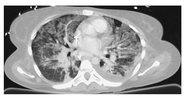
CECT shows extensive ground glass opacification of the lungs, with intense parenchymal opacification and air bronchograms. A left pleural effusion is also present.

What is A
Lung and bone

What is B
Lung window NECTs of the chest show bilateral calcified pleural plaques and pleural thickening.

Carcinoma of the Lung. CT of the chest with lung windows demonstrates a round mass with irregular speculated margins in the left upper lobe.

Bronchogenic Carcinoma. CT of the chest with lung windows shows bilateral round pulmonary nodules with irregular speculated margins.

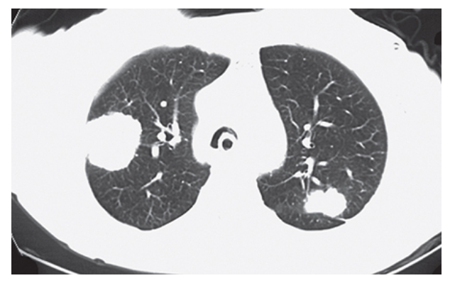
Bullous Emphysema. CT of the chest shows multiple bullae of the bilateral upper lobes in the subpleural location.

Mesothelioma. Axial CT images of the chest show lobulated plural thickening encasing the right lung and extending along the major fissure.

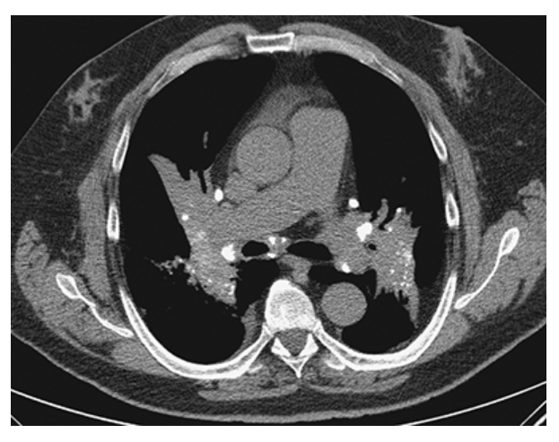
Pleural Effusion. CT with soft tissue windows shows fluid within the dependent pleural space bilaterally.

Pulmonary Emboli. CTPA shows large filling defect (clot) in the right main pulmonary artery (arrow) extending into the lower lobe pulmonary arteries.

Pulmonary Emboli. CTPA shows linear filling defect representing a clot in the left upper lobe pulmonary artery (arrow).

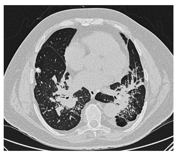
Pulmonary Fibrosis. HRCT of the chest shows honeycombing in the peripheral lung bases with associated traction bronchiectasis.

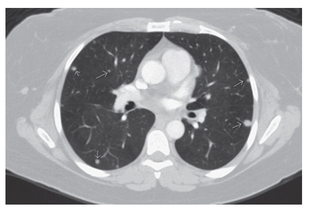
Pulmonary Metastatic Disease. Multiple peripheral pulmonary metastases (arrows).

Pulmonary Metastatic Disease. CT of the chest with mediastinal windows demonstrating bilateral upper lobe masses with areas of low density representing necrosis.

Pulmonary Metastatic Disease. CT with lung window showing bilateral upper lobe masses with slightly irregular margins consistent with metastatic lesions.

Pulmonary Metastatic Disease. Multiple solid and cavitary pulmonary metastases in a patient with known squamous cell carcinoma.

Sarcoidosis. HRCT shows increased opacification predominately involving the mid lung with peripheral nodules and atelectasis in the middle lobe and lingual.

Sarcoidosis. Mediastinal windows show densely calcified mediastinal and hilar lymph nodes consistent with sarcoid.

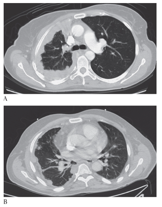
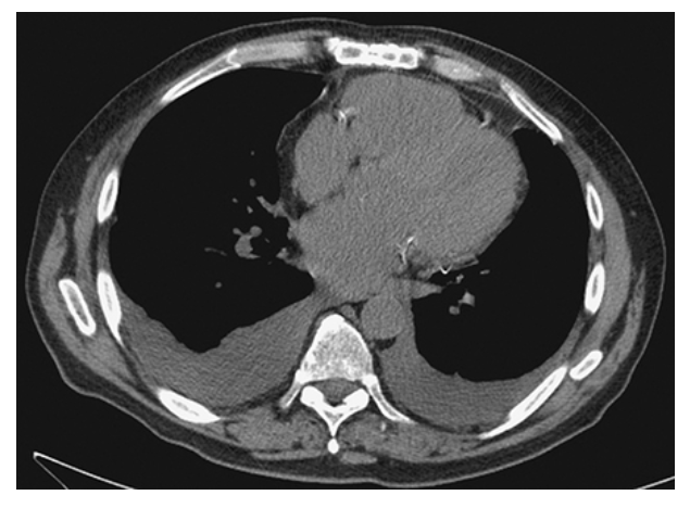
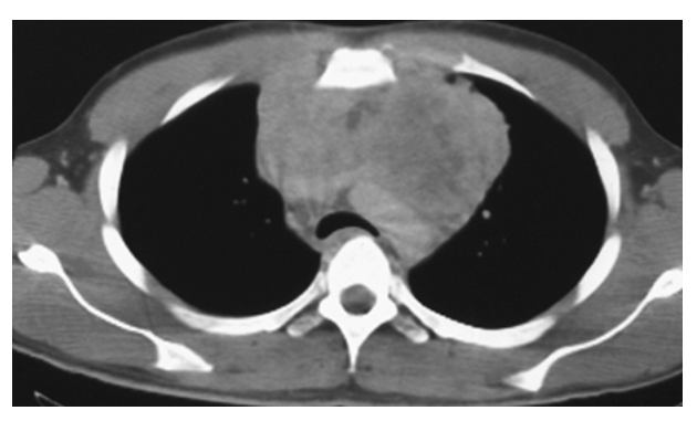
Hodgkin Disease. Contrast-enhanced CT shows a very large anterior mediastinal mass displacing the aortic arch posteriorly and compressing the trachea. This mediastinal mass in this young patient is consistent with lymphoma or Hodgkin disease.

Hodgkin Disease. Axial CECT of the chest shows bulky anterior mediastinal and left axillary lymphadenopathy in this patient with Hodgkin lymphoma.

Hodgkin Disease. Axial CECT of the chest shows the congolomeration of nodes extending down and appearing as an anterior mediastinal mass.

What is A
Thymoma. Axial coronal MPR

What is B
Thymoma. Axial and sagittal MPR

What is C
Thymoma. Axial CECT images show a large lobulated mass within the left anterior mediastinum. This was found to be a mixed lymphoepithelial thymoma at surgery.

What is A
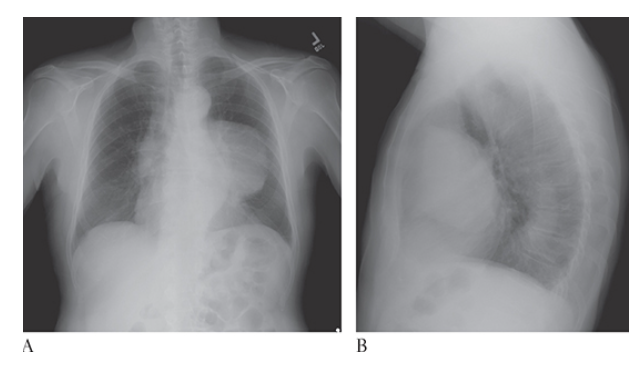
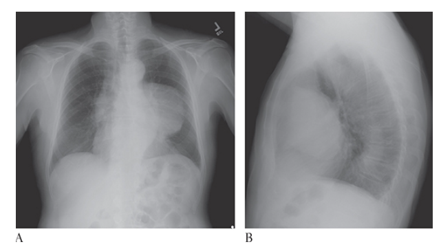
Thymoma. Posteroanterior (PA) and lateral

What is B
Thymoma. Posteroanterior (PA) chest radiographs show a large left anterior mediastinal mass projecting over the left lung.

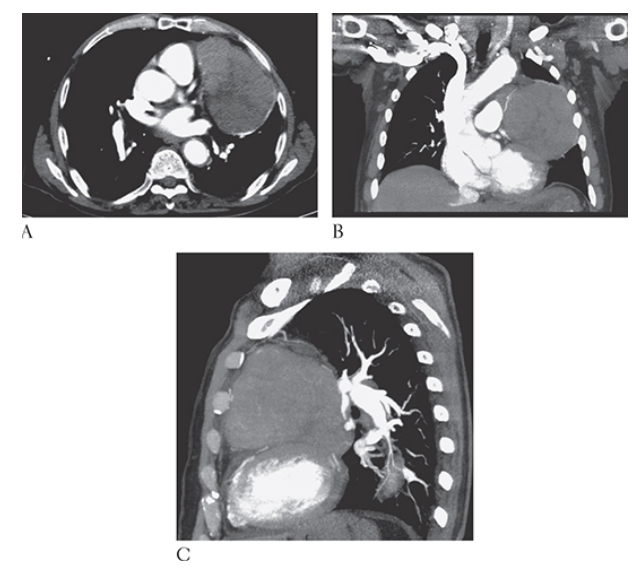
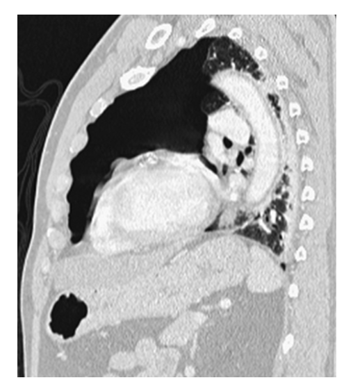
Aortic Coarctation. CTA sagittal oblique MPR of the chest shows severe narrowing in a different patient.

Aortic Coarctation. CTA axial of the chest at the level of the severe narrowing in the same patient as Figure 1 shows multiple collaterals and enlarged intercostal arteries with rib notching.

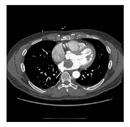
Type A Dissecting Aneurysm. Axial CT with IV contrast demonstrates a Type A aortic dissecting aneurysm involving both the ascending and descending thoracic aorta showing a double lumen separated by the intimal flap.

Type B Dissecting Aneurysm. Axial CT with IV contrast shows a Type B dissecting aneurysm involving the descending thoracic aorta with two lumens (true and false) separated by an intimal flap.

Breast Cancer. CECT shows a soft-tissue mass in the right breast consistent with breast cancer.

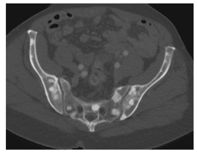
Breast Cancer. CECT with bone windows shows multiple osteoblastic breast cancer metastases within the sacrum and iliac wings.

What is A
Breast Cancer. T1W MR shows a large 5-cm spiculated mass in the right breast. T1W fat-suppressed postcontrast MR image

What is B
Breast Cancer. T1W MR demonstrates enhancement of the solid component. T2W image

What is C
Breast Cancer. T1W MR shows a hyperintense 3-cm fluid collection next to the breast cancer which may represent a mucinous or necrotic component. In image

What is D
Breast Cancer. T1W MR computer-assisted detection software characterizes the enhancement kinetics of the mass.

What is A
Rupture of Breast Implant. T1-weighted and T2-weighted

What is B
Rupture of Breast Implant. T1-weighted MR images of the breast show collections of silicone (arrows) outside the implant lumen that are diagnostic of extracapsular rupture.

Aortic Tear. Axial CECT shows a contour irregularity of the aortic arch with small intraluminal linear filling defects and pseudoaneurysm.

Aortic Tear. CTA sagittal oblique MPR shows irregular aortic contour just distal to the ductus arterious due to traumatic aortic laceration.

Aortic Tear. CTA volume rendered (VR) in a different patient, shows a posttraumatic pseudoaneurysm (arrow).

Diaphragmatic Hernia. CECT shows the stomach within the left chest at the level of the heart. There is also a small left anterior pneumothorax in the trauma patient.

What is A
Diaphragmatic Hernia. CECT coronal MPRs with lung window and soft tissue windows

What is B
Diaphragmatic Hernia. CECT coronal MPRs with lung window show the stomach herniating through a defect in the diaphragm into the left chest.

What is A
Lung Contusion. CECT axial coronal MPR

What is B
Lung Contusion. CECT axial and sagittal MPR

What is C
Lung Contusion. CECT axial images of a trauma patient showing the extensive pulmonary contusion of the right upper and lower lobes. There is confluent lung opacification with multiple small posttraumatic pneumatoceles.

Pneumothorax. Contrast CT of the chest shows large left pneumothorax with air outlining the visceral pleura (short arrows). There is minimal hemothorax (arrowhead). There is a large subcutaneous emphysema (long arrows) of the left chest wall.

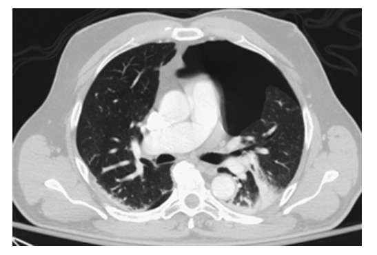
Pneumothorax. Axial CECT of the chest shows a large left pneumothorax as abnormal air density within the pleural space and a partially collapsed left lung.

Pneumothorax. CECT sagittal MPR of the same patient shows a large left anterior pneumothorax.