1/157
Looks like no tags are added yet.
Name  | Mastery  | Learn  | Test  | Matching  | Spaced  | 
|---|
No study sessions yet.
Functions of Skeletal System
Support, protection, movement, mineral storage (Ca²⁺/phosphate), blood cell production (hematopoiesis)

Appendicular Skeleton vs Axial Skeleton
Appendicular: limbs, girdles; Axial: skull, vertebral column, ribs, sternum

Axial Skeleton
Skull, vertebral column, thoracic cage, hyoid bone

Appendicular Skeleton
Pectoral girdle, pelvic girdle, upper and lower limbs

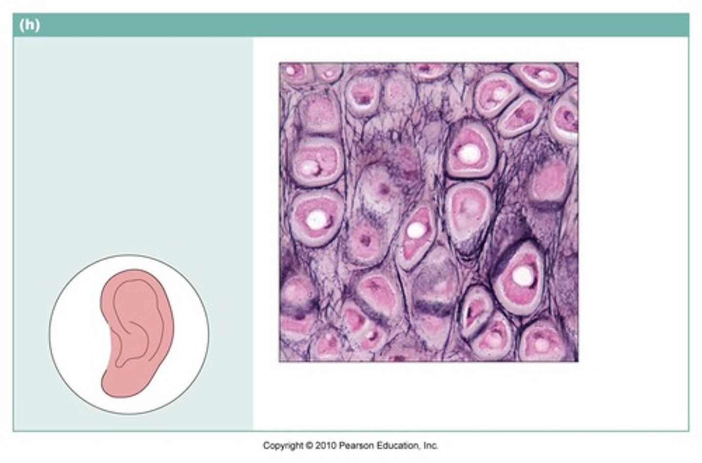
Three types of cartilage
Hyaline (joints, nose), Elastic (ear, epiglottis), Fibrocartilage (discs, pubic symphysis)

Hyaline Cartilage
Smooth matrix with invisible fibers; found in nose, trachea, articular surfaces

Elastic Cartilage
Flexible with visible elastic fibers; ear, epiglottis

Fibrocartilage
Thick collagen bundles; intervertebral discs, pubic symphysis

Bone cells
Osteoblasts (build), Osteocytes (maintain), Osteoclasts (break down)

Osteoblasts
Build bone matrix

Osteocytes
Maintain bone tissue

Osteoclasts
Break down (resorb) bone

Spongy bone vs Compact bone
Spongy: trabeculae, light; Compact: dense, strong

Spongy Bone
Porous, trabecular bone at ends of long bones

Compact Bone
Dense cortical bone forming outer surface

Examples of bone types
Long (femur), Short (carpals), Irregular (vertebrae), Flat (skull)

Parts of a long bone
Epiphysis, diaphysis, metaphysis, periosteum, medullary cavity

Ossification types
Endochondral (cartilage → bone, most bones), Intramembranous (flat bones, clavicle)

Endochondral Ossification
Bone replaces cartilage model (most bones)

Intramembranous Ossification
Bone forms from mesenchyme (flat skull bones, clavicle)

Epiphyseal plate
Cartilage growth zone for bone elongation

Cranial vs facial bones
Cranial protect brain; Facial form face and openings

Cranial bones
Frontal, parietal, temporal, occipital, sphenoid, ethmoid

Facial bones
Zygomatic, maxilla, mandible, nasal, vomer, palatine, lacrimal, inferior nasal concha

Sutures
Coronal, sagittal, lambdoid, squamous

Important skull features
Foramen magnum, occipital condyles, sella turcica, crista galli, alveolar process, palate

Orbit bones
Frontal, sphenoid, zygomatic, maxilla, palatine, lacrimal, ethmoid

Thoracic cage function
Protect organs, aid breathing

Vertebrae
7 cervical, 12 thoracic, 5 lumbar, sacrum, coccyx

Cervical vs Thoracic vs Lumbar
Cervical: transverse foramina; Thoracic: costal facets; Lumbar: large body

Cervical Vertebrae Features
Transverse foramina, small bodies, bifid spinous processes

Thoracic Vertebrae Features
Costal facets, long downward spinous process

Lumbar Vertebrae Features
Large kidney-shaped body, blunt spinous process

C1 Atlas
Supports skull, no body

C2 Axis
Dens allows head rotation

Atlas and Axis
C1 supports skull, C2 dens allows rotation

Rib articulations
Head with vertebral body, tubercle with transverse process

True vs False vs Floating ribs
True (1-7, direct), False (8-10, indirect), Floating (11-12, none)

True Ribs (1-7)
Attach directly to sternum by costal cartilage

False Ribs (8-10)
Attach indirectly via rib 7's cartilage

Floating Ribs (11-12)
No anterior attachment to sternum

Sternum landmarks
Manubrium, body, xiphoid process

Pectoral girdle
Clavicle and scapula

Scapula features
Spine, acromion, coracoid process, glenoid cavity

Upper limb bones
Humerus, radius, ulna, carpals, metacarpals, phalanges

Humerus parts
Head, deltoid tuberosity, epicondyles, olecranon fossa

Hand bones
14 phalanges, 8 carpals

Pelvis bones
Ilium, ischium, pubis; articulate at acetabulum

Femur features
Head, neck, greater/lesser trochanters, condyles

Tibia vs Fibula
Tibia = medial, weight-bearing; Fibula = lateral, slender

Foot bones
7 tarsals, 14 phalanges

TMJ Bones
Mandibular condyle + mandibular fossa of temporal bone

Types of joints
Fibrous (sutures), Cartilaginous (symphysis), Synovial (shoulder)

Synchondrosis vs Symphysis
Synchondrosis: hyaline cartilage; Symphysis: fibrocartilage

Synovial joint types
Plane (glide), Hinge (flex/extend), Pivot (rotate), Condylar (biaxial), Ball-and-socket (multiaxial)

Common joint movements
Flexion/extension, abduction/adduction, pronation/supination, inversion/eversion, rotation, dorsiflexion/plantarflexion
Knee joint
Femur, tibia, patella; ACL, PCL, MCL, LCL, meniscus

Elbow joint
Humerus, radius, ulna; collateral and annular ligaments

Hip joint
Coxal (acetabulum) and femur

Glenohumeral joint
Scapula and humerus (shoulder)

Three Types of Muscle Tissue
Skeletal (voluntary, striated), Cardiac (involuntary, striated, intercalated discs), Smooth (involuntary, non-striated)

Skeletal Muscle Functions
Movement, posture, support, guards openings, heat production

Skeletal muscle properties
Excitability, contractility, extensibility, elasticity

Synergist vs Antagonist
Synergist: assists movement; Antagonist: opposes it

Connective layers in muscle
Epimysium (whole), Perimysium (fascicle), Endomysium (fiber)

Epimysium
Surrounds entire muscle

Perimysium
Surrounds fascicles

Endomysium
Surrounds individual fibers

Sarcomere
Contractile unit of myofibril

Muscle shapes
Circular (orbicularis), Convergent (pectoralis major), Parallel (sartorius), Pennate (deltoid)

Circular Muscle Example
Orbicularis oculi

Parallel Muscle Example
Sartorius

Convergent Muscle Example
Pectoralis major

Pennate Muscle Example
Deltoid

Trapezius
Elevates, depresses, retracts & rotates scapula
originates- vertebrae C1-T12
inserts- scapular spine, clavicle

rhomboid major & minor
elevates and retracts scapula
originates- vertebrae
inserts- scapula

Serratus anterior
Protracts & rotates scapula, holds scapula against body wall
originates- scapula
inserts - ribs

pectoralis major
medially rotates, adducts, flexes arm
originates- sternum, clavicle, ribs
inserts- humerus

Latissimus dorsi
Extends, adducts, medially rotates arm
originates lower back
inserts- humerus

teres major
extends, adducts, medially rotates arm
originates- scapula
inserts humerus

deltoid
abducts, flexes, extends, rotates arm
originates- scapular spine, clavicle
inserts- humerus
Supraspinatus
Abducts arm (0-15°)
originates- scapula, supraspinous fossa
inserts- humeral tuberosities

infraspinatus
laterally rotates arm
originates- scapula infraspinous fossa
inserts- humeral tuberosities

Teres minor
Laterally rotates arm
originates- scapular infraspinous fossa
inserts- humeral tuberosities

subscapularis
medially rotates arm
originates- scapula subscapular fossa
inserts- humeral tuberosities

Coracobrachialis
Flexes shoulder
originates- scapula
inserts- humerus

brachialis
flexes forearm
originates- humerus
inserts- ulna

biceps brachii
flexes arm, flexes & supunates forearm
originates- scapula
inserts- radial tuberosity
Triceps brachii long head
Extends arm and forearm
originates- scapula
inserts- ulna-olecranon

triceps brachii medial and lateral head
extends forearm
originates- humerus
inserts- ulna-olecranon

forearm flexors
flex wrist and digits
originates- humerus medial epicondyle & forearm
inserts- wrist & digits

forearm extensors
extends wrist & digits
originates- humerus lateral epicondyle & forearm
inserts-wrist and digits
thenar group
move thumb, opposes to digits
originates- wrist
inserts- pollex

hypothenar group
move 5th finger (pinky), opposes to thumb
originates- wrist
inserts- 5th digit

Interossei
Abduct & adduct digits
originates- metacarpals 2-5
inserts- phalanges 2-5

Iliopsoas
Flexes trunk and hip
originates- illium & lumbar vertebrae
inserts- femus

gluteus maximus
extends & laterally rotates thigh
originates- illium & sacrum
inserts- femur

gluteus medius and minimus
abducts thigh
originates- illium
inserts- femur

tenor fascia lata
flexes & abducts thigh
originates- illium
inserts- femur

Rectus femoris
Flexes hip, extends knee
originates- illium
inserts- tibia via patella
