AP II Practical 1

0.0(0)
studied byStudied by 0 people
full-widthCall with Kai
GameKnowt Play
learnLearn
examPractice Test
spaced repetitionSpaced Repetition
heart puzzleMatch
flashcardsFlashcards
Card Sorting

1/145

encourage image

There's no tags or description

Looks like no tags are added yet.

Study Analytics
Name
Mastery
Learn
Test
Matching
Spaced

No study sessions yet.

146 Terms

1
New cards

Plasma (identify/structure)

  • Structure: nonliving fluid matrix

  • The fluid backdrop/background for the formed elements (erythrocytes, leukocytes, & platelets)

2
New cards

Plasma function

  • colorless watery fluid of blood and lymph containing no cells and in which the formed elements (erythrocytes, leukocytes, and platelets) are suspended in.

  • Substances transported by blood

  • Carries substances, osmotic balance, lipid transport

  • Plasma proteins: fibrinogen (clotting of blood), defense (antibodies)

3
New cards

Erythrocytes structure

  • Biconcave discs, anucleate, essentially no organelles 

  • Filled with hemoglobin

  • Spectrin and other proteins allow flexibilty

  • exist in blood stream=120 days 

4
New cards

Erythrocytes (RBC) function

  • transport oxygen and carbon dioxide carried in blood, gas transport 

5
New cards

Platelets function

blood clot formation/blood clotting

6
New cards

Leukocytes structure

  • complete cells (has nucleus)

  • part of body’s nonspecific defenses & the immune system

7
New cards

Leukocytes function

  • defense and immunity

8
New cards

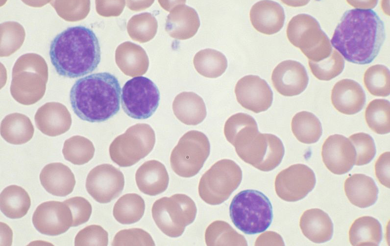
What is the order of abundance for lymphocytes? (NEVER LET MONKEYS EAT BANANAS)

  • Neutrophils, lymphocytes, monocytes, eosinophils, basophils

9
New cards

Order by size (Granulocytes + agranulocytes)

BEN= Basophils, eosinophils, neutrophils

Lymphocytes, monocytes 

10
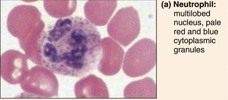
New cards

Neutrophils structure + image 

3-5 lobed nucleys, fine reddish/violet granules 

<p>3-5 lobed nucleys, fine reddish/violet granules&nbsp;</p>
11
New cards

Neutrophils function

  • phagocytize bacteria

12
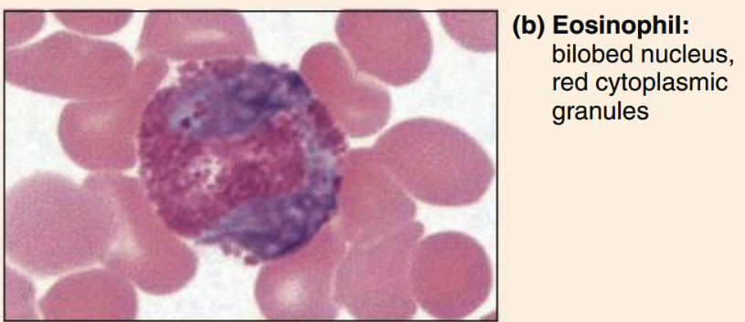
New cards

Eosinophils structure

  • bilobed nucleus, orange-pink granules

<ul><li><p>bilobed nucleus, orange-pink granules </p></li></ul><p></p>
13
New cards

Eosinophils function

  • phagocytize antigen-antibody complexes. allergens, inflammatory chemicals

  • release enzymes to combat parasites

  • complex role in allergies and asthma 

14
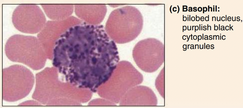
New cards

Basophils structure

  • U-shaped nucleus, dark violet granules

<ul><li><p>U-shaped nucleus, dark violet granules </p></li></ul><p></p>
15
New cards

Basophils function

  • secrete histamine and heparin (anti-coagulant)

  • promote blood flow and travel of other WBCs

16
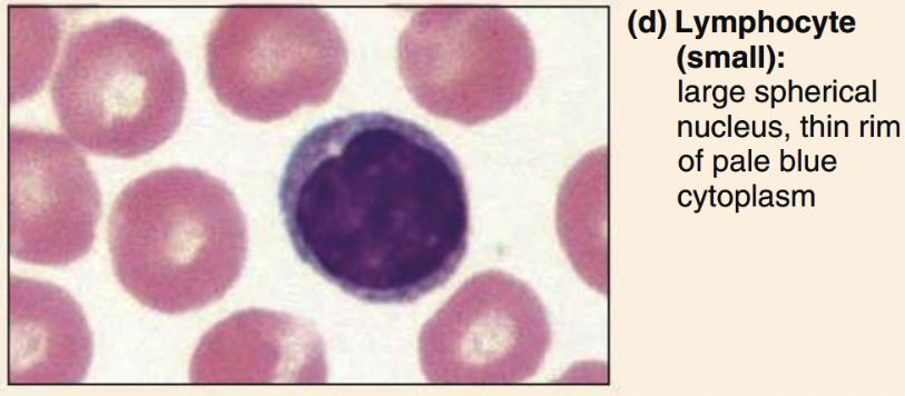
New cards

Lymphocytes structure 

  • classic= oval/round nucleus, scant cytoplasm

<ul><li><p>classic= oval/round nucleus, scant cytoplasm</p></li></ul><p></p>
17
New cards

Lymphocyte function

  • specific immunity

  • mount immune response by direct cell contact or antibodies

18
New cards

What are the 2 types of lymphocytes and functions

  • T cells function in the immune response

  • B cells give rise to plasma cells, which produce antibodies

19
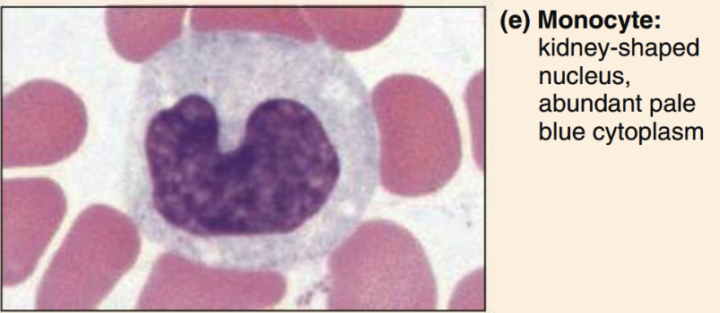
New cards

Monocytes structure

  • ovoid/kidney/horseshoe nucleus, abundant cytoplasm

<ul><li><p>ovoid/kidney/horseshoe nucleus, abundant cytoplasm</p></li></ul><p></p>
20
New cards

Monocytes function

  • phagocytize pathogens and debris 

  • present antigens 

21
New cards

Sickle cell anemia

  • RBCs are curved or crescent shaped

  • Cells cannot get enough oxygen since capillaries get blocked by crescent-shaped cells

<ul><li><p>RBCs are curved or crescent shaped </p></li><li><p>Cells cannot get enough oxygen since capillaries get blocked by crescent-shaped cells</p></li></ul><p></p>
22
New cards

Pernicious anemia (vitamin B12 deficiency)

  • RBCs are macrocytic (larger than normal)

  • Unusual oval shape

  • Results from deficiency of vitamin B12

  • Lack of intrinsic factor needed for absorption of B12

<ul><li><p>RBCs are macrocytic (larger than normal)</p></li><li><p>Unusual oval shape </p></li><li><p>Results from deficiency of vitamin B12</p></li><li><p>Lack of intrinsic factor needed for absorption of B12 </p></li></ul><p></p>
23
New cards

Iron-deficiency anemia 

  • RBCs are microcytic (smaller than normal)

  • Hypochromic (lacking significant pigmentation) 

  • Causes: secondary result of hemorrhagic anemia, inadequate intake of iron-containing foods, impaired iron absorption

<ul><li><p>RBCs are microcytic (smaller than normal)</p></li><li><p>Hypochromic (lacking significant pigmentation)&nbsp;</p></li><li><p>Causes: secondary result of hemorrhagic anemia, inadequate intake of iron-containing foods, impaired iron absorption</p></li></ul><p></p>
24
New cards

Eosinophilia 

  • abundance of eosinophils 

  • Occurs with caused by parasitic infections & allergies 

<ul><li><p>abundance of eosinophils&nbsp;</p></li><li><p>Occurs with caused by parasitic infections &amp; allergies&nbsp;</p></li></ul><p></p><p></p>
25
New cards

Chronic Lymphocytic Leukemia

  • increased number of mature B lymphocytes

  • normal WBC range is 4-10k, patients with leukemia can have WBC counts > 100 k

<ul><li><p>increased number of mature B lymphocytes </p></li><li><p>normal WBC range is 4-10k, patients with leukemia can have WBC counts &gt; 100 k </p></li></ul><p></p>
26
New cards

Why do we measure hematocrit and what does it tell us?

  • to measure percentage of RBCs in a volume of blood

  • Provides information on quantity

27
New cards

What does hematocrit NOT tell us?

  • the QUALITY

28
New cards

Component parts of of a hematocrit 

  • Plasma, Buffy coat (leukocytes and platelets), and erythrocytes

29
New cards

Hematocrit formula

  • % HEMATOCRIT= (RBC height/ total column height) x 100

30
New cards

Where is the apex and base?

  • apex= bottom (point of maximum impulse)

  • Base= top “broader”; (conducting system of heart)

31
New cards

Pericardium (fibrous + parietal pericardia) anatomy 

  • superficial fibrous pericardium

  • Deep 2-layer pericardium

  • Parietal layer - lines the internal surface of the fibrous pericardium

  • Visceral layer (epicardium)-lines the surface of the heart 

    • separated by the fluid-filled pericardial cavity

<ul><li><p>superficial fibrous pericardium</p></li><li><p>Deep 2-layer pericardium</p></li><li><p>Parietal layer - lines the internal surface of the fibrous pericardium</p></li><li><p>Visceral layer (epicardium)-lines the surface of the heart&nbsp;</p><ul><li><p>separated by the fluid-filled pericardial cavity </p></li></ul></li></ul><p></p>
32
New cards

Pericardium function

  • protects and anchors heart

  • Prevents overfilling of heart with blood

  • Allows heart to work in friction-free environment (serous pericardial fluid)

33
New cards

Heart Walls

knowt flashcard image
34
New cards

Epicardium (visceral pericardium)

  • outer visceral layer of the serous pericardium 

<ul><li><p>outer visceral layer of the serous pericardium&nbsp;</p></li></ul><p></p>
35
New cards

Myocardium (cardiac muscle)

  • cardiac muscle layer forming the bulk of the heart 

    • Middle layer, thickest layer

    • Reinforced with fibrous skeleton of the heart (crisscross, interlacing layer of connective tissue)

    • Provide scaffolding for the heart chambers; assist in contraction and relaxation of the cardiac walls

<ul><li><p>cardiac muscle layer forming the bulk of the heart&nbsp;</p><ul><li><p>Middle layer, thickest layer </p></li><li><p>Reinforced with fibrous skeleton of the heart (crisscross, interlacing layer of connective tissue)</p></li><li><p>Provide scaffolding for the heart chambers; assist in contraction and relaxation of the cardiac walls </p></li></ul></li></ul><p></p>
36
New cards

Endocardium

  • endothelial layer of the inner myocardial surface

    • covers heart valves and is continuous with the inner lining of the great vessels

    • composed of simple squamous epithelium on areolar connective tissue

37
New cards

Left and right atria*

  • receiving chambers of the heart

  • pectinate muscles mark atrial walls

  • blood enters right atria from superior and inferior vena cava and coronary sinus

  • blood enters left atria from pulmonary veins

  • Interatrial septum —> septum that divides the heart longitudinally/separates atria

38
New cards

left and right auricles

  • Right auricle= remnant of the fetal RA

  • Left auricle=remnant of fetal LA

  • Auricles can relieve high atrial pressure by increasing the atrial capacity at times of stress, acting as overflow vessels

39
New cards

Left and right ventricles 

  • discharging chambers of the heart 

  • force blood out of the heart into large arteries that emerge from its base 

    • Right ventricle pumps blood into the pulmonary trunk

    • Left ventricle pumps blood into the aorta

40
New cards

Interventricular septum

  • separates the ventricles

41
New cards

Interatrial septa

  • separates oxygenated and deoxygenated blood

42
New cards

Superior vena cava + inferior vena cava 

  • returning blood to the heart 

43
New cards

Pulmonary veins

  • carry oxygenated blood from the lungs to the heart

44
New cards

Pulmonary trunk and pulmonary arteries

trunk; splits into right and left pulmonary arteries

arteries: carry deoxygnated blood from heart to lungs

45
New cards

Aorta function

  • carries oxygenated blood from the heart to the rest of the body

46
New cards

Atrioventricular (AV) valves (tricuspid valve/bicuspid or mitral valve)

  • lie between the atria and ventricles

  • prevent backflow into the atria when ventricles contract

  • chordae tendineae anchor AV valves to papillary muscles

  • lub

47
New cards

Tricuspid Valve (AV valves)

  • prevents the backflow of blood as it is pumped from thr RA to the RV, it keeps blood from blocking the RV.

48
New cards

Bicuspid/Mitral Valve 

  • regulates blood flow from the LA to LV; keeps the blood from blocking the LA

49
New cards

Semilunar valves (pulmonary and aortic)

  • aortic lies between the left ventricle and aorta

  • pulmonary lies between the right ventricle and pulmonary trunk

  • Semilunar valves prevent backflow of blood into the ventricles

  • dub

50
New cards

Pulmonary SL valve

prevents backflow of blood from the arteries into the ventricles

51
New cards

Aortic SL valve 

  • prevents blood from flowing back into the LV and keeps it moving towards the body

52
New cards

Chordae tendinae

  • help prevent the valve cusps from averting into the atrium

53
New cards

Papillary muscles 

  • located in ventricles; attach to the cusps of the av valves via the chordae tendineae

    • contraction of the papillary muscles opens these valves; relaxation closes these valves

54
New cards

Pulmonary circulation

Blood flow through the right side of the heart

1. The right atrium receives oxygen-poor blood from the body via the venae cavae (superior

vena cava and inferior vena cava) and the coronary sinus.

2. From the right atrium, blood flows through the tricuspid valve to the right ventricle.

3. From the right ventricle, blood flows through the pulmonary valve into the pulmonary

trunk.

4. The pulmonary trunk branches into left and right pulmonary arteries, which carry blood

to the lungs, where the blood unloads carbon dioxide and picks up oxygen.

5. Oxygen-rich blood returns to the heart via four pulmonary veins.

55
New cards

Systemic circulation

- Blood flow through left side of the heart

6. Oxygen-rich blood enters the left atrium via four pulmonary veins.

7. From the left atrium, blood flows through the mitral valve to the left ventricle.

8. From the left ventricle, blood flows through the aortic valve to the aorta.

9. Oxygen-rich blood is delivered to the body tissues by the systemic arteries.

56
New cards

Cardiac Circulation (artery)

knowt flashcard image
57
New cards

Cardiac Circulation (veins)

knowt flashcard image
58
New cards

Foramen ovale vs. Fossa ovalis (fetal remnant)

Foramen Ovale → a flaplike opening in the interatrial septum

○ Shunts blood entering the RA into the LA (R → L shunt)

○ The LV then pumps the blood out the aorta to the systemic circulation.

○ @ birth/ shortly after: the foramen ovale closes and becomes the fossa

ovalis

59
New cards

Ductus arteriosum vs. Ductus ligamentum (fetal remnant)

 Ductus Arteriosum → fetal shunt that connects the pulmonary trunk to the

aorta

○ Blood that does enter the RV is pumped out of the pulmonary trunk, and

encounters this short vessel that connects the pulmonary trunk and the

aorta.

○ @ birth/ shortly after: the ductus arteriosus collapses and is converted

to the fibrous ligamentum arteriosum

○ In newborns with critical congenital heart defects (CHDs), a medication/

naturally-occurring hormone called Prostaglandin E1 is infused to maintain

ductal patency.

60
New cards

Cardiac muscle with intercalated discs (function)

support synchronized contraction of cardiac muscle tissue

<p>support synchronized contraction of cardiac muscle tissue</p>
61
New cards

Myocardial infarction

  • cardiac muscle been replaced by connective tissue

  • scar tissue doesn’t contract, can’t help the heart to pump

<ul><li><p>cardiac muscle been replaced by connective tissue </p></li><li><p>scar tissue doesn’t contract, can’t help the heart to pump</p></li></ul><p></p>
62
New cards

Sheep Heart 

knowt flashcard image
63
New cards

Sheep Heart 2

knowt flashcard image
64
New cards

Normal ECG

knowt flashcard image
65
New cards

Heart diagram

knowt flashcard image
66
New cards

Heart Diagram 2

knowt flashcard image
67
New cards

Heart Diagram 3

knowt flashcard image
68
New cards

Tunica intima/interna endothelium (location)

  • the innermost tunica (layer) of an artery or vein

69
New cards

Tunica intima/interna *function*

  • contains endothelium

  • Lines all lumen cell walls

  • forms slick surface that minimizes blood friction

70
New cards

Tunica media (smooth muscle layer) (location)

  • muscular middle layer

71
New cards

Tunica media (smooth muscle layer) function*

  • responsible for maintaining bp and continuous blood circulation by vasoconstriction or vasodilation

72
New cards

Tunica externa/adventitia *fibrous connective tissue (location)

  • outermost layer

73
New cards

Tunica externa/adventitia (fibrous connective tissue) function

-composed of large, loose woven collagen fibers that protect/reinforce the vessel

74
New cards

structure of artery (know to compare with vein)

Arteries:

  • arteries contains 3 layers (interna, media, and externa) 

  • thick, elastic muscular walls 

  • valves are absent 

  • blood flows under high pressure 

  • thick tunica media tends to be heavier due to more smooth muscle and elastic tissue 

  • carry oxygenated blood from heart to various parts of the body 

75
New cards

structure of vein (know to compare with artery)

  • carry blood from body organs toward heart for purification

  • all veins carry deoxygenated blood except pulm. vein

  • thin, non-elastic walls

  • valves are present to prevent backflow

  • blood flows under pressure

76
New cards

Ascending aorta

  • sits atop of the left ventricle and arches posteriorly

  • carries oxygenated blood from left ventricle to the rest of your body

77
New cards

aortic arch

  • curved segment that gives the aorta cane shape, bridges ascending and descending aorta

  • distributes oxygenated blood to the brain, head, and arms

78
New cards

brachiocephalic artery 

  • first branch of the aortic arch (right)

  • supplies oxygen/nutrients to upper right arm, right side of brain, face, and neck

  • carries blood to right subclavian and right common carotid 

79
New cards

Right common carotid artery

  • in the neck, branches from brachiocephalic artery

  • supplies oxygen-rich blood to the right side of head/neck 

80
New cards

Internal and external carotid

  • division of the common carotids, either side of the neck

  • Internal artery serves brain and gives rise to the ophthalmic artery

  • External carotid artery supplies the tissues external to the skull

81
New cards

Right subclavian artery

  • branches off from the brachiocephalic, below clavicle

  • oxygenated blood from heart to right side of head, neck, and arms

82
New cards

Vertebral artery

  • runs up the posterior neck to supply the cerebellum and the posterior cerebral hemispheres 

83
New cards

Axillary artery

  • runs through the axilla, gives off several branches to the chest wall and shoulder girdle

  • supplies blood to shoulder, chest, and arm

84
New cards

Brachial artery

  • continuation of the axillary artery in armpit/shoulder and ends at cubital fossa

  • delivers blood to biceps, brachialis muscles, elbow, triceps, basically arm muscles

85
New cards

Radial and ulnar arteries

  • ulnar follows the ulnar bone on the pinky side

  • supplies oxygen to ulnar nerve, wrist bones/joints, fingers

  • Radial follows the radial bone on the thumb side

  • supply blood to lateral part of forearm, wrist, hand, thumb-side

86
New cards

Left common carotid artery

  • branches off the aortic arch, middle branch

  • supplies left side of head and neck

87
New cards

Left subclavian artery

  • branches off aortic arch

  • delivers to left arm, neck, head, and brain

88
New cards

Circle of Willis

  • encircles the pituitary gland and optic chiasma 

  • unites the brains anterior and posterior blood supplies

  • provides alternative route for blood flow when one of the contributing arteries is obstructed (collateral blood low)

89
New cards

Descending aorta

  • begins at aortic arch and courses downwards through thoracic cavity

  • supplies blood to your chest wall, organs, and tissues

90
New cards

Celiac trunk

  • upper abdomen

  • carries blood to parts of your digestive system (liver, gallbladder, spleen, esophagus, stomach, pancreas, duodenum)

91
New cards

Left gastric (celiac) artery

  • supplies to stomach and esophagus

92
New cards

common hepatic (celiac) artery

  • branches into hepatic artery proper (supplies liver, gallbladder, and stomach), and gastroduodenal artery (supplies stomach, pancreas, and duodenum)

93
New cards

splenic artery

  • branches to the spleen and stomach

94
New cards

Superior mesenteric artery

  • supplies most of the small intestine and first part of the large intestine

  • in midsection of digestive tract

95
New cards

Renal arteries 

  • kidneys 

96
New cards

Gonadal arteries

  • supplies to the ovaries and testes

  • abdominal area, below the renal arteries

97
New cards

Inferior mesenteric artery

  • supplies distal portion of the large intestine

  • abdominal, lumbar vertebra

98
New cards

Common iliac arteries (not found in cat)

  • supplies pelvic organs, lower abdominal wall, and lower limbs

99
New cards

internal and external iliac arteries 

  • internal supplies the gluteal muscles 

  • external supplies the anterior abdominal wall and lower limb

100
New cards

Femoral arteries/deep

  • upper part of thigh, near groin

  • supply lower extremities with oxygenated blood/nutrients

  • deep: supply to deep structures of the thigh