L5 - Benign Bone Tumors

0.0(0)
studied byStudied by 0 people
0.0(0)
full-widthCall with Kai
GameKnowt Play
New
learnLearn
examPractice Test
spaced repetitionSpaced Repetition
heart puzzleMatch
flashcardsFlashcards
Card Sorting

1/71

encourage image

There's no tags or description

Looks like no tags are added yet.

Study Analytics
Name
Mastery
Learn
Test
Matching
Spaced

No study sessions yet.

72 Terms

1
New cards

Lateral proximal tibia

Bone

<p>Bone</p>
2
New cards

- Longitudinal: epiphysis/metaphysis (up to joint surface)

- Eccentricity: eccentric

- Transverse: medullary

Location

<p>Location</p>
3
New cards

Monostotic

Mono/polyostotic

<p>Mono/polyostotic</p>
4
New cards

>1 cm

Size

<p>Size</p>
5
New cards

- Lytic

- Geographic

- Short zone of transition

Behavior

<p>Behavior</p>
6
New cards

- Cortical thinning

- Cortical expansion

Cortex

<p>Cortex</p>
7
New cards

Nothing visible

Matrix

<p>Matrix</p>
8
New cards

None

Periosteal reaction

<p>Periosteal reaction</p>
9
New cards

Soft tissue swelling

Soft tissue involvement

<p>Soft tissue involvement</p>
10
New cards

Joint surface involved

Joint involvement

<p>Joint involvement</p>
11
New cards

Giant cell tumor

Most likely diagnosis?

<p>Most likely diagnosis?</p>
12
New cards

Refer to orthopedist or oncologist

Next step?

<p>Next step?</p>
13
New cards

Could be aggressive (20%)

Concerns/complications?

<p>Concerns/complications?</p>
14
New cards

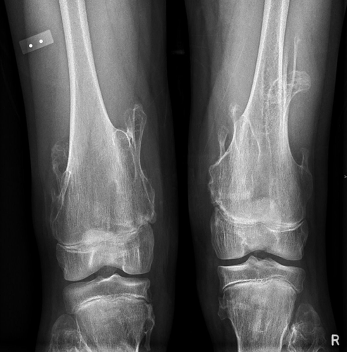
- Distal femur involved

- Elongated stalk

- Cortex and medulla are continuous

- Pointing away from joint

- Narrow base

Describe the bone lesion

<p>Describe the bone lesion</p>
15
New cards

Pedunculated solitary osteochondroma

Most likely diagnosis?

<p>Most likely diagnosis?</p>
16
New cards

Refer to orthopedist

Next step?

<p>Next step?</p>
17
New cards

- Fracture

- Malignant transformation (chondrosarcoma)

- Bursitis

- Neurologic injury

Concerns/complications?

<p>Concerns/complications?</p>
18
New cards

- Distal femur

- Metaphysis

- Anterolateral

- Broad base

- Cortex and medulla continuous

Describe the bone lesion

<p>Describe the bone lesion</p>
19
New cards

Sessile solitary osteochondroma

Most likely diagnosis?

<p>Most likely diagnosis?</p>
20
New cards

Hereditary multiple exostoses

Most likely diagnosis?

<p>Most likely diagnosis?</p>
21
New cards

Malignant transformation (5-25%)

Concerns/complications?

<p>Concerns/complications?</p>
22
New cards

Inherited metaphyseal overgrowth

How do you get this?

<p>How do you get this?</p>
23
New cards

- Superior aspect of sacrum on right side

- Lucent/opaque brush-border oval

Describe the lesion

<p>Describe the lesion</p>
24
New cards

Bone island

Most likely diagnosis?

<p>Most likely diagnosis?</p>
25
New cards

Nothing

Next step?

<p>Next step?</p>
26
New cards

Osteochondroma

Concerns/complications?

<p>Concerns/complications?</p>
27
New cards

- Ulna

- Diaphysis

- Sclerotic

- Small, lucent nidus (< 1cm) in the cortex

- Geographic)

- Cortical thickening

Describe the lesion

<p>Describe the lesion</p>
28
New cards

Osteoid osteoma

Most likely diagnosis?

<p>Most likely diagnosis?</p>
29
New cards

Severe pain (worse at night, relieved by aspirin)

What is the hallmark history of a patient with this lesion?

<p>What is the hallmark history of a patient with this lesion?</p>
30
New cards

- Refer to orthopedist

- Adjust spine

Next step?

<p>Next step?</p>
31
New cards

None

Concerns/complications?

<p>Concerns/complications?</p>
32
New cards

Paranasal sinus

What is the location of the lesion?

<p>What is the location of the lesion?</p>
33
New cards

Osteoma

Most likely diagnosis?

<p>Most likely diagnosis?</p>
34
New cards

Headaches

Concerns/complications?

<p>Concerns/complications?</p>
35
New cards

Refer to EENT

What is your next step?

<p>What is your next step?</p>
36
New cards

L1

What vertebral level is involved?

<p>What vertebral level is involved?</p>
37
New cards

- Solitary vascular neoplasm

- Slow-growing

- Vertical striations (corduroy cloth)

- Fatty lesion

Describe the bone lesion

<p>Describe the bone lesion</p>
38
New cards

Vertebral hemangioma

Most likely diagnosis?

<p>Most likely diagnosis?</p>
39
New cards

- None with this patient

- Expansion (rare) may result in neurologic findings

Concerns/complications?

<p>Concerns/complications?</p>
40
New cards

Lumbar

What spinal anatomy is involved?

<p>What spinal anatomy is involved?</p>
41
New cards

- Fat body

- Mammillary process

- Posteromedial facets

Are there any distinguishing features?

<p>Are there any distinguishing features?</p>
42
New cards

Vertebral hemangioma

Most likely diagnosis?

<p>Most likely diagnosis?</p>
43
New cards

Adjust

Next step?

<p>Next step?</p>
44
New cards

- Head of 5th metacarpal

• Cortical thinning

• Lucency in head

• Pathologic fracture

• Stippled calcification

• Cartilaginous matrix

• Geographic

• Short zone of transition

Describe the lesion

<p>Describe the lesion</p>
45
New cards

Solitary enchondroma

Most likely diagnosis?

<p>Most likely diagnosis?</p>
46
New cards

Fracture

What complication has occurred?

<p>What complication has occurred?</p>
47
New cards

Refer to orthopedist

Next step?

<p>Next step?</p>
48
New cards

Multiple enchondromas (Ollier's disease)

Diagnosis?

<p>Diagnosis?</p>
49
New cards

- Malignant transformation (10-50%)

- Fracture

Concerns/complications?

<p>Concerns/complications?</p>
50
New cards

- Flocculent calcification

- Metaphysis/diaphysis

- Enchondroma

- Cartilaginous matrix

Describe the lesion

<p>Describe the lesion</p>
51
New cards

Enchondroma

Most likely diagnosis?

<p>Most likely diagnosis?</p>
52
New cards

Malignant transformation (rare)

Concerns/complications?

<p>Concerns/complications?</p>
53
New cards

Refer to orthopedist

Next step?

<p>Next step?</p>
54
New cards

- Solitary

- Eccentric

- Geographic

- Multiloculated

- Fibrous matrix

- Small

- Cortical thinning

- Sclerotic border

Describe the lesion

<p>Describe the lesion</p>
55
New cards

Non-Ossifying Fibroma

Diagnosis?

<p>Diagnosis?</p>
56
New cards

Nothing

Next step?

<p>Next step?</p>
57
New cards

- Anterolateral distal tibia

- Metaphysis

- Septation

- Cortical thinning

- Geographic

- Sclerotic border

- Fibrous matrix

Describe the lesion

<p>Describe the lesion</p>
58
New cards

Non-Ossifying Fibroma

Diagnosis?

<p>Diagnosis?</p>
59
New cards

- Look for fracture

- Refer to orthopedist

Next step?

<p>Next step?</p>
60
New cards

- Humerus

- Central

- Diaphysis

- Geographic

- Cortical thinning

Describe the lesion

<p>Describe the lesion</p>
61
New cards

Pathologic fracture

What complication has occurred?

<p>What complication has occurred?</p>
62
New cards

Simple bone cyst

Most likely diagnosis?

<p>Most likely diagnosis?</p>
63
New cards

Refer to orthopedist

Next step?

<p>Next step?</p>
64
New cards

- Proximal fibula

- Metaphysis/diaphysis

- Eccentric

- Saccular ballooning of cortex

- Periosteal buttressing

Describe the lesion

<p>Describe the lesion</p>
65
New cards

Aneurysmal bone cyst

Most likely diagnosis?

<p>Most likely diagnosis?</p>
66
New cards

Refer to orthopedist

Next step?

<p>Next step?</p>
67
New cards

- Fluid-Fluid Levels

- Aneurysmal bone cyst

- Are there any features that help you diagnose this lesion?

- What is the most likely diagnosis?

<p>- Are there any features that help you diagnose this lesion?</p><p>- What is the most likely diagnosis?</p>
68
New cards

Bone chips

What has occurred?

<p>What has occurred?</p>
69
New cards

- Body of calcaneus

- Geographic

- Lucent

- Central target sequestrum

Describe the lesion

<p>Describe the lesion</p>
70
New cards

Intraosseous lipoma

Most likely diagnosis?

<p>Most likely diagnosis?</p>
71
New cards

Refer to orthopedist or specialist

Next step?

<p>Next step?</p>
72
New cards

Heel spur

What is going on with the posteroinferior calcaneus?

<p>What is going on with the posteroinferior calcaneus?</p>