1/34
Looks like no tags are added yet.
Name | Mastery | Learn | Test | Matching | Spaced | Call with Kai |
|---|
No study sessions yet.
Which arm compartment performs elbow flexion and forearm supination?
Anterior arm compartment
Which muscles are in the anterior arm compartment?
Biceps brachii (long & short heads), brachialis, coracobrachialis
Which arm compartment performs elbow extension?
Posterior arm compartment
Which muscle dominates the posterior arm compartment?
Triceps brachii
What is the primary function of the anterior (volar) forearm compartment?
Wrist flexion, finger flexion, forearm pronation
On MRI, which compartment would you click for finger flexion?
Anterior (volar) forearm compartment
Superficial muscles of the anterior forearm mainly do what?
Wrist flexion and pronation
Deep muscles of the anterior forearm mainly do what?
Finger flexion (FDP, FPL)
What is the primary function of the posterior (dorsal) forearm compartment?
Wrist extension, finger extension, supination
On MRI, which compartment would you click for finger extension?
Posterior (dorsal) forearm compartment
Which posterior forearm muscle is a supinator (deep)?
Supinator
Primary function of the anterior thigh compartment?
Knee extension (± hip flexion)
Main muscle group in the anterior thigh?
Quadriceps femoris
Primary function of the medial thigh compartment?
Hip adduction
On MRI, which compartment would you click for adducting the thigh?
Medial thigh compartment
Primary function of the posterior thigh compartment?
Hip extension and knee flexion
Which muscle group dominates the posterior thigh?
Hamstrings
Primary function of the anterior leg compartment?
Dorsiflexion of the foot and toe extension
MRI hotspot asks “Click the muscle that dorsiflexes the foot.” Where do you click?
Anterior leg compartment
Primary function of the lateral leg compartment?
Foot eversion
Primary function of the superficial posterior leg compartment
Plantarflexion
Which muscles dominate superficial posterior leg?
Gastrocnemius, soleus
Primary function of the deep posterior leg compartment?
Toe flexion and plantarflexion (support arch)
MRI hotspot asks“Click the muscle that flexes the toes.” Where do you click?
Deep posterior leg compartment

spondylolysis

spondylolysis

Spondilolisthesis

Spondylosis

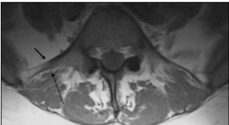
Iliolumbar ligament at L5

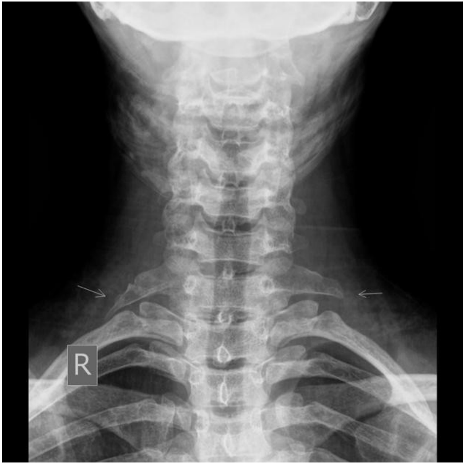
Accessory rib arising from 7th cervical vertebra

Failure of separation of two or more adjacent vertebral bodies Klippel-Feil Syndrome

Hemivertebrae common cause of congenital scoliosis

Butterfly vertebrae - anterior spina bifida

Limbus vertebrae
Unfused secondary ossification center, usually anterosuperior corner • Nucleus pulposus herniates through vertebral body endplate beneath ring apophysi

Schmorl Nodes • Herniation of intervertebral disk into and through central portion of end plate