1/48
Looks like no tags are added yet.
Name | Mastery | Learn | Test | Matching | Spaced |
|---|
No study sessions yet.
tissus cartilagineux permanents constituent :
pièces de soutien de l'appareil respiratoire (cloison du nez, squelette du larynx, des anneaux trachéaux et bronchiques…) ainsi que la plupart des cartilages articulaires et l'extrémité sternale des côtes
composants principaux de la substance fondamentale sont :
eau (60-80% du poids total du cartilage)
glycosaminoglycanes (GAG, polymères linéaires formés par répétition d'unités disaccharidiques)
protéoglycanes (aggrécanes)
glycoprotéines multiadhésives (comme fibronectine).
Quels composants de la matrice assurent l'amortissement du cartilage ?
protéoglycanes : (chargé (-) attire eau)
eau
réseau de fibres de collagène de type II : entoure et stabilise ce gel protéoglycanique, confère rigidité et une résistance à la traction
croissance du cartilage se fait grâce à deux processus :
- Croissance interstitielle
- Croissance par apposition
croissance interstitielle
résulte de division mitotique des chondrocytes préexistants
c/ filles restent regroupés ds lacune (chondroplaste) → chondroblaste production MEC, gr isogénique
expansion interne du tissu
surtout 1ères phases de la formation du cartilage
s’observe au niv des cartilages de conjugaison et cartilage articulaires
croissance par apposition
résulte de la différenciation et prolifération des chondroblastes du périchondre (métaplasie)
grandit en épaisseur (dépôt de nvlles matrice sur surface ext) et s’adaptent à croissance globale des structures qu’il soutient
Groupement isogénique axiaux de croissance interstitielle
croissance en longueur
Groupement isogénique coronaire de croissance interstitielle
croissance en volume
Achondroplasie
dûe à mutation du gène FGFR 3
Cellules chondrogéniques
se différencient en chondroblaste
chondroblastes qui sont emprisonnés ds lacunes (chondroplaste) deviennent
Chondrocytes
Chondrocytes âgés peu actifs
bcp de vacuoles lipidiques
Grains de glycogène
caractéristique du cytoplasme des c/ cartilagineuses
c/ tirent E de glycolyse anérobie
Matrice territoriale
matrice entourant chaque chondrocyte ou gr isogénique
matrice interterritoriale
matrice qui remplit espace entre les gr isogéniques et chondrocytes
Chondrocyte
cytoplasme ayant gouttelettes lipidiques
glycogène
REr développé
intégrines
récepteur pr hormones
Chondron
unité structurale d’un chondrocyte et son envmt péricellulaire (protéoglycanes + fibrilles de collagène)
Fonctions du microenvironement du chondrocyte
capsule péricellulaire protège chondrocyte des forces de pression
chondron favorise communication des contraintes mécaniques
matrice cartilagineuse hyaline
hautement hydratée : lui confère une résilience et une diffusion des petits métabolites
haut degré d'hydratation et la circulation de l'eau dans la matrice permettent à celle-ci de répondre aux variations de pression et contribuent à sa capacité de charge
cartilage articulaire des articulations synoviales
dépourvus de périchondre
liquide synovial assure la nutrition du tissu cartilagineux
formé de plusieurs couches :
couche superficielle à cellules aplaties et à fibres de collagène II
fines, et orientées // à la surface articulaire; à la + forte concentration de collagène et la + faible concentration de protéoglycanes
couche moyenne (de transition) à chondrocytes arrondis et à fibres de collagène II orientées obliquement
couche profonde radiée ac c/ disposées en colonnes + grosses fibres de collagène II orientées perpendiculairement à la surface articulaire
cartilage hyalin
modèle pour le développement du squelette du fœtus

plaque épiphysaire (ou cartilage de conjugaison ou de croissance)
cartilage élastique
riche réseau de fibres élastiques
possède un périchondre
collagène de type II
chondrocytes sont + abondants et + gros
situé ds oreille ext, parois du méat acoustique ext, trompe d’Eustache, ailes du nez et épiglotte → cap de retrouver leur forme ap déformation
cartilages fibreux ou fibrocartilages
riche en faisceaux de fibres de collagène de type I, sont orientées selon
la direction des contraintes → grd résistance aux tractions/compressions
chondrocytes sont plus petits et moins nombreux
moins souple et peut se déchirer
se trouve au niveau des disques intervertébraux, de la symphyse pubienne et de quelques articulations (ménisques du genou), au niveau de l'insertion des tendons

dégénérescence discale et hernie
provoquant des douleurs dus à la compression des racines nerveuses
Rôle du tissu osseux :
Fonction mécanique
Fonction métabolique
Fonction hématopoïétique
Fonction mécanique du tissu osseux
support au poids du corps
protection
mouvement : os agissent comme des leviers articulés mobilisés par les
muscles
Tissu est à la fois résistant et suffisamment léger grâce à son organisation en os compact dense et en os spongieux → optimiser fonctions mécaniques tout en réduisant poids global du squelette
Fonction métabolique du tissu osseux :
réservoir métabolique de sels minéraux : calcium et le phosphore
Fonction hématopoïétique du tissu osseux :
moelle osseuse rouge = siège de la production des cellules sanguines, contient cellules souches hématopoïétiques → hématopoïèse
Orientation 3D des travées osseuses de l’os spongieux
pas aléatoire, mais corrélée à l'amplitude et à la direction des charges exercées sur l'articulation
Selon leur forme, les os peuvent être classés en quatre groupes :
os longs :
diaphyse (corps) : quasi-totalité de l'épaisseur du tissu osseux constituée de tissu compact
extrémités de l'os : os spongieux et l'os compact se réduit à une fine enveloppe externe
os courts : possèdent une enveloppe d'os compact et contiennent de l'os spongieux et une cavité médullaire
os plats : constitués de 2 couches d'os compact épaisses séparées par 1 couche d'os spongieux
os irréguliers
Endoste
recouvre surface interne de l’os
tapisse l’os compact adjacent à la cavité médullaire (endoste cortical), les travées osseuses d’os spongieux qui bordent la moelle osseuse (endoste trabéculaire) ainsi que les canaux de Havers (endoste ostéonien)
se compose de cellules ostéoprogénitrices → peuvent se différencier en ostéoblastes
cellules ostéoprogénitrices et les cellules bordantes
de forme aplatie, ac des noyaux allongés
périoste
très innervé et vascularisé
constitué de 2 couches :
périoste fibreux, externe
périoste cellulaire, interne (cambium/couche ostéogène)
Chez l’adulte assure l’entretien des couches osseuses sous-jacentes, le remodelage osseux et la réparation en cas de fractures

Que permettent les ostéoblastes du périoste ?
Pdnt le dvlp et la croissance, permettent accroissement en épaisseur de l’os par des dépôts successifs d’os
4 principaux groupes de protéines non collagéniques présentes dans la matrice osseuse
macromolécules de protéoglycanes
glycoprotéines multiadhésives : ex : ostéonectine, ostéopontine
protéines spécifiques de l’os : ex : ostéocalcine, qui capte calcium de la circulation sanguine, attire et stimule les ostéoclastes lors du remodelage osseux
Facteurs de croissance et cytokines
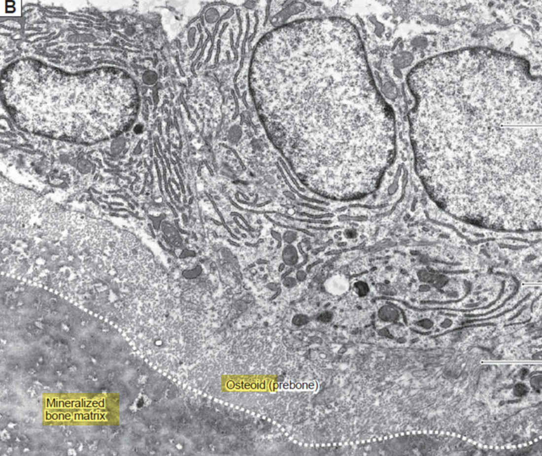
Ostéoblastes
produit et sécrète la matrice osseuse : collagène de type I, prot de la matrice osseuse, ostéoïde
prot de la matrice osseuse = ostéocalcine et l'ostéonectine (liant le calcium), glycoprotéines multiadhésives, divers protéoglycanes, phosphatase alcaline
responsable de la calcification (minéralisation) de la matrice osseuse
sécrète de petites vésicules matricielles ds la matrice qui sont riches en phosphatase alcaline
agrégation en 1 seule couche de cellules en contact avec l'os en formation
unies par des jonctions serrées et forment une palissade le long de la matrice osseuse


Ostéoblaste en ME :
forte teneur en euchromatine dans le noyau
prédominance du REr
dysplasie cléidocrânienne
porteur d’une mutation du gène codant pour la protéine Cbfa1
minéralisation de l’ostéoïde
vésicules matricielles bourgeonnant de la membrane plasmique et accumulant des ions calcium (Ca²⁺) et phosphate (PO₄³⁻)
protéines non collagéniques induisent nucléation minérale et favorisent sa propagation au sein et le long des fibrilles de collagène
phosphate de calcium et calcium ionique stockés ds les mitochondries sont transportés vers matrice extracellulaire avant de se convertir en cristaux d’hydroxyapatite
Ostéocytes
cellule osseuse mature entourée de matrice osseuse
processus de transformation de l'ostéoblaste en ostéocyte dure 3 jours
matrice extracellulaire de l’os est dure et imperméable aux nutriments → ostéocytes sont reliés entre eux par prolongements cytoplasmiques qui cheminent ds des canalicules → grâce à prolongements ostéocytes voisins unis par des jonctions communicantes
métaboliquement actives et multifonctionnelles qui réagissent aux forces mécaniques appliquées à l'os
impliqués dans le processus de mécanotransduction (répondent aux forces)
responsables du remodelage réversible de leur matrice osseuse péricanaliculaire et périlacunaire = remodelage ostéocytaire
durée de vie est estimée entre 10 et 20 ans.

ostéoclastes
cellules géantes, à noyaux multiples (10-30)
résultent de la fusion de plusieurs monocytes sanguins
fonction principal = résorption osseuse

Attachement ostéoclatse-surface osseuse
zone d’adhésion est parfaitement étanche → isole fente entre l’ostéoclaste et l’os des tissus environnants
fente = lacune de résorption ou de Howship, est le site de résorption osseuse
bordure en brosse
membrane plasmique de la cellule qui présente de nombreux replis
augmente de façon considérable la surface membranaire

caractéristiques clés permettant d’identifier un ostéoclaste
présence de plusieurs noyaux
abondance de mitochondries
adhésion étroite à la surface de la matrice osseuse

Schéma d'un ostéoclaste
structure de l'ostéoclaste et ses trois régions :
bordure en brosse
zone claire : contient de nombreux filaments d'actine, assure étanchéité entre la membrane plasmique et la matrice minéralisée
région basolatérale.
3 molécules jouent un rôle dans la différenciation ostéoclastique
M-CSF, RANKL et de l’ostéoprotégérine
ostéopétrose
origine = diminution du nbre d’ostéoclastes (mutation M-CSF) ou altérations de leurs fonctions
chez enfant : densité minérale osseuse extrêmement élevée, fractures habituelles, compression du nerf optique, perte de l'audition et insuffisance médullaire avec anémie
ostéochondrodisplasie/pycnodysostose
dû à mutations dans le gène codant pour la cathepsine K
nanisme, crâne volumineux et des fractures spontanées