1/115
Looks like no tags are added yet.
Name | Mastery | Learn | Test | Matching | Spaced | Call with Kai |
|---|
No study sessions yet.
the four basic tissue types found in the human body are
-epithelial
-connective
-muscle
-neural
Through the process of diferentiation
each cell specializes to perform a relatively restricted range of functions
collections of specialized cells and cell products that perform a limited range of functions are called
tissues
epithelial tissue is composed of layers of cells that
cover internal or external surfaces
the primary function of epithelial tissue is
-provide physical protection
-control permeability
-provide sensation
-make specialized secretions
this type of cell junction prevents the passage of water and solutes between cells
tight junction
this type of cell junction connects adjacent cells together so they can endure mechanical stresses (like stretching and Bending)
desmosome
this type of cell junction permits the free diffusion of ions and small molecules between cells
gap junction
The network of protein fibers that allows epithelial cells to underlying connective tissue is called the ________ membrane
basement
The ______ surface of epithelial cells is exposed to a particular environment (for example, the interior of the small intestine) and interacts with the environment in specific ways (ex. absorption or secretion)
apical
continuous division of specialized ______ cells, found in the deepest layers of the epithelium, allows the epithelium to renew itself
stem
the two types of layering used to classify epithelia are
simple and stratified
the three recognizable cell shapes used to classify epithelia are
-squamous
-cuboidal
-columnar
some simple cuboidal epithelial cells are specialized to
-secrete enzymes
-buffers in the pancreas
-salivary glands
in the ureters and urinary bladder, where large changes in volume occur, the primary epithelial type is
transitional
stratified squamous epithelium is found where
mechanical stresses are severe, such as the lining of the mouth
this type of secretion is described as a watery solution containing enzymes
serous
which of the following is not a term used to describe a mechanism of secretion
serous
the type of epithelial cell found in protected regions where absorption takes place or a slippery surface reduces friction is _______
simple squamous
the type of epithelium that typically possesses cilia and lines the nasal cavity, trachea and bronchi is ______
Pseudo-stratified Ciliated Columnar Epithelium
Pseudostratified Ciliated Columnar
function: protection; secretion-trachea

simple squamous
function: when lubricated, helps reduce friction

transitional epithilium
function: permits expantion and recoil

stratified cuboidal
function: ducts of sweat glads-secretion

simple cuboidal
function: limited protection; secretion glands

simple columnar
function: secretion; absorption

stratified squamous
function: physical protection against abration

the three basic components of all connective tissues are
-specialized cells
-extracellular protein fibers
-ground substances
the three classes of connective tissue based on structure and function are
-fluid
-supporting
-connective tissue proper
the major cell types found in connective tissue proper are
-fibroblasts
-macrophages
-fat cells
-mast cells
the primary function of connective tissue include
-support
-protection
-defense
-transportation of materials
-storage of energy reserves
the major purposes of adipose tissue include
-padding
-energy storage
-insulation
the three major subdivisions of the extracellular fluid in the body are
-plasma
-interstitial fluid
-lymph
the two types of supporting connective tissue found in the body are
cartilage and bone
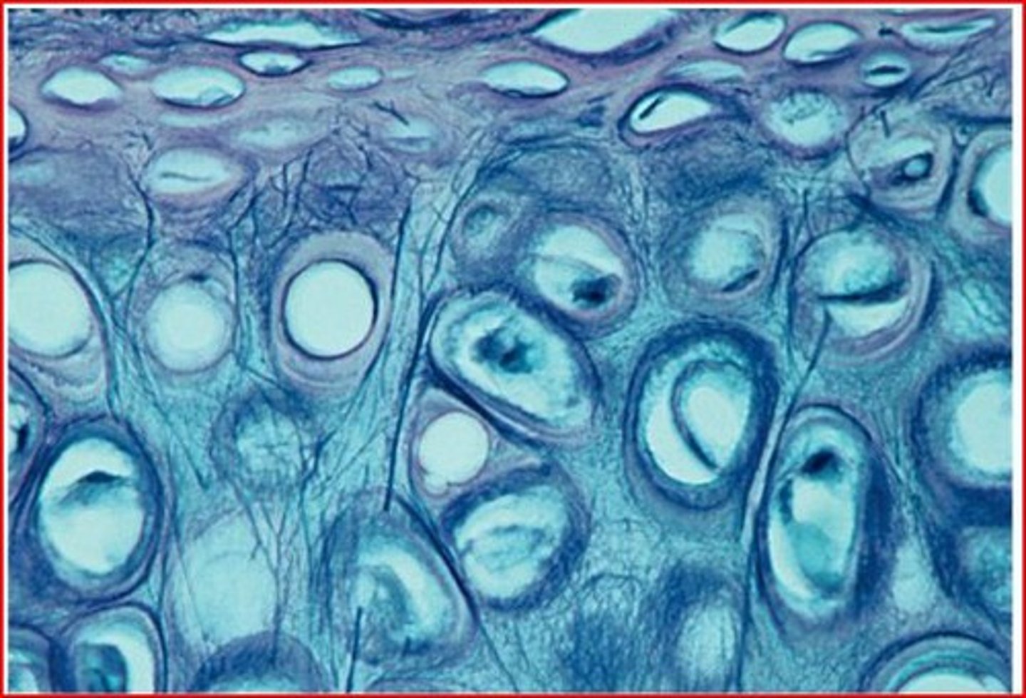
the three major types of cartilage found in the body are
-Hyaline
-Elastic
-Fibrocartilage
the pads that lie between the vertebrae in the vertebral column contain
fibrocartilage
difference between bone and cartilage
-bone is highly vascular but cartilage is not
-bone repairs easily but cartilage does not
-oxygen demand is high in bone but low in cartilage
of the four primary types, the tissue that stores energy in bulk quantities is ______
Connective Tissue
the most common fibers in the connective tissue proper are _____
Collagen
the least specialized connective tissue in the adult body is_____
Areolar
__________ fibers form branching, interwoven framework
Reticular
adipose tissue

fibrocartilage

hyaline cartilage

bone tissue

areolar tissue

dense regular connective tissue

elastic cartilage

the type of membranes lining cavities that communicate with the exterior of the body are
Mucous Membranes
the reduction of friction between the parietal and visceral surfaces of an internal cavity is the function of
Serous Membranes
the pleura, peritoneum, and pericardium are examples of
serous membrane
some mucous membranes are lined by simple epithelia that perform the functions of
absorption and secretion
which of the following membranes consist of epithelial tissue and loose connective tissue?
-Mucous
-Serous
-Cutaneous
-Synovial
the areolar tissue of a mucous membrane is called the __________
Lamina Propria
the membranes associated with freely movable joints are ____________
Synovial
the _____________ membrane is thick, relatively waterproof, and usually dry.
cutaneous
serous

mucous

cutaneous

synovial

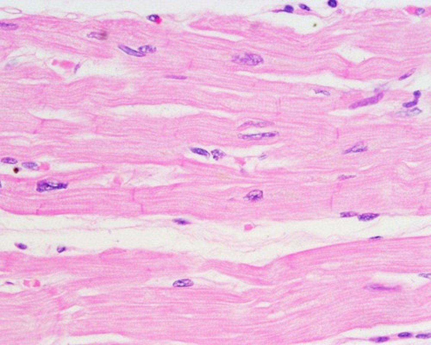
the three types of muscle tissue found in the body are
-cardiac
-smooth
-skeletal
skeletal muscle fibers are very unusual because they may be
-a foot or more in length
-each cell contains hundreds of nuclei.
smooth muscle tissue is most likely found in the
walls of hollow internal organs.
cardiac muscle is different from skeletal muscle in that
-under involuntary control
-has intercalated discs.
smooth muscle is like cardiac muscle in that
-have a single nucleous
-under the involuntary control
a unique feature of muscle tissue is that is capable of _______
Contraction
striated, voluntary, and multinucleate describe the structural and functional characteristics of ___________ muscle
Skeleton muscle
cardiac muscle tissue

smooth muscle tissue

skeletal muscle tissue

neural tissue is specialized to
conduct electrical impulses throughout the body
structurally, neurons are unique because they are the only cells in the body that have
Axons and Dendrites
cells of the nervous system that function to protect, provide nourishment to, and support the neural tissue
Neuroglia
the unidirectional pathway for an impulse to travel through a neuron is
Dendrite-soma(cell body)-axon
Part of a neuron
*Neural Tissue*

the restoration of homeostasis after the injury involves two related processes, which are
-inflammation
-regeneration
redness, warmth, and swelling are the results of increased local blood flow in response to
the release of histamine by mast cells at an injury site
inflammation is the first evidence of
the tissue repair process
during ______, fibroblasts produce a dense network of collagen fibers and damaged tissues are replaced to restore normal function
regeneration
tissue changes with age include
-thinner epithelial tissue
-more brittle connective tissue
-impaired cardiac or neural function from cumulative minor damage.
exocrine secretions
enzymes, milk and prespiration
endocrine secretions
hormones
CAM'S
adhesion molecules in cell junctions
desmosone
durable epithelial cell connection
stem cells
specialized germinative cells
mucin
merocrine secretions
sebaceous glands
holocrine secretions
pericardium
cover the heart
pleura
covers the lung
fibrosis
scar tissue permanently replaces normal tissues
tendons
connect muscle to bone
ligament
connects bone to bone
the portion of a neuron that contains the organells
Soma (Cell Body)
describes discs found between cardiac cells
intercalated
tissue that has the ability to contract
muscle
type of tissue that contains impulses
nervous
an elongated cell that can conduct impulses
neuron
cells that appear to be flat and that line some organs
squamous
connective tissue type that forms a layer separating skin from deeper structures
areolar
a tissue that has a liquid matrix
blood