1/33
Looks like no tags are added yet.
Name | Mastery | Learn | Test | Matching | Spaced | Call with Kai |
|---|
No analytics yet
Send a link to your students to track their progress
Thalidomide (Amelia, phocomelia, or meromelia)

Thalidomide

DES (undescended testicle, microphallus, cyst in epididymus)

Vitamin A (Isotretinoin)
Baby also has cardiac defects and hydrocephalus

SSRI (craniosyntosis
Baby also has cardiac defects

Warfarin

Paroxetine/ Paxil (SSRI)

Anticonvulsant

Warfarin (baby has stipple epiphysis and small nose with small bridge)
Hint: look at nose too

Bezos- Hypotonia and cyanosis - baby is also addicted and now in withdraw :(

fetal alcohol syndrome (FAS)

fetal alcohol syndrome

fetal alcohol syndrome

An ACE or ARB
Baby Sally has growth retardation, renal dysfunction, fetal demise and oligohydramnios. What did mom take?
NSAIDS in 1st trimester
Baby Ocean has cardiac ventricular septal defects. What did mom take ?
Fetal alcohol syndrome (railroad track ears)

fetal alcohol syndrome (ptosis of eye)

Tobacco

NSAIDS in the third trimester
Baby Rain has pulmonary hypertension. What did mom take?
Warfarin

Alcohol, tobacco, marijuanna, opioids, or meth
low birth weight. Mom could've taken a number of things including...

Benzodiazepines- hypotonia, cyanosis, addiction
Mom took Clonazepam. What defects might baby have?
Tylenol (acetaminophen)
Baby has later development of autism. What could mom have taken ?
Alcohol
Baby has Decreased elbow pronation/supination, Incomplete extension of digits, and Defects in palmar crease. What did mom take?
Cocaine
Baby has High-pitched crying and excess suck reflex, Irritability / jittery / tremors, and Can have episodes of apnea. What did mom take?
Codeine
Baby has congenital heart disease. Mom took...
Opiods
Baby Charlston was born at a merely 5 lbs 6 oz. His mommy keeps trying to feed him and is having great difficulty. Charlston keeps vomiting and having seizures. He is also very irritable. What did his mom take?
Meth
Baby Aurora was born preterm at 6 ibs 7 oz. She is lethargic, has neurotoxicity and cardiac toxicity. What did her mom take?
Gestational hypertension
Preeclampsia
Placental abruption
Increased maternal mortality
Soon to be mom of aurora has been doing meth. What effects might this be having on mom?
Heroine (chronically)
Baby passed Intrauterine meconium. Baby also has fetal growth restriction and preterm labor. Abruptio Placenta also occured. Whatd mom take
Alcohol
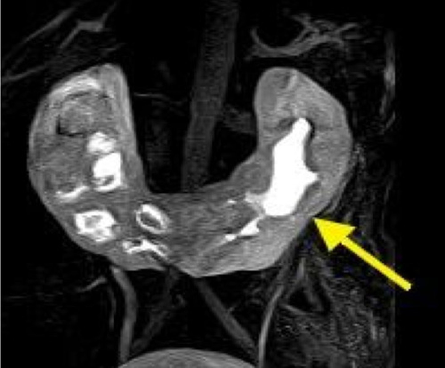
Baby has horseshoe shaped kidneys

Mommy took tobacco (placenta previa)
Cervical openning is completely blocked off by placenta. What may of caused this.
Tobacco
Baby has impaired fetal oxygen delivery, a reduction of gas exchange, and diminished oxygenation of tissues. Whatd mom take?
cardiovascular and central nervous system abnormalities
(ACE)
Mom took lisinopril her first trimester of pregnancy. What effect did this have on baby?