1/59
Looks like no tags are added yet.
Name | Mastery | Learn | Test | Matching | Spaced | Call with Kai |
|---|
No analytics yet
Send a link to your students to track their progress
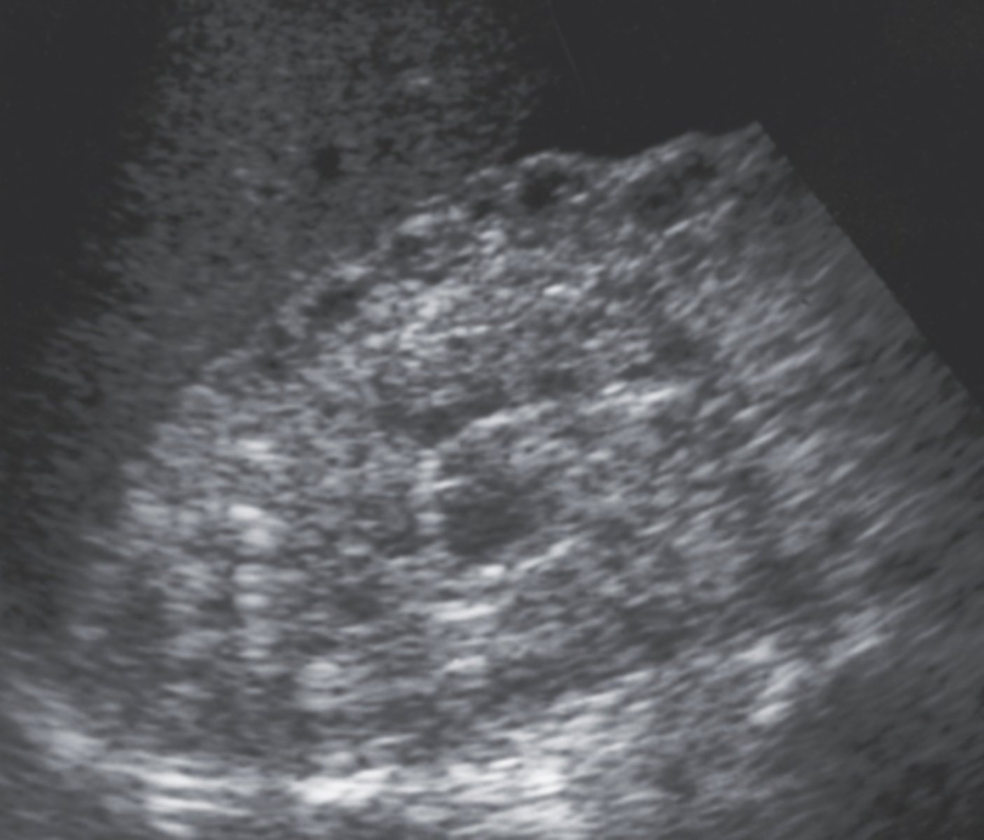
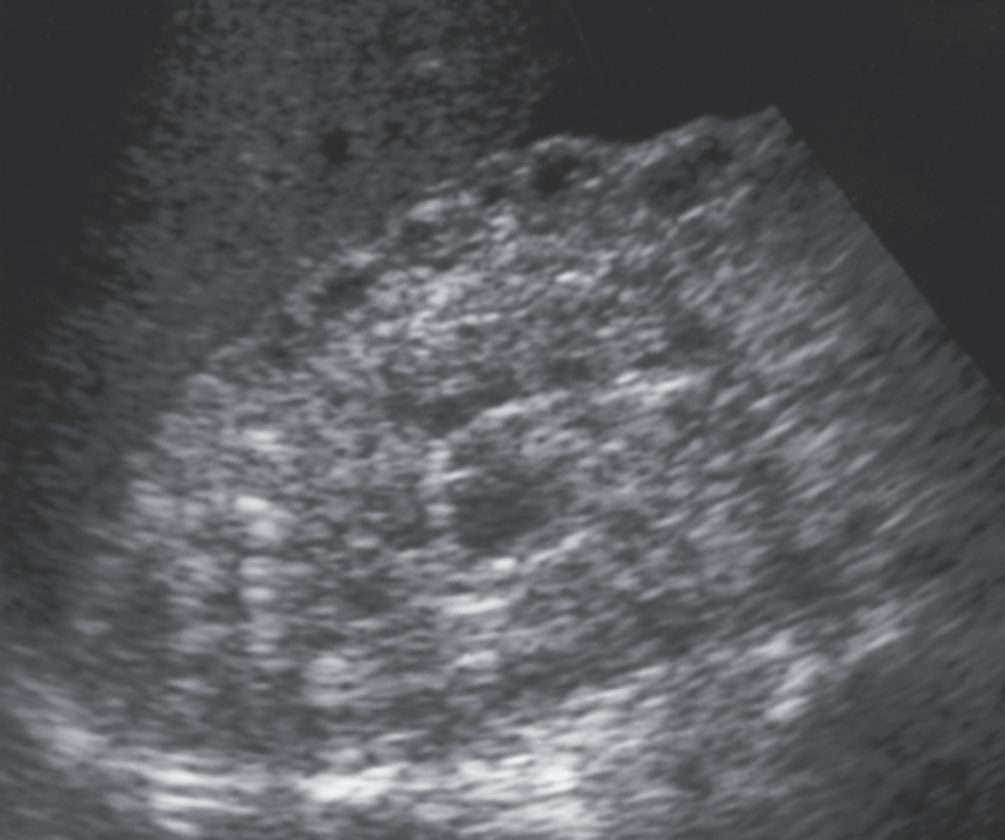
1. The sonographic finding in Figure 7-40 is most consistent with what diagnosis?
a. ARF
b. CRF
c. MCDK
d. ADPKD
b. CRF

2. What is the most common cause of the disorder noted in Figure 7-40?
a. Diabetes mellitus
b. Acute tubular necrosis
c. Smoking
d. Chronic pyonephrosis
a. Diabetes mellitus

3. Which of the following is a cyst located within the female urethra?
a. Nabothian cyst
b. Gartner duct cyst
c. Skene gland cyst
d. Bulbourethral gland cyst
c. Skene gland cyst
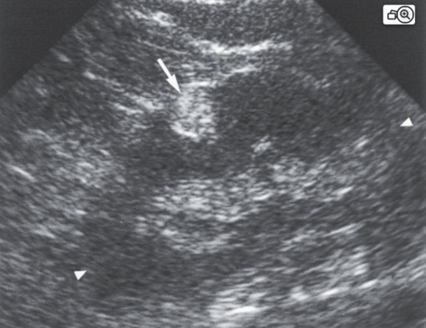
4. What is the arrow in Figure 7-41 most likely identifying in this asymptomatic patient?
a. Hypernephroma
b. Nephroblastoma
c. Renal hemangioma
d. Angiomyolipoma
d. Angiomyolipoma

5. The 41-year-old patient in Figure 7-42 had a clinical history that included decreased renal function, urinary tract infections, and a palpable abdominal mass. What is the most likely diagnosis?
a. Acquired renal cystic disease
b. ARPKD
c. MCDK
d. ADPKD
d. ADPKD

6. Which of the following would be most likely associated with the findings in Figure 7-42?
a. Urinary tract infection
b. Testicular torsion
c. Hemihypertrophy
d. Urachal anomaly
a. Urinary tract infection

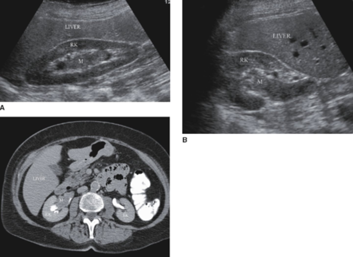
7. The 64-year-old patient in Figure 7-43 was suffering from anorexia, gross hematuria, flank pain, and had a history of smoking. Which of the following would be the most likely diagnosis for the mass (M) noted in this image?
a. Hypernephroma
b. Angiomyolipoma
c. TCC
d. Renal hematoma
a. Hypernephroma (RCC)

8. Which laboratory finding would be the most helpful for predicting evidence of a renal infarction?
a. GFR
b. Hematocrit
c. Total white blood cell count
d. LDH
d. LDH
9. Which of the following is described as a disorder caused by damage to the glomeruli, resulting in proteinuria and swelling of the ankles, face, and feet because of excess water retention?
a. Diabetes mellitus
b. Prune belly syndrome
c. Nephrotic syndrome
d. von Hippel-Lindau syndrome
c. Nephrotic syndrome
10. What is a hallmark sonographic feature of a patient suffering from xanthogranulomatous pyelonephritis?
a. Perinephric abscess
b. Pheochromocytoma
c. Renal infarction
d. Staghorn calculous
d. Staghorn calculus
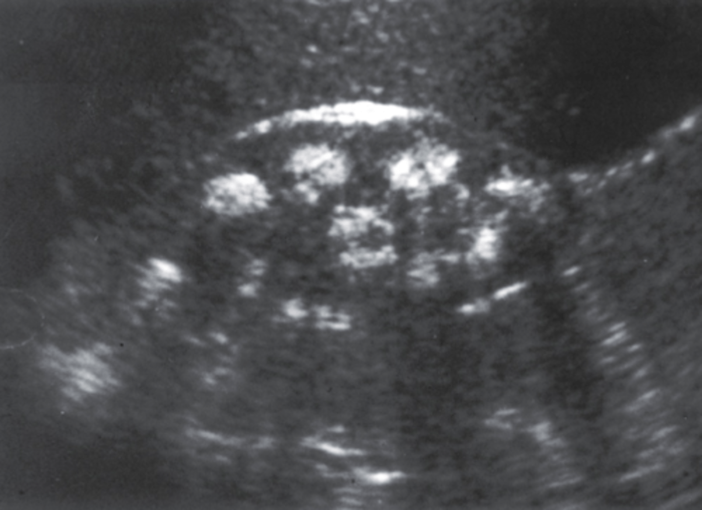
11. What are the sonographic findings in Figure 7-44 consistent with?
a. Multiple renal hemangiomas
b. Medullary nephrocalcinosis
c. Renal lipomatosis
d. Schistosomiasis
b. Medullary nephrocalcinosis

12. Which of the following would be least likely associated with Figure 7-44?
a. Pyonephritis
b. Hypercalcemia
c. Urinary tract infection
d. Hyperparathyroidism
a. Pyonephritis

13. What is the most common vascular complication following renal transplantation?
a. Renal vein thrombosis
b. Renal vein aneurysm
c. Renal artery thrombosis
d. Renal artery stenosis
d. Renal artery stenosis
14. What is the most common cause of prune belly syndrome?
a. Urinoma
b. Megacystis
c. Nutcracker syndrome
d. Azotemia
b. Megacystis
15. Which of the following is another name for Wilms tumor?
a. Neuroblastoma
b. Pheochromocytoma
c. Renal hamartoma
d. Nephroblastoma
d. Nephroblastoma
16. Which of the following pediatric patients would be at an increased risk for developing a Wilms tumor?
a. 4-year-old with Beckwith-Wiedemann syndrome
b. 10-year-old with three renal infections
c. 6-year-old with a duplicated collecting system
d. 18-year-old with Marfan syndrome
a. 4-year-old with Beckwith-Wiedemann syndrome
17. Renal vein entrapment occurs:
a. between the abdominal aorta and IVC.
b. between the superior mesenteric vein and abdominal aorta.
c. between the abdominal aorta and superior mesenteric artery.
d. between the abdominal aorta and celiac artery.
c. between the abdominal aorta and superior mesenteric artery.
18. Nutcracker syndrome affects the:
a. left renal vein
b. left renal artery
c. right renal vein
d. right renal artery
a. left renal vein
19. Figure 7-45 is an image of a 61-year-old male with gross hematuria. Which of the following would be the most likely diagnosis for the mass (M) noted in this transverse image?
a. Renal adenoma
b. TCC
c. Renal hamartoma
d. Renal hyponephroma
b. TCC

20. What enzyme is produced by the kidneys to assist in blood pressure regulation?
a. BUN
b. Creatinine
c. Renin
d. Trypsin
c. Renin
21. Which of the following is a childhood, autoimmune disease that results in the development of purple spots on the skin and possible renal failure?
a. Henoch-Schönlein purpura
b. Azotemia
c. von Hippel-Lindau syndrome
d. Xanthogranulomatous pyelonephritis
a. Henoch-Schönlein purpura
22. What is the functional unit of the kidney?
a. Nephron
b. Medulla
c. Cortex
d. Bowman capsule
a. Nephron
23. Which of the following would be most indicative of renal artery stenosis?
a. Decreased cortical echogenicity
b. A renal to aorta ratio that is greater than 3.5
c. Enlarged kidney
d. Tardus-parvus waveform upstream to the stenosis
b. A renal to aorta ratio that is greater than 3.5
24. The kidneys are:
a. intraperitoneal organs
b. retroperitoneal organs
c. both intraperitoneal and retroperitoneal organs
d. neither intraperitoneal nor retroperitoneal organs
b. retroperitoneal organs
25. The protective capsule of the kidney is referred to as:
a. Glisson capsule
b. perirenal capsule
c. renal capsule
d. renal cortex
c. renal capsule
26. The vessel located anterior to the abdominal aorta and posterior to the superior mesenteric artery is the:
a. celiac artery
b. left renal artery
c. right renal vein
d. left renal vein
d. left renal vein
27. Which of the following would not be a typical clinical feature of renal transplant failure?
a. Oliguria
b. Proteinuria
c. Hypotension
d. Elevated creatinine
c. Hypotension
28. Enlargement of the unaffected contralateral kidney with unilateral renal agenesis or compromised renal function is referred to as:
a. dromedary hypertrophy
b. renal hypoplasia
c. supernumerary kidney
d. compensatory hypertrophy
d. compensatory hypertrophy
29. A bulge on the lateral border of the kidney is referred to as:
a. duplicated kidney
b. renal hypoplasia
c. dromedary hump
d. supernumerary kidney
c. dromedary hump
30. The most common congenital anomaly of the urinary tract is:
a. horseshoe kidney
b. duplicated collecting system
c. renal agenesis
d. renal hypoplasia
b. duplicated collecting system
31. A renal scar most likely appears as:
a. a hypoechoic mass in the renal parenchyma
b. a linear anechoic space in the renal cortex
c. a hyperechoic, rounded structure within the renal pyramid that shadows
d. an echogenic area that extends from the renal sinus through the renal parenchyma
d. an echogenic area that extends from the renal sinus through the renal parenchyma
32. What is the most common location of an ectopic kidney?
a. Thoracic cavity
b. Pelvis
c. Contralateral fossa
d. Left upper quadrant
b. Pelvis
33. All of the following are clinical findings of ARF except:
a. hematuria
b. hypertension
c. oliguria
d. decreased BUN and creatinine
d. decreased BUN and creatinine
34. Which of the following is true regarding a duplex collecting system with complete ureteral duplication?
a. The upper pole of the kidney suffers from reflux
b. The lower pole suffers from obstruction because of a varicocele
c. The upper pole suffers from obstruction because of a ureterocele
d. The lower pole suffers from deflux and hypertrophy
c. The upper pole suffers from obstruction because of a ureterocele
35. Which of the following is the most common cause of CRF?
a. Hypertension
b. Diabetes mellitus
c. ARPKD
d. Acute tubular necrosis
b. Diabetes mellitus
36. What renal cystic disease would be most likely caused by and thus associated with hemodialysis?
a. MCDK
b. ADPKD
c. Acquired renal cystic disease
d. ARPKD
c. Acquired renal cystic disease
37. Sonographically, compared to normal kidneys, those affected by CRF will appear:
a. normal in size with a decreased echogenicity
b. smaller in size and hypoechoic
c. larger in size and more echogenic
d. smaller in size and more echogenic
d. smaller in size and more echogenic
38. Renal cysts that project out away from the kidney are termed:
a. exophytic
b. perapelvic
c. cortical
d. peripelvic
a. exophytic
39. A female patient presents with a history of leukocytosis, dysuria, lower abdominal pain, and hematuria. Sonographically, the kidneys appear normal, although the bladder wall measures 6 mm in the distended state. What is the most likely diagnosis?
a. Glomerulonephritis
b. Xanthogranulomatous pyelonephritis
c. Cystitis
d. TCC of the bladder
c. Cystitis
40. The inherited disorder associated with the development of tumors of the central nervous system and orbits, renal cysts, and adrenal tumors is:
a. tuberous sclerosis
b. tuberculosis
c. von Hippel-Lindau syndrome
d. MCDK
c. von Hippel-Lindau syndrome
41. What is the most likely location of TCC in the kidney?
a. Cortex
b. Medulla
c. Minor calyx
d. Renal pelvis
d. Renal pelvis
42. Which of the following is the most common cause of ARF?
a. Hypertension
b. Diabetes mellitus
c. ARPKD
d. Acute tubular necrosis
d. Acute tubular necrosis
43. All of the following are characteristics of a complex cyst except:
a. internal echoes
b. smooth walls
c. mural nodules
d. septations
b. smooth walls
44. Which of the following renal findings would most likely present with a clinical finding of hematuria?
a. Hemorrhagic renal cyst
b. Milk of calcium renal cyst
c. Simple renal cyst
d. Angiomyolipoma
a. Hemorrhagic renal cyst
45. Which of the following would be considered the most common solid renal mass?
a. Renal hematoma
b. Angiomyolipoma
c. Oncocytoma
d. Hypernephroma
b. Angiomyolipoma
46. Infantile polycystic kidney disease may also be referred to as:
a. ARPKD
b. ADPKD
c. MCDK
d. acquired renal cystic disease
a. ARPKD
47. Which of the following best describes the sonographic appearance of a kidney affected by ARPKD?
a. Bilateral enlarged, echogenic kidneys
b. Unilateral, smooth-walled, noncommunicating cysts of varying sizes located within the renal fossa
c. Small, echogenic kidneys
d. Numerous, large, complex renal cysts
a. Bilateral enlarged, echogenic kidneys
48. The systemic disorder associated with epilepsy that leads to the development of solid tumors in various organs, including angiomyolipomas of the kidneys, is:
a. tuberous sclerosis
b. tuberculosis
c. von Hippel-Lindau syndrome
d. MCDK
a. tuberous sclerosis
49. What is the most common clinical finding of a simple renal cyst?
a. Hematuria
b. Quadrant pain
c. Elevated BUN
d. Asymptomatic
d. Asymptomatic
50. Suspicion of cortical thinning should occur when the renal cortex measures:
a. greater than 2 mm
b. less than 1 cm
c. greater than 5 mm
d. less than 3 cm
b. less than 1 cm
51. Which of the following is not considered an extrinsic cause of hydronephrosis?
a. Ureteral stricture
b. Pregnancy
c. Neurogenic bladder
d. Uterine leiomyoma
a. Ureteral stricture
52. Which of the following would be a common finding in a patient undergoing peritoneal dialysis?
a. Hemorrhage
b. Ascites
c. Renal artery stenosis
d. Renal vein thrombosis
b. Ascites
53. The presence of purulent material within the renal collecting system is termed:
a. pylotosis
b. pyelonephritis
c. pyonephrosis
d. emphysematous pyelonephritis
c. pyonephrosis.
54. The most common cause of fungal urinary tract infections is:
a. Candida albicans
b. RCC
c. renal tract obstruction
d. urolithiasis
a. Candida albicans
55. Clinical findings of glomerulonephritis include all of the following except:
a. proteinuria
b. throat infection
c. azotemia
d. hypercalcemia
d. hypercalcemia
56. Which of the following is not considered an intrinsic cause of hydronephrosis?
a. Ureterocele
b. Urethritis
c. Urolithiasis
d. Ureteropelvic junction obstruction
b. Urethritis
57. Clinical findings of nephrocalcinosis include all of the following except:
a. urinary tract infections
b. urinary calculi
c. hyperparathyroidism
d. weight loss
d. weight loss
58. Which of the following renal conditions is associated with the development of cysts within the pancreas and liver?
a. ARPKD
b. ADPKD
c. MCDK
d. Acquired renal cystic disease
b. ADPKD
59. A stone that completely fills the renal pelvis is referred to as a:
a. calculus granulosis
b. staghorn calculus
c. twinkle stone
d. nephrocalcinotic calculus
b. staghorn calculus
60. What is the most common location for a urolithiasis to become lodged?
a. Ureteropelvic junction
b. Midureter
c. Urethra
d. Ureterovesicle junction
d. Ureterovesicle junction