1/45
Looks like no tags are added yet.
Name | Mastery | Learn | Test | Matching | Spaced |
|---|
No study sessions yet.
The ___ cavity extends from diaphgram to bony pelvis
abdominopelvic
The rectum, sigmoid, urinary bladder and reproductive organs are found in the
abdominopelvic cavity
double walled membranous sac that encloses the abdominopelvic cavity is the
peritoneum
the inner layers of the peritoneum is also known as the
visceral peritoneum
Outer layer of the peritoneum
parietal peritoneum
space between the two layers of the peritoneum
peritoneal cavity
spaca behind peritoneum
retroperitoneum
What organs are found in the retroperitoneum
kidneys and pancrea
muscle dividing thoracic and abdominal cavity is
diaphragm
The right and left psoas muscle are located ___ to spine
lateral
To minimize peristalsis motion on radiograph, you must use a
short exposure time
blurred bony cortices and gastric and intestinal gases are caused by
voluntary motion
sharp bony detail and blurry gastric and intestinal gases
involuntary motion

Blockage of bowel lumen
bowel obstruction
Failure of bowel peristalsis
ileus

presence of air in peritoneal cavity
pneumoperitoneum
Ascites in the build up of ____ in the space between the lining of the abdomen and abdominal organs
fluid

Ascites commonly occurs due to what type of disorders
liver
What SID is used for abdomen
40 inches
A prime requisite in abdominal exams is to prevent
voluntary and involuntary movement
Blurring in abdominal radiography is caused by
voluntary motion
Abdomen 1V
Supine Abdomen KUB
Abdomen 2V
Upright and Supine (KUB) abdomen
Abdomen 3V or acute abdominal series
PA chest, Ap Upright abd, AP Supine abd (KUB)
If a patient cannot stand for an upright abdomen, a _____ is performed instead
left lateral decubitus
To include bladder, CR enters
at the iliac crest
To include diaphragm for air and fluid levels, CR enters
2 inches above iliac crest

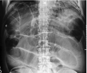
Projection?
Supine Abdomen (KUB)
CR for an AP abdomen supine enters at the level of
the iliac crests
Breathing instructions for AP abdomen supine
suspend at end of expiration
is the pubic symphysis seen in an ap abdomen supine
Yes

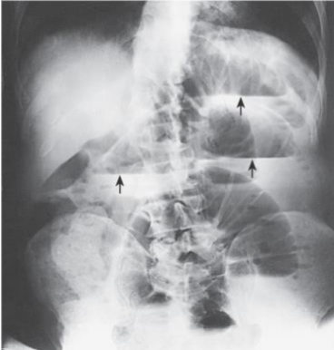
Projection?
Upright abdomen
In an AP Abdomen upright, the CR enters at the level of
2 inches above iliac crests
On an AP Abdomen upright, air seems to be in a ____ manner
horizontal

Projection?
Left lateral decubitus
In an AP Abdomen, left lateral decubitus, the CR is
horizontal and perpendicular to 2 inches above iliac crest
The IR orientation in an abdomen left lateral decub is
CW to the patient
If the abdomen is too wide to include both flanks on one image, adjust patient and IR height to include ___ ___ when intraperitoneal fluid
side down
In decubitus for chest and abdomen, you would mark the
elevated side
To show small amounts of intraperitoneal gas in acute abdominal gases, the patient you stay in left lateral for
10 to 20 minutes before exposing
CR enters wHere for a lateral abdomen(non routine)
enters MCP at iliac crests

Projection?
Lateral abdomen
Can you see air fluid levels in an upright decubitus abdomen?
YES
Can you see air fluid levels in an AP supine (prone) and lateral recumbant
NO
Must have horizontal beam with ride side up to see
free air
In AP Upright(or PA), AP/PA left lateral decub, lateral dorsal decub, you can see
free air