 Call Kai
Call Kai Learn
Learn Practice Test
Practice Test Spaced Repetition
Spaced Repetition Match
Match1/7
Looks like no tags are added yet.
| Name | Mastery | Learn | Test | Matching | Spaced | 
|---|
No study sessions yet.
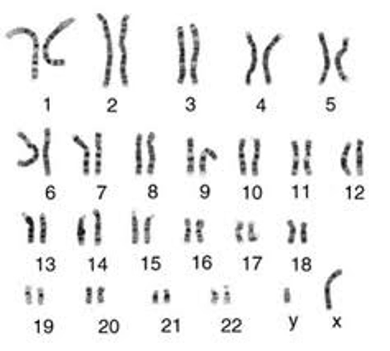
Karyotype
A photograph in which the pairs of homologous chromosomes are arranged in decreasing size

Sex chromosomes
The pair of chromosomes (X & Y) responsible for determining the sex of an individual

Autosomes
All chromosomes, except the sex chromosomes, that occur in pairs in all somatic cells

X and Y Chromosomes
More than 1200 genes are found on the X chromosome, some of which are shown.
The human Y chromosome is much smaller than the X chromosome and contains only about 140 genes, most of which are associated with male sex determination and sperm development.

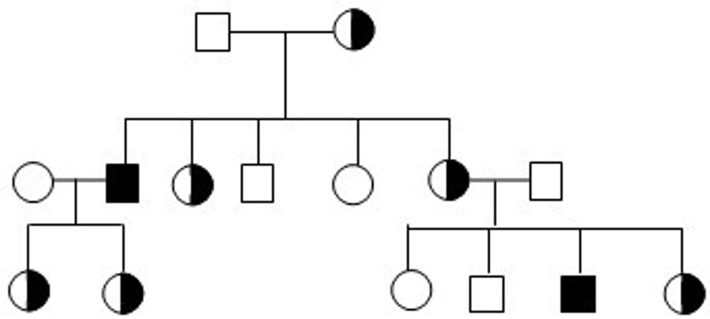
Human Pedigrees
A chart used to analyze pattern of inheritance that shows relationship in a family

Common Pedigree Patterns (Autosomal Dominant)
One parent is affected; trait does not skip a generation; only half the children are affected; male and female are affected equally

Common Pedigree Patterns (Autosomal Recessive)
Both parents must be heterozygous or homozygous recessive; trait may skip generations; both males and females are affected equally

Common Pedigree Patterns (X-linked Recessive Traits)
There is NO father to son transmission; trait skips generations; there are more males than females affected
