1/65
Looks like no tags are added yet.
Name | Mastery | Learn | Test | Matching | Spaced | Call with Kai |
|---|
No study sessions yet.
los 3 grupos de protozoosis digestivos son:
coccidiosis
cryptosporidiosis
giardiosis

coccidios (Eimeria) afectan a animales de edad:
2-3 meses
(se infectan en la ventana de inmunidad- tras bajada de inmunidad pasiva)

criptosporidiosis (C. parvum) afectan a animales de edad:
1-2 semanas
(no hay inmunidad pasiva)

¿qué son coccidios?
protozoos apicomplejos intracelulares de los enterocitos

¿dónde están los coccidios (Eimeria) en el animal?
intracelular en los enterocitos
¿los coccidios (Eimeria) son hospedador-específico?
SI- no hay posibilidad de infección cruzada entre cabras y ovejas

¿cuales son los especies de Eimeria?
ovino:
- E. crandallis
- E. ovinoidalis
- E. gilruthi
caprino:
- E. arloingi
- E. ninaekohlyakimovae

¿qué es el ciclo biológico de los coccidios (Eimeria)?
1. esquizogonia (sexual)
- en los enterocitos
- repro. por fisión múltiple
2. gametogonia (asexual)
- en los enterocitos
- excretados como ooquistes en las heces
3. esporogonia (sexual)
- en el suelo
- repro. por fisión binaria
- ooquiste con 4 bolitas con 2 zoitos adentro.
- ingerido por el animal

la forma de Eimeria que es ingerido por el animal es:
esporogonia
luego, el ooquiste se rompe y se entra al enterocito como esquizogonia
★ el ooquiste ya no esporulado NO es infectante. tiene que ser esporulado para ser infectante.

tras ingestión del esporogonia de Eimeria, el ooquiste rompe, y se entra al enterocito como:
esquizogonia
- fase clave para que se puede repetir varias veces
- repro. por fision multiple

la forma de Eimeria que es excretado por el animal es:
gametogonia
- en los enterocitos
- excretados como ooquistes en las heces

la forma de Eimeria que está en el ambiente es:
esporogonia
- repro. por fisión binaria
- ooquiste con 4 bolitas con 2 zoitos adentro.
- ingerido por el animal

¿los coccidios siempre son patógenos?
NO. pueden se completamente apatogenos O muy patogenos y causar muerte.
los apatógenos no tienen varias generaciones y no rompen muchos enterocitos.
un animal puede tener diarrea y coccidios en los heces, pero los coccidios pueden no ser la causa de la diarrea porque son los apatogenos (falso positivo)
¿por qué los coccidios pueden dar falsos negativos y positivos?
falsos +: un animal puede tener diarrea y coccidios en los heces, pero los coccidios pueden no ser la causa de la diarrea porque son los apatogenos
falsos -: las más patógenos pueden dar falsos negativos porque al tiempo de diarrea, no han hecho gametogonia.
¿qué fase del coccidio es la que causa lesiones en el epitelio intestinal?
esquizogonia
pero ellos no son los que están excretados → por eso, podemos tener diarrea SIN ooquistes en las heces → falsos negativos
¿siempre tratamos infección por coccidios, o pueden ser autolimitante?
es autolimitante
¿qué son los fuentes de infección por coccidios?
- alimento/bebida
- pastos
- ooquistes invernales
¿cuales especies de Eimeria son las más patógenos?
los que infectan al IG, porque causan deshidratación por mucho diarrea
¿cuales factores del medioambiente favorecen infección por coccidios?
- hacinamiento
- falta de higiene
- temperatura
- humedad
- oxigenación
- luz solar
¿qué es la patogenia de los coccidios?
1. acción mecánica:
- destrucción de células epiteliales del intestino → diarrea
2. acción expoliadora:
- ↓ reabsorción de Na+, K+, Cl-, HCO3-, agua → deshidratación
- pérdida de sangre

la generación/fase más patógena de los coccidios es:
gametogonia
¿qué es la clínica de infección por coccidioa?
- diarrea amarillo-verdosa-sanguinolenta
- debilidad, apatía
- dolor abdominal
- ↓ apetito, ↓ peso
- tercio posterior manchado
- miasis secundarias

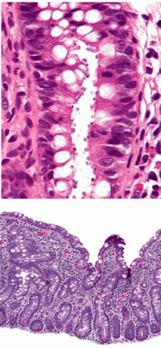
¿cuales lesiones puede dejar una infección de coccidios en el animal?
enteritis catarral
- ID y IG
- engrosamiento, edema, congestión, petequias/hemorragias difusas
- placas/nódulos blanquecinos
- atrofia de vellosidades e hiperplasia de criptas
E. gilruthi → abomasitis proliferativa

por los lesiones del abomaso (E. gilruthi), es necesario diferenciar coccidiosis con:
ostertagiosis

además del intestino, ¿dónde en el animal puede haver Eimeria?
abomaso: E. gilruthi
→ abomasitis proliferativa

¿cómo se hace el diagnostico de coccidiosis?
edad + clínica
flotación: ooquistes
- negativo en casos agudos
para diferenciar los especies: ooquistes esporulados
necropsia aconsejable

solamente aparecen los coccidios en las heces si:
NO es agudo.
¿cómo prevenimos coccidiosis?
- camas secas, limpias
- comederos y bebederos lejos del suelo
- desinfectante
- separar animales por edades
coccidiostáticos:
- amprolio
- aureomicina
- monensina
- decoquinato
- lasalocid
- toltrazuril/diclazuril
- sulfaquinoxalina + pirimetramina
- sulfamida +trimetropin
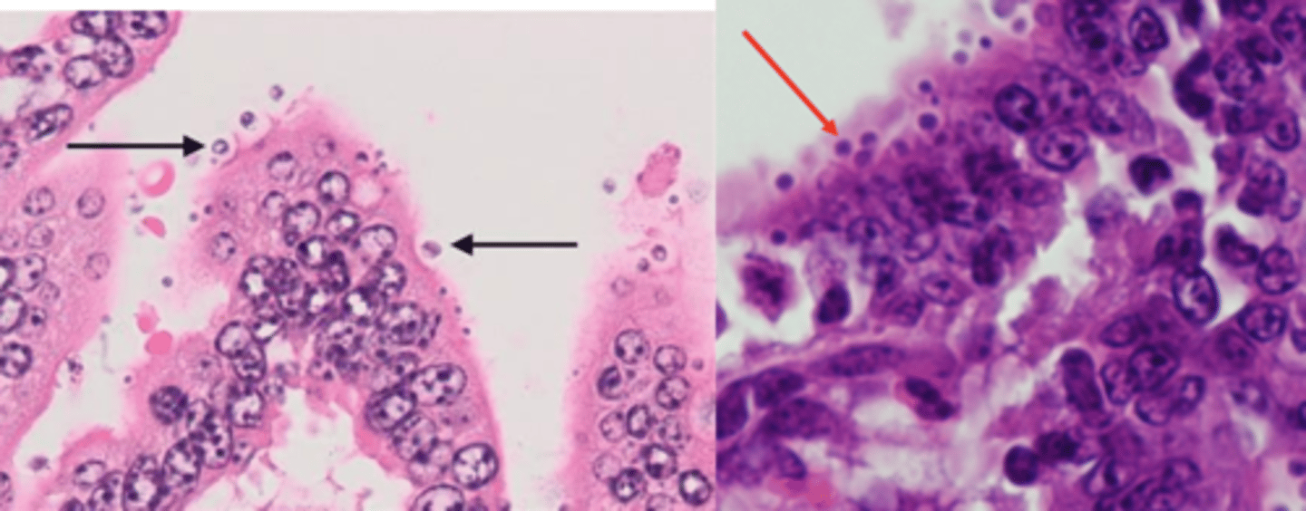
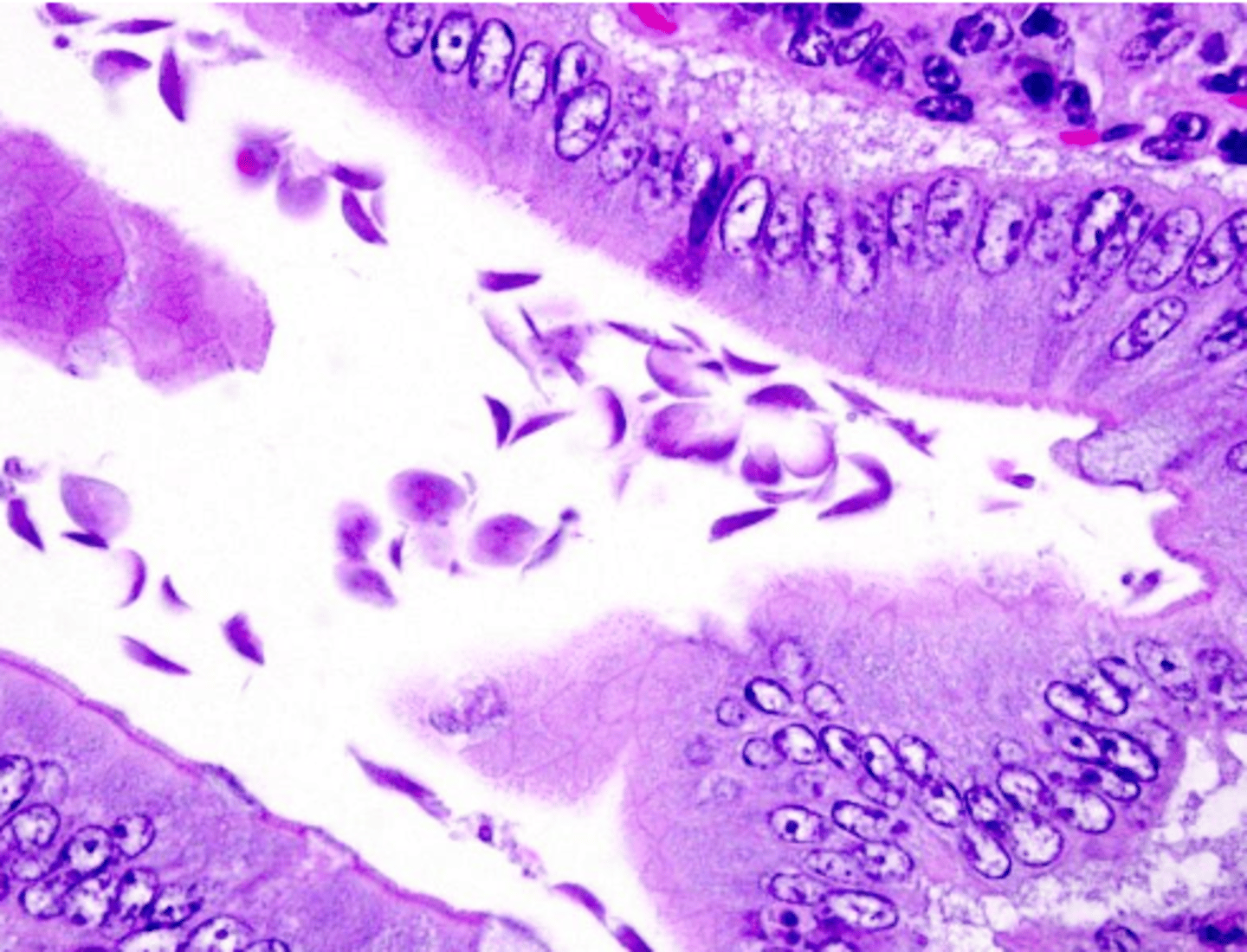
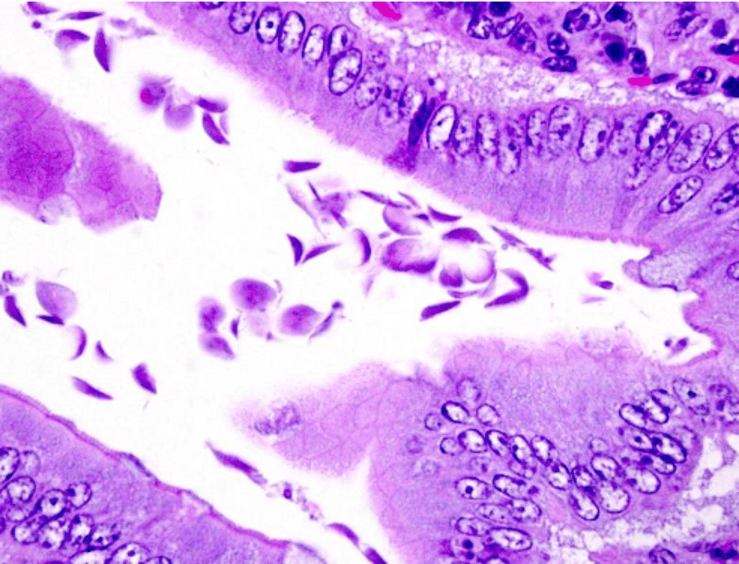
el agente etiológico de criptosporidiosis es:
Cryptosporidium parvum
¿dónde de localiza Cryptosporidium parvum en el animal?
intracelular, extracitoplasmática de los enterocitos

¿cómo es el ciclo biológico de Cryptosporidium parvum?
1. esquizogonia (sexual)
- en los enterocitos
- repro. por fisión múltiple
2. gametogonia (asexual)
- en los enterocitos
- excretados como ooquistes en las heces
3. esporogonia (sexual)
- en los enterocitos
- repro. por fisión binaria
- ooquiste con 4 bolitas con 2 zoitos adentro.
★ todo su vida en los enterocitos.
+ se excreta el ooquiste.

¿cuál protozoo es zoonótico?
Cryptosporidium parvum
Giardia duodenalis
¿Cryptosporidium parvum es hospedador-específico?
NO + es zoonótico
¿qué son las fuentes de contagio y las vías de infección por Cryptosporidium parvum?
- animales enfermos
- portadores sanos (adultos)
- alimento y agua contaminados
Cryptosporidium parvum infecta a animales del edad: _______
1-2 semanas
pq no tienen inmunidad pasiva de su madre
también puede infectar a animales adultos, pero quedan portadores (sin clínica)
¿los corderos/cabritos tienen inmunidad pasiva (del calostro) frente a los protozoos?
coccidios: SI
criptosporidios: NO
giardias: NO
infecciones por Cryptosporidium parvum son estacionales.
¿en cuales estaciones son más frecuentes?
otoño, invierno, primavera
Cryptosporidium parvum es asociado a estos otros enteropatógenos:
- E. coli
- Clostridium
- Salmonella
- Rotavirus
- Eimeria
¿qué es la patogenia de Cryptosporidium parvum?
viven en los enterocitos → destrucción de enterocitos → atrofia de los vellosidades → síndrome de malabsorción

¿qué clínica vemos por infección de Cryptosporidium parvum?
diarrea amarillenta
- 3-5d a 1-2sem
- sin sangre
anorexia
dolor abdominal
pérdida de peso
postración fiebre

¿cuál protozoo puede causar diarrea hemorrágica?
Eimeria (casos agudos)
¿qué tipo de lesiones se puede ver en la necropsia de un cordero con Cryptosporidium parvum?
- caquexia y deshidratación
- atrofia de la grasa mesentérica e infartación de los
ganglios regionales
- leche sin digerir en el abomaso
- enteritis congestiva, pero no hemorrágica
- contenido intestinal amarillento y acuoso
- acúmulo de gas en ciego y colon

cuando abrimos un cordero de pocas semanas de edad, tiene atrofia de la grasa mesentérica, enteritis congestiva, y acúmulo de gas en ciego y colon.
¿de qué proceso protozoo podemos sospechar?
Cryptosporidium parvum

cuando abrimos un cordero de pocas meses de edad, tiene enteritis catarral, con edema, congestión, y petequias. también hay nódulos blanquecinos y úlceras.
¿de qué proceso protozoo podemos sospechar?
Eimeria

vemos corderitos de pocas semanas de edad, muertos con diarrea muy amarillenta.
¿de qué proceso protozoo podemos sospechar?
Cryptosporidium parvum

vemos corderitos de unos meses de edad, con diarrea amarillenta-verdosa, apáticas y débiles.
¿de qué proceso protozoo podemos sospechar?
Eimeria

¿cómo diagnosticamos Cryptosporidium parvum?
tinción de extensiones de heces, con ZN
flotación- poco fiable
IFD, ELISA, aglutinación en látex
histología

¿podemos ver los criptosporidios con histología?
SI

¿podemos ver los criptosporidios con flotación?
normalmente no, es poco fiable

hay que teñir la extensión de heces con ziehl nielson para ver ____________
Cryptosporidium parvum

¿los animales pueden tener inmunidad contra Cryptosporidium parvum?
NO inmunidad pasiva (calostral)
inmunidad innata:
- a ↑ edad de infección, causa que hay menos ooquistes eliminados y mayor periodo de prepatencia
inmunidad adquirida:
- resistencia a reinfecciones
- importante los mec. celulares: CD4, CD8
¿cómo podemos tratar Cryptosporidium parvum?
tto etiológico:
- sin farmaco 100% eficaz
- halofuginona
- anticoccidios: sulfamidas, espiramicina, arprinocide
tto sintomático:
- electrolitos
- restricción de acceso a la leche materna
- probióticos
¿cómo podemos controlar las infecciones por criptosporidios?
- desinfección en paridera
- deparar enfermos y sanos, utilizar dif. utensilios y alimentos para cada uno
- atención a la toma de calostro
- calostro hiperinmune

¿qué es el agente de giardiosis?
Giardia duodenalis
- flagelado del intestino delgado

¿cómo es el ciclo biológico de Giardia duodenalis?
ciclo directo
- forma infectante: quistes
- a veces zoítos en heces

explicar la epidemiología de Giardia duodenalis.
- distribución mundial
- ↑ incidencia
- fuentes de infección: enfermos y portadores
asintomáticos (hembras gestantes)
- piensos y agua contaminados
la forma infectante de Giardia duodenalis es:
quistes
a veces se excretan los zoítos

¿cómo se infectan los animales con giardiosis?
- animales enfermos
- animales portadores (hembras gestantes)
- piensos y agua contaminados
el "síndrome de las diarreas que no responden a antihelmínticos" refiere a una infección por:
Giardia duodenalis
¿qué es la patogenia de Giardia duodenalis?
acortamiento de microvellosidades → ↓ superficie de absorción → malabsorción
+ acción expoliadora
+ acción vectorial: portadora de virus, bacterias, hongos, micoplasmas

¿qué son los signos de un infección de giardiosis?
muchas veces asintomática
- diarrea persistente
- heces mucosas
- DH
- fiebre, apatía
- distensión abd. con dolor
- retraso en crecimiento
diarreas persistentes mucosas son típicos de infección con:
Giardia duodenalis
¿cómo diagnosticamos Giardia duodenalis?
flotación → quistes
necropsia
IFI, IFD, ELISA, pruebas de corpoantígenos
★ eliminación intermitente → falsos negativos

¿por qué un animal infectado con Giardia duodenalis puede aparecer negativo con la flotación?
porque se eliminan del animal de forma intermitente
el tratamiento contra giardiosis es:
metronidazol
tinidazol
★ ambos son prohibidos!!!
¿cómo controlamos infecciones de giardiosis?
- medidas higiénicas para el agua de
bebida y evitar la contaminación del
pienso
- manejo + terapéutica adecuados