HBS TISSUE SORT

0.0(0)
studied byStudied by 0 people
0.0(0)
full-widthCall with Kai
GameKnowt Play
New
learnLearn
examPractice Test
spaced repetitionSpaced Repetition
heart puzzleMatch
flashcardsFlashcards
Card Sorting

1/8

encourage image

There's no tags or description

Looks like no tags are added yet.

Study Analytics
Name
Mastery
Learn
Test
Matching
Spaced

No study sessions yet.

9 Terms

1
New cards

Adipose (Connective tissue)

2
New cards

Smooth muscle (Muscle tissue)

3
New cards
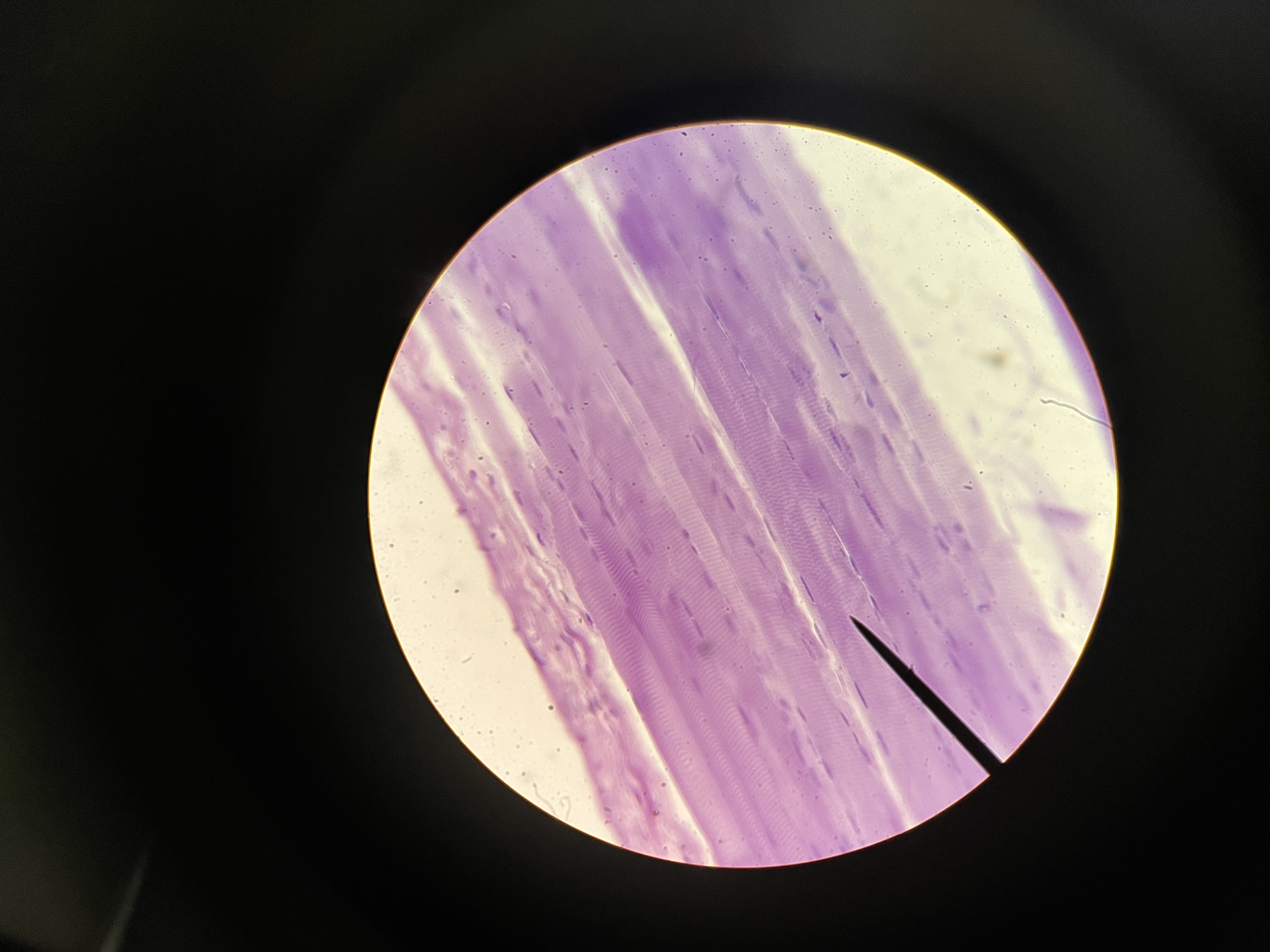
term image

skeletal muscle (muscle tissue)

4
New cards

cardiac muscle (muscle tissue)

5
New cards

neuron (nervous tissue)

6
New cards

blood (connective tissue)

7
New cards

compact bone (connective) 

8
New cards

Skin (epithelial)

9
New cards

spongy bone (connective)