1/20
Looks like no tags are added yet.
Name | Mastery | Learn | Test | Matching | Spaced | Call with Kai |
|---|
No analytics yet
Send a link to your students to track their progress
perio of kids occurs
primary dentition - 4/5 y/o
perio as manifestation of systemic disease associated with:
Associated with immune dysfunction or genetic disorders
Leukocyte adhesion deficiency
A. actinomycetecomitans, Prevotella intermedia, etc.
what are some developmental or acquired deformities or conditions that could lead to perio as manifestation of systemic disease?
Diabetes mellitus
Chédiak-Higashi syndrome - rare
Hypophosphatasia - low alkaline phosphatase
Langerhans cell histiocytosis - cancer like
Papillon Lefèvre Syndrome - rare
Periodontal Ehlers-Danlos Syndrome

diabetes mellitus

diabetes mellitus: erythematous inflam and blunted papilla

Chédiak-Higashi syndrome
partial oculocutaneous albinism: pale gray, pink eyes
storage pool deficiency of platelets → issue w forming and maintaining clot

Chédiak-Higashi syndrome

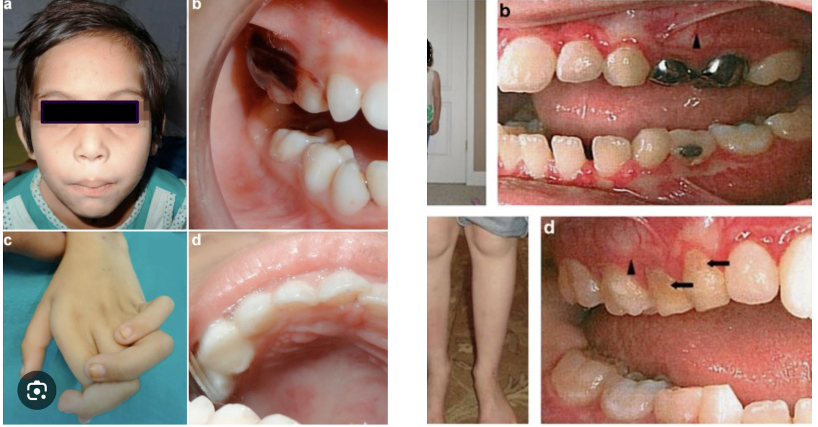
hypophosphatasia

hypophosphatasia - premature exfoliation of primary teeth w little or no root resorption

langerhans cell histiocytosis

langerhans cell histiocytosis

papillon lefèvre syndrome

papillon lefèvre syndrome

perio ehler-danlos syndrome

perio ehler-danlos syndrome
almost half of trisomy 21 (down syndrome pts) have
cardiac anomaly (like congenital defect of tricuspid valve)

+cardiac anomaly, recurrent otitis media, URI
trisomy 21 (down syndrome pts)

(but perio high)
trisomy 21 (down syndrome pts)

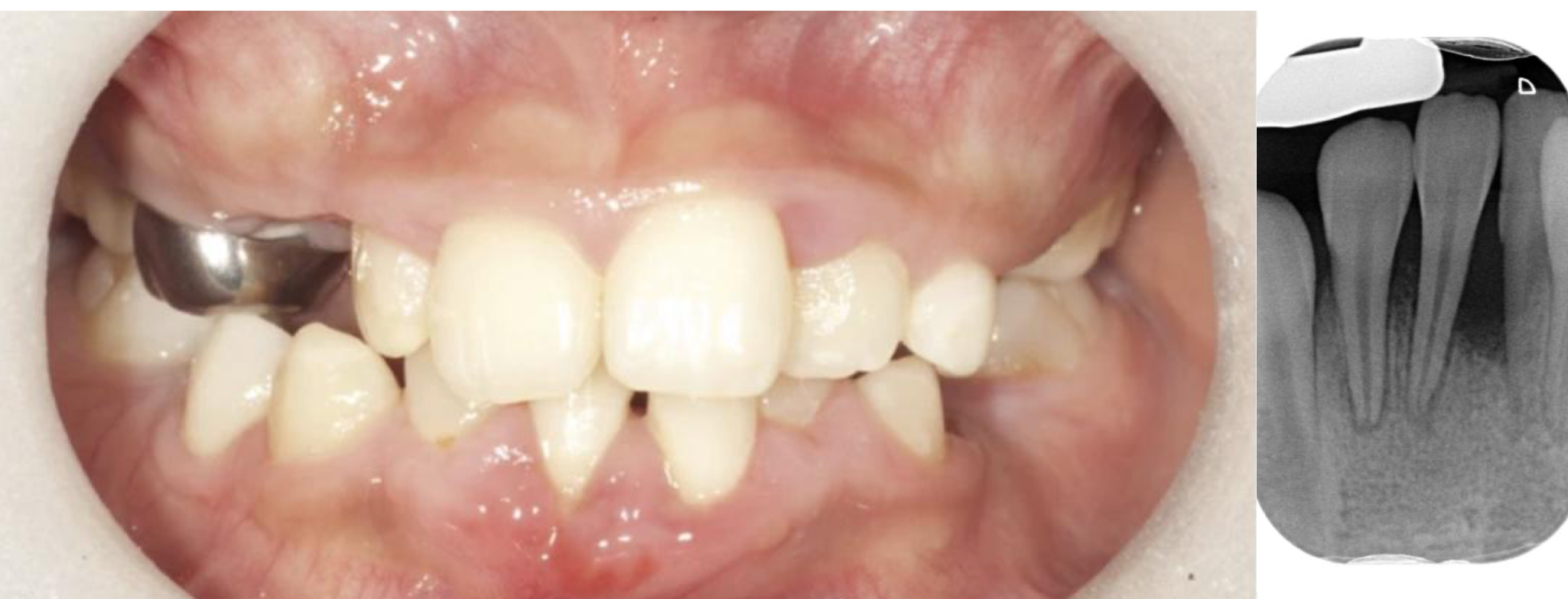
By the time she was 24 months, her front teeth came out—most of her baby teeth have fallen out randomly
Clinical exam:
Teeth #E, F, O, P missing, no clinical caries
Teeth #D & G: Class II mobility
Mild localized gingivitis
Radiographic exam
Enlarged pulp chambers
Atypical appearance of clinical crown of the permanent molars
Thin dentin
Horizontal alveolar bone loss
HPP
treatment plans and considerations for hpp pts


hpp presentation