Biological - Brain scans

0.0(0)
studied byStudied by 0 people
0.0(0)
full-widthCall with Kai
GameKnowt Play
New
learnLearn
examPractice Test
spaced repetitionSpaced Repetition
heart puzzleMatch
flashcardsFlashcards
Card Sorting

1/22

encourage image

There's no tags or description

Looks like no tags are added yet.

Study Analytics
Name
Mastery
Learn
Test
Matching
Spaced

No study sessions yet.

23 Terms

1
New cards

What are the different types of scans we need to know?

- CAT/CT

- PET

- fMRI

2
New cards

Why is taking brain scans useful?

Allows researchers to examine what is happening in live patients

3
New cards

What are the scans which show brain structure?

- fMRI

- CAT/CT

4
New cards

What are the brain scans which show brain functioning?

- PET

5
New cards

What does CAT scan stand for?

Computerized Axial Tomography

6
New cards

What does PET scan stand for?

Positron Emission Tomography

7
New cards

What does fMRI scan stand for?

Functional Magnetic Resonance Imaging

8
New cards

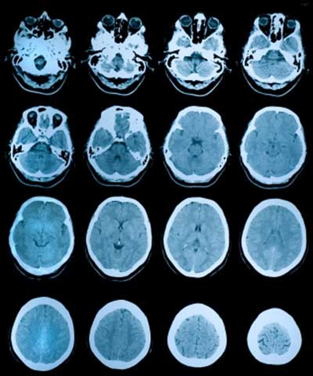
How do CAT scans work?

Uses multiple X-ray beams passed through the head, creating cross-sectional images of the brain. Sometimes dyes such as iodine are used

9
New cards

What images can CAT scans give us?

3D images or the slides can be looked at individually

<p>3D images or the slides can be looked at individually</p>
10
New cards

What are CAT scans often used for?

To identify if brain damage is present

11
New cards

Why are dyes used in CAT scans?

To highlight the blood vessels in the brain and produce more detailed images

12
New cards

Describe the process of getting a CAT scan.

1. Remove all metal

(1.5. An injection of dye may be given)

2. Lie still on the scanning table for 20-30 mins

3. The table moves through the scanner and rotates around pts head

13
New cards

Give advantages of CAT scans.

- Quick

- Provide useful image of brain structure to help determine treatment plans

- Reduce pt risk as they can identify problems and potential solutions

- Detect physical changes in the brain

- Have medical and research uses

- Non-painful and non-invasive

14
New cards

Give disadvantages of CAT scans.

- X-rays are a harmful form of radiation (cost/benefit argument)

- CAT scans give lower quality images than alternatives

- CAT scans can only tell us about physical damage, not about activity or infection etc

- Cannot be routinely used for research due to the radiation causing cancer

15
New cards

How do PET scans work?

A radioactive material which is injected. Glucose in the brain causes this material to break down and form positrons which collide with electrons, form gamma rays which are detected by the scanner

16
New cards

What images do PET scans give us?

They give us colourful images of cross-sections of the brain

<p>They give us colourful images of cross-sections of the brain</p>
17
New cards

What do PET scans show us?

As the radioactive material breaks down with glucose, areas of the brain which are more high activity show up as this on the scanner, with red being high activity and blue being low

18
New cards

What are PET scans used for?

Medical purposes such as checking damage caused by a stroke as well as for research

19
New cards

What are advantages of PET scans?

- Mostly non-invasive and non-painful

- Valid method to measure brain activity

- Reliable - can be repeated and give the same results

- Reduce pt risk as they can identify problems and potential solutions

20
New cards

Give some disadvantages of PET scans.

- Radioactive tracer is invasive

- Scan is claustrophobic so could be risk to pt

- Difficult to isolate different brain functioning precisely

- Can take long time

21
New cards

How do fMRI's work?

Head is placed inside an electromagnet which detects the changes in O2 demand and haemoglobin oxygenation

22
New cards

What images do fMRIs provide us?

Images of brain activity (activation maps in certain mental processes). These can be 3D or slides

<p>Images of brain activity (activation maps in certain mental processes). These can be 3D or slides</p>
23
New cards

Describe getting an fMRI scan.

1. Head is placed in a brace to hold it still

2. Goggles and earphones may be given to wear

3. Table moves into the machine and scans