URINE SEDIMENTS

0.0(0)
studied byStudied by 0 people
full-widthCall with Kai
GameKnowt Play
learnLearn
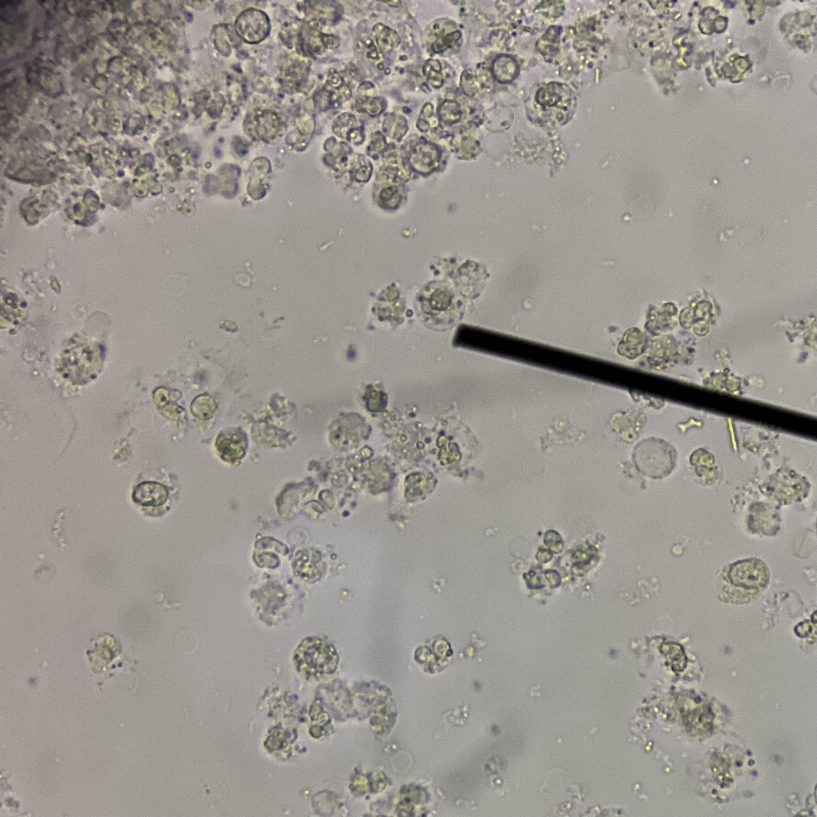
examPractice Test
spaced repetitionSpaced Repetition
heart puzzleMatch
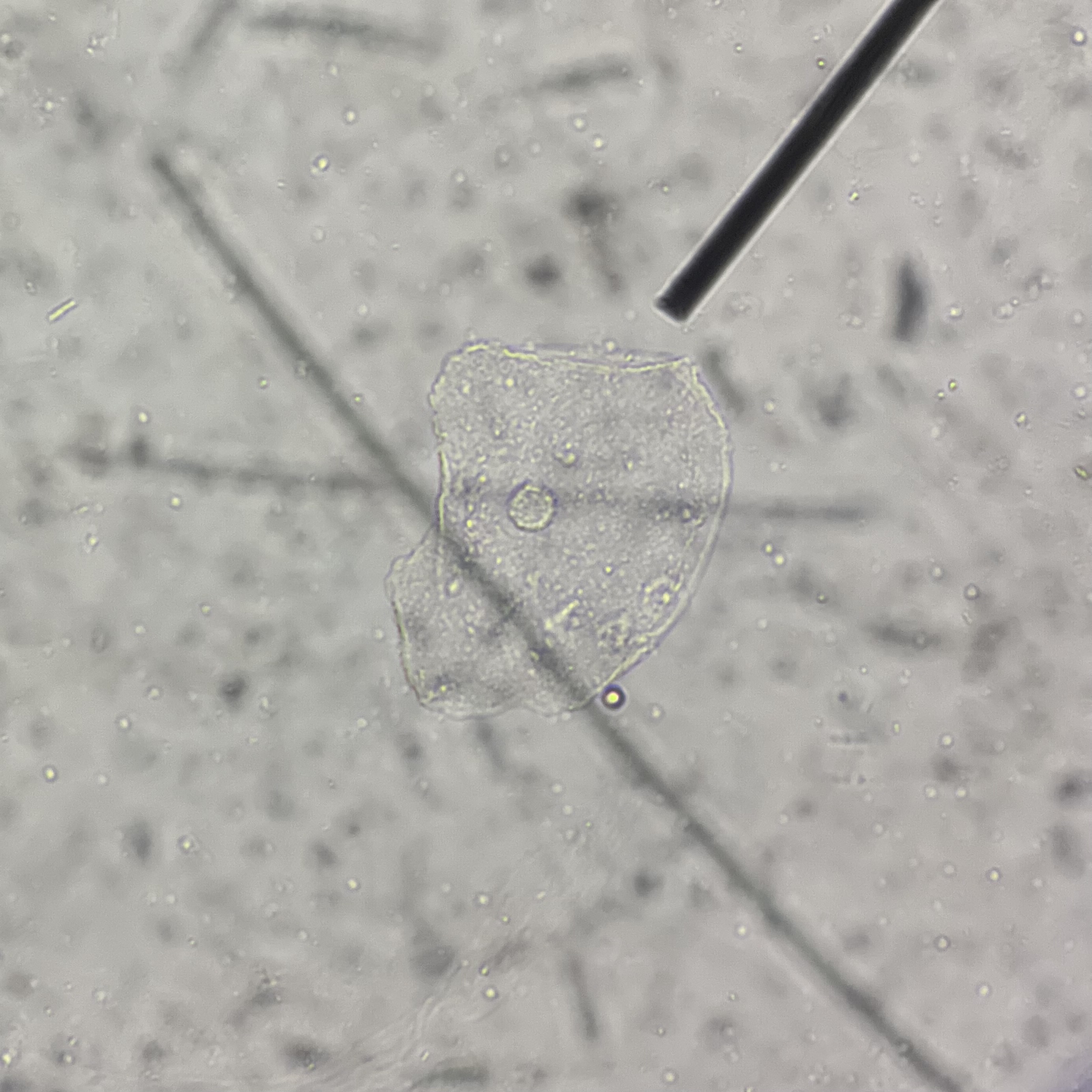
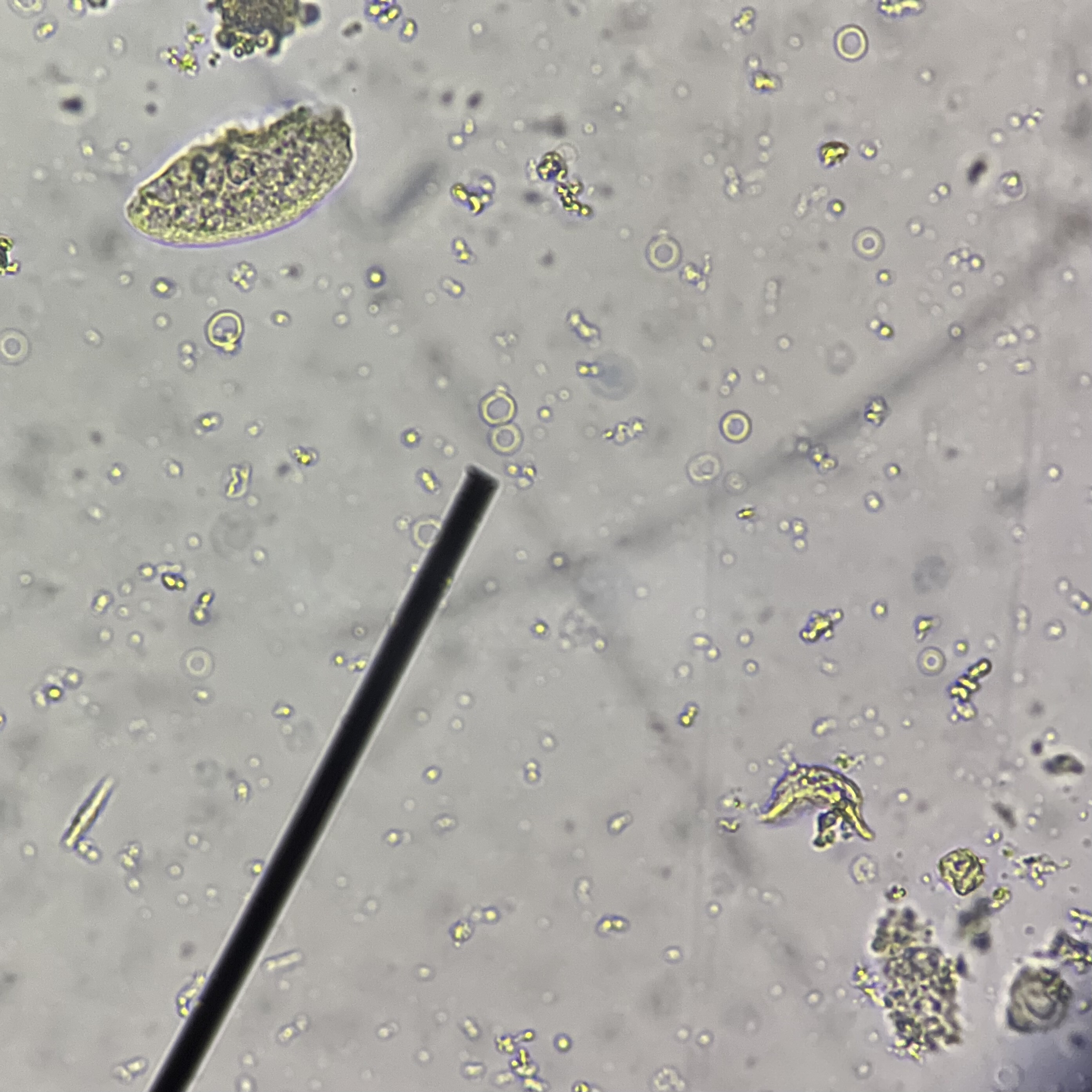
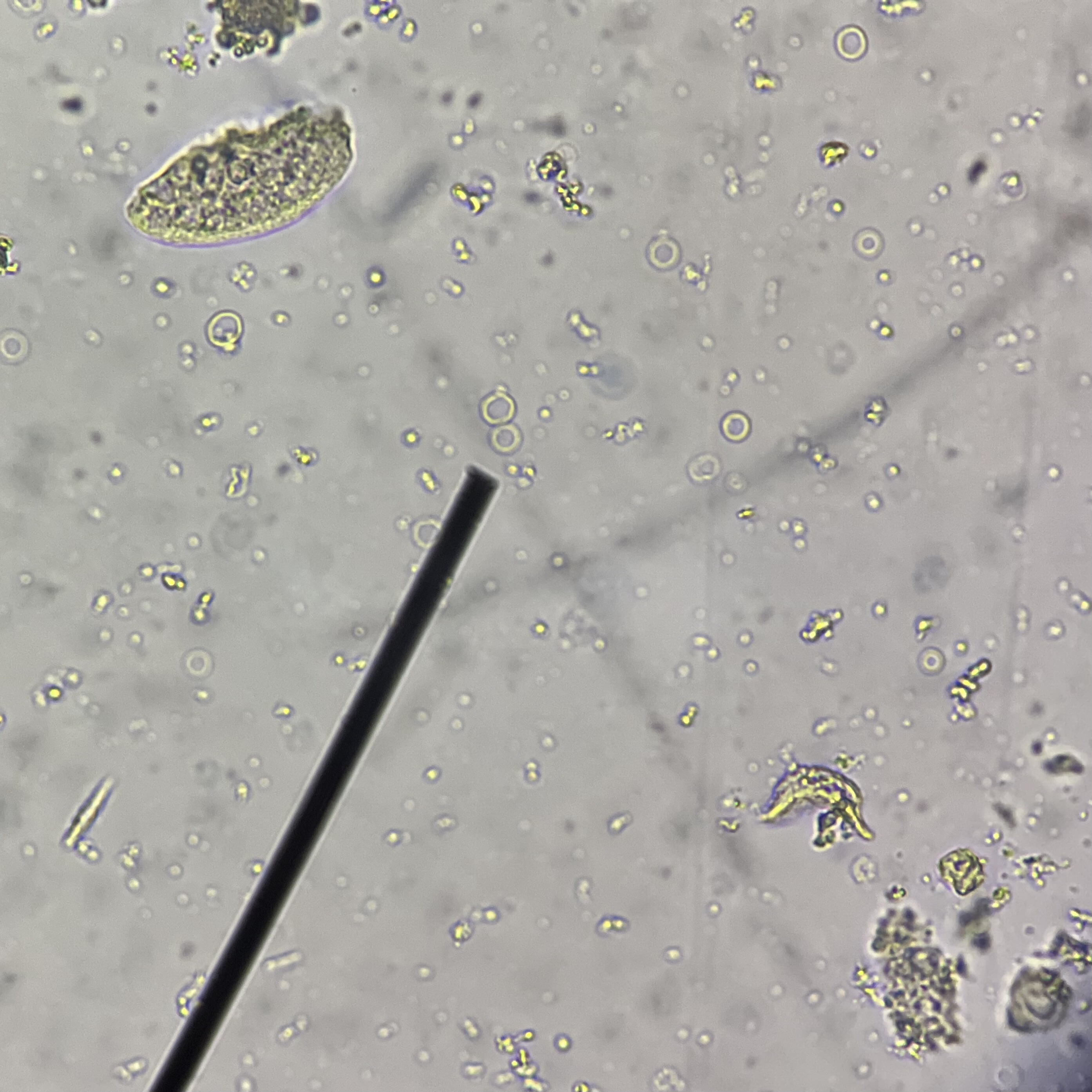
flashcardsFlashcards
Card Sorting

1/50

encourage image

There's no tags or description

Looks like no tags are added yet.

Study Analytics
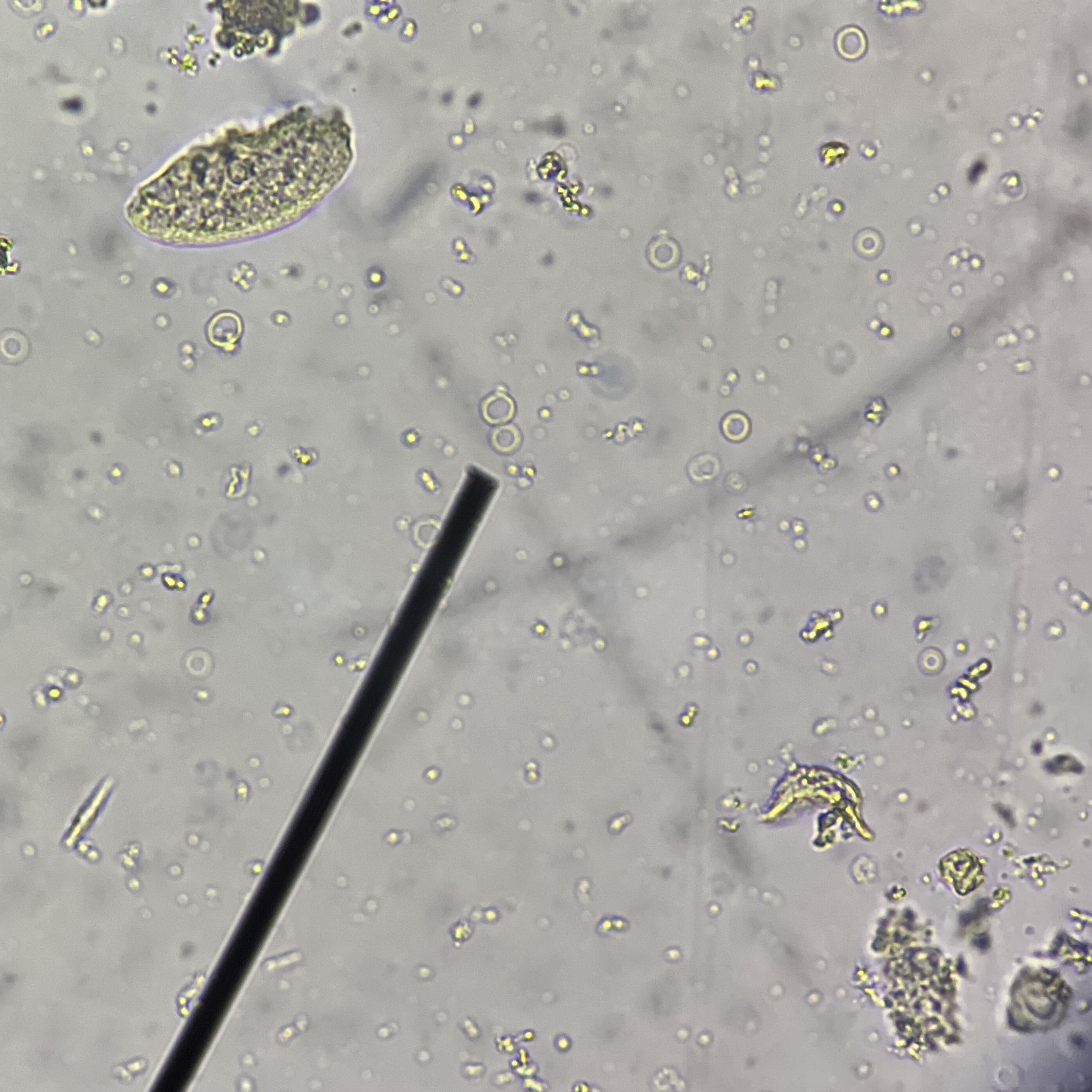
Name
Mastery
Learn
Test
Matching
Spaced

No study sessions yet.

51 Terms

1
New cards

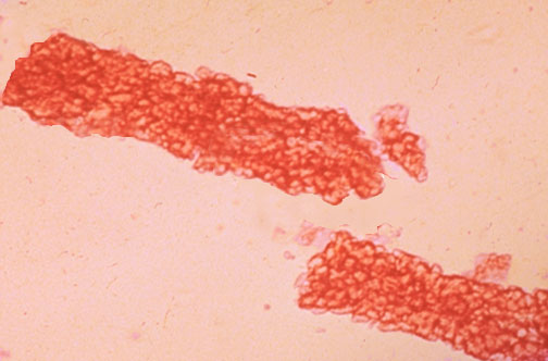
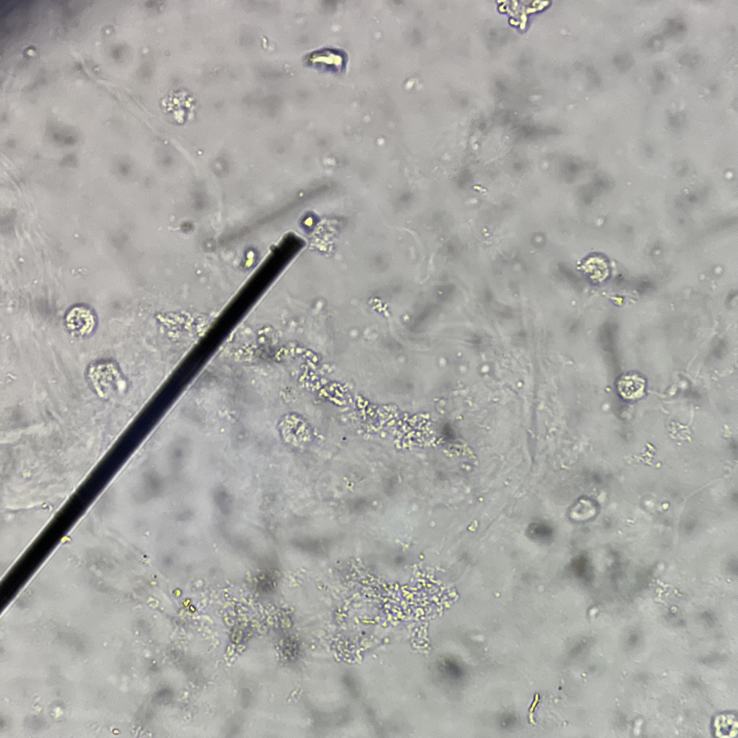
Red Blood Cells

Identify the pointed structure.

<p>Identify the pointed structure.</p>
2
New cards
  1. Cells shrink resulting in crenated Red Blood Cells.

  2. Cells Swell

  1. What happens to the pointed structure in SG of more than 1.010?

  2. What happens to the pointed structure in SG of less than 1.010?

<ol><li><p>What happens to the pointed structure in SG of more than 1.010?</p></li><li><p>What happens to the pointed structure in SG of less than 1.010?</p></li></ol><p></p>
3
New cards

Ghost Cell

In SG less than 1.010, what is the specific name of this cell when only the membrane is visible?

<p>In SG less than 1.010, what is the specific name of this cell when only the membrane is visible?</p>
4
New cards

Addition of acetic acid.

How can you differentiate the pointed structure from the other sediment that is morphologically the same with it?

<p>How can you differentiate the pointed structure from the other sediment that is morphologically the same with it?</p>
5
New cards

Glomerular Bleeding

What is the pointed cell primarily associated with?

<p>What is the pointed cell primarily associated with?</p>
6
New cards

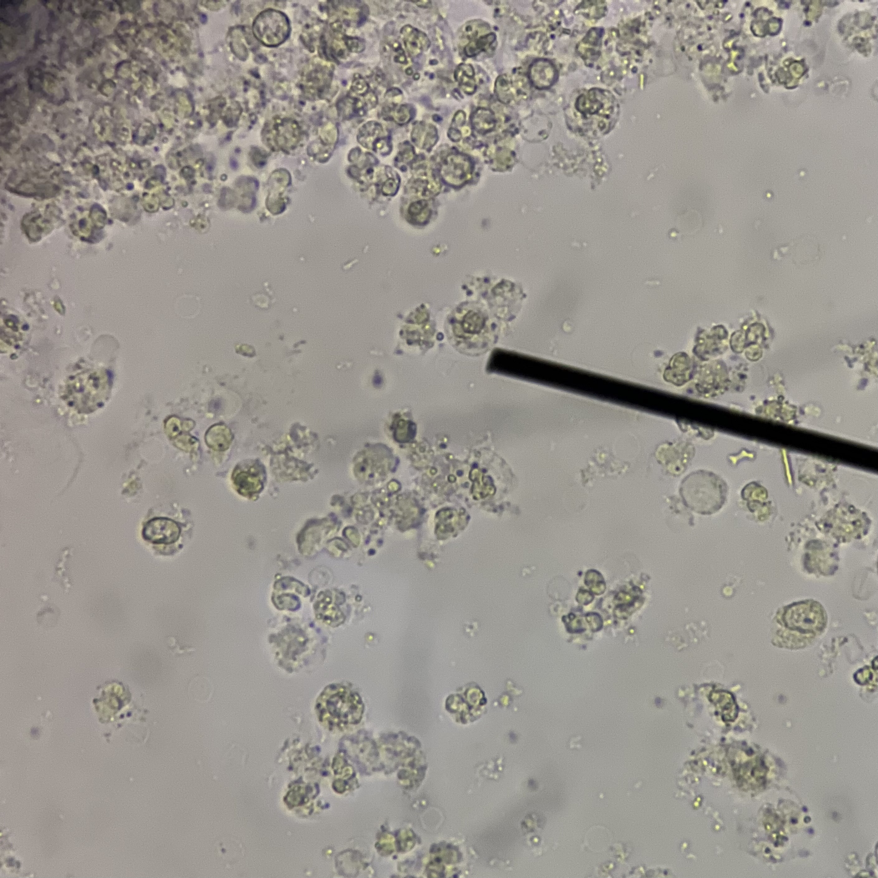
White Blood Cell

Identify cell.

<p>Identify cell.</p>
7
New cards
  1. Glitter Cell

  2. Brownian Movement

  1. When lysed, what is the specific name of the pointed structure?

  2. What is the phenomenon responsible for this?

<ol><li><p>When lysed, what is the specific name of the pointed structure?</p></li><li><p>What is the phenomenon responsible for this?</p></li></ol><p></p>
8
New cards

Light blue

When stained with Sternheimer-Malbin, what is the color of the pointed structure?

<p>When stained with Sternheimer-Malbin, what is the color of the pointed structure?</p>
9
New cards

Squamous Epithelial Cell

Identify pointed structure.

<p>Identify pointed structure.</p>
10
New cards
  1. Clue Cell

  2. Gardnerella vaginalis

  1. What type of cell is labeled ‘A’ when found in a person with STI?

  2. What is the bacteria associated with cell labeled ‘A’?

<ol><li><p>What type of cell is labeled ‘A’ when found in a person with STI?</p></li><li><p>What is the bacteria associated with cell labeled ‘A’?</p></li></ol><p></p>
11
New cards

Transitional Epithelial Cell / Urothelial Cell

Identify cell labeled ‘D’.

<p>Identify cell labeled ‘D’.</p>
12
New cards

Renal pelvis, Calyces, Ureters, Upper portion of male urethra

Where does cell labeled ‘D’ originate?

<p>Where does cell labeled ‘D’ originate?</p>
13
New cards

Renal Tubular Epithelial Cell

Identify structure labeled ‘B’.

<p>Identify structure labeled ‘B’.</p>
14
New cards
  1. Eccentrically located nucleus.

  2. Proximal Convoluted Cell, Distal Convoluted Cell, Collecting Duct Renal Tubular Epithelial Cell

  1. Describe the nucleus of cell labeled ‘B’.

  2. Give the 3 kinds of this cell.

<ol><li><p>Describe the nucleus of cell labeled ‘B’.</p></li><li><p>Give the 3 kinds of this cell.</p></li></ol><p></p>
15
New cards
  1. Oval Fat Body

  2. Sudan III or Oil Red O

  1. Identify structure.

  2. Give 1 example of stain used to visualize the cell.

<ol><li><p>Identify structure.</p></li><li><p>Give 1 example of stain used to visualize the cell.</p></li></ol><p></p>
16
New cards
  1. Bacteria

  2. Bacilli

  1. Identify structure found in urine.

  2. What is the morphology?

<ol><li><p>Identify structure found in urine.</p></li><li><p>What is the morphology?</p></li></ol><p></p>
17
New cards

Urinary Tract Infection

When found alongside with WBC, what is the diagnosis of the patient infected?

<p>When found alongside with WBC, what is the diagnosis of the patient infected?</p><p></p>
18
New cards
  1. Budding Yeast Cell

  2. Candida Albicans

  1. Identify pointed structure.

  2. What primary infects patient with this structure?

<ol><li><p>Identify pointed structure.</p></li><li><p>What primary infects patient with this structure?</p></li></ol><p></p>
19
New cards
  1. Schistosoma haematobium, ova

  2. Central, terminal spine

  1. Identify structure.

  2. What is the striking feature of the structure?

<ol><li><p>Identify structure.</p></li><li><p>What is the striking feature of the structure?</p></li></ol><p></p>
20
New cards

Enterobius vermicularis, ova

Identify structure.

<p>Identify structure.</p>
21
New cards
  1. Spermatozoa

  2. Protein

  1. Identify pointed structure.

  2. What reagent strip parameter may be positive when a lot of this structure is found in patient’s sample?

<ol><li><p>Identify pointed structure.</p></li><li><p>What reagent strip parameter may be positive when a lot of this structure is found in patient’s sample?</p></li></ol><p></p>
22
New cards
  1. Mucus

  2. Tamm-Horsfall proteins

  1. Identify pointed structure.

  2. What is the pointed structure made up of?

<ol><li><p>Identify pointed structure.</p></li><li><p>What is the pointed structure made up of?</p></li></ol><p></p>
23
New cards
  1. Hyaline Cast

  2. None

  1. Identify pointed structure.

  2. Normally, what disease is associated with this structure?

<ol><li><p>Identify pointed structure.</p></li><li><p>Normally, what disease is associated with this structure?</p></li></ol><p></p>
24
New cards
  1. Red Blood Cell Cast

  2. Glomerulonephritis

  1. Identify structure.

  2. What disease is this structure primarily associated with?

<ol><li><p>Identify structure.</p></li><li><p>What disease is this structure primarily associated with?</p></li></ol><p></p>
25
New cards
  1. White Blood Cell Cast

  2. Pyelonephritis

  1. Identify structure.

  2. What is this structure associated with?

<ol><li><p>Identify structure.</p></li><li><p>What is this structure associated with?</p></li></ol><p></p>
26
New cards
  1. Bacterial Cast

  2. Bacilli organisms

  1. Identify pointed structure.

  2. What organisms is this structure mainly made up of?

<ol><li><p>Identify pointed structure.</p></li><li><p>What organisms is this structure mainly made up of?</p></li></ol><p></p>
27
New cards
  1. Epithelial Cell Cast

  2. Distal Convoluted Renal Tubular Epithelial Cell

  1. Identify structure.

  2. What is this structure specifically made up of?

<ol><li><p>Identify structure.</p></li><li><p>What is this structure specifically made up of?</p></li></ol><p></p>
28
New cards
  1. Fatty Cast

  2. Nephrotic Syndrome

  1. Identify cast.

  2. What syndrome is this cast frequently associated with?

<ol><li><p>Identify cast.</p></li><li><p>What syndrome is this cast frequently associated with?</p></li></ol><p></p>
29
New cards
  1. Miced Cellular Cast

  2. Glomerulonephritis and Pyelonephritis

  1. Identify pointed structure.

  2. What pathologic conditions is this structure associated with?

<ol><li><p>Identify pointed structure.</p></li><li><p>What pathologic conditions is this structure associated with?</p></li></ol><p></p>
30
New cards

Coarse Granular Cast

Identify pointed structure.

<p>Identify pointed structure.</p>
31
New cards
  1. Waxy Cast

  2. End Stage Renal Disease Cast

  1. Identify pointed structure.

  2. What is the other name of this structure?

<ol><li><p>Identify pointed structure.</p></li><li><p>What is the other name of this structure?</p></li></ol><p></p>
32
New cards
  1. Broad Cast

  2. Renal Failure Cast

  1. Identify pointed structure.

  2. What is the other name of this?

<ol><li><p>Identify pointed structure.</p></li><li><p>What is the other name of this?</p></li></ol><p></p>
33
New cards
  1. Amorphous urates

  2. Uroerythrin

  1. Identify crystals seen in acidic urine.

  2. What is name of the pigment in these crystals?

<ol><li><p>Identify crystals seen in acidic urine.</p></li><li><p>What is name of the pigment in these crystals?</p></li></ol><p></p>
34
New cards
  1. Sodium Urates

  2. Synovial Fluid

  1. Identify pointed crystal.

  2. What specimen is this crystal found in?

<ol><li><p>Identify pointed crystal.</p></li><li><p>What specimen is this crystal found in?</p></li></ol><p></p>
35
New cards
  1. Calcium oxalate dihydrate crystal

  2. Oxalic acid

  1. Identify pointed structure.

  2. What type of content is high in foods where this crystal is found?

<ol><li><p>Identify pointed structure.</p></li><li><p>What type of content is high in foods where this crystal is found?</p></li></ol><p></p>
36
New cards

Amorphous Phosphates

Identify crystals found in alkaline urine.

<p>Identify crystals found in alkaline urine.</p><p></p>
37
New cards
  1. Triple Phosphate

  2. Ammonium magnesium phosphate

  1. Identify pointed structure.

  2. What is this structure made up of?

<ol><li><p>Identify pointed structure.</p></li><li><p>What is this structure made up of?</p></li></ol><p></p>
38
New cards
  1. Calcium Phosphate

  2. Renal Calculi

  1. Identify pointed structure found in alkaline urine.

  2. This is a common constituent of?

<ol><li><p>Identify pointed structure found in alkaline urine.</p></li><li><p>This is a common constituent of?</p></li></ol><p></p>
39
New cards

Calcium Carbonate

Identify structure found in alkaline urine.

<p>Identify structure found in alkaline urine.</p><p></p>
40
New cards
  1. Ammonium Biurate Crystals

  2. Thorny apple

  1. Identify pointed structure.

  2. Describe the morphology.

<ol><li><p>Identify pointed structure.</p></li><li><p>Describe the morphology.</p></li></ol><p></p>
41
New cards
  1. Cystine Crystal

  2. Cyanide-nitroprusside test

  1. Identify pointed structure.

  2. What test confirms the presence of this crystal?

<ol><li><p>Identify pointed structure.</p></li><li><p>What test confirms the presence of this crystal?</p></li></ol><p></p>
42
New cards
  1. Cholesterol Crystal

  2. Fatty Cast and Oval Fat Body

  1. Identify structure.

  2. What other structures is this pointed structure usually seen with?

<ol><li><p>Identify structure.</p></li><li><p>What other structures is this pointed structure usually seen with?</p></li></ol><p></p>
43
New cards
  1. Radiographic Dye Crystal

  2. Increased Specific Gravity (more than 1.035)

  1. Identify pointed structure.

  2. What differentiates this structure from the other morphologically the same structure?

<ol><li><p>Identify pointed structure.</p></li><li><p>What differentiates this structure from the other morphologically the same structure?</p></li></ol><p></p>
44
New cards
  1. Tyrosine Crystal

  2. Inherited disorders of Amino-Acid metabolism

  1. Identify pointed structure.

  2. In what disorder is this structure seen?

<ol><li><p>Identify pointed structure.</p></li><li><p>In what disorder is this structure seen?</p></li></ol><p></p>
45
New cards
  1. Calcium Oxalate Monohydrate Crystal

  2. Ethylene Glycol Poisoning

  1. Identify pointed structure.

  2. What is this structure associated with?

<ol><li><p>Identify pointed structure.</p></li><li><p>What is this structure associated with?</p></li></ol><p></p>
46
New cards
  1. Leucine Crystal

  2. Radial striations

  1. Identify structure.

  2. What is the striking feature of this crystal that differentiates it from a morphologically the same urinary artifact?

<ol><li><p>Identify structure.</p></li><li><p>What is the striking feature of this crystal that differentiates it from a morphologically the same urinary artifact?</p></li></ol><p></p>
47
New cards
  1. Bilirubin Crystal

  2. Bilirubin

  1. Identify structure.

  2. What reagent strip parameter is positive when this structure is present?

<ol><li><p>Identify structure.</p></li><li><p>What reagent strip parameter is positive when this structure is present?</p></li></ol><p></p>
48
New cards
  1. Sulfonamide Crystal

  2. Inadequate patient hydration

  1. Identify pointed structure.

  2. What is the primary cause of the formation of this crystal?

<ol><li><p>Identify pointed structure.</p></li><li><p>What is the primary cause of the formation of this crystal?</p></li></ol><p></p>
49
New cards
  1. Starch Granule

  2. Dimpled center

  1. Identify pointed structure.

  2. What is the striking feature of this structure.

<ol><li><p>Identify pointed structure.</p></li><li><p>What is the striking feature of this structure.</p></li></ol><p></p>
50
New cards
  1. Oil droplets and air bubbles

  2. Red Blood Cells

  1. Identify structure.

  2. What cell may this structure resemble?

<ol><li><p>Identify structure.</p></li><li><p>What cell may this structure resemble?</p></li></ol><p></p>
51
New cards
  1. Pollen Grain

  2. Leucine Crystal

  1. Identify structure.

  2. What crystal is this structure closely similar with?

<ol><li><p>Identify structure.</p></li><li><p>What crystal is this structure closely similar with?</p></li></ol><p></p>