Esophageal disorders

0.0(0)
studied byStudied by 0 people
full-widthCall with Kai
GameKnowt Play
learnLearn
examPractice Test
spaced repetitionSpaced Repetition
heart puzzleMatch
flashcardsFlashcards
Card Sorting

1/9

encourage image

There's no tags or description

Looks like no tags are added yet.

Study Analytics
Name
Mastery
Learn
Test
Matching
Spaced

No study sessions yet.

10 Terms

1
New cards
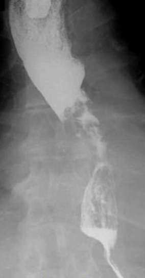
<p>What esophageal disorder is this?</p>

What esophageal disorder is this?

Web at PES

2
New cards
<p>What esophageal disorder is this?</p>

What esophageal disorder is this?

Schatzki’s ring

3
New cards
<p>What esophageal disorder is this?</p>

What esophageal disorder is this?

Benign Stricture

4
New cards
<p>What esophageal disorder is this?</p>

What esophageal disorder is this?

Malignant stricture

5
New cards
<p>What cancer esophageal management is this?</p>

What cancer esophageal management is this?

Esophagectomy and gastric pull up

6
New cards
<p>What esophageal disorder is this?</p>

What esophageal disorder is this?

Diverticulum

  • effect of narrowed esophageal passage

7
New cards
<p>What&nbsp;esophageal disorder is this?</p>

What esophageal disorder is this?

Diffuse esophageal spasm

8
New cards
<p>What esophageal disorder is this?</p>

What esophageal disorder is this?

Achalasia

9
New cards
<p>What esophageal disorder is this?</p>

What esophageal disorder is this?

CP Bar- constriction of cricopharyngeus muscle

10
New cards
<p>What esophageal disorder is this?</p>

What esophageal disorder is this?

Zenker’s Diverticulum