1/13
Looks like no tags are added yet.
Name | Mastery | Learn | Test | Matching | Spaced | Call with Kai |
|---|
No analytics yet
Send a link to your students to track their progress
What main features should be assessed when a potentially neoplastic lesion is discovered?
location in the body (i.e. which bone)
location within a bone
zone of transition
matrix
morphology
periosteal reaction
size
cortical involvement
extra-osseous or soft-tissue compenent

Is this a short or long zone of transition?
Short

Is this a short or long zone of transition?
Long
A long zone of transition suggest a ____ growing lesion.
fast
A short zone of transition suggest a ____ growing lesion.
slow

What patteren of bone destruction is this?
Geographic

What patteren of bone destruction is this?
Moth eaten

What patteren of bone destruction is this?
Permeative

What periosteal reaction is this?
Solid

What periosteal reaction is this?
Lamallated

What periosteal reaction is this?
Spiculated

What periosteal reaction is this?
Codmans triangle
A spiculated periosteal reaction suggest a ___ tumor
agressive

Write a report
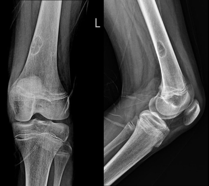
16 yo female, hurt her left knee while playing football
Views: AP and lateral left knee(0.33 point) Cortical-based eccentric metadiaphyseal lucent lesion with a sclerotic rim is seen at the posteromedial aspect of the lower left femur. (2 points)It shows overlying focal cortical thinning. No periosteal reaction, no cortical break through is seen.
The joint spaces are preserved. The soft tissues are unremarkable. The alignment is normal.
Impression: No radiographic evidence of fracture. (0.33 point) Fibrous xanthoma/non-ossifying fibroma (1point)
Management: Inform patient. Leave alone. (0.33 point) Skeletal leave alone lesions, also called “do not touch” lesions, are so characteristic radiographically, that further diagnostic tests such as a biopsy are unnecessary and can be frankly misleading and lead to additional unnecessary surgery. Thus a radiologic diagnosis should be made without a list of differential possibilities.