1/21
Looks like no tags are added yet.
Name | Mastery | Learn | Test | Matching | Spaced | Call with Kai |
|---|
No analytics yet
Send a link to your students to track their progress

?
septated cyst$

?
oil cyst

?
oil cyst
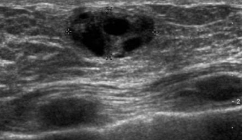
fibrocystic condition (FFC) is common in women of?
childbearing age
s/s for fibrocystic condition
pain (mastalgia), tenderness, sometimes breast lump
SONO: fibrocystic condition (FCC)
calcifications, cysts
MAMMO SONO for FCC
micro calcifications and multiple round masses

?
FCC (fibrocystic condition)
what is the most common benign breast tumor?
fibroadenoma
what stimulates growth in fibroadenoma?
estrogen
s/s for fibroadenoma
firm robbery
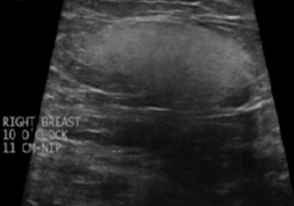
SONO: fibroadenoma
Hypoechoic or hyperechoic to breast fat
low-level internal echoes
smooth round margins
posterior enhancement
lipoma affects what range of women?
middle age or menopausal women
s/s: lipoma
contains fatty tissue and cannot be separated from surrounding parenchyma

SONO: lipoma
hypoechoic, like fat
easily compressible posterior enchancement
Galactocele results from?
obstructed lactiferous; milk filled; located in subareolar region

SONO: Galactocele
hypoechoic to isoechoic
homogenous internal appearance
acoustic enhancement
Mastitis
acute and chronic
begins in lactiferous ducts and spread via lymphatics or blood
occurs during lactation; inflammation of the breast

s/s: mastitis
enlarged, reddened, tender breast confined to one area of the breast

intraductal papilloma
small tumor that grows within the acini of the breast and projects from the lumen of the duct via a vascular stalk
s/s: intraductal papilloma
spontaneous nipple discharge (serous or bloody)