1/23
Looks like no tags are added yet.
Name | Mastery | Learn | Test | Matching | Spaced |
|---|
No study sessions yet.

what cell is this
simple squamous epithelial

what cell is this
simple columnar

what cell is this
stratified squamous

what cell is this
pseudostratified simple columnar epithelial ciliated

what cell is this
simple cabuidal epithelium

what cell is this
transitional

what cell is this
stratified squamous epithelial

what cell is this
pseudo-stratified ciliated columnar

what cell is this
transitional epithelium

what cell is this
simple cuboidal epithelial

what cell is this
simple columnar epithelial

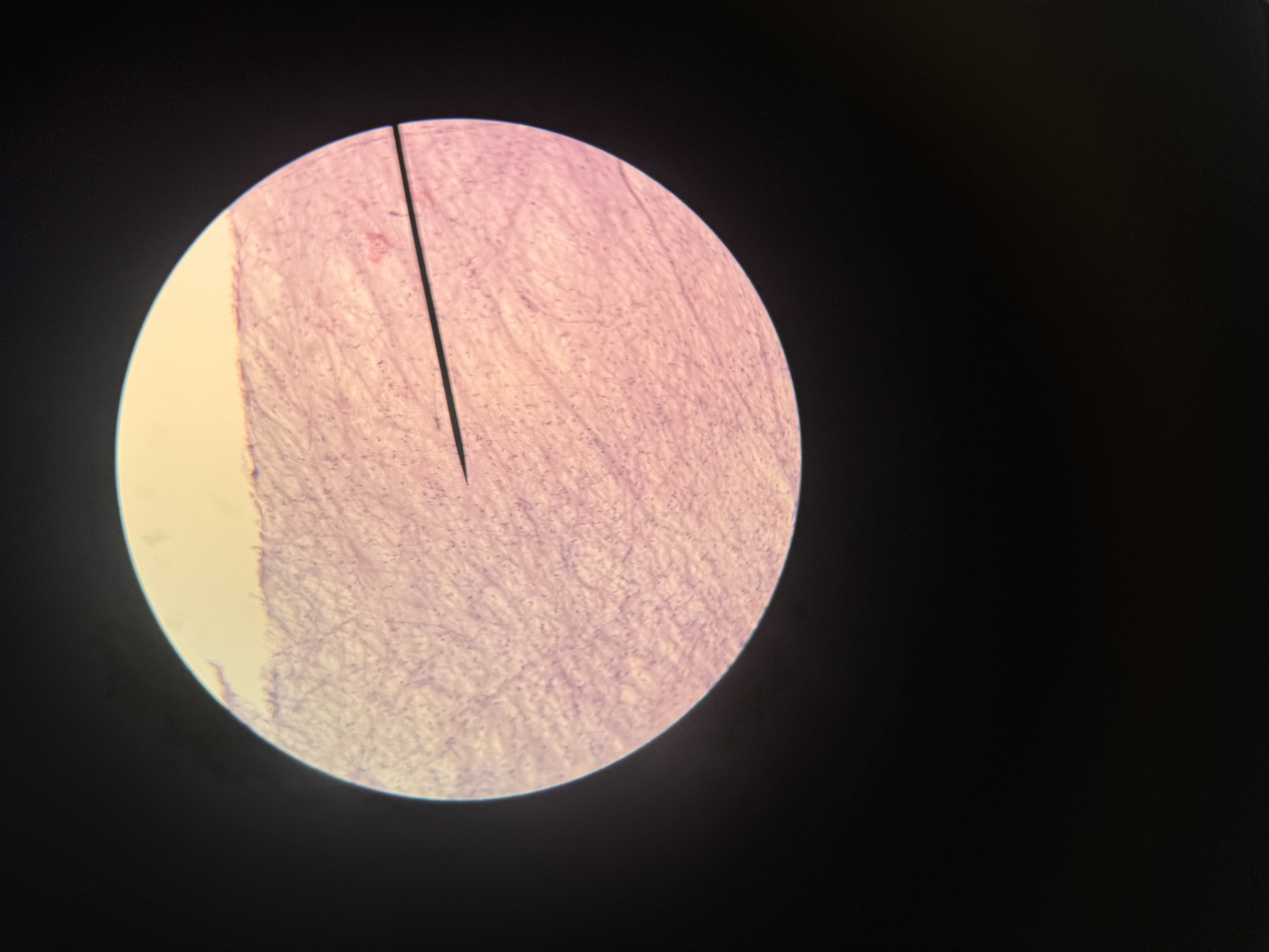
What cell is this
Voluntary (Striated)(skeletal) muscle

What cell is this
Cardiac muscle

What cell is this
Involuntary (smooth) muscle

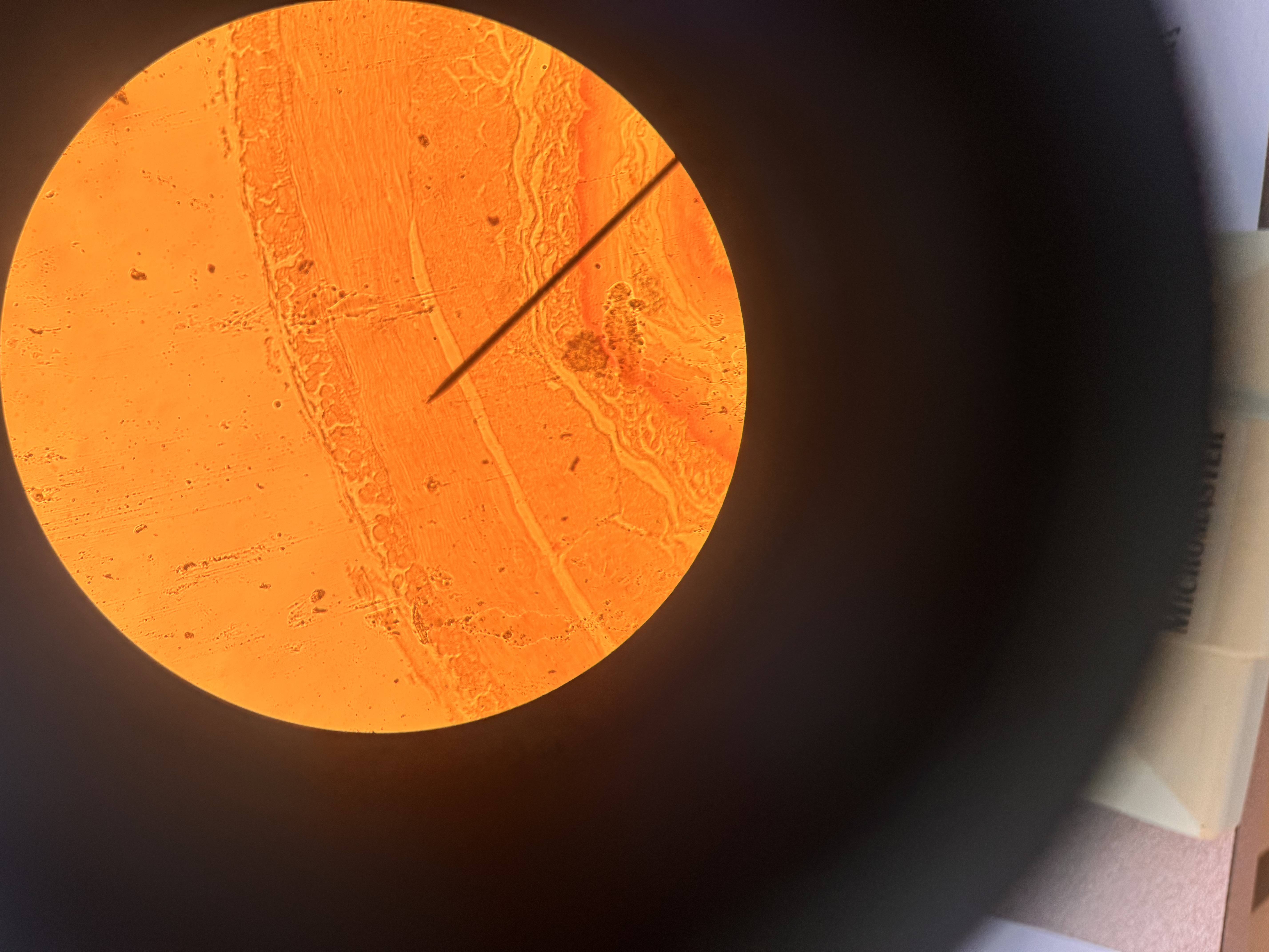
What cell is this
Nerve cells

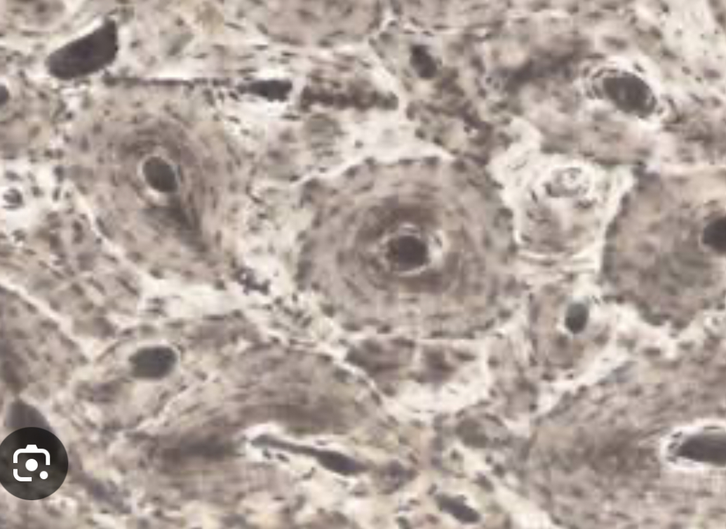
What cell is this
Bone

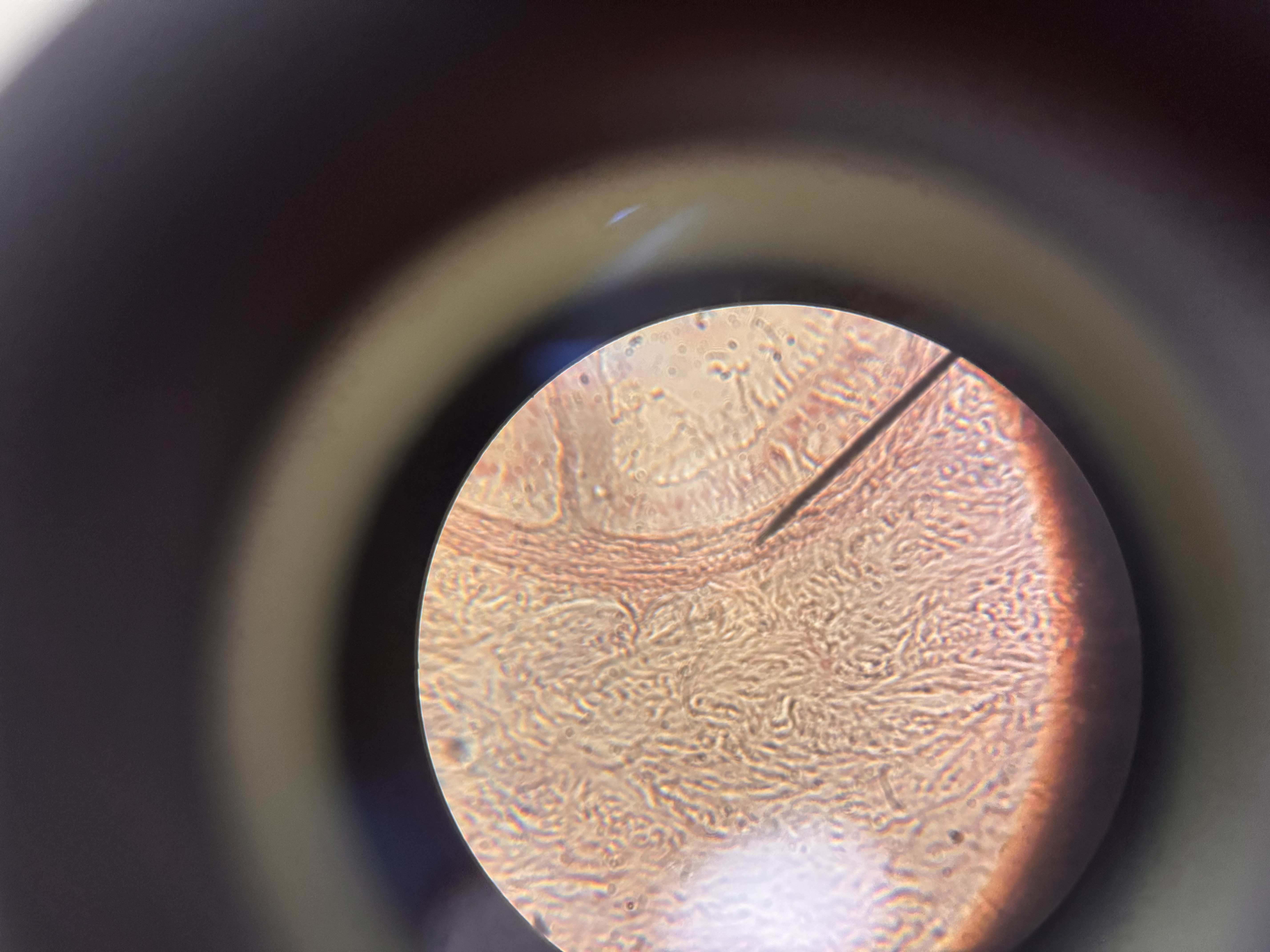
What cell is this
Areolar Tissue

What cell is this
Hyaline cartilage

What cell is this
Blood

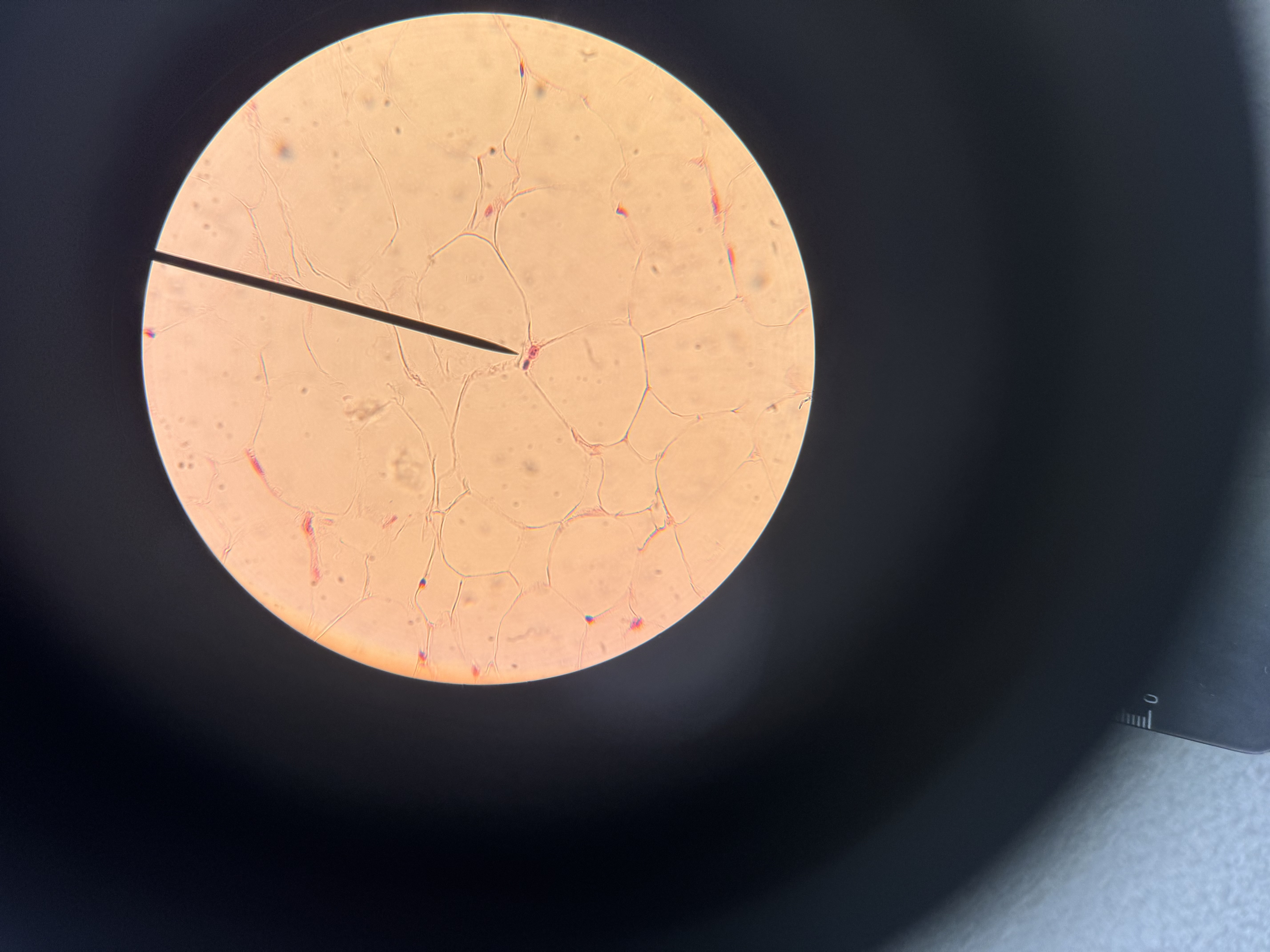
What cell is this
Adipose (fat) Tissue

What cell is this
Fibro cartilage

What cell is this
Elastic cartilage

What cell is this
White fibrous tissue

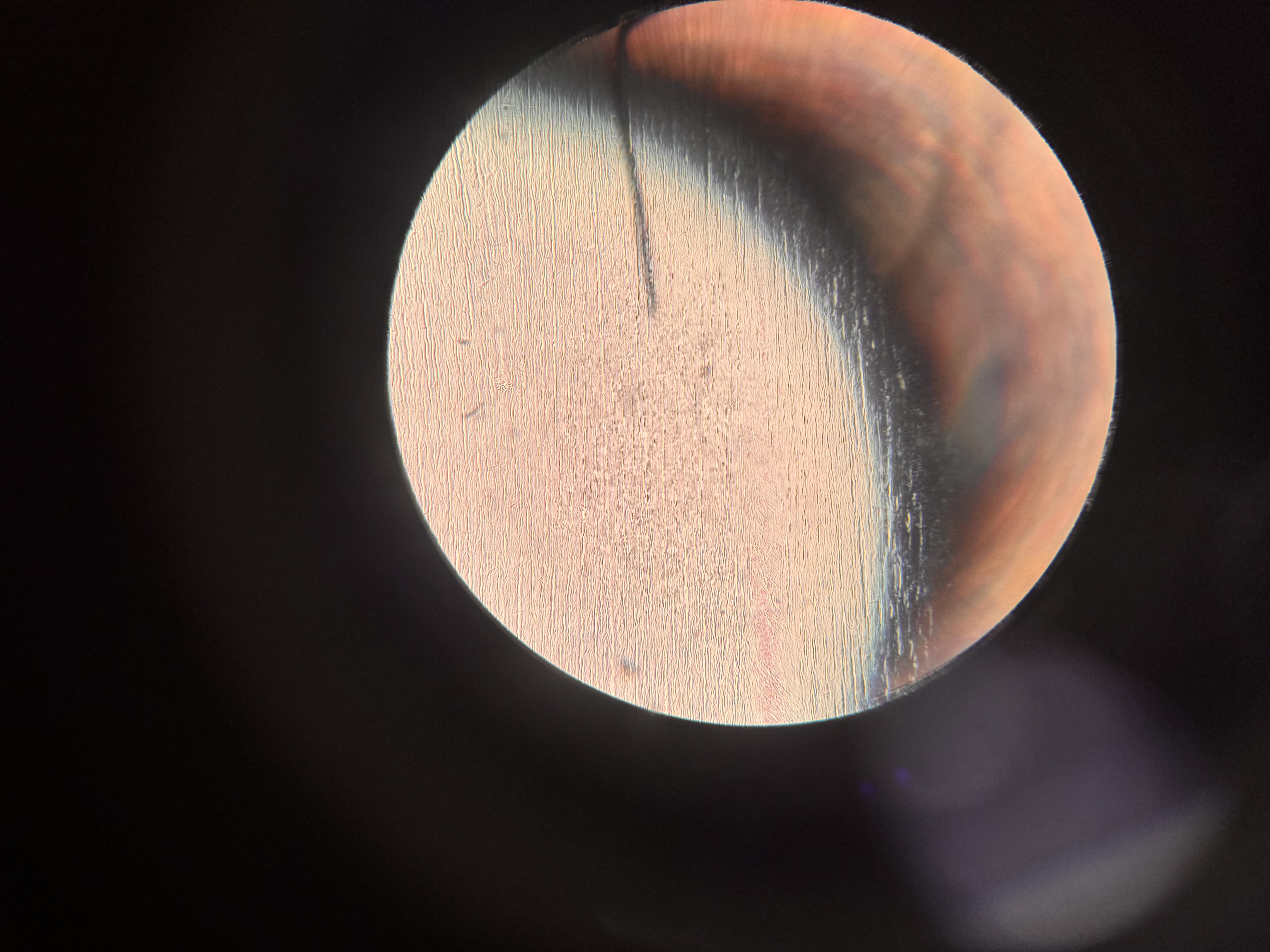
What cell is this
Skin