1,2,3 Ceramics

0.0(0)
studied byStudied by 1 person
full-widthCall with Kai
GameKnowt Play
learnLearn
examPractice Test
spaced repetitionSpaced Repetition
heart puzzleMatch
flashcardsFlashcards
Card Sorting

1/20

encourage image

There's no tags or description

Looks like no tags are added yet.

Study Analytics
Name
Mastery
Learn
Test
Matching
Spaced

No study sessions yet.

21 Terms

1
New cards

Define Ceramics

  • What type of bonding

  • Occur as

Chemical mixture of metallic & non-metallic elements, formed at high temperatures

  • Bonding is a combo of ionic & covalent

  • Occur as minerals, O, Si and Al, 85% of the earth’s crust

2
New cards

Ceramics Physical, chemical, mechanical and biological properties

Physical: Intermediate density, high melting point, low coefficient of thermal expansion (1-15ppm/C), High modulus (E) / stiffness

Chemical: Low chemical reactivity, low absorption, low solubility

Mechanical: 10x stronger in compression than tension but brittle, low fracture toughness, poor fatigue resistance.

Biological: Relatively inert, excellent biocompatibility, sometimes bioactive

3
New cards

General Advantages & Disadvantages of Ceramics for Biomedical Use

Advantages: chemically inert, bioactive in body, high weight resistance, high modulus (stiffness) and compressive strength, esthetic for dental applications (can be translucent, ZrO2, opaque)

Disadvantages: Brittle, Low tensile strength, Poor fatigue resistance, difficult to fabricate and expensive

4
New cards

Historical names: Silica, Hematite, Corundum/ Alumina, Green Cinnabar, Gypsum, Hydroxyapatite (HA), Zirconia

  • Stoichiometric formula

  • Elemental Name

  • Chemical Name

5
New cards

Define Glass

Glass is an inorganic product of melting something (fusion) and then cooling it to a rigid state quickly without allowing it to solidify

  • Amorphous: lacking lattice structure/ crystallinity and possessing only short-range atomic order AKA glassy or vitreous

<p>Glass is an inorganic product of melting something (fusion) and then cooling it to a rigid state quickly without allowing it to solidify</p><ul><li><p><strong>Amorphous</strong>: lacking lattice structure/ crystallinity and possessing only short-range atomic order AKA <strong>glassy or vitreous</strong></p></li></ul><p></p>
6
New cards

Define glass-ceramic

A controlled, partial crystallization of glass that yields  a semi-crystalline solid → better translucency and machinability than fully crystalline

  • Partly amorphous: meaning it has some crystals/lattice structure

  • Ex: porcelain and emax

7
New cards

Define Dental Porcelain

Glass ceramic → vitreous (semi-crystalline) + Potassium oxide alumina silica/ K2OAl2O3-SiO2

  • Derived from the thermal processing of Quartz, Feldspar and Clay

8
New cards
<p>Characteristics that make ceramic crystallization difficult,  and label pictures</p>

Characteristics that make ceramic crystallization difficult, and label pictures

  • Thermodynamic considerations: heat maximizes packing efficiency and coordination number

  • Kinetic considerations: affects symmetry, requires heat and time

  • Mechanisms of Crystallization: Nucleation and growth is slower due to large critical radius size and complicated symmetry

<ul><li><p><strong>Thermodynamic considerations</strong>: heat maximizes <span style="color: red;"><strong>packing efficiency</strong></span><strong> and </strong><span style="color: red;"><strong>coordination</strong></span> number</p></li><li><p><strong>Kinetic considerations</strong>: affects <span style="color: red;"><strong>symmetry</strong></span>, requires <span style="color: red;"><strong>heat and time</strong></span></p></li><li><p><strong>Mechanisms of Crystallization</strong>: Nucleation and growth is <span style="color: red;"><strong>slower due to large critical radius size and complicated symmetry</strong></span></p></li></ul><p></p>
9
New cards

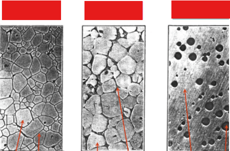
Densification

The process of forming a coherent solid from particles by melting, vitrification or sintering

  • Melting: cant be done to ceramics with high melting temps

    knowt flashcard image
  • Vitrification: temperature between liquid and solid temp that causes the melted liquid portion flows around the unmelted portions and fills gap, thus strengthening the material

    knowt flashcard image
  • Sintering: temperature lowered below solidus temp, which causes shrinkage and decreases SA to Volume ratio (increases density)

    • Solid state diffusion 

    • Ex: zirconia

      knowt flashcard image

<p>The process of forming a coherent solid from particles by melting, vitrification or sintering</p><ul><li><p><strong>Melting</strong>: cant be done to ceramics with high melting temps</p><img src="https://knowt-user-attachments.s3.amazonaws.com/bf6c0871-7505-4d86-8d81-986805410bec.png" data-width="100%" data-align="center" alt="knowt flashcard image"></li><li><p><strong>Vitrification</strong>: temperature between liquid and solid temp that causes the melted liquid portion flows around the unmelted portions and fills gap, thus strengthening the material</p><img src="https://knowt-user-attachments.s3.amazonaws.com/f5d67eac-1202-4c3b-b415-9711ed66edb1.png" data-width="75%" data-align="center" alt="knowt flashcard image"></li><li><p><strong>Sinterin</strong>g: temperature lowered below solidus temp, which causes shrinkage and decreases SA to Volume ratio (increases density)</p><ul><li><p>Solid state diffusion&nbsp;</p></li><li><p>Ex: zirconia</p><img src="https://knowt-user-attachments.s3.amazonaws.com/ec4884b9-9420-44fd-b1a0-1af01ddfff69.png" data-width="75%" data-align="center" alt="knowt flashcard image"></li></ul></li></ul><p></p>
10
New cards

How does porosity affect strength in a ceramic?

Ceramics can lose 70% strength at 10% porosity

  • Can be the result of incomplete sintering

  • Volumetric defects such as voids, pores, etc are key to mechanical behavior

11
New cards

Relationship between thermal expansion, melting point, and modulus

  • High melting point, low thermal conductivity, low CTE (1-15ppm)

  • High Modulus (E) → very stiff

  • Melting point and Modulus are usually proportionate

  • Most ceramics are anisotropic, meaning properties depend on crystallinity and temperature (measurement direction)

12
New cards

Chemical reactivity of most ceramics

Very limited reactivity, relatively inert and resistant to all acids except HF

  • HF is a weak acid but F- is super reactive

  • Not subject to corrosion

  • Fluoride treatments can etch dental ceramics like porcelain

13
New cards

Dental porcelain basic composition and uses

ALL are glass-ceramics and composed of Silica (SiO2), Alumina (Al2O3) and Potassium Oxide (K2O)

  • Used for veneers, posterior/anterior crowns, bridges, FPDs

14
New cards

Explain the CTE mismatch in PFM (porcelain-fused-metal)

CTE for Metal is slightly higher (so it contracts) than porcelain (1-15) so upon cooling after heating, the metal places porcelain on compression

  • Metal wants to shrink but cant because porcelain is bonded on top

  • Porcelain is stronger 10x in compression than tension so pre-loading it makes it harder for cracks to open

<p><mark data-color="yellow" style="background-color: yellow; color: inherit;">CTE for Metal is slightly higher</mark> (so it <strong>contracts</strong>) than porcelain (1-15) so upon cooling after heating, the metal <mark data-color="yellow" style="background-color: yellow; color: inherit;">places porcelain on </mark><strong><mark data-color="yellow" style="background-color: yellow; color: inherit;">compression</mark></strong></p><ul><li><p>Metal wants to shrink but cant because porcelain is bonded on top</p></li><li><p>Porcelain is stronger 10x in compression than tension so pre-loading it makes it harder for cracks to open</p></li></ul><p></p>
15
New cards

Feldspathic porcelain

Traditional porcelain, 15-20% Volume of leucine crystals, glassy matrix

  • Only used for veneering, not monolithic

16
New cards

Leucite-Reinforced Porcelain

+ ex.

35-45% Leucite crystals by volume, makes it 50% tougher (resistance to defect propagation) than Feldspathic

Ex. IPS Empress, good for veneering and improved strength

<p><mark data-color="yellow" style="background-color: yellow; color: inherit;">35-45% Leucite crystals</mark> by volume, makes it <mark data-color="yellow" style="background-color: yellow; color: inherit;">50% toughe</mark>r (resistance to defect propagation) than Feldspathic</p><p><strong>Ex.</strong> IPS Empress, good for veneering and improved strength </p>
17
New cards

Lithium disilicate (ceramic material)

+ ex.

Glass ceramic; has 70% Lithium disilicate (Li2Si2O5) which are rod shaped crystals that block crack propagation

  • Balance between esthetics due to glassy matrix and durability

  • Used monolithically or veneered

  • Ex. IPS, Emax

<p>Glass ceramic; has <mark data-color="yellow" style="background-color: yellow; color: inherit;">70% Lithium disilicate </mark>(Li2Si2O5) which are rod shaped crystals that block crack propagation</p><ul><li><p>Balance between esthetics due to glassy matrix and durability</p></li><li><p>Used monolithically or veneered</p></li><li><p>Ex. IPS, Emax</p></li></ul><p></p>
18
New cards

Partially Stabilized Zirconia (PSZ)

  • Explain its phase transformation

  • Explain fabrication

  • Dentistry uses

  • Explain Monolithic Zirconia

  • Explain High Translucency Zirconia

Stable form of zirconia with the highest fracture resistance of all ceramics because they are durable and fatigue resistant

  • Phase transformation: from tetragonal to monoclinic associated with 4-5% volumetric expansion

  • Fabrication thru sintering, gets 25-30% shrinkage

  • Used for everything; crowns, bridges, implants, abutments

  • Very tough but ofc no as tough as metals, and do not produce significant wear on opposing natural teeth

Monolithic zirconia: the entire crown is zirconia. eliminates problem where veneering porcelain layer would fracture

  • Disadvantage is that it has very limited optical properties, they are also hard to adjust due to complete crystallinity after sintering

  • Most popular in the US

High Translucency zirconia: mix of cubed (transparent) and tetragonal zirconia; improved esthetics but decreased fracture strength

  • Must me 0.5mm or less, no sharp angles

<p>Stable form of zirconia with the highest fracture resistance of all ceramics because they are durable and fatigue resistant</p><ul><li><p>Phase transformation: from tetragonal to monoclinic associated with 4-5% volumetric expansion</p></li><li><p>Fabrication thru sintering, gets 25-30% shrinkage</p></li><li><p>Used for everything; crowns, bridges, implants, abutments</p></li><li><p>Very tough but ofc no as tough as metals, and do not produce significant wear on opposing natural teeth</p></li></ul><p></p><p>Monolithic zirconia: the entire crown is zirconia. eliminates problem where veneering porcelain layer would fracture</p><ul><li><p>Disadvantage is that it has very limited optical properties, they are also hard to adjust due to complete crystallinity after sintering</p></li><li><p>Most popular in the US</p></li></ul><p>High Translucency zirconia: mix of cubed (transparent) and tetragonal zirconia; improved esthetics but decreased fracture strength</p><ul><li><p>Must me 0.5mm or less, no sharp angles</p></li></ul><p></p>
19
New cards

CAD/CAM advantages and disadvantages

  • Advantages: speed, reproducibility, elimination of physical impressions, improvement of dimensional accuracy, warns if prep is under-reduced → Best for high volume bc of cost

  • Disadvantages: expensive, must have high volume

20
New cards

Zirconia milling caveat with CAD/CAM

When milling zirconia, there is partial sintering of the block previously and then there is fully sintering so CAD design must compensate for shrinkage

21
New cards

What contributes to clinical failures with ceramics?

Material limits, poor design (sharp angles, thin, etc.), adjustment with handpiece (introduction of flaws)