1/7
Looks like no tags are added yet.
Name | Mastery | Learn | Test | Matching | Spaced |
|---|
No study sessions yet.
Leukocytes
white blood cells
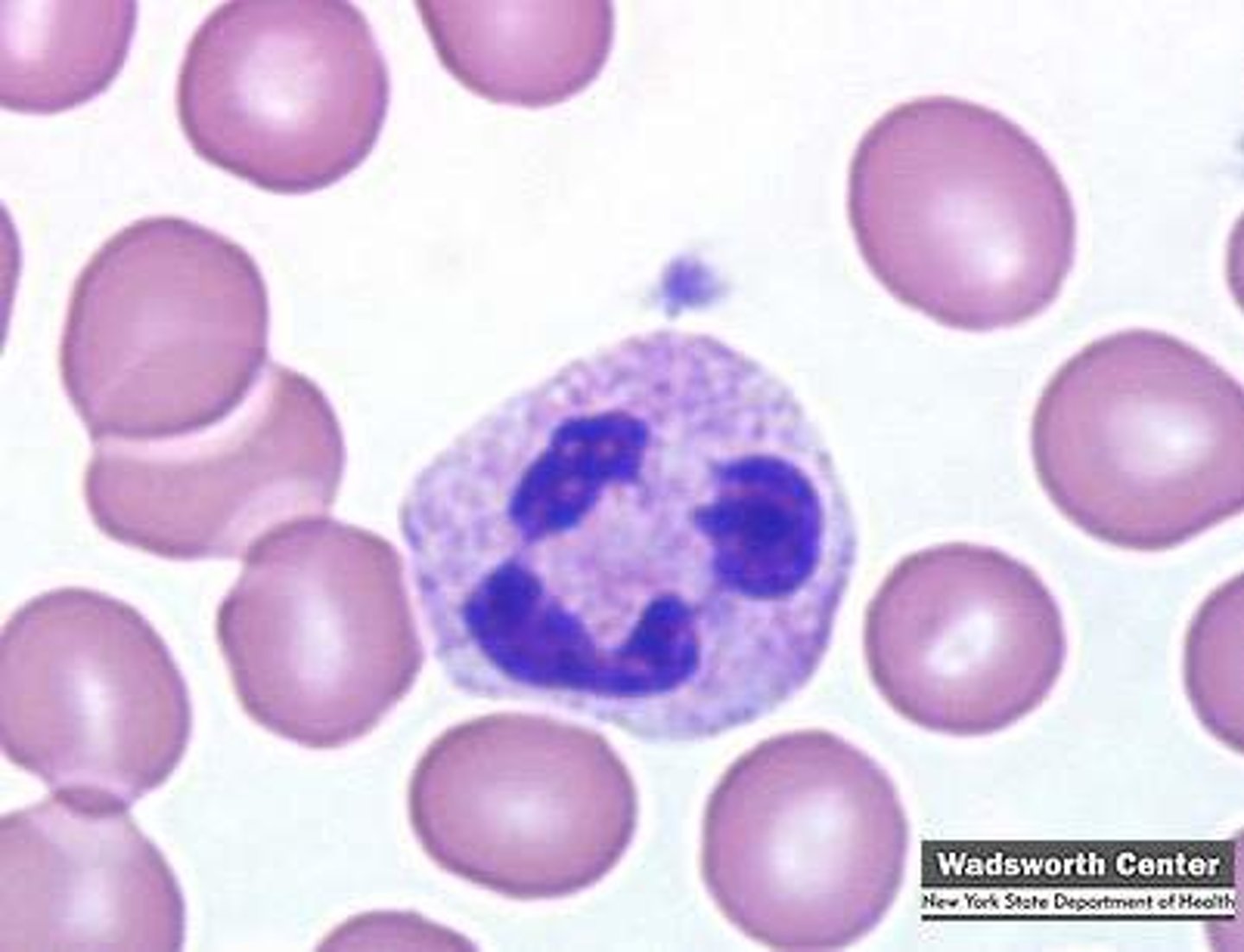
Neutrophil
a granular leukocyte, named for the neutral stain of its granules, that fights infection by swallowing bacteria (phagocytize bacteria)

Eosinophil
white blood cell containing granules that stain red; associated with allergic reactions (phagocytize parasites-Round and flatworms; Ab-antigen complexes)

Basophil
white blood cell containing granules that stain blue; associated with release of histamine and heparin

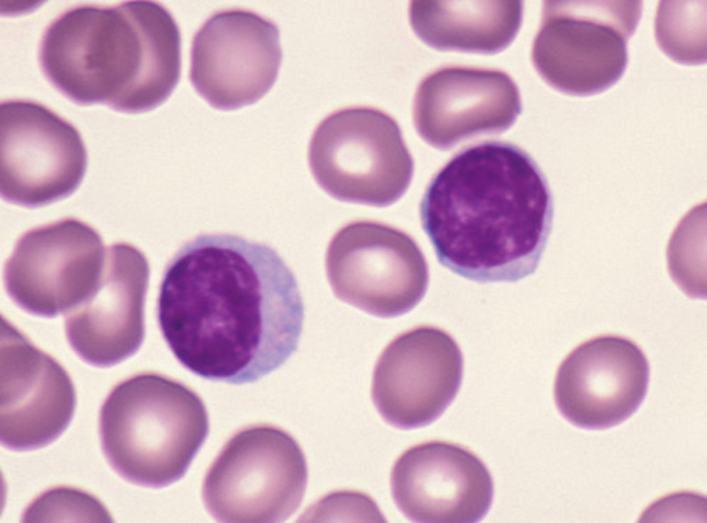
Lymphocytes
The two types of white blood cells that are part of the body's immune system: B lymphocytes form in the bone marrow and release antibodies that fight bacterial infections; T lymphocytes form in the thymus and other lymphatic tissue and attack cancer cells, viruses, and foreign substances.

Monocytes
An agranular leukocyte that is able to migrate into tissues and transform into a macrophage. (phagocytize bacteria, virus, fungi (anything non-self),
degraded RBC's) *very big and has a kidney bean shaped nucleus)

Erythrocytes
red blood cells, carry oxygen

Platelets (thrombocytes)
one of the formed elements in the blood that is responsible for aiding in the clotting process (made from megakaryocytes)
