Biliary system protocol images (midterm);

0.0(0)
studied byStudied by 0 people
full-widthCall with Kai
GameKnowt Play
learnLearn
examPractice Test
spaced repetitionSpaced Repetition
heart puzzleMatch
flashcardsFlashcards
Card Sorting

1/13

encourage image

There's no tags or description

Looks like no tags are added yet.

Study Analytics
Name
Mastery
Learn
Test
Matching
Spaced

No study sessions yet.

14 Terms

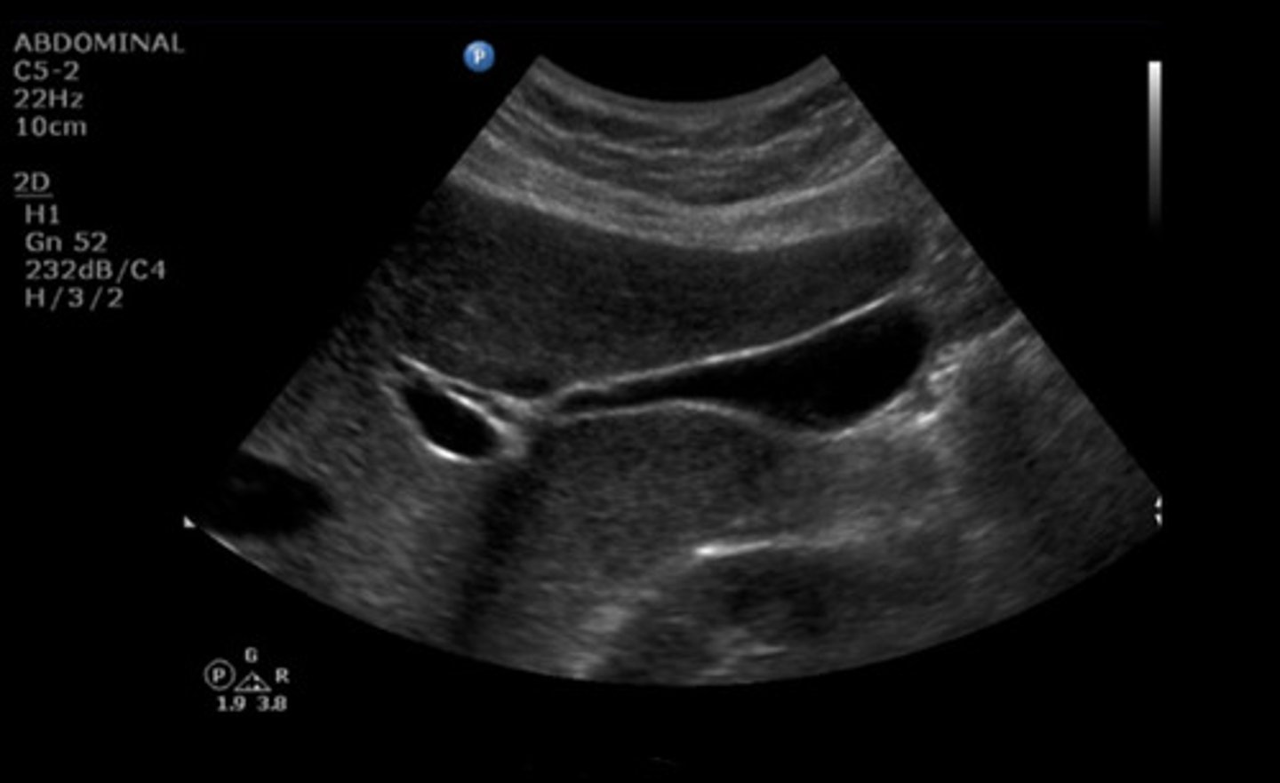
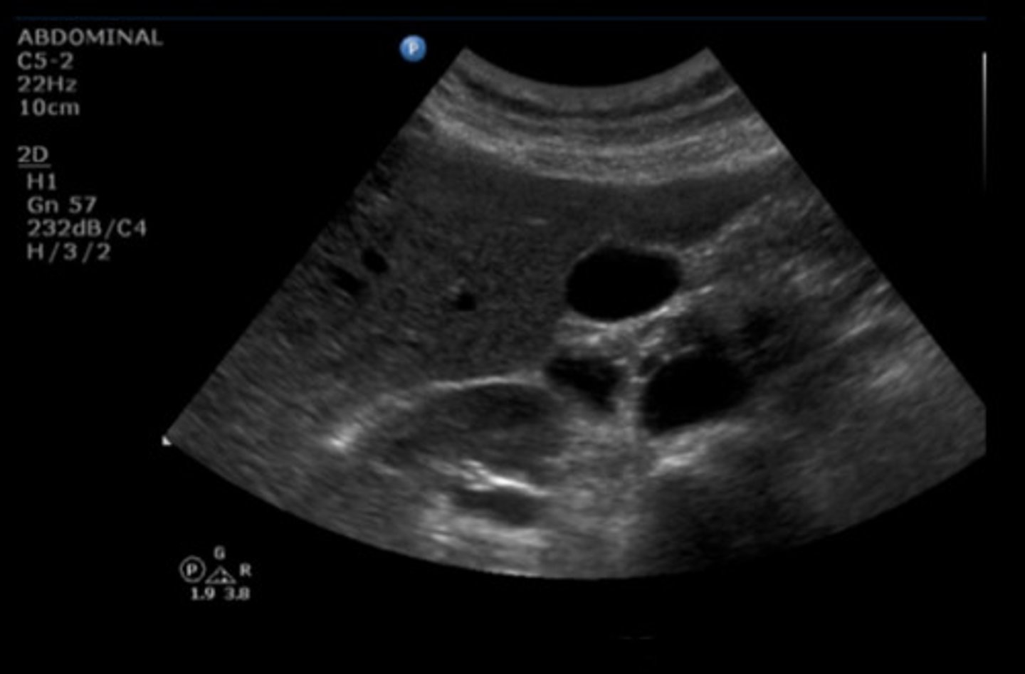
1
New cards

SAG GB RT LAT SUPINE

Identify the following;

<p>Identify the following;</p>
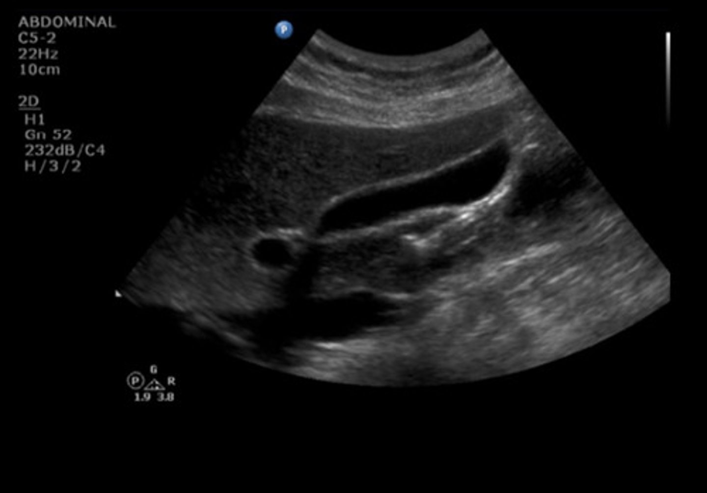
2
New cards

SAG GB MID SUPINE

Identify the following;

<p>Identify the following;</p>
3
New cards

SAG GB LT LAT SUPINE

Identify the following;

<p>Identify the following;</p>
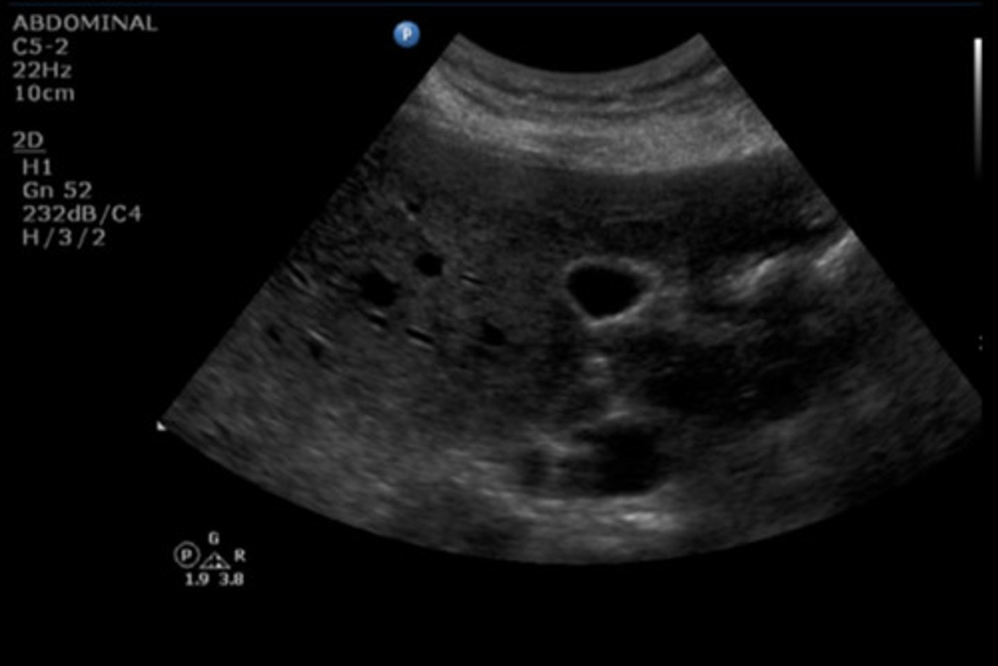
4
New cards

TRV GB FUNDUS SUPINE

Identify the following;

<p>Identify the following;</p>
5
New cards

TRV GB BODY SUPINE

Identify the following;

<p>Identify the following;</p>
6
New cards

TRV GB WALL SUPINE

Identify the following

<p>Identify the following</p>
7
New cards

TRV GB NECK SUPINE

Identify the following;

<p>Identify the following;</p>
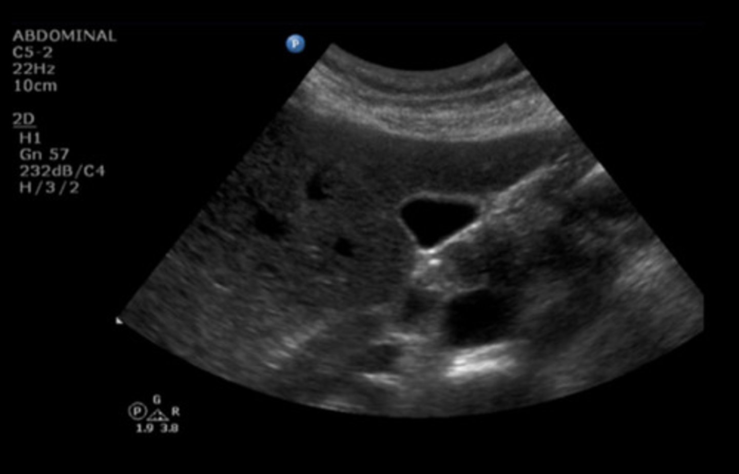
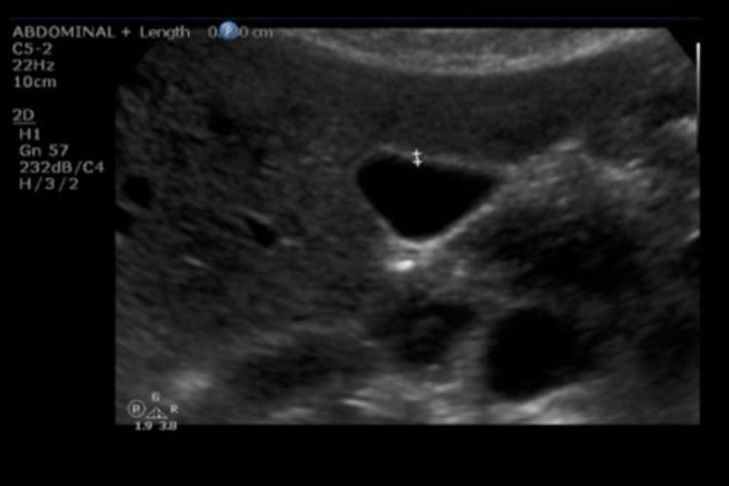
8
New cards

CBD

Identify the following;

<p>Identify the following;</p>
9
New cards

CBD (with measurement)

Identify the following;

<p>Identify the following;</p>
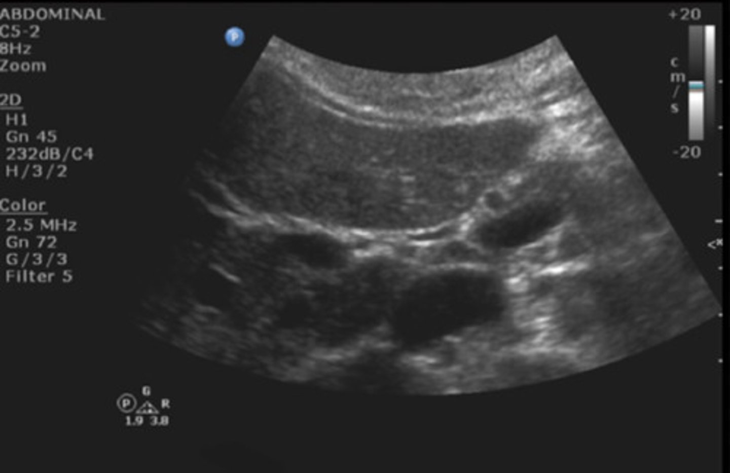
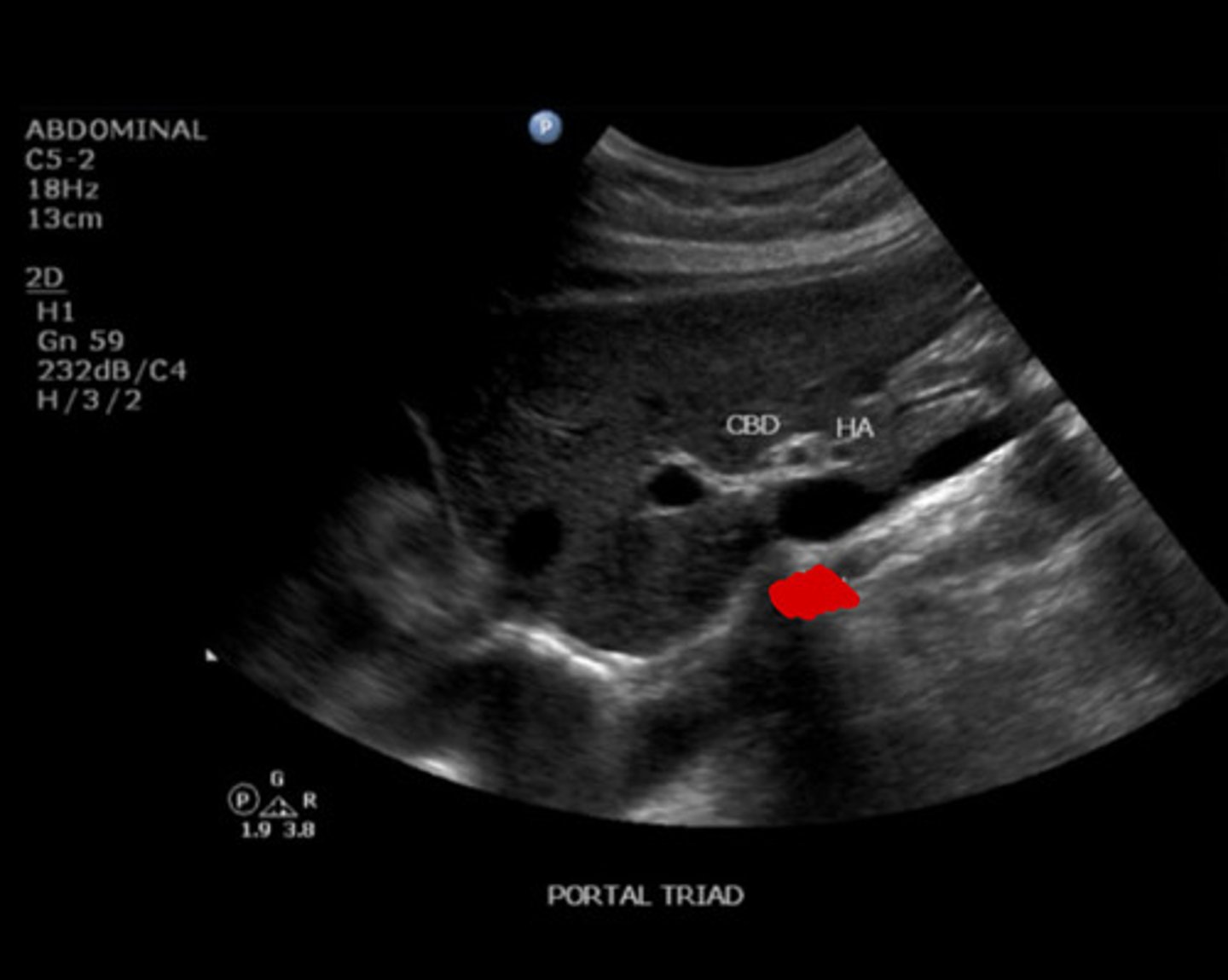
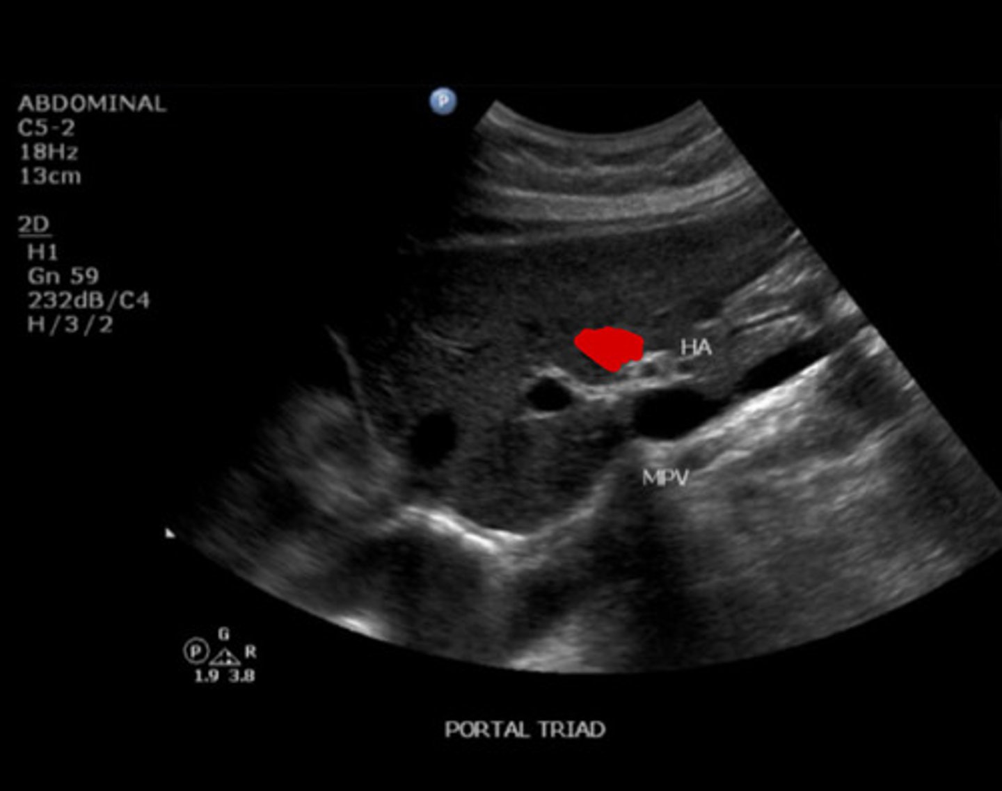
10
New cards

Portal triad

Identify the following;

<p>Identify the following;</p>
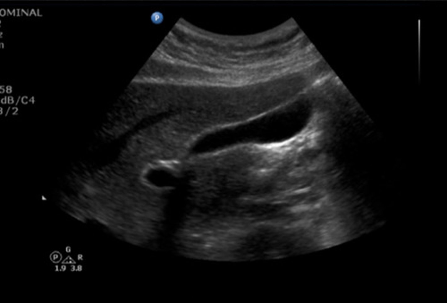
11
New cards

CBD

Identify the following;

<p>Identify the following;</p>
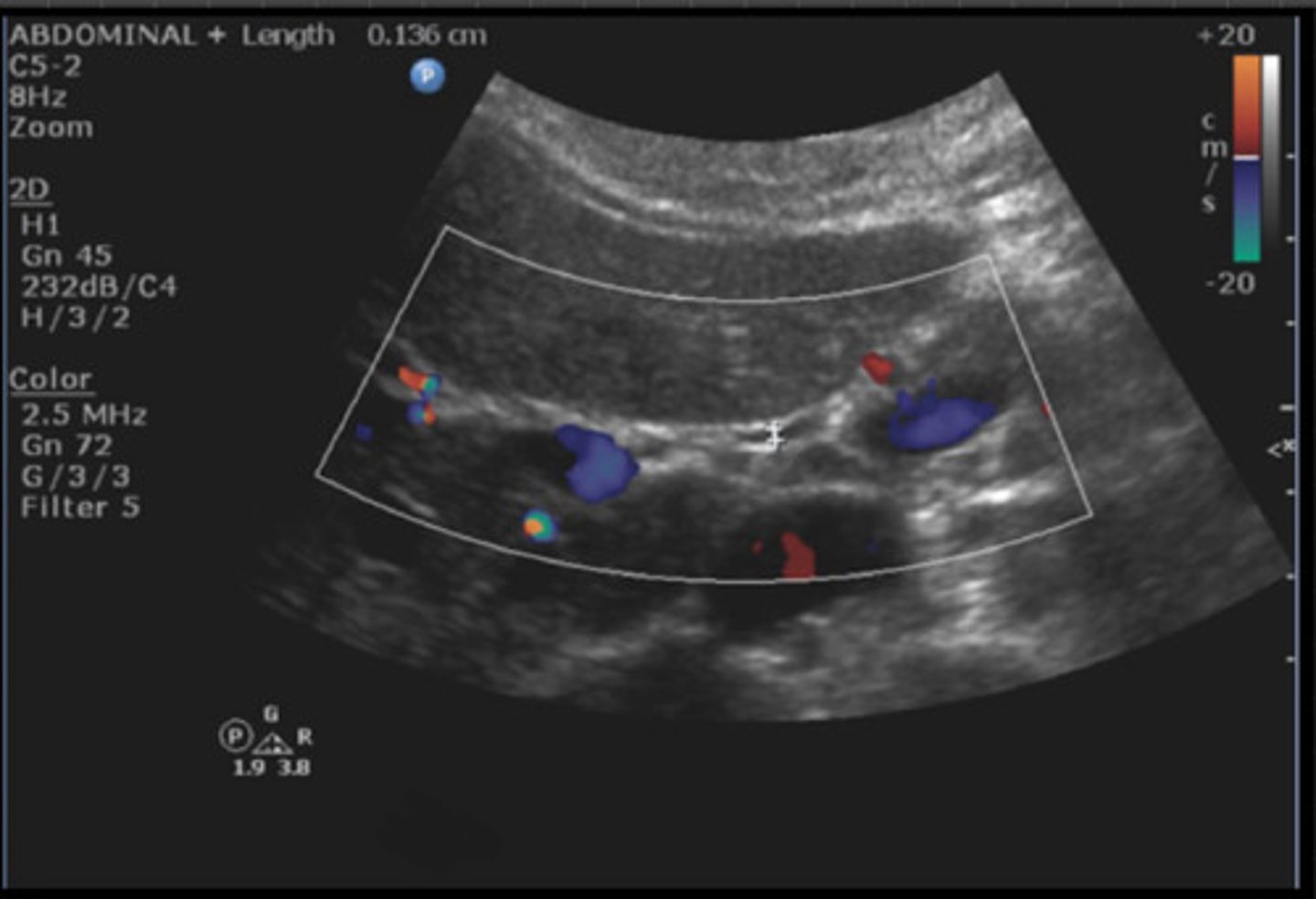
12
New cards

HA

Identify the following;

<p>Identify the following;</p>
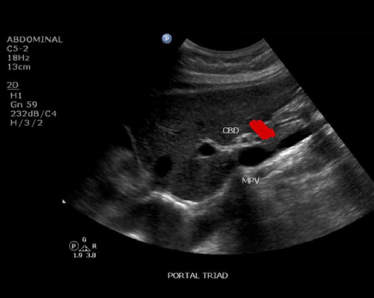
13
New cards

MPV

Identify the following;

<p>Identify the following;</p>
14
New cards

Anterior

The common bile duct (CBD) runs where in relation to the portal vein?