1/34
so far it includes... -quiz 3 +quiz 4
Name | Mastery | Learn | Test | Matching | Spaced |
|---|
No study sessions yet.
what positioning maneuver is used to prevent radial crossover when performing the AP projection of the forearm
supinate the hand
when performing the stecher method of the wrist using an agle sponge, the central ray is directed…
1)at a 20 degree angle toward the elbow joint
2)at a 15 degree angle toward the wrist
3) pepindicular to the mid-carpal region
4)at a 25-30 degree angle toward the long axis of the hand
3
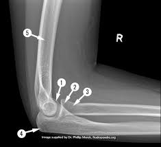
the ___ process on the proximal ukna articulates with the ___ of the distal hummerus when the elbow joint is in flexion.
coronoid process; coronoid fossa
radial notch is where

radial tuberosity is where


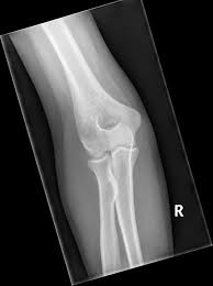
AP projction of elbow

lateral projction of elbow

45 degree medial oblique of elbow

45 degree lateral oblique of elbow
what projection is performed o image the thumb
AP AXIAL projection

where is the base of metacarpals facing
towards the carpals
what hand projection best demonstrates displacement of the metacarpals
lateral

what carpal is attached to the wrist in this pic
lunate/semilunar
all of the following regardin the 45 degree medial oblique positions of the elbow are true exceot….
1)the coronoid process of the ulna is in profile
2)the olecranon process of the ulna is visualized within the olecranon fossa of the humerus
3)the radial head and capitellum of the humerus are free of superimposing structures
4)when positioning the patuent the hand is pronated
3
which of the following is nnot true regarding the AP prohection of the wrist
1)it may be taken with the hand slightly arched on an angle sponge
2) it better demonstrates the carpal interspaces. placing them parallel to the divergent x-ray beam
3) it elongates the scaphoid/navicular
4)it reduces the OID between the wrist and image receptor
3
what is triquetal also called
cuniform & triangular
The shoulder girdle is formed by the…
clavicle and scapula
Which rib will be elongated on the oblique position of a Right Posterior Ribs
1)RAO, 2)LAO, 3)RPO, 4)LPO
RPO
Which rib will be elongated on the oblique position of a Right Anterior Ribs
1)RAO, 2)LAO, 3)RPO, 4)LPO
LAO
Which rib will be elongated on the oblique position of a Left Anterior Ribs
1)RAO, 2)LAO, 3)RPO, 4)LPO
RAO
Which rib will be elongated on the oblique position of a Left Posterior Ribs
1)RAO, 2)LAO, 3)RPO, 4)LPO
LPO
What is the required anatomical structures for an AP of the shoulder?
the entire proximal humerus, the scapula, the majority of the clavicle
(note this image doesnt’t have the full scapula so it wouldnt have everything required)


AP - internal rotation

what is C?
manubrium

what is E?
body, corpus, gladiolus
The AP projection of the shoulder with the hand supinated will best demonstrate…
greater tuberosity
what vertebral level is the suprasternal notch on?
T2-T3
what vertebral level is the xiphoid process on?
T9-T10
what vertebral level is the sternal angle on?
T4-T5
what vertebral level is the sternoclavicular joint on?
T1-T2
what vertebral level is the manubrial notch on?
T2-T3
What maneuvers will draw the axillary border of the scapula away from the bony thorax when performing an AP projection?
Abduct the arm and flex the elbow 90 degrees

Acromion process
What is the purpose of performing a PA projection of the chest as a part of the rib routine?
the exposure factors used for the PA projection of the chest will better demonstrate a possible pneumothorax or hemothorax caused by a rib fracture