1/95
Looks like no tags are added yet.
Name | Mastery | Learn | Test | Matching | Spaced |
|---|
No study sessions yet.
esophagus
slide

mucosa - esophagus
1, 2, 3

non keratinzed stratifed squamous epithelium - esophagus
1

lamina propria - esophagus
2

muscularis mucosae - esophagus
3

submucosa - esophagus
4

muscularis externa - esophagus
5, 6

circular muscle - esophagus
5

longitudinal muscle - esophagus
6

adventitia - esophagus
7

stomach
slide

mucosa - stomach
1,2,3,4,6

simple columnar epithelium - stomach
2

gastric pits - stomach
1

lamina propria - stomach
3

gastric glands - stomach
6

muscularis mucosae - stomach
4

submucosa - stomach
5

muscularis externa - stomach
7, 8

circular muscle - stomach
7

longitudinal muscle - stomach
8

serosa - stomach
9

small intestine
slide

mucosa - small intestine
1, 2, 3, 4, 5

villus - small intestine
1

simple columnar epithelium - small intestine
2

goblet cells - small intestine
3

lamina propria - small intestine
4

intestinal glands - small intestine
5

submucosa - small intestine
6

muscularis externa - small intestine
7,8

circular muscle - small intestine
7

longitudinal muscle - small intestine
8

serosa - small intestine
9

large intestine, colon
slide

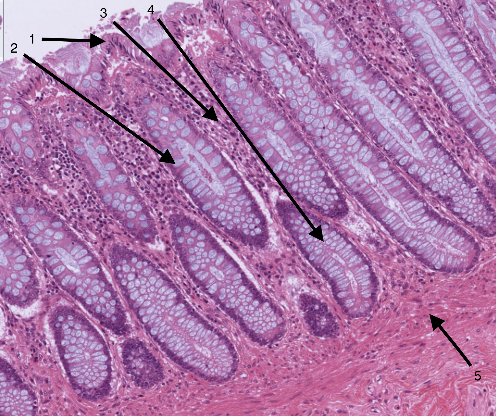
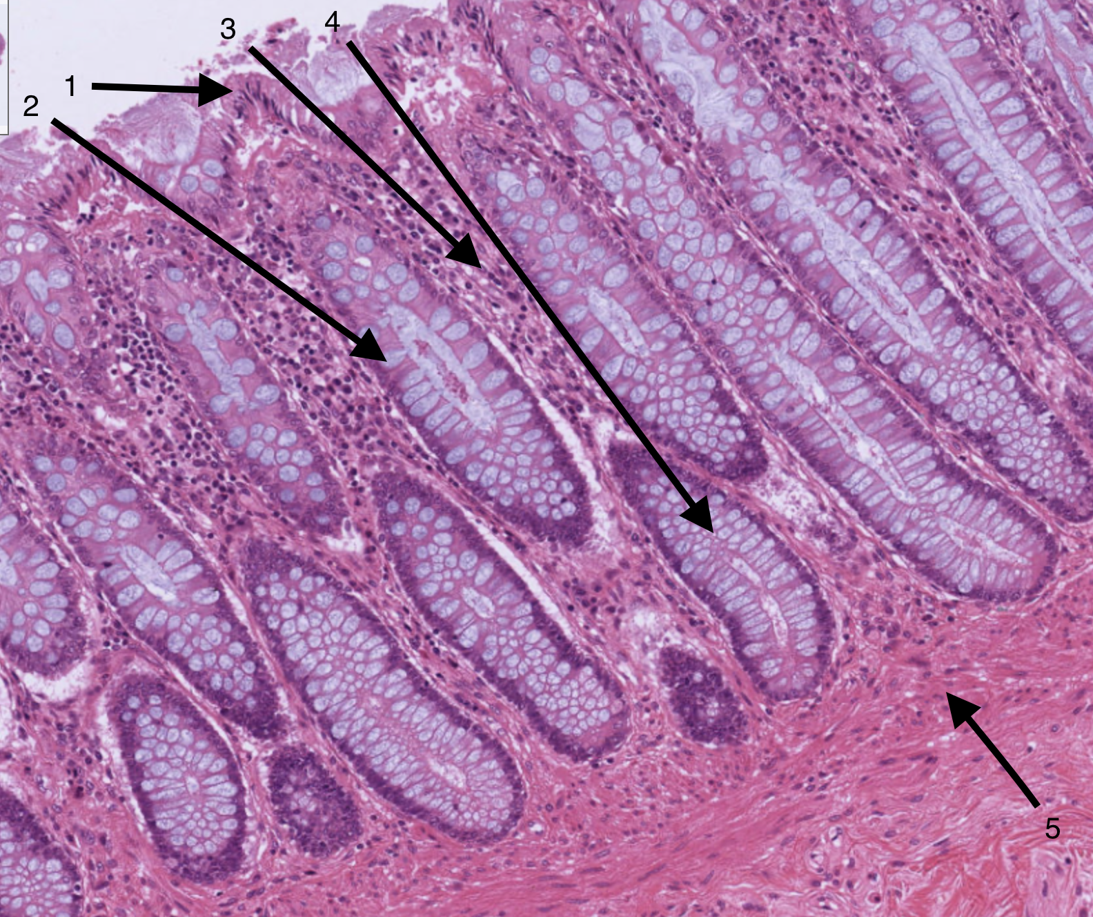
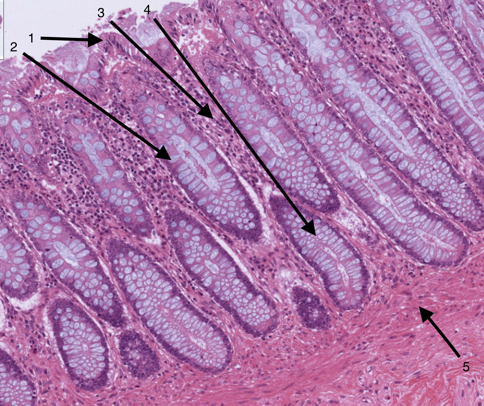
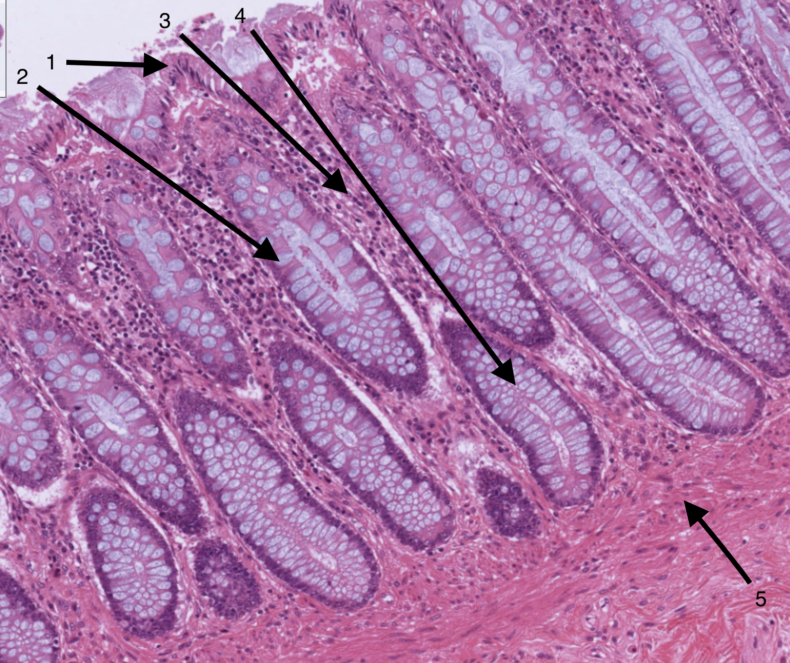
mucosa - large intestine
1,2,3,4,5

simple columnar epithelium - large intestine
1

goblet cells - large intestine
2

lamina propria - large intestine
3

intestinal glands - large intestine
4

muscularis mucosae - large intestine
5

submucosa - large intestine
6

muscularis externa - large intestine
7,8

circular muscle - large intestine
7

longitudinal muscle - large intestine
8

serosa - large intestine
9

liver
slide

hepatocytes - liver
1

sinusoids - liver
2

central vein - liver
3

portal triad - liver
4

pancreas
slide

pancreatic acini - pancreas

pancreatic duct - pancreas

pituitary gland
slide

adenohypophysis - pituitary gland
1

neurohypophysis - pituitary gland
2

thyroid glandÂ
slide

follicles - thyroid glandÂ
1

follicular cells - thyroid glandÂ
2

adrenal gland
slide

capsule - adrenal gland
1

cortex - adrenal gland
2

medulla - adrenal gland
3

pancreas
slide

pancreatic islets - pancreas

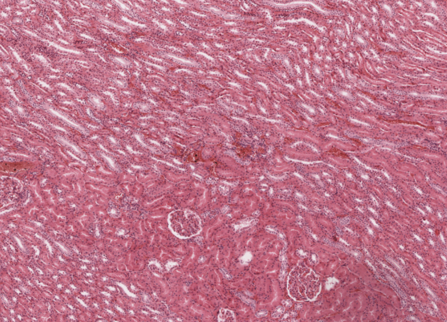
kidney
slide

cortex - kidney
whole area

renal corpuscle - kidney
both 1 & 3

glomerulus - kidney
1

capsular space - kidney
2

Bowman’s capsule - kidney
3

convoluted tubules - kidney
4

medulla - kidney
whole area

nephron loop - kidney

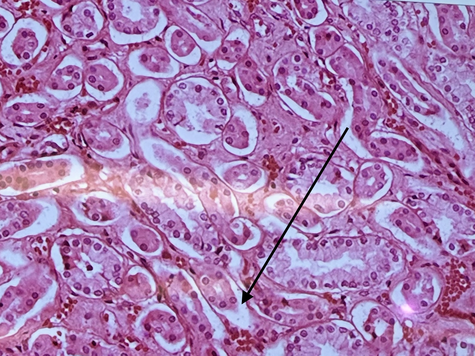
transitional epithelium
slide

basement membrane - transitional epithelium
pointer

testis
slide

seminiferous tubules - testis
1

interstitial cells - testis
2

epididymis
slide

penis
slide

urethra - penis
1

corpus spongiosum - penis
2

ovary
slide

primordial ovarian follicle - ovary

primary ovarian follicle - ovary

secondary ovarian follicle - ovary

tertiary ovarian follicle - ovary
1

secondary oocyte - ovary
2

vagina
slide

non-keratinzed stratified squamous epithelium - vagina

uterus
slide

endometrium - uterus
1

myometrium - uterus
2

perimetrium - uterus
3
