1/52
Looks like no tags are added yet.
Name | Mastery | Learn | Test | Matching | Spaced | Call with Kai |
|---|
No analytics yet
Send a link to your students to track their progress
The spleen is located within the ___ cavity in the ___ ___ quadrant near the ___ of the pancreas and ___ to the left kidney.
peritoneal, left upper, tail, superior
The spleen is the largest mass of ___ tissue in the body.
lymphoid
The spleen is a lymphoid organ that destroys damaged or worn out ___ cells, ___ & ___ materials.
It also acts as a reservoir for ___ & ___.
It is rarely the site of ___ disease; often affected by ___ disease such as infections or autoimmune disease.
blood, pathogens, foreign, blood, platelets, primary, systemic
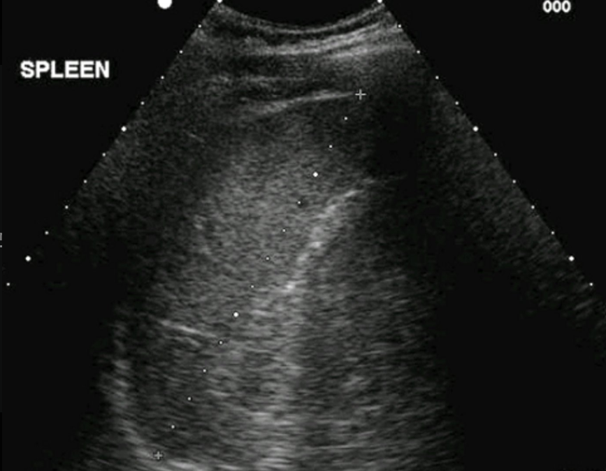
What is the normal (superior → inferior) measurement for the spleen? When is it termed to be splenomegaly?
8-13 cm; > 12 cm
The best window to visualize the spleen is with the patient in the ___ ___ ___ (___) position.
right lateral decubitus (RLD)
What artery supplies the spleen with blood?
Splenic artery
What is the left branch of the celiac axis?
Splenic artery
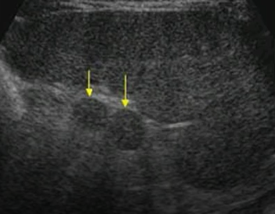
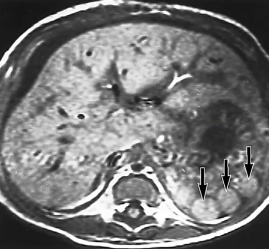
What is the most common congenital variant of the spleen?
Accessory spleen
Accessory spleen affects about ___% of the population.
10

Describe an accessory spleen.
Small round/ovoid structure of same echogenicity/texture as spleen tissue
Where is an accessory spleen most often found?
Splenic hilum
What is an accessory spleen often confused with?
Lymphadenopathy
How is accessory spleen verified?
By demonstrating vascular connection to the spleen

What congenital spleen variant is associated with left sided laterality sequence (patient is more left sided than right sided)?
Polysplenia

What spleen congenital variant is associated with heart defects and other congenital abnormalities?
Polysplenia

Congenital agenesis of the spleen
Asplenia
What spleen congenital abnormality is associated with right sided laterality (patient is more right sided than left sided)? What is this congenital anomaly associated with?
Asplenia; Heart defects
What is the most common pathology of the spleen?
Splenomegaly
What is the most common cause of splenomegaly?
Portal hypertension
What are some causes of splenomegaly?
Portal Hypertension (blood backs up into spleen because it can't get into the liver)
Lymphoma (spleen is lymphatic tissue so is commonly involved in lymphoma)
AIDS (spleen enlarges as it tries to boost the compromised immune system)
Infection (bacterial or viral)
Bleeding disorders
Immunologic disorders
Cancer
Metabolic storage diseases
What symptom is associated with splenomegaly?
LUQ pain

What are the sonographic findings with splenomegaly?
Superior to Inferior measurement > 13 cm
The inferior pole of the spleen covers the superior pole of the left kidney
What is the name of the disease that is a rare inherited fat metabolism disorder, and what does it cause?
Gaucher's disease; severe splenomegaly
With Gaucher's disease, ___% of patients are under the age of ___. ___% are under the age of ___. But, it may affect anyone of any ___.
50, 8, 17, 1, age
Gaucher's disease is characterized by enormous ___ of the spleen, ___ of the skin, and ___ ___.
enlargement, pigmentation, bone lesions
Gaucher's disease is a rare hereditary disorder of ___ metabolism that is caused by an ___ deficiency of glucocerebrosidase.
lipid, enzyme
This disease is a rare hereditary disorder of lipid metabolism that is caused by an enzyme deficiency of glucocerebrosidase.
Gaucher's disease
What splenic disease is marked by the presence of large amounts of glucocerebroside in cells of the reticuloendothelial system?
Gaucher's disease
What does Gaucher's disease look like on ultrasound?
Extremely enlarged spleen with heterogeneous texture
Multiple focal hypoechoic nodules
What disease of the spleen occurs primarily among Jews from central and eastern Europe and their descendants?
Niemann-Pick disease
Niemann-Pick disease affects ___ ___.
female infants
This storage disease is characterized by accumulation of phospholipids in macrophages of liver, spleen, lymph glands, and bone marrow.
It leads to gastrointestinal problems, malnutrition, enlargment of the spleen, liver and lymph nodes, and abnormalities of blood-forming organs.
Niemann-Pick disease
What disease of the spleen is a rare error in lipid metabolism that is inherited as an autosomal recessive trait?
Niemann-Pick disease
Niemann-Pick disease usually results in ___ in early childhood.
death
Group of conditions that cause overproduction of blood cells in the bone marrow
Have increased numbers of RBCs, WBCs, and/or platelets
Diseases include:
Polycythemia Vera
Acute Myelogenous Leukemia
Chronic Myelogenous Leukemia
Myelofibrosis
Megakaryocytic Leukemia
Erythroleukemia
Myeloproliferative disorders
What is the cause of polycythemia vera (a myeloproliferative disorder)?
Unknown
If someone has polycythemia vera, they have an increased number of ___ and ___.
RBCs, hemoglobin
Polycythemia vera is characterized by bone marrow ___, ___, ___ of skin, ___, facial ___, and ___ pain.
hyperplasia, splenomegaly, redness, bruising, flushing, extremity
What is the ultrasound appearance of polycythemia vera?
Splenomegaly
Infarcts (localized areas of tissue death) and thrombi are common
Letterer-Siwe disease is a type of histiocytosis (excessive production/action of tissue macrophages) and so it is associated with ___.
Usually seen in children under age 2
Prognosis is poor with about 50% of treated patients dying within 5 years
Lesions of the skull are common
splenomegaly
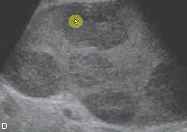
Cysts usually have a ___ ___ wall, ___ lumen, and posterior ___.
thin echogenic, anechoic, enhancement
What is the sonographic appearance of an infarct?
Wedge/triangle shaped hypoechoic lesion
May become more echogenic with age
Sometimes difficult to differentiate from other possible masses such as hematoma
What are causes of infarct in the spleen?
Embolism
Torsion
Blood disorder (sickle cell)
Vascular disease
Pancreatic disease
Cancer
What is the most common benign tumor of the spleen?
Hemangioma
What syndrome are hemangiomas of the spleen associated with?
Klippel-Trenaunay-Weber Syndrome
The spleen is/is not a site of primary cancer.
is not

What is the most common malignancy involving the spleen?
Lymphoma
The spleen is susceptible to ______ (lacerations, rupture, hematoma).
injury
___ of the spleen is common.
Enlargement (splenomegaly)

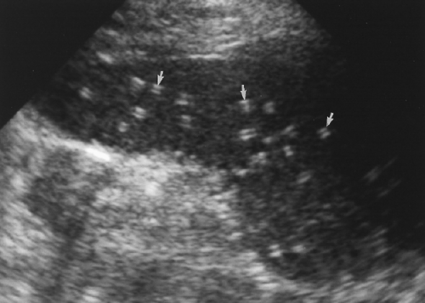
It is fairly common to see small ___ dots in the spleen. This is usually referred to as ___. They may or may not be noted on the report.
hyperechoic, granulomas

Transverse or long view?
Transverse

Transverse or long view?
Long

AKA wandering spleen; spleen position is varaible in abdomen/pelvis due to laxity of splenic suspensory ligaments
More prone to torsion → acute pain and infarction of spleen
Ectopic spleen