CT Cross Sectional Anatomy - Everything

0.0(0)
studied byStudied by 0 people
full-widthCall with Kai
GameKnowt Play
learnLearn
examPractice Test
spaced repetitionSpaced Repetition
heart puzzleMatch
flashcardsFlashcards
Card Sorting

1/533

encourage image

There's no tags or description

Looks like no tags are added yet.

Study Analytics
Name
Mastery
Learn
Test
Matching
Spaced

No study sessions yet.

534 Terms

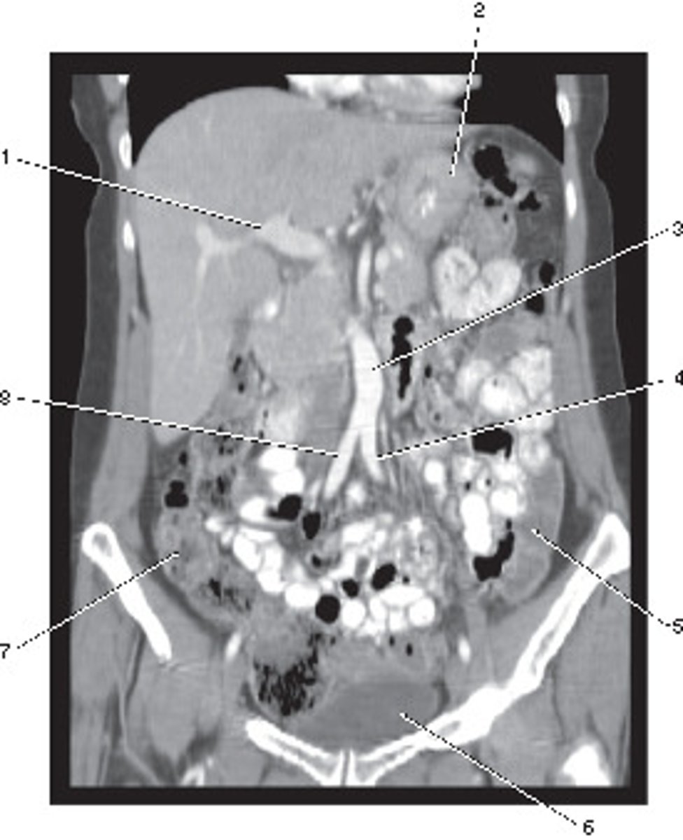
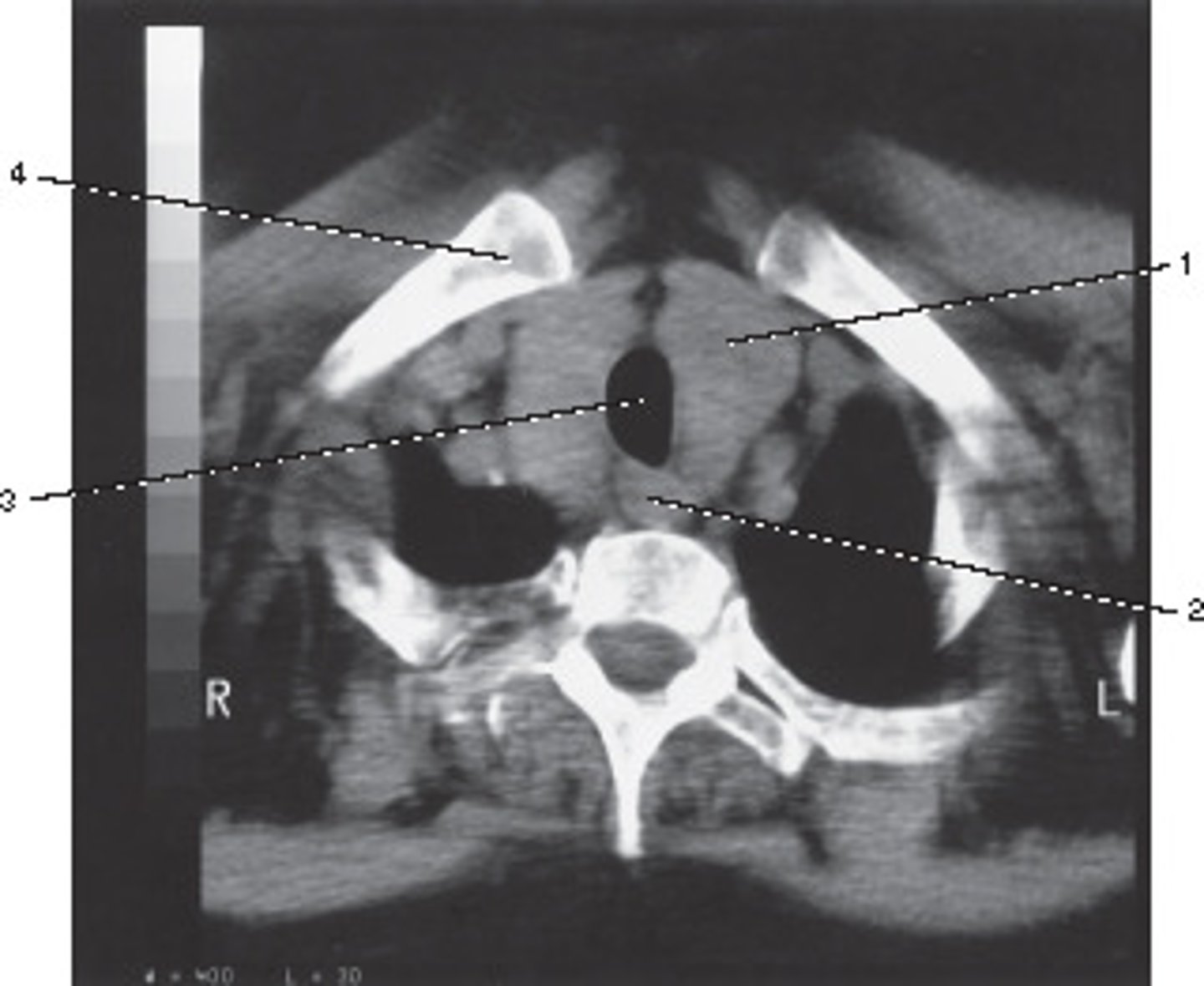
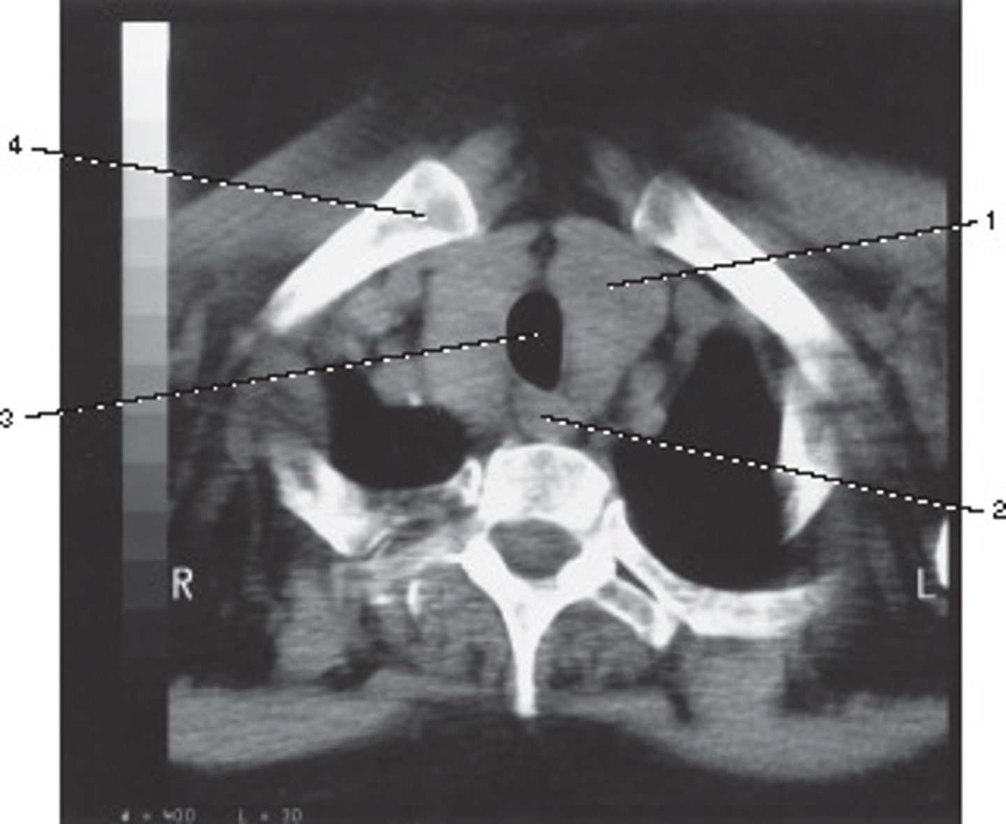
1
New cards

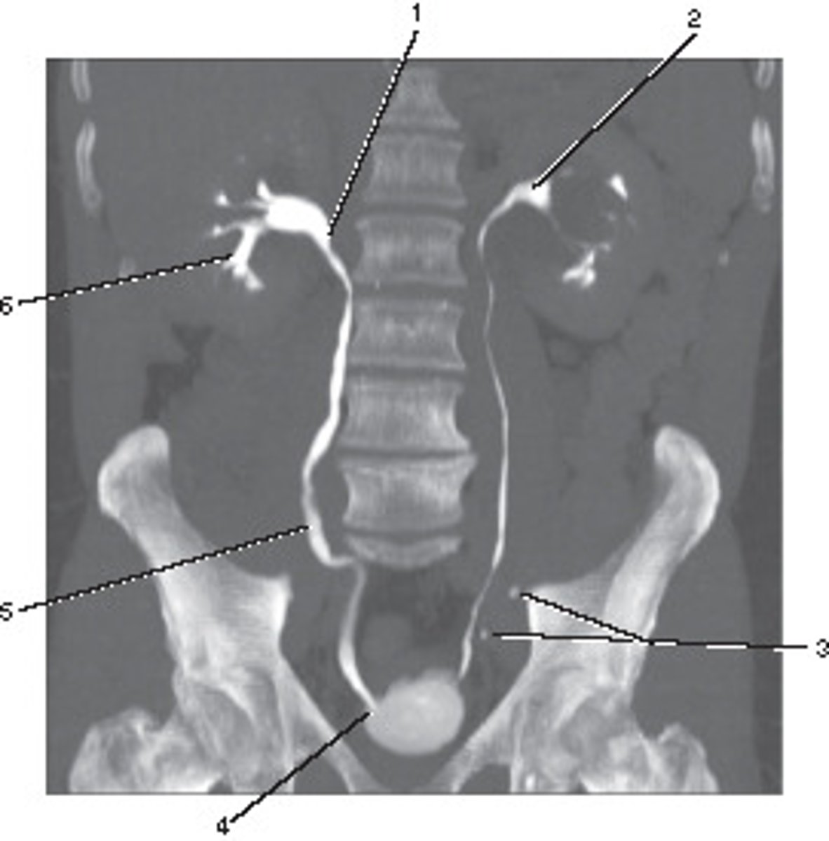
Aorta

Number 2 corresponds to which of the following?

<p>Number 2 corresponds to which of the following?</p>
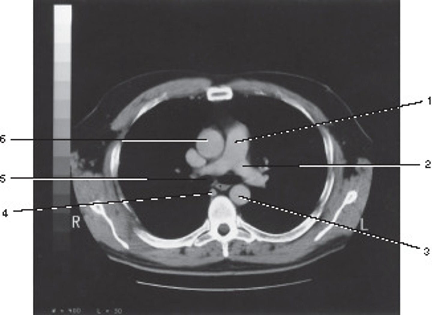
2
New cards

Internal Auditory Canal

Number 5 corresponds to which of the following?

<p>Number 5 corresponds to which of the following?</p>
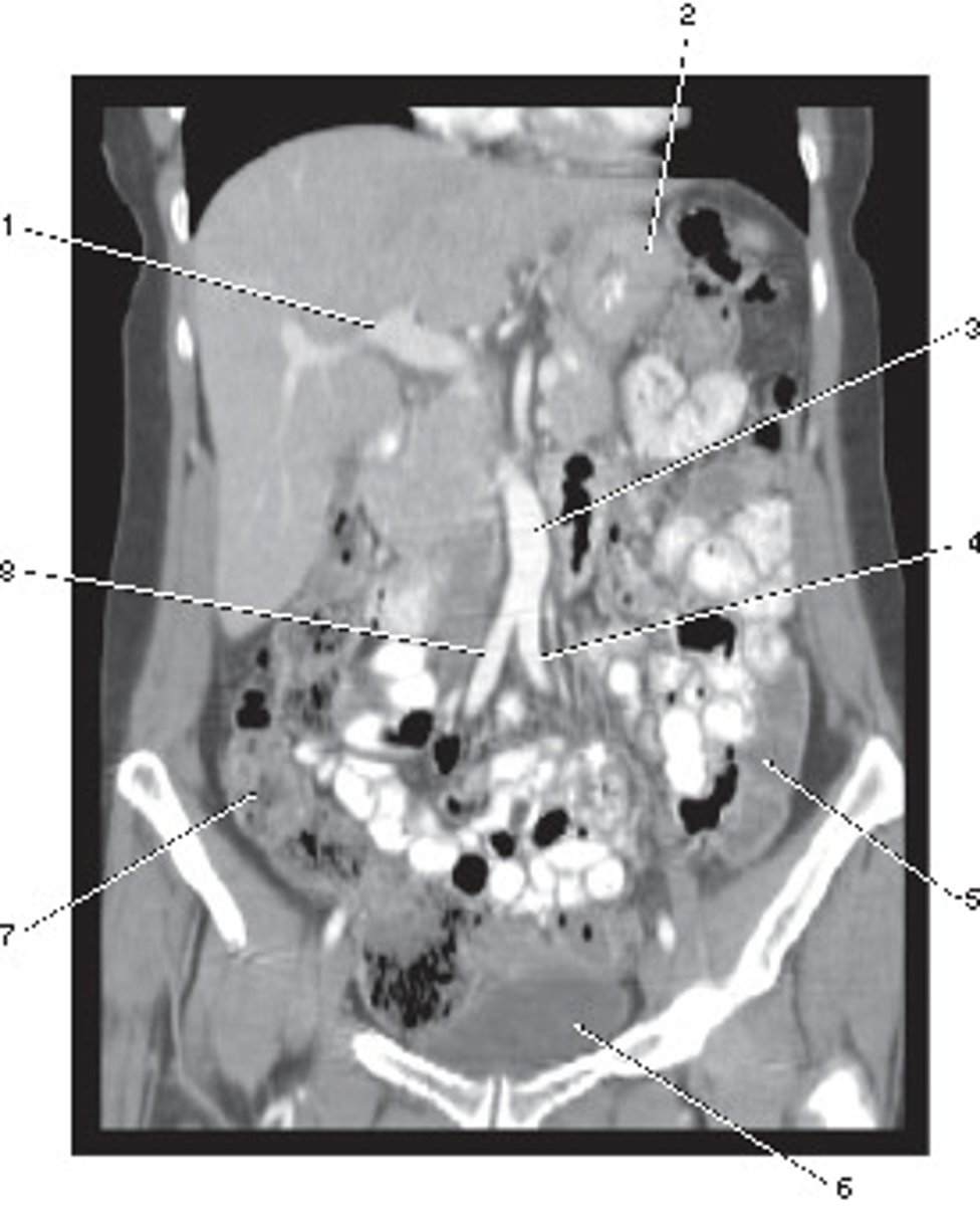
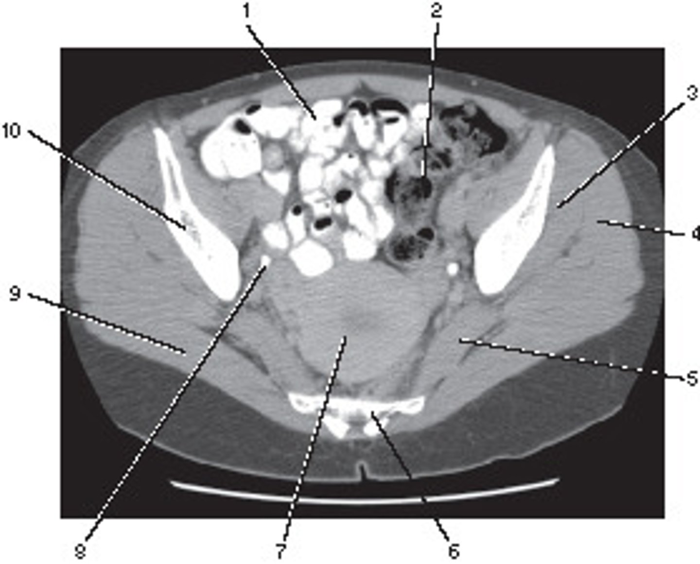
3
New cards

Inferior Vena Cava

Number 8 corresponds to which of the following?

<p>Number 8 corresponds to which of the following?</p>
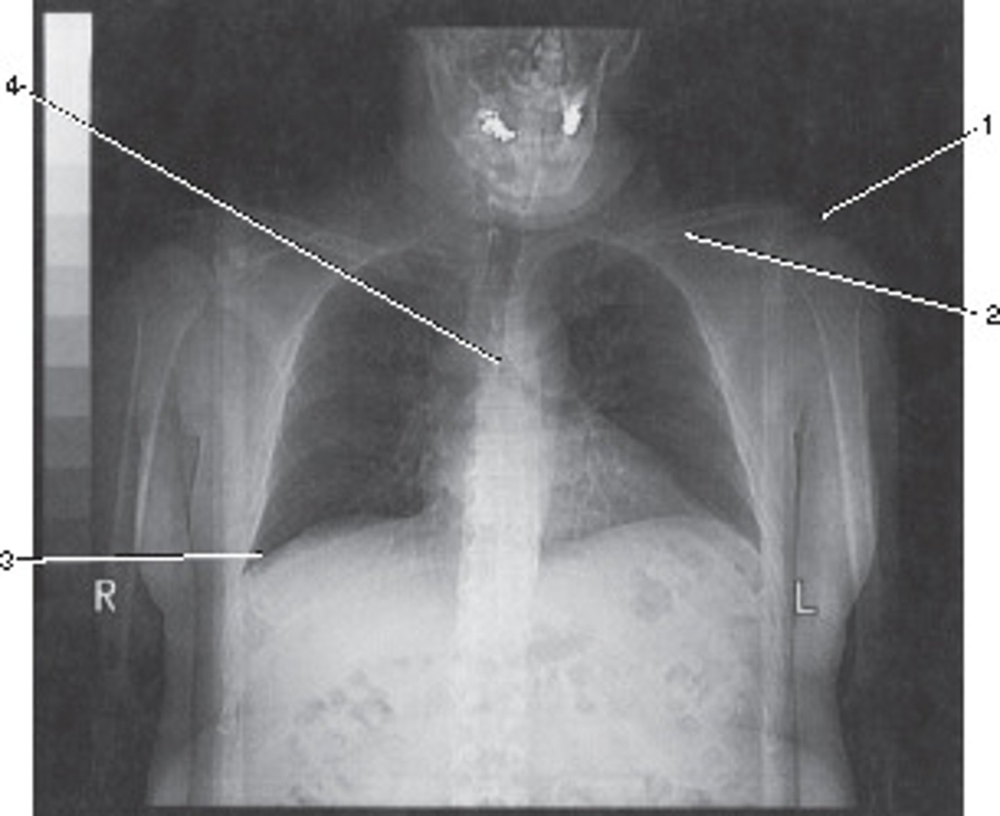
4
New cards

Dental Fillings; Metallic items cause star artifact

These streaking artifacts were most likely caused by:

<p>These streaking artifacts were most likely caused by:</p>
5
New cards

External Auditory Meatus

Number 3 corresponds to which of the following?

<p>Number 3 corresponds to which of the following?</p>
6
New cards

Spleen

Number 4 corresponds to which of the following?

<p>Number 4 corresponds to which of the following?</p>
7
New cards

IV only

On the basis of the appearance of this image, what contast media was utilized?

<p>On the basis of the appearance of this image, what contast media was utilized?</p>
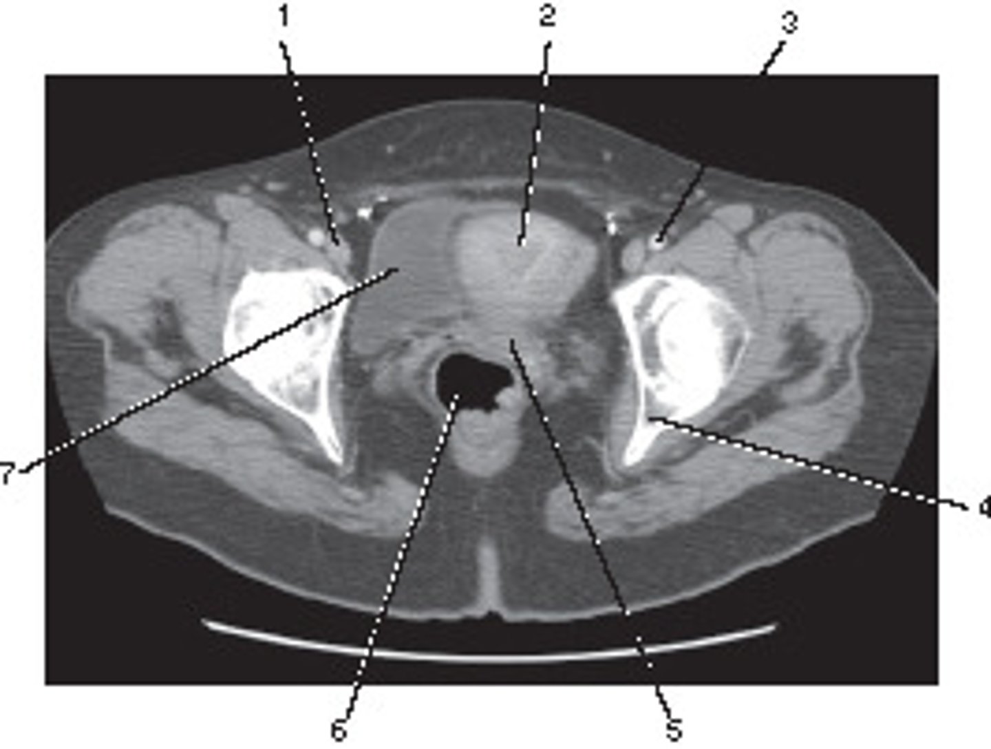
8
New cards

Erector Spinae Muscle

Number 6 corresponds to which of the following?

<p>Number 6 corresponds to which of the following?</p>
9
New cards

Ureter

Number 8 corresponds to which of the following?

<p>Number 8 corresponds to which of the following?</p>
10
New cards

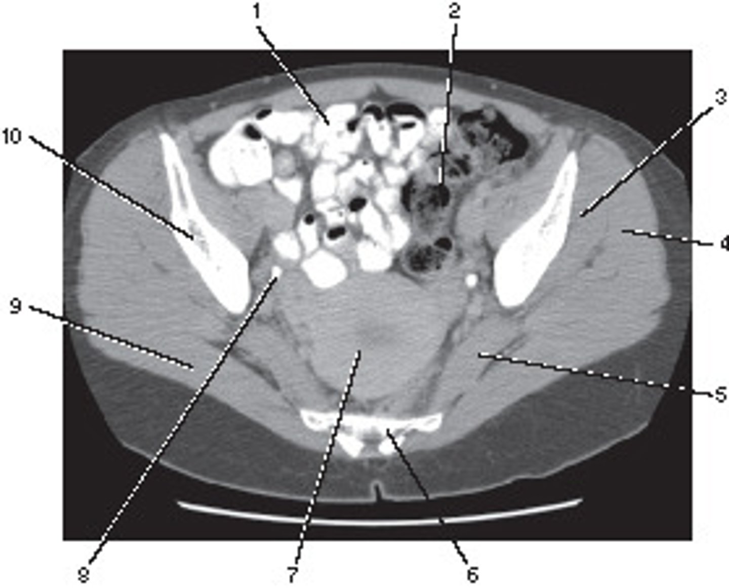
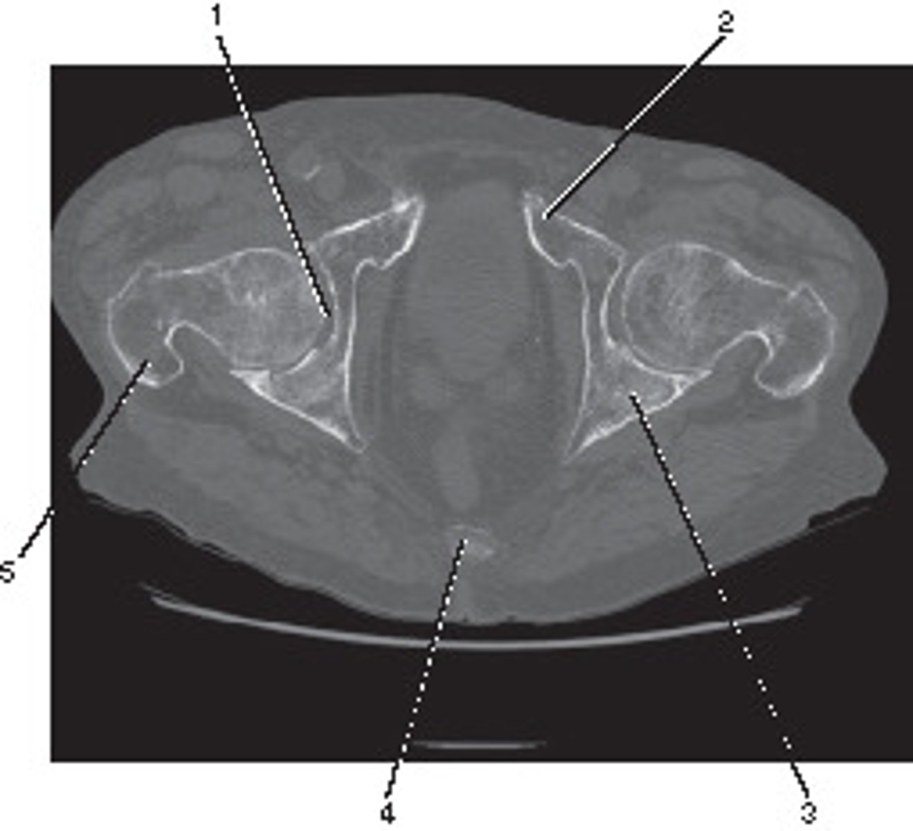
2

What number corresponds to the acetabulum?

<p>What number corresponds to the acetabulum?</p>
11
New cards

4

Which number corresponds to the vestibule?

<p>Which number corresponds to the vestibule?</p>
12
New cards

Stomach

Number 1 corresponds to which of the following?

<p>Number 1 corresponds to which of the following?</p>
13
New cards

Soft Tissue

What algorithm was used in this image?

<p>What algorithm was used in this image?</p>
14
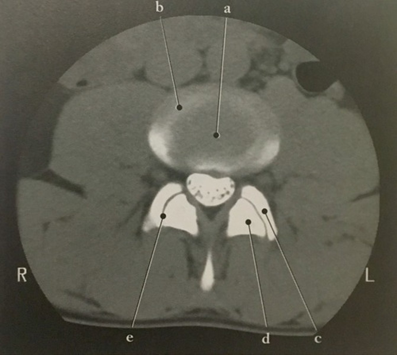
New cards

0 degrees;

The Azimuth setting refers to the relationship betyween the x-ray tube and detectors during scout of localizer production.

What azimuth setting was used to obtain this image?

<p>What azimuth setting was used to obtain this image?</p>
15
New cards

Optic Nerve

Number 5 corresponds to which of the following?

<p>Number 5 corresponds to which of the following?</p>
16
New cards

Left Common Carotid Artery

Number 4 corresponds to which of the following?

<p>Number 4 corresponds to which of the following?</p>
17
New cards

Optic Nerve

Number 1 corresponds to which of the following?

<p>Number 1 corresponds to which of the following?</p>
18
New cards

Psoas Major Muscle

Number 2 corresponds to which of the following?

<p>Number 2 corresponds to which of the following?</p>
19
New cards

Descending Aorta

Number 1 corresponds to which of the following?

<p>Number 1 corresponds to which of the following?</p>
20
New cards

Fibula

Number 1 corresponds to which of the following?

<p>Number 1 corresponds to which of the following?</p>
21
New cards

Surface Rendering

The technique that provides the detail of the outer portions of the 3D model while maintaining the typical CT detail of the lungs inside is called:

<p>The technique that provides the detail of the outer portions of the 3D model while maintaining the typical CT detail of the lungs inside is called:</p>
22
New cards

Femoral Vein

Number 8 corresponds to which of the following?

<p>Number 8 corresponds to which of the following?</p>
23
New cards

Appendix

Number 5 corresponds to which of the following?

<p>Number 5 corresponds to which of the following?</p>
24
New cards

Aortic Arch

Number 2 corresponds to which of the following?

<p>Number 2 corresponds to which of the following?</p>
25
New cards

Corticomedullary;

30-40 seconds after injection,

the corticomedullary phase demonstrates optimal enhancement of the renal cortex with maximum differentiation from the renal medulla

This image of the abdomen was most likely acquired in which in which renal enhancement phase?

<p>This image of the abdomen was most likely acquired in which in which renal enhancement phase?</p>
26
New cards

Oropharynx

Number 6 corresponds to which of the following?

<p>Number 6 corresponds to which of the following?</p>
27
New cards

Third Ventricle

Number 4 corresponds to which of the following?

<p>Number 4 corresponds to which of the following?</p>
28
New cards

Genu of the Carpus Callosum

Number 6 corresponds to which of the following?

<p>Number 6 corresponds to which of the following?</p>
29
New cards

Axial

This image displays what anatomic plane?

<p>This image displays what anatomic plane?</p>
30
New cards

Sesamoid Bones

Number 2 corresponds to which of the following?

<p>Number 2 corresponds to which of the following?</p>
31
New cards

Sphenoid Sinus

Number 1 corresponds to which of the following?

<p>Number 1 corresponds to which of the following?</p>
32
New cards

Oblique Axial Plane

This anatomic plane can best be described as the:

<p>This anatomic plane can best be described as the:</p>
33
New cards

Ileum

Number 1 corresponds to which of the following?

<p>Number 1 corresponds to which of the following?</p>
34
New cards

Uterus

Number 4 corresponds to which of the following?

<p>Number 4 corresponds to which of the following?</p>
35
New cards

Ilium

Number 4 corresponds to which of the following?

<p>Number 4 corresponds to which of the following?</p>
36
New cards

Common Carotid Artery

Number 5 corresponds to which of the following?

<p>Number 5 corresponds to which of the following?</p>
37
New cards

Lateral Rectus Muscle

Number 2 corresponds to which of the following?

<p>Number 2 corresponds to which of the following?</p>
38
New cards

Retromandibular Vein

Number 3 corresponds to which of the following?

<p>Number 3 corresponds to which of the following?</p>
39
New cards

Semicircular Canal

Number 4 corresponds to which of the following?

<p>Number 4 corresponds to which of the following?</p>
40
New cards

Coccyx

Number 4 corresponds to which of the following?

<p>Number 4 corresponds to which of the following?</p>
41
New cards

Portal Vein

Number 1 corresponds to which of the following?

<p>Number 1 corresponds to which of the following?</p>
42
New cards

Ilium

Number 1 corresponds to which of the following?

<p>Number 1 corresponds to which of the following?</p>
43
New cards

Roots of the Teeth

Number 2 corresponds to which of the following?

<p>Number 2 corresponds to which of the following?</p>
44
New cards

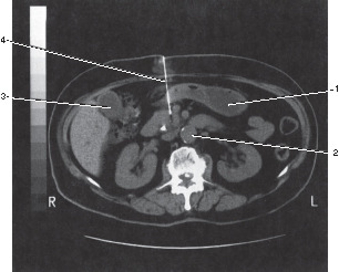
Renal Cortex

Number 1 corresponds to which of the following?

<p>Number 1 corresponds to which of the following?</p>
45
New cards

Azygous Vein

Number 4 corresponds to which of the following?

<p>Number 4 corresponds to which of the following?</p>
46
New cards

Supine

What position was this patient in during data acquisition?

<p>What position was this patient in during data acquisition?</p>
47
New cards

Fovea Capitis

Number 1 corresponds to which of the following?

<p>Number 1 corresponds to which of the following?</p>
48
New cards

Body

Number 6 corresponds to which of the following?

<p>Number 6 corresponds to which of the following?</p>
49
New cards

Coracoid Process

Number 1 corresponds to which of the following?

<p>Number 1 corresponds to which of the following?</p>
50
New cards

Talus

Number 2 corresponds to which of the following?

<p>Number 2 corresponds to which of the following?</p>
51
New cards

Semicircular Canal

Number 2 corresponds to which of the following?

<p>Number 2 corresponds to which of the following?</p>
52
New cards

Psoas Major Muscle

Number 2 corresponds to which of the following?

<p>Number 2 corresponds to which of the following?</p>
53
New cards

Supine/Chin Tucked Down

What position should this patient be in for a scan of the brain?

<p>What position should this patient be in for a scan of the brain?</p>
54
New cards

Pedicle

Number 6 corresponds to which of the following?

<p>Number 6 corresponds to which of the following?</p>
55
New cards

Vertebral Artery

Number 3 corresponds to which of the following?

<p>Number 3 corresponds to which of the following?</p>
56
New cards

Enlarged Thyroid

What pathological process best describes the abnormal finding in this image?

<p>What pathological process best describes the abnormal finding in this image?</p>
57
New cards

Femoral Artery

Number 1 corresponds to which of the following?

<p>Number 1 corresponds to which of the following?</p>
58
New cards

Right Brachiocephalic Vein

Number 6 corresponds to which of the following?

<p>Number 6 corresponds to which of the following?</p>
59
New cards

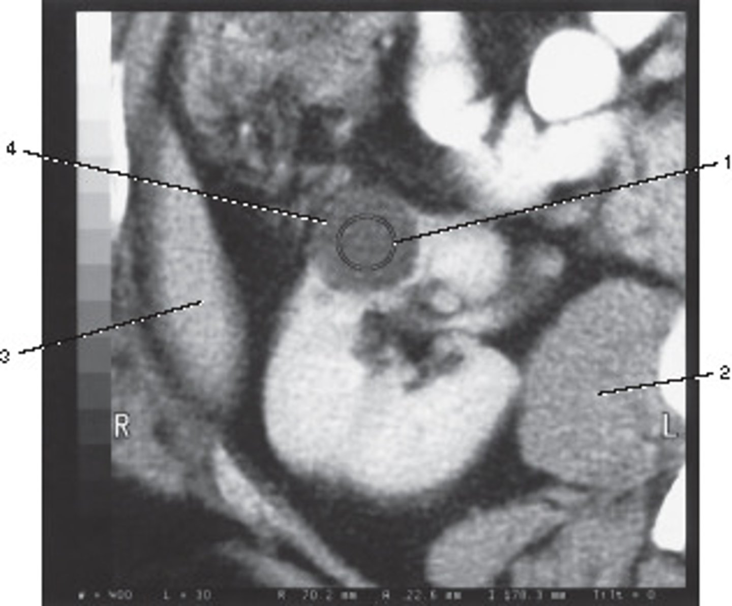
Ovarian Cyst

This ROI has a HU value of +10, given its position in a female bony pelvis, this most likely represents:

<p>This ROI has a HU value of +10, given its position in a female bony pelvis, this most likely represents:</p>
60
New cards

Superior Mesenteric Artery

Number 1 corresponds to which of the following?

<p>Number 1 corresponds to which of the following?</p>
61
New cards

Sagittal

What anatomic plane best describes this image

<p>What anatomic plane best describes this image</p>
62
New cards

External Iliac Vein

Number 1 corresponds to which of the following?

<p>Number 1 corresponds to which of the following?</p>
63
New cards

Femoral Artery

Number 2 corresponds to which of the following?

<p>Number 2 corresponds to which of the following?</p>
64
New cards

Ulna

Number 5 corresponds to which of the following?

<p>Number 5 corresponds to which of the following?</p>
65
New cards

Lateral Condyle

Number 4 corresponds to which of the following?

<p>Number 4 corresponds to which of the following?</p>
66
New cards

Beam hardening

The streaking artifact is most likely due to:

<p>The streaking artifact is most likely due to:</p>
67
New cards

Thyroid Gland

Number 1 corresponds to which of the following?

<p>Number 1 corresponds to which of the following?</p>
68
New cards

Scapula

Number 4 corresponds to which of the following?

<p>Number 4 corresponds to which of the following?</p>
69
New cards

Right Anterior Superior

Which of the following anatomic quadrants has been removed from the 3D mnodel?

<p>Which of the following anatomic quadrants has been removed from the 3D mnodel?</p>
70
New cards

Slice Sensitivity Profile (SSP)

This graph represents what?

<p>This graph represents what?</p>
71
New cards

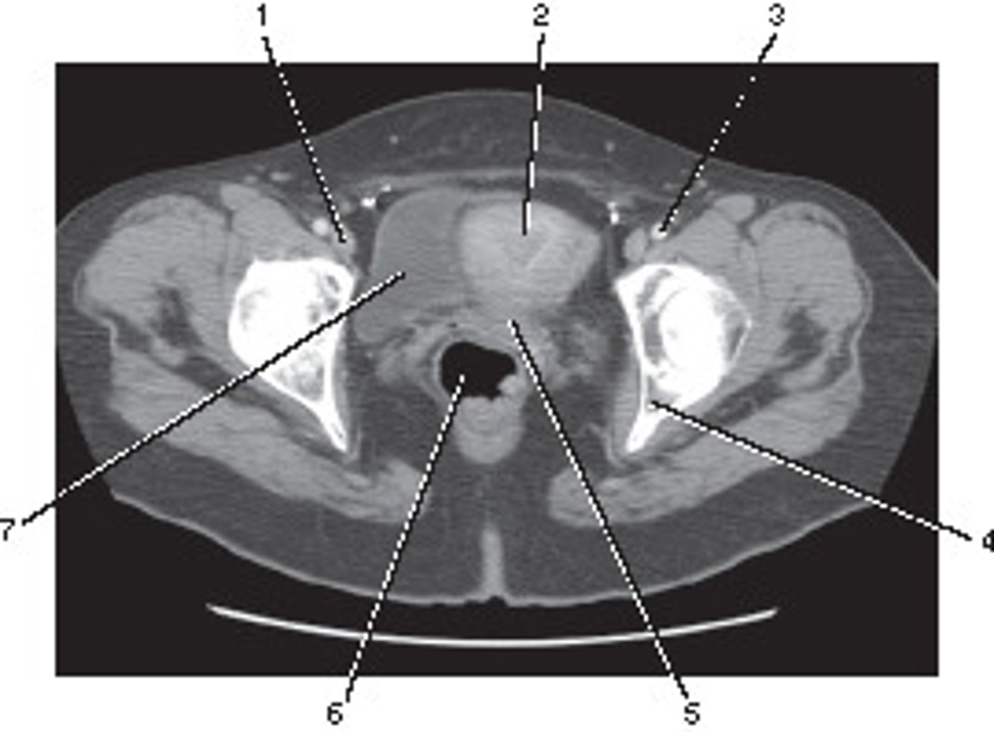
Ureterovesical Junction (UVJ)

Number 4 corresponds to which of the following?

<p>Number 4 corresponds to which of the following?</p>
72
New cards

Acromion

Number 1 corresponds to which of the following?

<p>Number 1 corresponds to which of the following?</p>
73
New cards

Abdomen and Adomen/Pelvis

This localizer (scanogram) could be used to program which of the following examinations?

<p>This localizer (scanogram) could be used to program which of the following examinations?</p>
74
New cards

Stomach

Number 2 corresponds to which of the following?

<p>Number 2 corresponds to which of the following?</p>
75
New cards

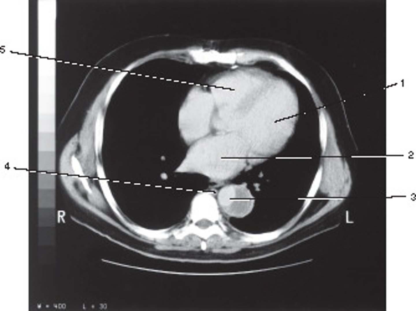
5

Which number corresponds with the right atrium?

<p>Which number corresponds with the right atrium?</p>
76
New cards

standard, 512, and 10.0 mm

What algorithm, matrix size, and section thickness were used for this image?

<p>What algorithm, matrix size, and section thickness were used for this image?</p>
77
New cards

High Spatial Frequency

What type of algorithm would be best suited to demonstrate the bony details of this shoulder?

<p>What type of algorithm would be best suited to demonstrate the bony details of this shoulder?</p>
78
New cards

C: 8.1

What is the maximum number of line pairs per centimeter lp/cm that the smooth algorithm can demonstrate?

A: 1.0

B: 2.0

C: 8.1

D: 9.0

<p>What is the maximum number of line pairs per centimeter lp/cm that the smooth algorithm can demonstrate?</p><p>A: 1.0</p><p>B: 2.0</p><p>C: 8.1</p><p>D: 9.0</p>
79
New cards

Portal hepatis

At the ___________, The portal vein branches into right and left main portal vein's that then follow the course of the right and left hepatic arteries

<p>At the ___________, The portal vein branches into right and left main portal vein's that then follow the course of the right and left hepatic arteries</p>
80
New cards

Sphenoid sinus

Identify structure B on this sagittal reformat of the occipital bone.

<p>Identify structure B on this sagittal reformat of the occipital bone.</p>
81
New cards

Vein of Galen

Identify structure B on this axial CT slice of the brain.

<p>Identify structure B on this axial CT slice of the brain.</p>
82
New cards

Internal cerebral veins

Identify structure C on this axial CT slice of the brain.

<p>Identify structure C on this axial CT slice of the brain.</p>
83
New cards

Thalamostriate vein

Identify structure D on this axial CT slice of the brain.

<p>Identify structure D on this axial CT slice of the brain.</p>
84
New cards

Straight sinus

Identify structure E on this axial CT slice of the brain.

<p>Identify structure E on this axial CT slice of the brain.</p>
85
New cards

Anterior cerebral artery

Identify structure A on this axial CTA of the Circle of Willis.

<p>Identify structure A on this axial CTA of the Circle of Willis.</p>
86
New cards

Posterior cerebral artery

Identify structure B on this axial CTA of the Circle of Willis.

<p>Identify structure B on this axial CTA of the Circle of Willis.</p>
87
New cards

Anterior communicating artery

Identify structure C on this axial CTA of the Circle of Willis.

<p>Identify structure C on this axial CTA of the Circle of Willis.</p>
88
New cards

Posterior communicating artery

Identify structure D on this axial CTA of the Circle of Willis.

<p>Identify structure D on this axial CTA of the Circle of Willis.</p>
89
New cards

Middle cerebral artery

Identify structure E on this axial CTA of the Circle of Willis.

<p>Identify structure E on this axial CTA of the Circle of Willis.</p>
90
New cards

Superior articular process

Identify structure C on this axial CT slice of the lumbar spine with intervertebral disk.

<p>Identify structure C on this axial CT slice of the lumbar spine with intervertebral disk.</p>
91
New cards

Inferior articular process

Identify structure D on this axial CT slice of the lumbar spine with intervertebral disk.

<p>Identify structure D on this axial CT slice of the lumbar spine with intervertebral disk.</p>
92
New cards

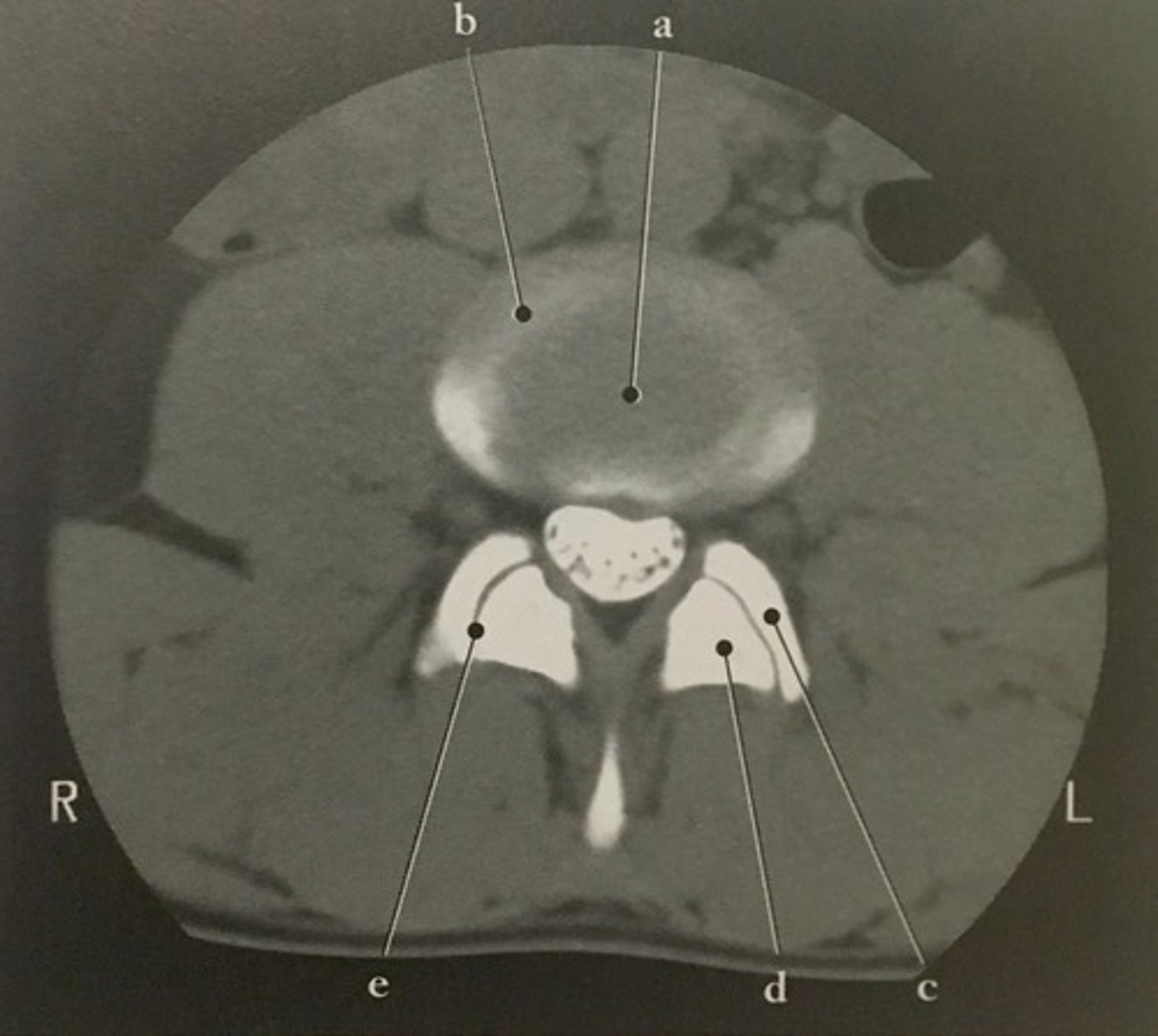
Body

Identify structure A on this axial CT slice of the lumbar vertebra.

<p>Identify structure A on this axial CT slice of the lumbar vertebra.</p>
93
New cards

Pedicle

Identify structure B on this axial CT slice of the lumbar vertebra.

<p>Identify structure B on this axial CT slice of the lumbar vertebra.</p>
94
New cards

Lamina

Identify structure C on this axial CT slice of the lumbar vertebra.

<p>Identify structure C on this axial CT slice of the lumbar vertebra.</p>
95
New cards

Transverse process

Identify structure D on this axial CT slice of the lumbar vertebra.

<p>Identify structure D on this axial CT slice of the lumbar vertebra.</p>
96
New cards

Posterior spinous process

Identify structure E on this axial CT slice of the lumbar vertebra.

<p>Identify structure E on this axial CT slice of the lumbar vertebra.</p>
97
New cards

Vertebral foramen

Identify structure F on this axial CT slice of the lumbar vertebra.

<p>Identify structure F on this axial CT slice of the lumbar vertebra.</p>
98
New cards

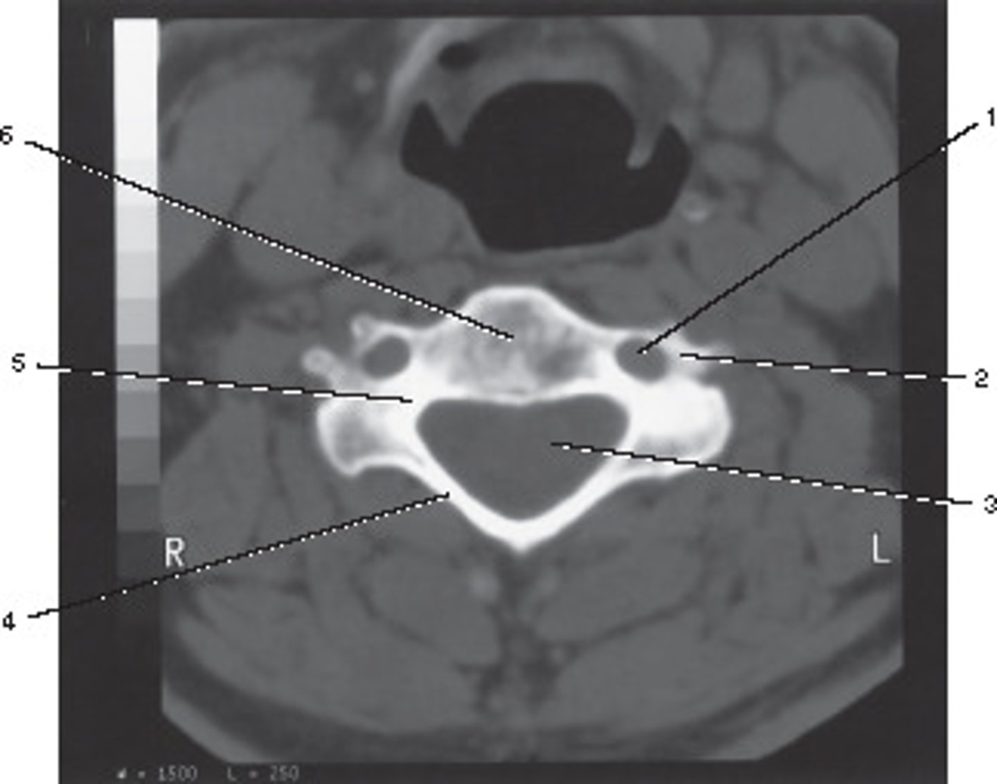
Anterior arch

Identify structure A on this axial CT slice of the C1.

<p>Identify structure A on this axial CT slice of the C1.</p>
99
New cards

Posterior arch

Identify structure B on this axial CT slice of the C1.

<p>Identify structure B on this axial CT slice of the C1.</p>
100
New cards

Lateral mass

Identify structure C on this axial CT slice of the C1.

<p>Identify structure C on this axial CT slice of the C1.</p>