1/62
Looks like no tags are added yet.
Name | Mastery | Learn | Test | Matching | Spaced |
|---|
No study sessions yet.
Name the 4 standard windows.
parasternal
apical
subcostal
suprasternal
Name the 4 standard planes.
long axis
short axis
four chamber
two chamber
Describe why correct positioning of the image plane is important. i.e. being on-axis
determines the reliability of dimensions
appreciate the motion
reproducibility of the study
List the 7 standard views within the parasternal window.
PSLAX
RVIT
RVOT
PSSAX at AoV
PSSAX at MV
PSSAX at papillary muscles
PSSAX at apex
Draw and label the PSLAX.

Draw and label the RVIT in parasternal window.

Draw and label the RVOT in parasternal window.
Draw and label the PSSAX at the AoV.

Draw and label the PSSAX at the MV.

Draw and label the PSSAX at the papillary muscles.

Draw and label the apical 4 chamber view.

Draw and label the apical 5 chamber view.

Draw and label the apical 2 chamber view.

Draw and label the apical 3 chamber view.

Draw and label the subcostal 4 chamber view.

Draw and label subcostal short axis at IVC.

Draw and label the suprasternal notch view.

Outline how to optimize the standard Parasternal echo views.
Correct alignment of the transducer on axis
Center the anatomy
Instrumentation settings (gain, focus, depth, etc.)
Label the LV wall segments in short axis and which axis cuts through opposite segments.

List the perfusion of the RV wall segments.
RCA - posterior descending artery
RCA - acute marginal artery
RCA - conus branch
LAD
List the RV wall segments
anterior
inferior
lateral
infundibular (RVOT)
IVS
Describe the moderator band and it’s function
Located at the RV apex to propagate AP from the right bundle branch to the anterolateral RV wall
Describe the costal position of each acoustic window.
Parasternal - 2nd-4th intercostal space
Apical - 5th-6th intercostal space
Subcostal - interior to sternum
Suprasternal - superior to sternum
In the subcostal window, the patient is positioned…
Supine with knees bent and stomach relaxed
In a subcostal 4 chamber, the aorta is in view. How would you fix this plane?
Angle the transducer posteriorly.
Transducer is angled too anteriorly if the aorta is in view.
What is an advantage of subcostal 4-chamber over apical 4-chamber?
Optimal for assessing integrity of the IAS and IVS because the sound beam is perpendicular.
Optimal for visualizing pericardial effusion.
What structures tend to drop out in apical 4-chamber and why?
IAS and IVS - these structures are parallel to the sound beam in apical window.
What is imaged though tilting the transducer in subcostal short axis? Sketch an image.
IVC/hepatic vein
RA
TV

From what window and plane is the abdominal aorta in long axis visible?
Subcostal short axis at the level of the MV/papillary muscles, tilt inferior
Draw the subcostal SAX at the abdominal Ao.

Describe the Sniff test and its purpose.
Ask the patient to sniff to collapse the IVC
Measure the diameter of the IVC and its collapsibility index to assess RA pressure
Name the 3 views in subcostal SAX and describe the maneuvers to reach those views.
IVC, Hepatic veins
indicator towards pt head
angles right to the posterior aspect of the heart
AV, MV, pap muscles, apex
tilt superior from IVC view
Abdominal Ao
angle the td leftward from IVC view
rotate to elongate abdominal Ao
Describe patient position when imaging the suprasternal window.
Patient laying supine with neck extended
Describe the transducer maneuvers to image the suprasternal notch.
indicator points to pt left ear
angle the transducer leftward until the arch appears
rotate to elongate
Explain the purpose of using M-mode.
precise recording of the position and motion of cardiac muscle, valves, and surrounding tissue
measurements can be compared against normal values
What is represented in the x and y axis of M-mode
x axis - time
y axis - depth
Name the primary limitation of M-mode.
If the M-mode line is not perpendicular with the anatomy, the measurement will be inaccurate
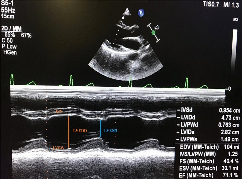
In an M-mode tracing of LV basal wall in PSLAX, list the measurements made and describe how to measure them
AoV
curser where the AoV leaflets close in diastole
aortic root diameter measured at end diastole from the tissue interface of the anterior wall of aortic root to posterior wall of aortic root
LA measured at end systole from the trailing tissue interface to posterior tissue interface
MV
cursor at the mitral valve leaflet tips
E point septal separation - space between the anterior leaflet and anterior LA wall
LV basal wall
cursor just past the mitral valve leaflets
IVS measured at end diastole from the right to left surfaces of the IVS
LVIDd measured at end diastole from the tissue edge of anteroseptal interface to tissue edge of inferolateral interface
Inferolateral wall diameter measured in end diastole from the endocardial surface to epicardial surface of the posterior wall
LVIDs measured at end systole from the tissue edge of anteroseptal interface to tissue edge of inferolateral interface

Normal value for LVIDd
W: 3.8 - 5.2cm
M: 4.2 - 5.8cm
Normal value for LVIDs
W: 2.2 - 3.5cm
M: 2.5 - 4.0cm
Normal value for IVS wall thickness
W: 0.6 - 0.9 cm
M: 0.6 - 1.0 cm
Normal value for posterior wall thickness
W: 0.6 - 0.9 cm
M: 0.6 - 1.0 cm
Normal range for aortic root
2.2 - 3.6 cm
Normal range for LA diameter
W: 2.7 - 3.8 cm
M: 3.0 - 4.0
What could cause a high EPSS (>5mm)?
dilated LV
mitral stenosis
aortic regurgitation
Define TAPSE
Tricuspid annular plane systolic excursion
from RV focused view
TAPSE<16mm = RV dysfunction
How much does the IVC collapse during the sniff test with a healthy RA? What is expected with an unhealthy RA?
Healthy - collapse more than 50%
Unhealthy - collapse less than 50%
Why measure echocardiograms?
echo exams can be standardized
study reproducibility
distances can be measures accurately
provides important diagnostic information
compare to normal values
important for follow ups (progress)
List the phases of an ECG.
atrial systole
isovolumetric contraction time
rapid ejection
reduced ejection
isovolumetric relaxation time
rapid filling
reduced filling
Name the two methods for calculating LV volumes from LV linear dimensions. Why are these not recommended for clinical use?
Teichholtz Method
Guinones Prolate Ellipsoid Method
Both rely on the assumption that the LV is a fixed geometric shape (prolate ellipse) - inaccurate assumption for many cardiac pathologies
Normal range for LV EF%
W: 54 - 74%
M: 52 - 72%
Normal range for FS
25 - 45%
A female patient has an EF of 45%. Is this normal? If no, what should the sonographer be looking for?
45% is lower than the normal range of 54-74%
This can be indictive of hypokinetic walls due to decreased contractility.
A female patient has an EF of 58%. Is this normal? If no, what should the sonographer be looking for?
58% falls within the normal range for a female.
When are 2D measurements used?
When M-mode is not optimal due to structures oblique to the cursor
What are some limitations of 2D measurements?
Lack of temporal resolution - may not get the optimal frame for measuring
Subject to more sonographer variability
Name the measurements made in PSLAX and when they are made.
End-diastole:
Ao root
IVS diameter
LVIDd
PW diameter
End-systole:
LA diameter
LVIDs
What are mechanical and electrical indicators of end systole?
Mechanical: frame after aortic closure, LV is smallest
Electrical: end of T-wave
What are the mechanical and electrical indicators of end diastole?
Mechanical: frame after MV closure
Electrical: peak R-wave
Where are measurements for the right heart imaged from?
Apical 4 chamber
The LA used to be measured from the PSLAX anterior-posterior walls. Why is this no longer standard?
The relationship between the LA dimensions and the AP dimension is not maintained as the LA enlarges - inaccurate prediction of LA volume
Describe how the LA is measured.
In apical 4 chamber at end systole using an biplane area-length calculation
What is the difference between LAV and LAVI?
LAVI is the LAV indexed to body mass to make the measurement more diagnostic