1/11
Looks like no tags are added yet.
Name | Mastery | Learn | Test | Matching | Spaced |
|---|
No study sessions yet.
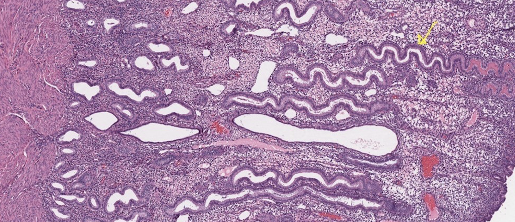
A) Normal endometrium
myometrium
endometrium:
stratum basalis
stratum functionalis
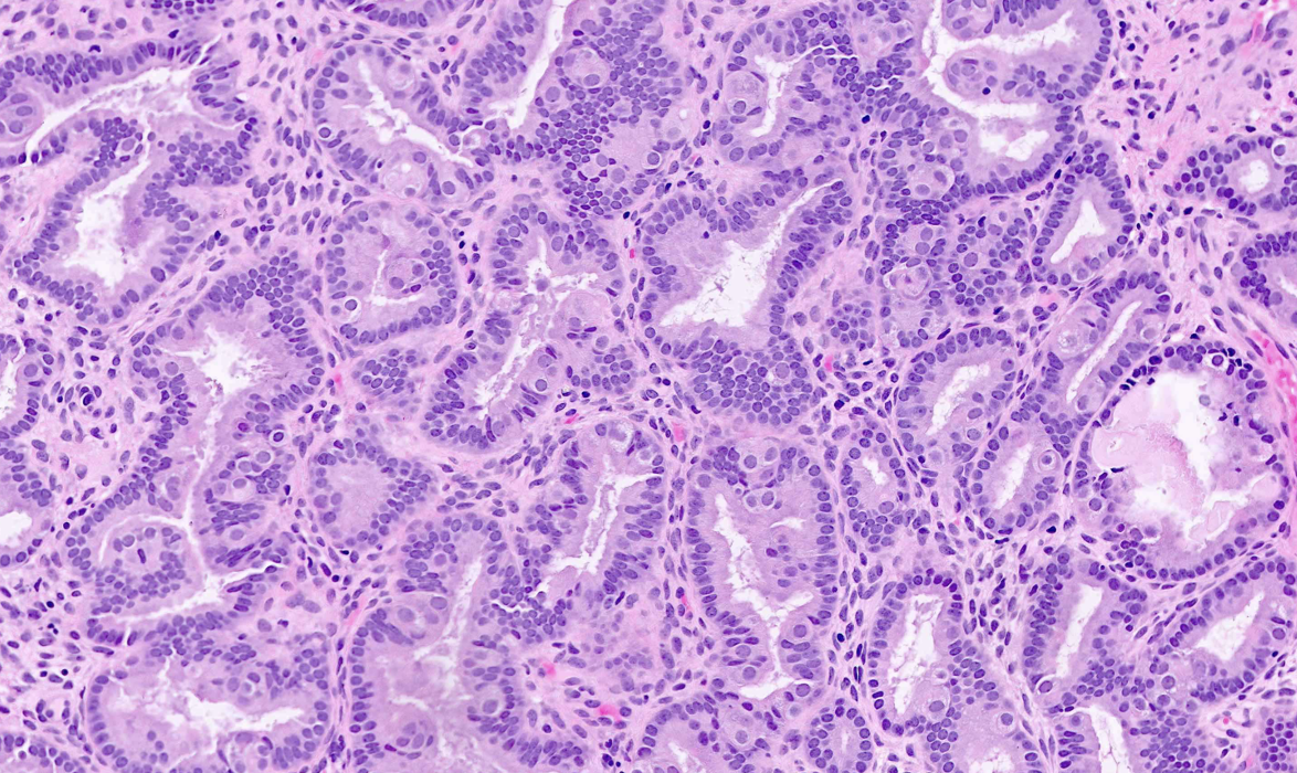
gland with stroma

crowded, irregular, high numerous glands
little stroma (adenocarcinoma)
hyperplasia ( increase number of cells »»» thickned endometrium )
other pathological examples?
endometrial/lymphoid hyper plasia

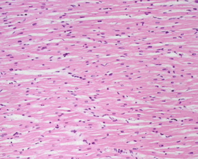
A) Normal heart

A) Normal heart

A) Normal heart

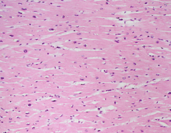
heart is thickened due to long standing hypertension
increase size
narrow lumen
hyper trophy
physiological examples:
cardiac/skeletal muscle hypertrophy
pathological examples:
leftr ventricular/ urinary bladder hypertrophy

heart is thickened due to long standing hypertension
increase size
narrow lumen
hyper trophy
physiological examples:
cardiac/skeletal muscle hypertrophy
pathological examples:
leftr ventricular/ urinary bladder hypertrophy

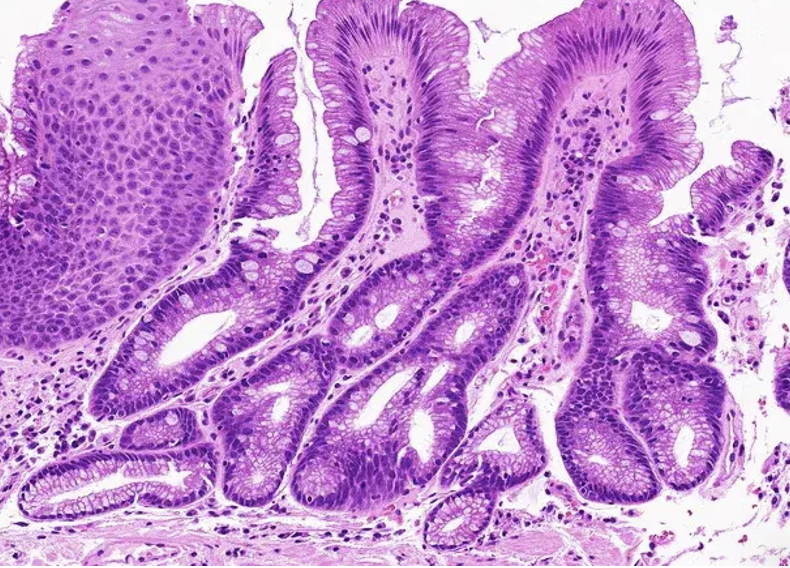
A) Normal esophagus

salmon colored replace normal pale
non keratinized squamous replaced by intestinal columnar
intestinal metaplasia
may cause adenocarcinoma
another example:
bronchus in smokers from columner to squamous ( squamous metaplasia _

salmon colored replace normal pale
squamous replaced by intestinal columnar
intestinal metaplasia

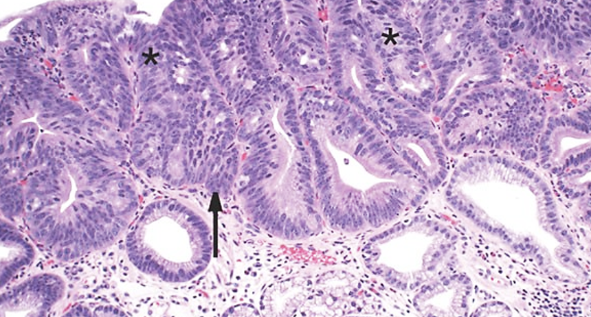
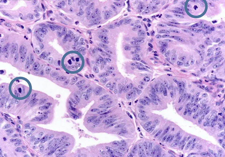
normal gastric
round nuclei and in multiple places

dysplasia
less defrentiation of cytoplasm
large hyper chromatic nuclei
loss of normal architecture
increase mitotic figures
may lead to adinocarcinoma
