1/33
Looks like no tags are added yet.
Name | Mastery | Learn | Test | Matching | Spaced | Call with Kai |
|---|
No analytics yet
Send a link to your students to track their progress
The mandible has what shape?
horseshoe shape
-moveable
mental ridge?

What does the mental ridge look like radiographically?

information on mental ridge
radiopaque & found in the mandible
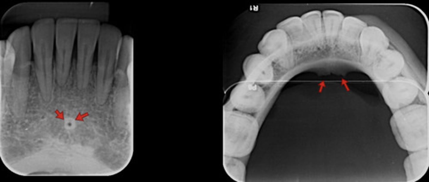
What is the lingual foramen?

What does the lingual foramen look like radiographically?

INFOrmation on lingual foramen
radiolucent & in the mandible srrouned on genial tubercules
What are genial tubercles?

information genial tubercules
inferior to mandibular incisors & radiopaque
What do genial tubercles look like radiographically?

What is the mental foramen?

information on the mental foramen
radiolucent & in the region of the mandibular premolars
What does the mental foramen look like radiographically?

What could the mental foramen be misdiagnosed as?
a periapical lesion (cyst, granuloma, or abcess) because of its apical location
-in some cases
What is the mandibular canal?

What does the mandibular canal look like radiographically?

information on mandibular canal
radioluncentt band, with two thin radiopaque line & below the apices of the mandibular molar teeth
What can be viewed from a projection of the posterior molars? (start at coronal portion and work toward apex)
coronal
1. external oblique
2. Inferior oblique (mylohyoid ridge)
3. mandibular canal
4. mandibular gland fossa
5. inferior border of mandible
What is the mylohyoid ridge?
A linear prominence of bone located on the internal surface of the mandible
-serves as an attachment site for the mylohyoid muscle
-also referred to as inferior oblique ridge

What does the mylohyoid ridge look like radiographically?

information on mylohyoid ridge
dense radiopaque band that extends downward and forward from the third molar region at the level of the apices of the posterior teeth
What is the external oblique ridge?

information on external oblique ridge
appears as a radiopaque band extending downward and forward from the anterior border of the ramus of the mandible
-starts behind last tooth and comes forward
What does the external oblique ridge look like radiographically?

What is the submandibular gland fossa?

information on submandibular gland fossa
radiolucent area in the molar region below the mylohyoid ridge
What does the submandibular gland fossa look like radiographically?

What does the inferior border of the mandible look like radiographically?

information on inferior border of the mandible
radiopaque band of bone
-only see if there is a lot of angulation
What are nutrient canals?
anatomic structures of the alveolar bone through which neurovascular elements transit

Where are interdental nutrient canals most often seen?
in the anterior mandible, a region that typically has thin bone
Thinning of the nutrient canals is a sign of what?
aging
information on nutrient canals
little lines of radiolucency found in maxillary & mandible
What do nutrient canals look like radiographically?
