1/34
Looks like no tags are added yet.
Name | Mastery | Learn | Test | Matching | Spaced |
|---|
No study sessions yet.
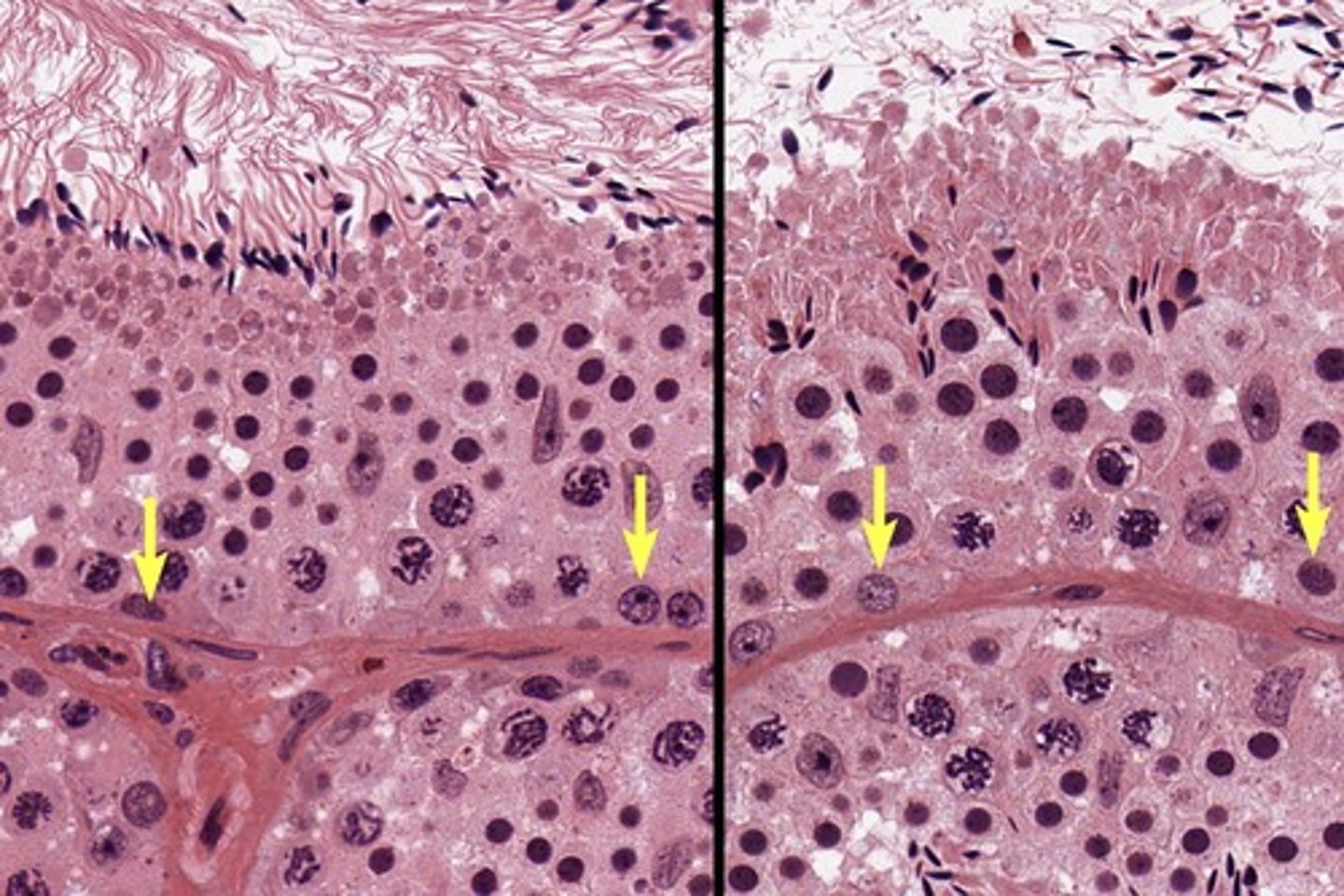
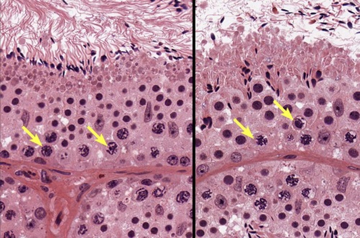
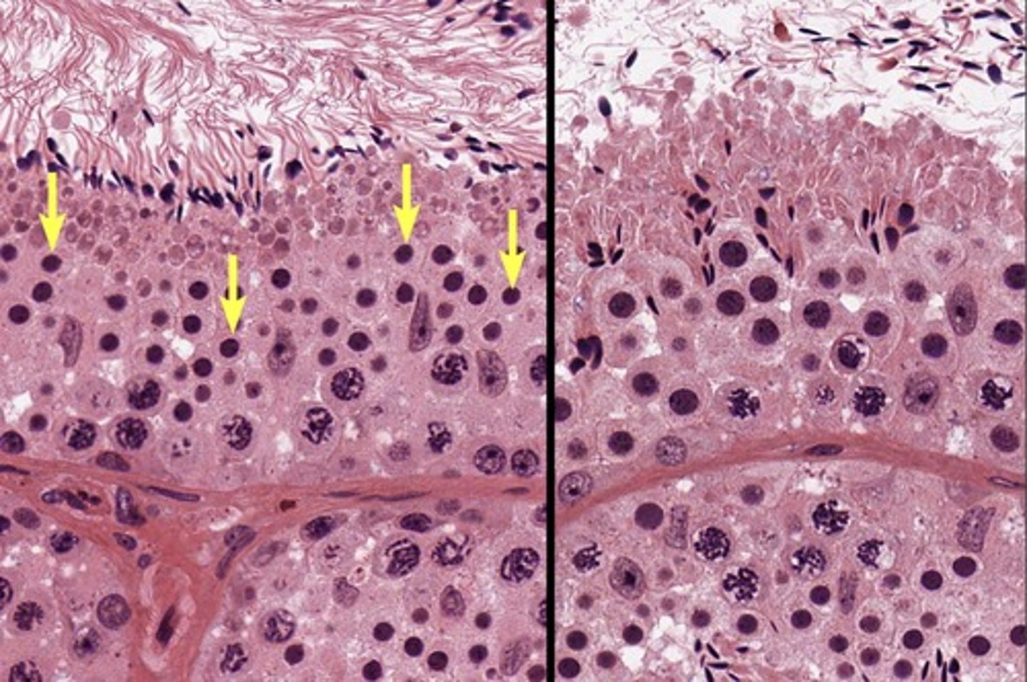
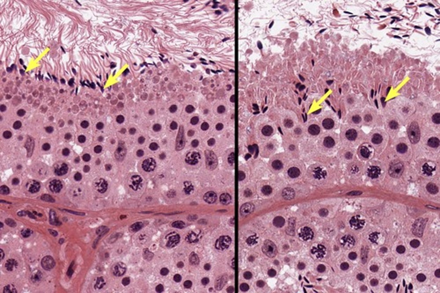
Spermatogonia

Primary Spermatocyte

Spermatid (early)

Spermatid (late)

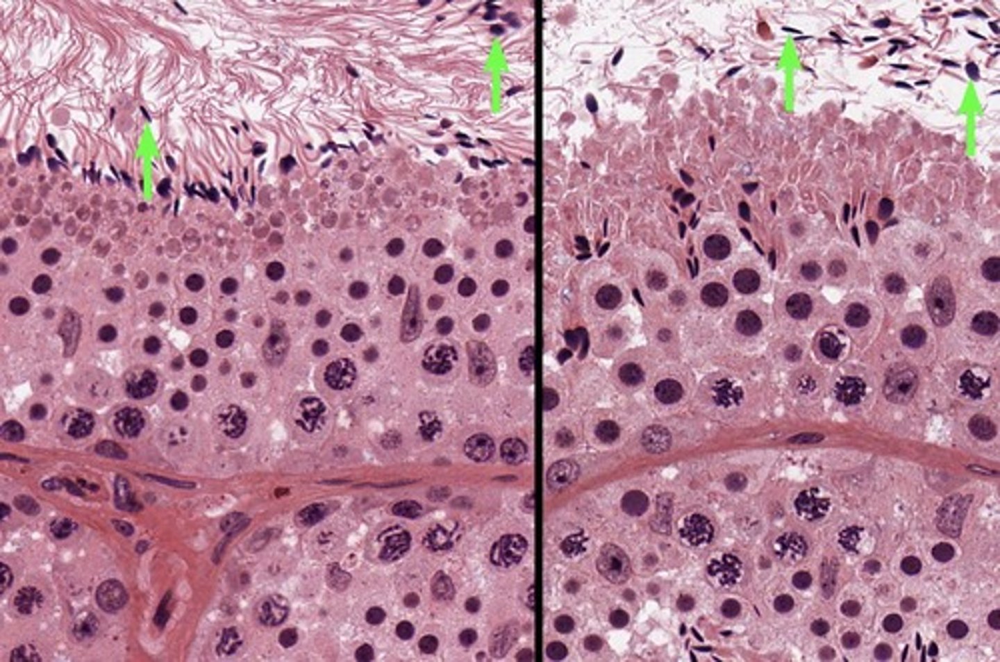
Spernatozoon

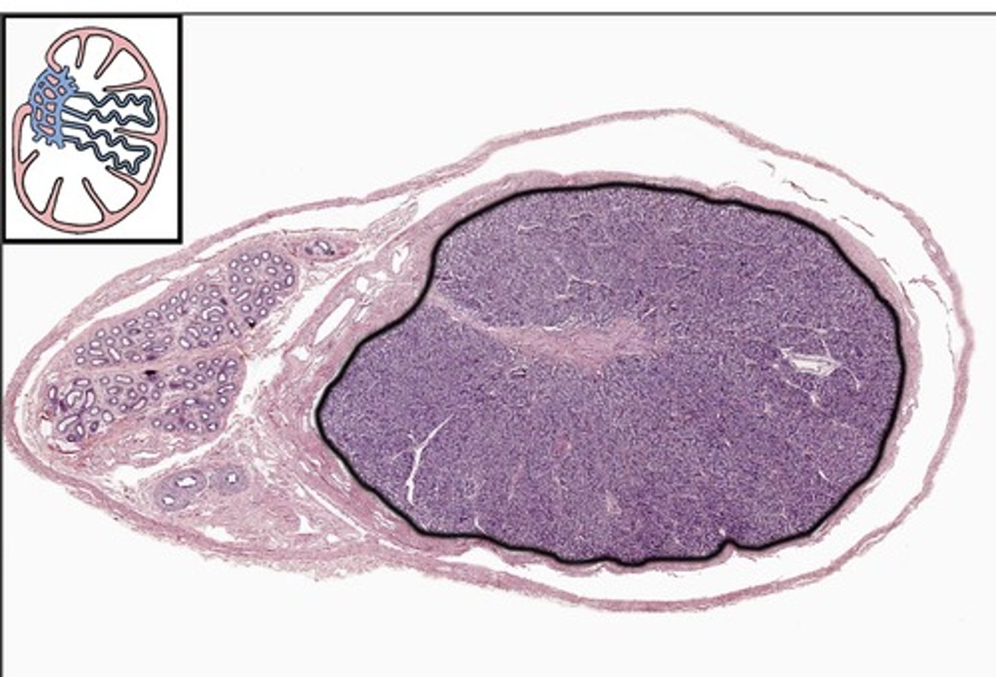
Testis (histology)

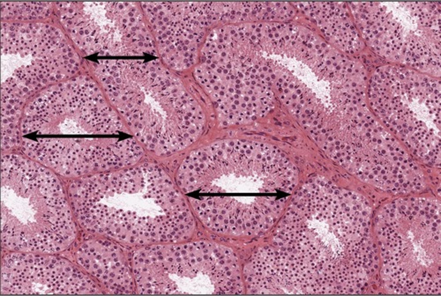
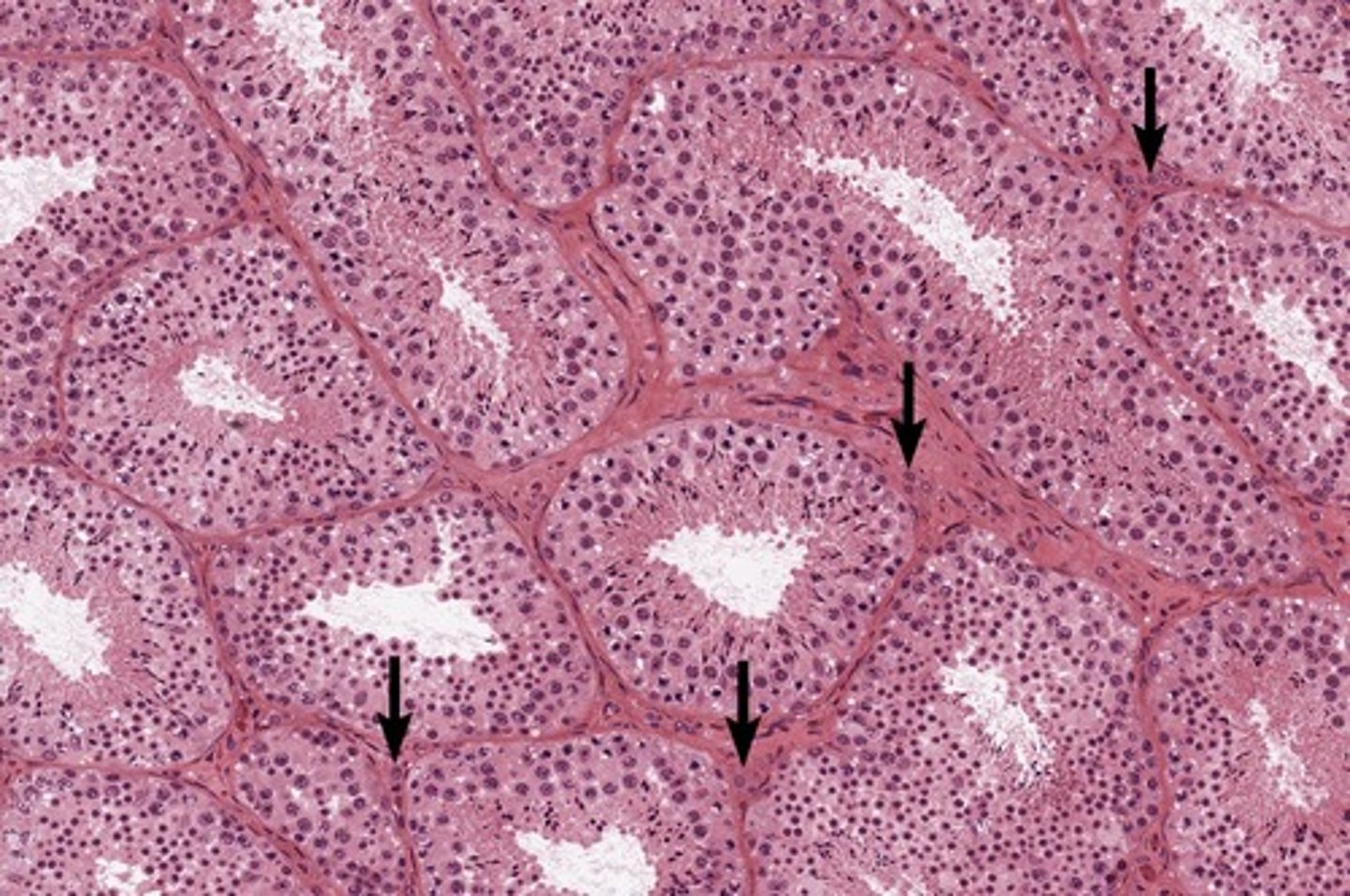
Seminiferous Tubule

Leydig Cell

Tunica Vaginalis
17

Tunica Albuginea
18

External Urethral Orifice
20

Corpus Cavernosum
21

Spongy Urethra
22

Corpus Spongiosum
23

Prostatic Urethra

Vas Deferens
36

Seminal gland
38

Prostate Gland
40

Scrotum
44

Testis
45

Glans Penis
46

Body of epididymis
*

Head of epididymis
*

Tail of epididymis
*

Efferent Ductules
*

Rete Testis
*

Septum
*

Lobule
*

Ejaculatory Duct
*

Membranous Urethra
*

Ampulla of ductus deferens
*

Spermatic Cord
*

bulbourethral gland
*

Juvenile Penis (Histology)
*

Post-Pubescent Penis (Histology
*
