Parasitology Lab Exam 1

0.0(0)
studied byStudied by 0 people
full-widthCall with Kai
GameKnowt Play
learnLearn
examPractice Test
spaced repetitionSpaced Repetition
heart puzzleMatch
flashcardsFlashcards
Card Sorting

1/74

flashcard set

Earn XP

Description and Tags

who's that pokemon? but for parasites

Study Analytics
Name
Mastery
Learn
Test
Matching
Spaced

No study sessions yet.

75 Terms

1
New cards
<p>what’s this?</p>

what’s this?

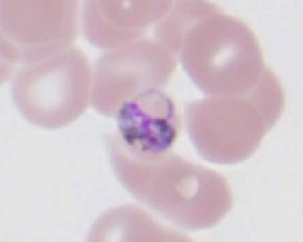
P. falciparum, trophozoite, ring stage

2
New cards
<p>what’s this?</p>

what’s this?

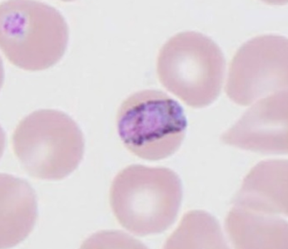
P. malariae, trophozoite, basket form

3
New cards
<p>what’s this?</p>

what’s this?

P. vivax, trophozoite, Schuffner’s dots

4
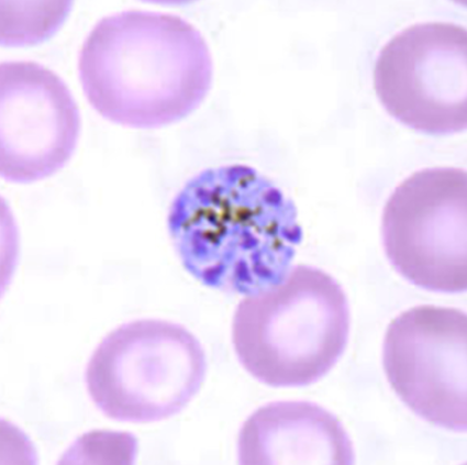
New cards
<p>what’s this?</p>

what’s this?

P. falciparum, schizont

5
New cards
<p>what’s this?</p>

what’s this?

P. malariae, trophozoite, band form

6
New cards
<p>what’s this?</p>

what’s this?

P. falciparum, gametocyte

7
New cards
<p>what’s this?</p>

what’s this?

P. malariae, schizont, rosette form

8
New cards
<p>whats this</p>

whats this

ciliates doing conjugation

9
New cards
<p>whats this</p>

whats this

promastigote

10
New cards
<p>whats this</p>

whats this

Trypanosoma brucei trypomastigotes

11
New cards
<p>whats this</p>

whats this

Giardia duodenalis

12
New cards
<p>whats this</p>

whats this

Giardia duodenalis

13
New cards
<p>whats this</p>

whats this

Trichomonas vaginalis

14
New cards
<p>whats this</p>

whats this

Trophozoites of Trichomonas vaginalis

15
New cards
<p>whats this</p>

whats this

Trophozoites of Entamoeba histolytica

16
New cards
<p>whats this</p>

whats this

Trophozoites of Entamoeba histolytica

17
New cards
<p>whats this</p>

whats this

Entamoeba histolytica

18
New cards
<p>whats this</p>

whats this

Entamoeba histolytica mature cyst

19
New cards
<p>whats this</p>

whats this

Entamoeba histolytica Trophozoites

20
New cards
<p>whats this</p>

whats this

Trophozoite of Entamoeba coli

21
New cards
<p>whats this?</p>

whats this?

Trophozoite of Entamoeba coli

22
New cards
<p>whats this</p>

whats this

Entamoeba coli mature cyst

23
New cards
<p>whats this</p>

whats this

Entamoeba coli mature cyst

24
New cards
<p>whats this</p>

whats this

Entamoeba coli immature cyst

25
New cards
<p>whats this</p>

whats this

Naegleria fowleri trophozoites

26
New cards
<p>whats this</p>

whats this

Acanthamoeba trophozoite

27
New cards
<p>what are these</p>

what are these

Acanthamoeba spp. cysts

28
New cards
<p>whats this</p>

whats this

Trophozoites of Balantidium coli

29
New cards
<p>whats this</p>

whats this

Balantidium coli trophozoite

30
New cards
<p>whats this</p>

whats this

Balantidium coli cyst

31
New cards
<p>whats this</p>

whats this

Leishmania promastigote

32
New cards
<p>whats this</p>

whats this

L. donovani amastigote

33
New cards
<p>whats this?</p>

whats this?

Monocystis sp. sporocyst

34
New cards
<p>whats this</p>

whats this

Monocystis sp. trophozoite

35
New cards
<p>whats this</p>

whats this

Monocystis lumbrici  gametocyst with oocysts

36
New cards
<p>whats this</p>

whats this

Cephaline gregarines in syzygy.

(P=protomerite; D=deutomerite)

37
New cards
<p>whats this</p>

whats this

Paramecium fission

38
New cards
<p>whats this</p>

whats this

Paramecium conjugation

39
New cards
<p>whats this </p>

whats this

Euglena

40
New cards
<p>whats this </p>

whats this

Leishmania amastigotes

41
New cards

Which has a centrally located endosome in the nucleus?

Entamoeba histolytica has a centrally located endosome

42
New cards
<p>whats this</p>

whats this

Eimeria, unsporulated oocyst

43
New cards
<p>whats this</p>

whats this

Eimeria, unsporulated oocyst

44
New cards
<p>whats this (A)</p>

whats this (A)

Eimeria, sporulated oocyst (A)

45
New cards
<p>whats this</p>

whats this

Eimeria, sporulated oocyst

46
New cards

how many sporozoites per eimeria oocyst

eight infectious sporozoites per sporulated oocyst

47
New cards

An Eimeria oocyst contains ___

four sporocysts

<p><mark data-color="unset" style="background-color: unset; color: inherit;">four sporocysts</mark></p>
48
New cards

An Eimeria sporocyst contains ___

two sporozoites

<p><span>two sporozoites</span></p>
49
New cards

what is the “mouth” on the giardia duodenalis

median body

<p>median body</p>
50
New cards

What is the outside of the “eyes” on the giardia duodenalis

adhesive disk

<p>adhesive disk</p>
51
New cards

What is the big bean in balantidium coli 

macronucleus

<p>macronucleus</p>
52
New cards

what is the vector for tb brucei, tb gambiense, and tb rhodiesiense

tsetse fly, genus Glossina

53
New cards

what is the vector for chagas disease

kissing bug, family Reduviidae

54
New cards

the kissing bug deposits the ___ in feces

metacyclic form

55
New cards

what is the vector for Leishmaniasis

female sandfly, family psychodidae

56
New cards

what is the single point on trichomonas vaginalis

axostyle

<p>axostyle</p>
57
New cards

what are the 4 anterior flagella trichomonas vaginalis

flagellar tuft

58
New cards
<p>whats this</p>

whats this

genus Acanthamoeba

59
New cards

what is a key feature of infective stages of something like malaria?

apical complex

<p>apical complex</p>
60
New cards

what is the vector for malaria

female anopheline mosquito, genus Plasmodium

61
New cards

what is the vector for babesia bigemina

tick, genus Rhipicephalus

62
New cards
<p>whats this&nbsp;</p>

whats this 

babesia bigemina

63
New cards

babesia bigemina infects ___

ruminants

64
New cards

what is the vector for babesia microti

blacklegged tick, genus Ixodes

65
New cards

babesia microti infects ___

humans, causing lyme

66
New cards

Lyme disease bacteria is aka

borrelia burgdorferi

67
New cards
<p>whats this </p>

whats this

babesia microti

68
New cards

East Coast fever

Theileria parva

69
New cards

tropical theileriosis

Theileria annulata

70
New cards

What genus of tick-borne protozoan parasites causes disease in mammals, particularly cattle, sheep, and goats

genus Theileria

71
New cards
<p>whats this</p>

whats this

genus Theileria

72
New cards

what parasite causes toxoplasmosis

Toxoplasma gondii

73
New cards

what is the vector for toxoplasma gondii

cat, genus felis

74
New cards
<p>whats this</p>

whats this

toxoplamosis

75
New cards

what parasite causes cyclosporiasis

Cyclospora cayetanensis