Gross Anatomy - Practicum 1

0.0(0)
studied byStudied by 1 person
full-widthCall with Kai
GameKnowt Play
learnLearn
examPractice Test
spaced repetitionSpaced Repetition
heart puzzleMatch
flashcardsFlashcards
Card Sorting

1/172

encourage image

There's no tags or description

Looks like no tags are added yet.

Study Analytics
Name
Mastery
Learn
Test
Matching
Spaced

No study sessions yet.

173 Terms

1
New cards

anatomical position

standing upright, gaze is straight and ahead, feet facing forwards, palms face forwards, fingers pointed downwards

<p>standing upright, gaze is straight and ahead, feet facing forwards, palms face forwards, fingers pointed downwards</p>
2
New cards

sagittal plane (midsagittal, parasagittal)

vertical plane that divides the body into right and left sections

<p>vertical plane that divides the body into right and left sections</p>
3
New cards

coronal/frontal plane

vertical plane that divides the body into anterior and posterior portions

<p>vertical plane that divides the body into anterior and posterior portions</p>
4
New cards

transverse plane

horizontal plane that divides the body into superior and inferior parts

<p>horizontal plane that divides the body into superior and inferior parts</p>
5
New cards
<p>identify the plane of the eye</p>

identify the plane of the eye

parasagittal

6
New cards
<p>label anatomical regions</p>

label anatomical regions

7
New cards
<p>label anatomical regions</p>

label anatomical regions

8
New cards
<p>A ____ MRI shows half the abdomen, pelvis, and vertebral column, the rectum, and the intestines.</p>

A ____ MRI shows half the abdomen, pelvis, and vertebral column, the rectum, and the intestines.

midsaggital

9
New cards
<p>A ____ MRI illustrates the front aspect of the thorax, the heart, lungs, liver, stomach, and spleen</p>

A ____ MRI illustrates the front aspect of the thorax, the heart, lungs, liver, stomach, and spleen

coronal

10
New cards
<p>A ____ MRI through the abdomen shows the liver, spinal, aorta, pancreas, and spleen</p>

A ____ MRI through the abdomen shows the liver, spinal, aorta, pancreas, and spleen

transverse

11
New cards
<p>The MRI of the vertebral column of the lumbar region above is in a ____ section showing a herniated disc</p>

The MRI of the vertebral column of the lumbar region above is in a ____ section showing a herniated disc

saggital

12
New cards
<p>By convention, a ____ section such as this is shown with the patient lying on his-her back and viwed from the feet towards the head</p>

By convention, a ____ section such as this is shown with the patient lying on his-her back and viwed from the feet towards the head

transverse

13
New cards
<p>The x-ray of the right knee above shows a total knee replacemnet with prosthesis implant. What view is this presentation?</p>

The x-ray of the right knee above shows a total knee replacemnet with prosthesis implant. What view is this presentation?

coronal

14
New cards

label the five cavities that contain the organs of the body

knowt flashcard image
15
New cards

identify the organs from the abdominal cavity

knowt flashcard image
16
New cards

identify the division of the thoracic cavity

knowt flashcard image
17
New cards
<p>list all structures in the RUQ</p>

list all structures in the RUQ

liver, gallbladder, right kidney, head of pancreas, duodenum, hepatic flexure of transverse colon

18
New cards
<p>list all structures in the LUQ</p>

list all structures in the LUQ

stomach, spleen, body/tail of pancrea, left kidney, left olobe of liver, splenic flexure of colon

19
New cards
<p>list all structures RLQ</p>

list all structures RLQ

ascending colon, appendix, cecum, small intestine (ileum), R ureter, urinary bladder, rectum, R ovary/fallopian tube, R spermatic cord

20
New cards
<p>descending colon, sigmoid colon, small intestine, L ureter, L ovary/fallopian tube, L spermati cord</p>

descending colon, sigmoid colon, small intestine, L ureter, L ovary/fallopian tube, L spermati cord

21
New cards
<p>list structures found in the right hypochondriac region</p>

list structures found in the right hypochondriac region

R portion of liver, gallbladder, R kidney, duodenum of small intestine, head of pancreas, ascending + hepatic flexure + transverse colon

22
New cards
<p>list structures of the epigastric region</p>

list structures of the epigastric region

stomach, liver, head/body of pancreas, duodenum, transverse colon, R/L ureters, part of spleen

23
New cards
<p>list structures of the left hypochondriac region</p>

list structures of the left hypochondriac region

stomach, spleen, tail of pancreas, L kidney, transverse + splenic flexure + descendning colon, left lobe of liver

24
New cards
<p>list structures of the right lumbar region</p>

list structures of the right lumbar region

ascending colon, R kidney, small intestine

25
New cards
<p>list structures of the left lumbar region</p>

list structures of the left lumbar region

descending colon, L kidney, small intestine (jejunum), diaphragm

26
New cards
<p>list structures of the umbilical region</p>

list structures of the umbilical region

small intestine, transverse colon, stomach, kidneys, head of pancreas, ureters

27
New cards
<p>list structures of the right iliac region</p>

list structures of the right iliac region

cecum, appendix, ascending colon, R ureter, R ovary/fallopian tube

28
New cards
<p>list structures of the hypogastric region</p>

list structures of the hypogastric region

ilieum of small intestine, sigmoid colon, rectum, urinary bladder, R/L ureters, uterus, ovaries, prostate gland

29
New cards
<p>list structures of the left iliac region</p>

list structures of the left iliac region

descending + sigmoid colon, small intestine, L ovary/fallopian tube, L ureter

30
New cards
<p>identify CT</p>

identify CT

blood

31
New cards
<p>identify CT</p>

identify CT

dense regular

32
New cards
<p>identify CT</p>

identify CT

dense irregular

33
New cards
<p>identify CT</p>

identify CT

adipose

34
New cards
<p>identify CT</p>

identify CT

cartilage

35
New cards
<p>identify CT</p>

identify CT

bone

36
New cards
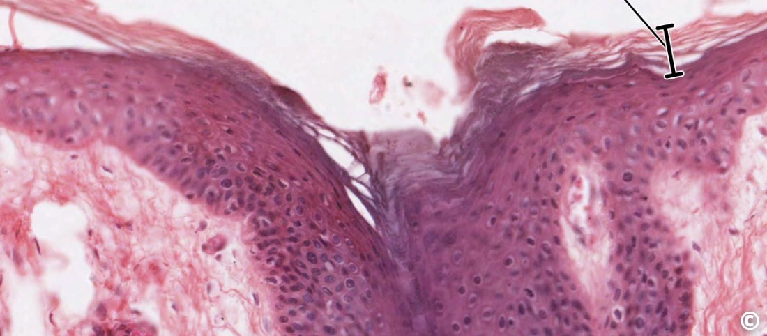
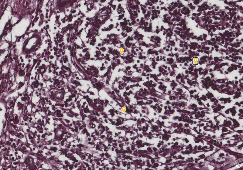
<p>identify area of histological slide, type of CT, and identify structures</p>

identify area of histological slide, type of CT, and identify structures

epidermis, loose CT, lamina propria

37
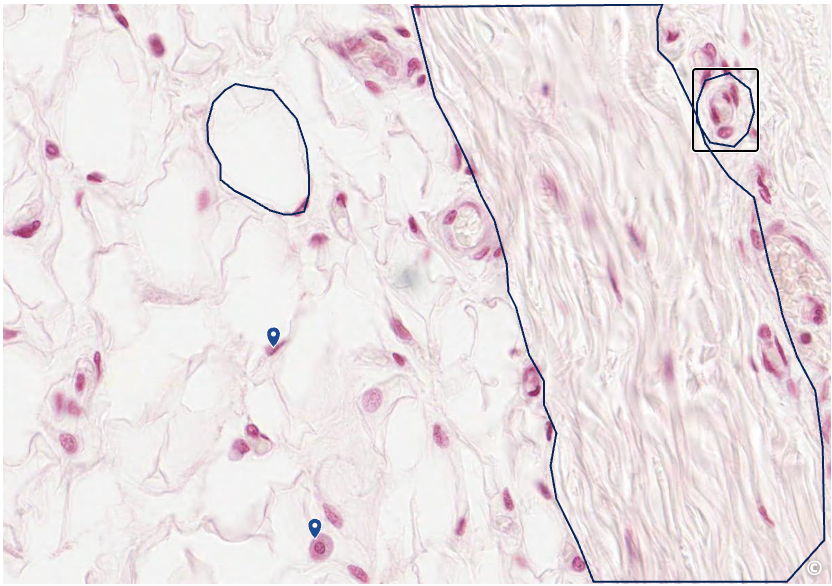
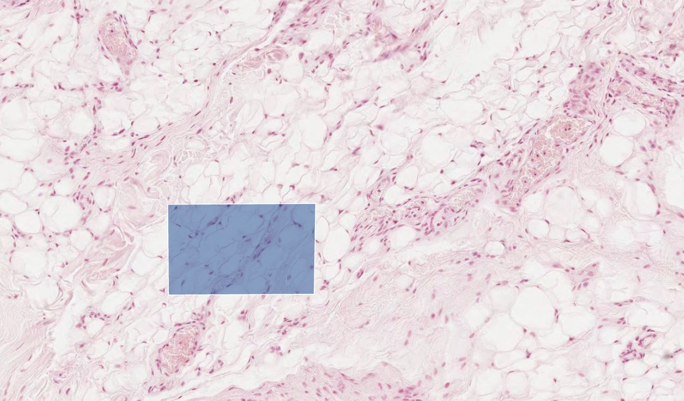
New cards
<p>identify area of histological slide, type of CT, and identify structures</p>

identify area of histological slide, type of CT, and identify structures

dermis, loose CT, adipocytes/blood cells

38
New cards
<p>identify area of histological slide, type of CT, and identify structures</p>

identify area of histological slide, type of CT, and identify structures

reticular dermis, dense irregular, blood vessels/irregular fibers/fibrocytes

39
New cards
<p>identify area of histological slide, type of CT, and identify structures</p>

identify area of histological slide, type of CT, and identify structures

periodontal ligament, dense regular, fibrocyte in DR/osteocyte in lacunae

40
New cards
<p>identify area of histological slide, type of CT, and identify structures</p>

identify area of histological slide, type of CT, and identify structures

spleen, reticular fiber, reticulocytes (dark ovals)/reticular fibers

41
New cards
<p>identify area of histological slide, type of CT, and identify structures</p>

identify area of histological slide, type of CT, and identify structures

aorta, elastic CT, fibrocytes (oval nuclei)/elastic fibers (dark black lines)/smooth muscle (dark staining, flat nuclei)

42
New cards
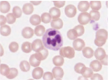
<p>identify the leukocyte</p>

identify the leukocyte

neutrophil

43
New cards
<p></p><p>identify the leukocyte</p>

identify the leukocyte

eosinophil

44
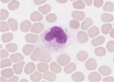
New cards
<p>identify the leukocyte</p>

identify the leukocyte

lymphocyte

45
New cards
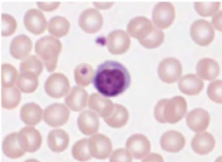
<p>identify the leukocyte</p>

identify the leukocyte

basophil

46
New cards
<p>identify the leukocyte</p>

identify the leukocyte

monocyte

47
New cards
<p>identify area of histological slide, type of CT, and identify structures</p>

identify area of histological slide, type of CT, and identify structures

lamellar bone, bone, osteon/osteocytes (tiny ovals)

48
New cards
<p>identify area of histological slide, type of CT, and identify structures</p>

identify area of histological slide, type of CT, and identify structures

hyaline cartilage, specialized CT, lucanae/chondrocyte

49
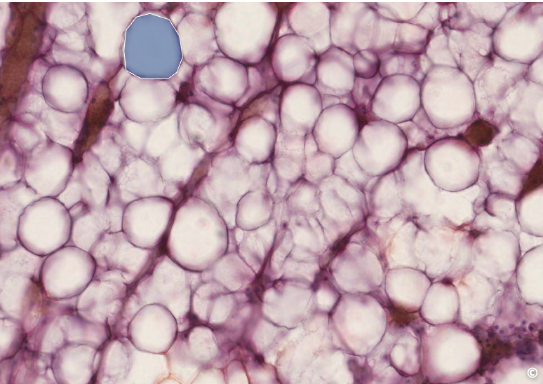
New cards
<p>identify area of histological slide, type of CT, and identify structures</p>

identify area of histological slide, type of CT, and identify structures

adipose tissue, specialized CT, adipocyte/nuclei (paink staining)

50
New cards
<p>identify area of histological slide, type of CT, and identify structures</p>

identify area of histological slide, type of CT, and identify structures

bone marrow, unilocular adipose CT, adipocytes/nucleus

51
New cards
<p>identify the surface specialization</p>

identify the surface specialization

stereocilia

52
New cards
<p>identify the surface specialization</p>

identify the surface specialization

microvilli

53
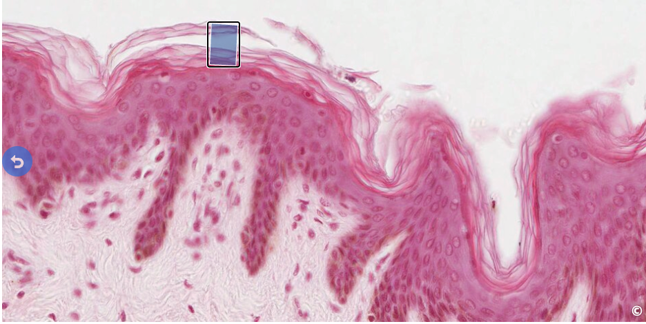
New cards
<p>identify the surface specialization</p>

identify the surface specialization

keratin

54
New cards
<p>identify the surface specialization</p>

identify the surface specialization

cilia

55
New cards
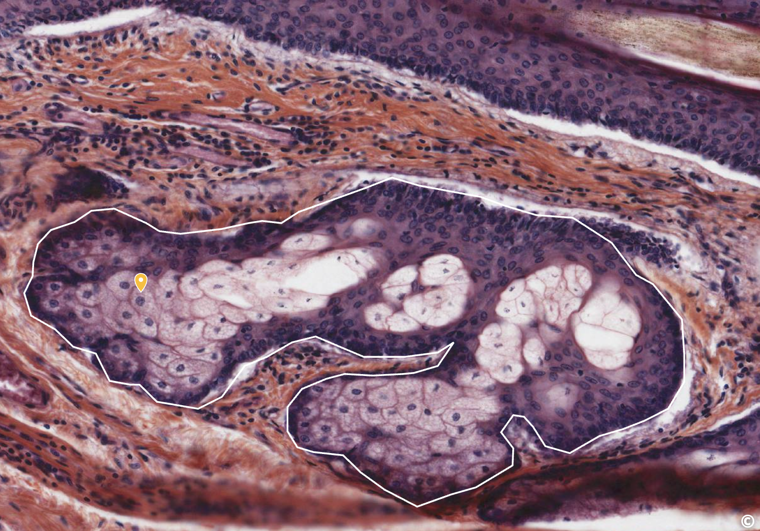
<p>name the type of gland</p>

name the type of gland

simple tubular

56
New cards
<p>name the type of gland</p>

name the type of gland

simple coiled tubular

57
New cards
<p>name the type of gland</p>

name the type of gland

simble branched tubular

58
New cards
<p>name the type of gland</p>

name the type of gland

simple alveolar (acinar)

59
New cards
<p>name the type of gland</p>

name the type of gland

simple branched alveolar (acinar)

60
New cards
<p>name the type of gland</p>

name the type of gland

compound tubular

61
New cards
<p>name the type of gland</p>

name the type of gland

compound alveolar (acinar)

62
New cards
<p>name the type of gland</p>

name the type of gland

compound tubuloalveolar (tubuloacinar)

63
New cards
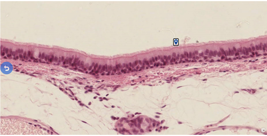
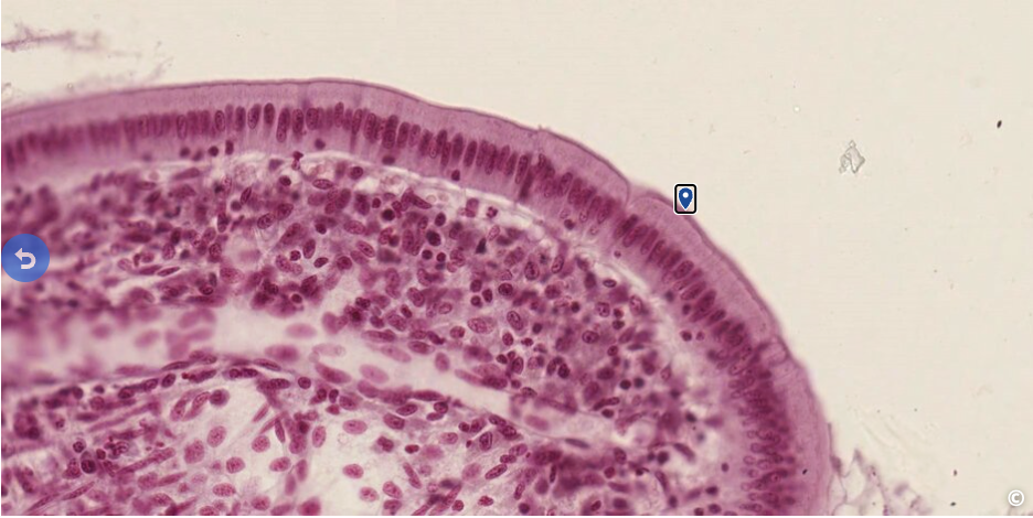
<p>identify the type of epithelium</p>

identify the type of epithelium

simple cuboidal

64
New cards
<p>identify surface specialization</p>

identify surface specialization

cilia

65
New cards
<p>identify type of exocrine gland</p>

identify type of exocrine gland

simple coiled tubular

66
New cards
<p>identify type of epithelium</p>

identify type of epithelium

simple columnar

67
New cards
<p>identify type of epithelium</p>

identify type of epithelium

stratified squamous

68
New cards
<p>label the layers of the integument</p>

label the layers of the integument

epidermis, dermis (papillary layer, reticular layer), hypodermis

69
New cards
<p>identify all layers of thick skin</p>

identify all layers of thick skin

stratum corneum, stratum lucidum, stratum granulosum, stratum spinosum, stratum basale

70
New cards
<p>identify all layers of thin skin</p>

identify all layers of thin skin

stratum corneum, stratum granulosum, stratum spinosum, stratum basale

71
New cards
<p>identify the layers of the dermis</p>

identify the layers of the dermis

papillary layer (loose areolar CT), reticular layer (dense irregular)

72
New cards
<p>layer the dermis + associated structures</p>

layer the dermis + associated structures

dermal papilla, tactile (Meissner’s) corpuscle, free nerve ending, papillary layer, reticular layer, blood vessel, hair follicle, lamellar (Pacinian) corpuscle

73
New cards
<p>identify layer of the skin</p>

identify layer of the skin

hypodermis

74
New cards
<p>what this</p>

what this

apocrine sweat gland (simple coiled tubular gland)

75
New cards
<p>what this</p>

what this

eccrine sweat gland (simple coiled tubular gland)

76
New cards
<p>what this</p>

what this

sebaceous gland (branched alveolar/acinar gland)

77
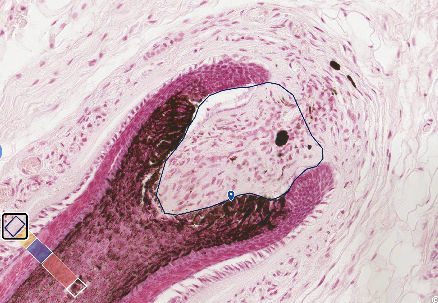
New cards
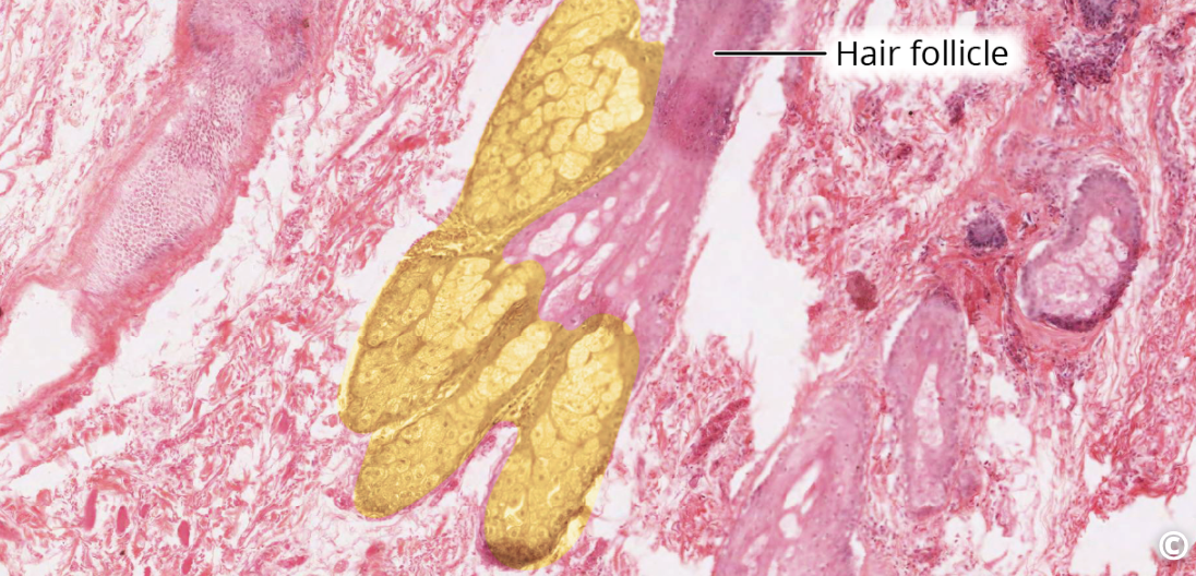
<p>wha this</p>

wha this

hair follicle

78
New cards
<p>what this</p>

what this

tactile (Meissner’s) corpuscle

79
New cards
<p>what this</p>

what this

lamellar (Pacinian) corpuscle

80
New cards
<p>label the glands</p>

label the glands

apocrine, sebaceous, eccrine

81
New cards
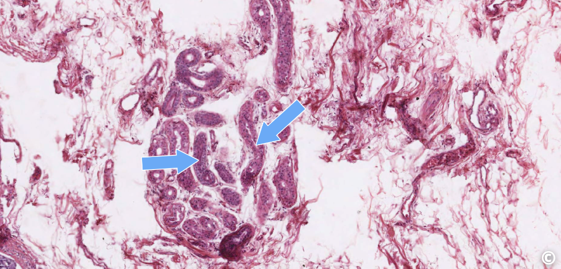
<p>identify structure</p>

identify structure

eccrine sweat gland

82
New cards
<p>identify structure</p>

identify structure

thin skin; stratum corneum; keratinized stratified squamousepithelium

83
New cards
<p>identify the structure</p>

identify the structure

sebaceous gland

84
New cards
<p>identify the structure</p>

identify the structure

lamellar (Pacinian) corpuscle

85
New cards
<p>identify all layers of thick skin</p>

identify all layers of thick skin

stratum corneum, stratum lucidum, stratum granulosum, stratum spinosum, stratum basale, papillary dermis, reticular dermis, hypodermis

86
New cards
<p>label sensory neuron</p>

label sensory neuron

sensory nerve endings in periphery, nerve fiber w myelin sheath, cell body, synaptic terminals in CNS

87
New cards
<p>label glial cells</p>

label glial cells

gray matter —> astrocyte, neuron cell body, oligodendrocyte

88
New cards
<p>whats this</p>

whats this

cerebrum (white/gray matter)

89
New cards
<p>label cells of the cerebellum</p>

label cells of the cerebellum

knowt flashcard image
90
New cards
<p>whats this</p>

whats this

central canal of spinal cord (filled w csf + lined w ependymal cells)

91
New cards
<p>label spinal cord</p>

label spinal cord

knowt flashcard image
92
New cards
<p>what’s this + layers</p>

what’s this + layers

peripheral nerve (epineurium, perineurium, endoneurium)

93
New cards
<p>what type of neural tissue is this</p>

what type of neural tissue is this

nerve

94
New cards
<p>what type of neural tissue is this</p>

what type of neural tissue is this

cerebrum

95
New cards
<p>what type of neural tissue is this</p>

what type of neural tissue is this

cerebellum

96
New cards
<p>label the general structures of the brain</p>

label the general structures of the brain

knowt flashcard image
97
New cards
<p>label ventricles within the brain</p>

label ventricles within the brain

knowt flashcard image
98
New cards
<p>label primary cortical areas of the brain</p>

label primary cortical areas of the brain

knowt flashcard image
99
New cards
<p>label structures of the diencephalon</p>

label structures of the diencephalon

knowt flashcard image
100
New cards
<p>label structures on midsagittal section of brain</p>

label structures on midsagittal section of brain

knowt flashcard image