Gallbladder Proficiency #3

0.0(0)
studied byStudied by 0 people
0.0(0)
full-widthCall Kai
learnLearn
examPractice Test
spaced repetitionSpaced Repetition
heart puzzleMatch
flashcardsFlashcards
GameKnowt Play
Card Sorting

1/9

encourage image

There's no tags or description

Looks like no tags are added yet.

Study Analytics
Name
Mastery
Learn
Test
Matching
Spaced

No study sessions yet.

10 Terms

1
New cards

Protocol Order

  1. Sag GB Lat

  2. Sag GB Mid

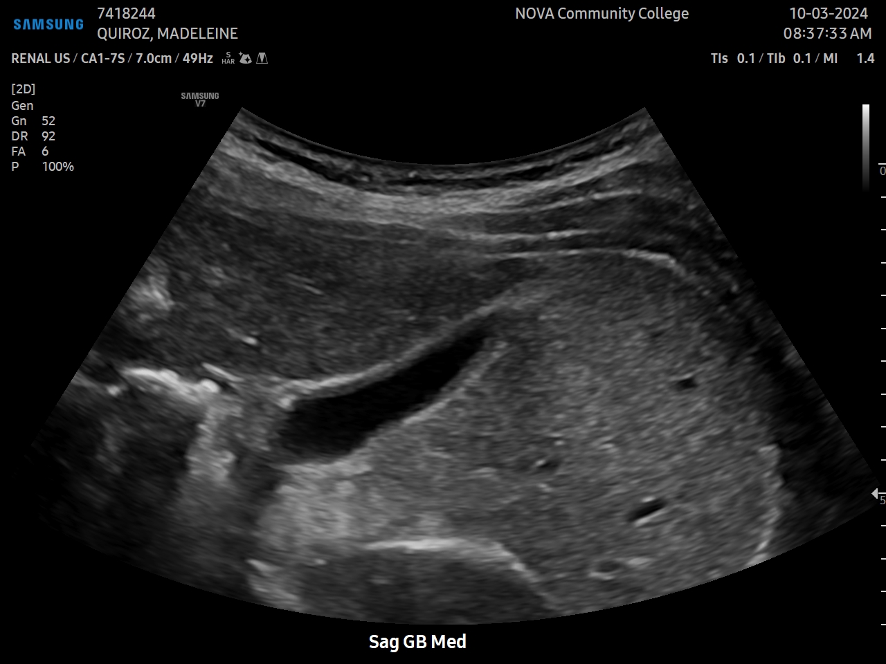
  3. Sag GB Med

  4. Trv GB Fundus (Inf)

  5. Trv GB Body

  6. Trv GB Body wall measurement

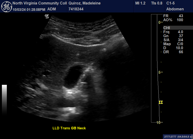
  7. Trv GB Neck

  8. LLD Sag GB Lat

  9. LLD Sag GB Mid

  10. LLD Sag GB Med

  11. LLD Trv GB Fundus (Inf)

  12. LLD Trv GB Body

  13. LLD Trv GB Neck

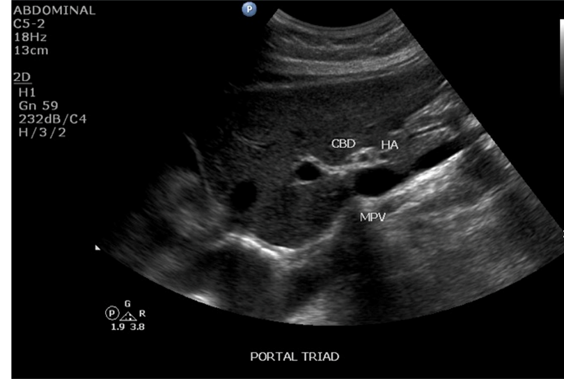
  14. Trv CBD PH

  15. Trv CBD PH Color

  16. Trv CBD Proximal

  17. Trv CBD Proximal lumen measurement

  18. Trv CBD Distal

  19. Trv CBD Distal lumen measurement

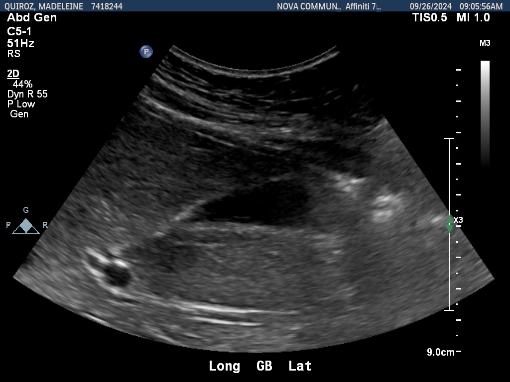
2
New cards

Sag GB Lat

knowt flashcard image
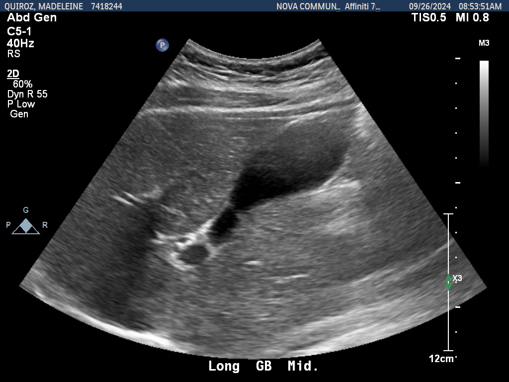
3
New cards

Sag GB Mid

knowt flashcard image
4
New cards

Sag GB Med

knowt flashcard image
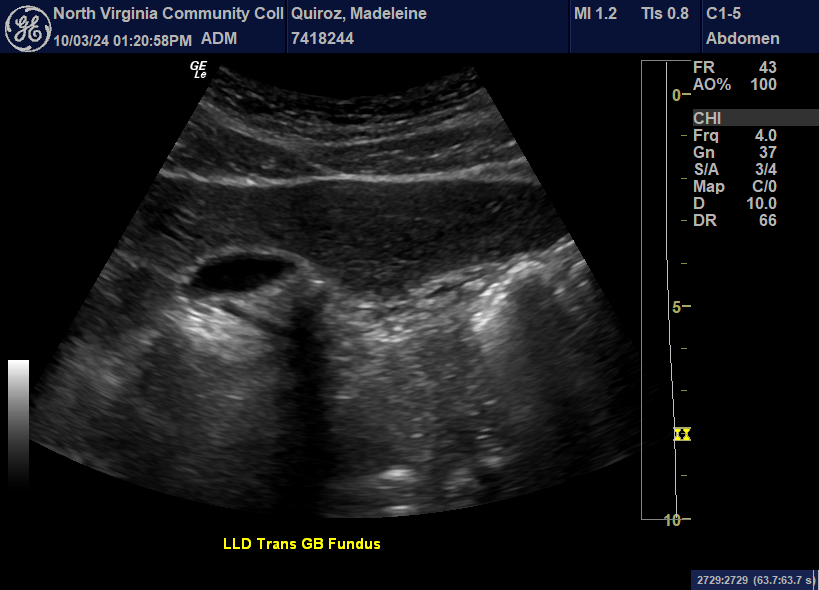
5
New cards

Trv GB Fundus (Inf)

knowt flashcard image
6
New cards

Trv GB Body/wall measurement

knowt flashcard image
7
New cards

Trv GB Neck

knowt flashcard image
8
New cards

Trv CBD PH/color

9
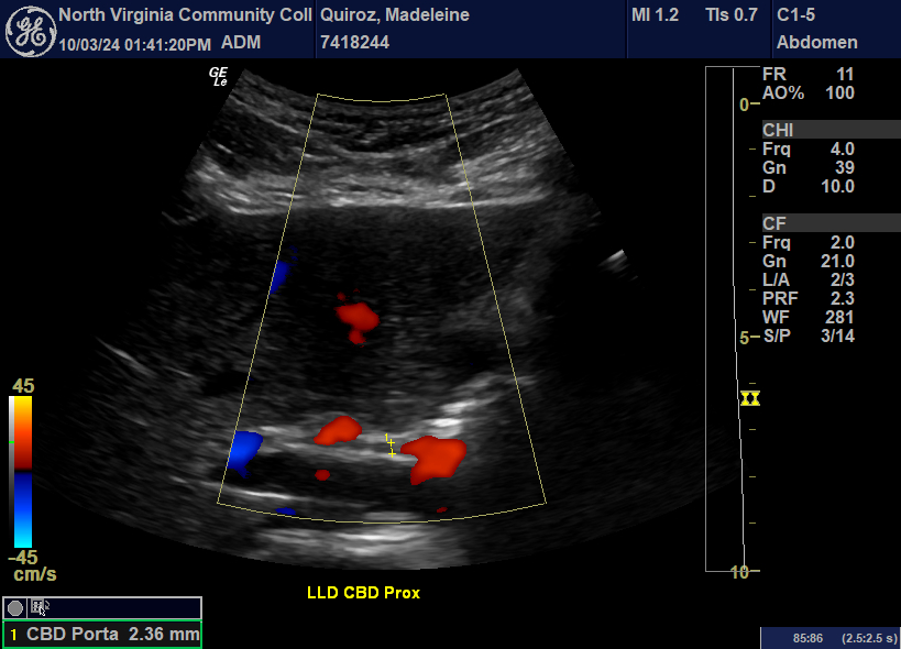
New cards

Trv CBD Proximal/ lumen measurement

knowt flashcard image
10
New cards

Trv CBD Distal/ lumen measurement

knowt flashcard image