1/20
[Schistosoma haematobium] [Schistosoma intercalatum] [Schistosoma japonicum] [Schistosoma mansoni] [Schistosoma mekongi]
Name | Mastery | Learn | Test | Matching | Spaced |
|---|
No study sessions yet.
Schistosomiasis_ is caused by some species of blood trematodes (flukes) in the genus Schistosoma.
(Bilharziasis)
Schistosomiasis (Bilharziasis) is caused by some species of blood ___ in the genus Schistosoma.
trematodes (flukes)
1st stage Schistosomiasis Schistosoma eggs are eliminated with feces or urine, depending on species
release
miracidia
2nd Stage, under appropriate conditions the eggs hatch and
, which swim and of sporocysts and the production of cercariae. The stages in the snail include two generations
penetrate specific snail intermediate hosts
As miracidia penetrate the snail skin _developed in the snail.
Sporocysts
Upon release from the snail, the infective cercariae swim, penetrate the skin of the human host , and shed their forked tails, becoming _.
schistosomulae
The schistosomulae migrate via venous , then to the heart, and then develop in the liver, exiting the liver via the portal vein system when mature,
circulation to lungs
Male and female adult worms copulate and reside in the ___, the location of which varies by species (with some exceptions).
mesenteric venules
Male and female adult worms copulate and reside in the mesenteric venules, the location of which varies by species (with some exceptions).
S. japonicum is more frequently found in the __draining the ____
superior mesenteric veins , small intestine
S. mansonioccurs more often in the ___ draining the ______intestine
inferior mesenteric veins, large
The females (size ranges from _, depending on species) deposit eggs in the small venules
of the portal and perivesical systems.
7–28 mm
The eggs are moved progressively toward the (S. mansoni,S. japonicum, S. mekongi, S. intercalatum/guineensis) and of the bladder and ureters (S.haematobium), and are eliminated with feces or urine, respectively
lumen of the intestine

Summary of Life Cycle
Egg ___
Egg hatch and release _
____ Penetrate the snail tissue
developed in snail (successive generation
Free swimming _ released from snail into water.
_penetrate skin
___Lose tail and become _.
Circulate
Migrate to and maturation to adult
Paired adult worm migrate to that circulate to the liver and shred in _
of bladder: egg shred in _.
shred
miracidia
Miracidia
sporocyst
cercariae
cercariae
cercariae, schistosomulae
circulation
portal blood in liver
Mesenteric venules-stools, Venous plexus-urine
Infective stage
cercariae released from snail into water
Diagnostic stage
egg shred from infected human
Schistosoma mansoni is found primarily across sub______and some South American countries (Brazil, Venezuela, Suriname) and the Caribbean, with sporadic reports in the Arabian Peninsula
Saharan Africa
Symptoms of schistosomiasis are not caused by the worms themselves but by the body’s reaction to the ___. Many infections are asymptomatic.
eggs

Figure B: ______. The thin female resides in the gynecophoral canal of the thicker male. Note the tuberculate exterior of the male
Adults of S. mansoni

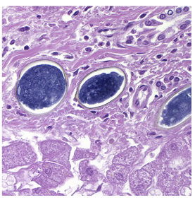
Figure E: __________in a urinary bladder biopsy specimen, stained with H&E. Images courtesy of the Michael E. DeBakey V. A. Medical Center, Houston, TX.
Eggs of S. haematobium

Figure D: Eggs of _________, stained with H&E. at 400x magnification.
S. japonicum from tissue

Figure B: ________ in a wet mount of urine concentrates, showing the characteristic terminal spine
Egg of S. haematobium