1/41
Looks like no tags are added yet.
Name | Mastery | Learn | Test | Matching | Spaced | Call with Kai |
|---|
No analytics yet
Send a link to your students to track their progress
Bionator:
- Class II/III?
-Fixed/Removable?
-Functional/Space maintenance?
Class II
Removable
Functional (growth modification)
Activator:
- Class II/III?
-Fixed/Removable?
-Functional/Space maintenance?
Class II
Removable
Functional
Twin Block:
- Class II/III?
-Fixed/Removable?
-Functional/Space maintenance?
Class II
Removable
Functional
Frankel (FR II):
- Class II/III?
-Fixed/Removable?
-Functional/Space maintenance?
Class II
Removable
Functional (FR= functional regulator)
Schwartz Appliance:
-Fixed/Removable?
-Functional/Space maintenance?
Class not specified
Removable (removable expander)
Expander
Reverse Pull Facemask/Headgear:
- Class II/III?
-Fixed/Removable?
-Functional/Space maintenance?
class III
removable
Functional

Cervical Pull Headgear:
- Class II/III?
-Fixed/Removable?
-Functional/Space maintenance?
Class II
Removable
Functional

MARA:
- Class II/III?
-Fixed/Removable?
-Functional/Space maintenance?
Class II
Fixed
Functional

Herbst Appliance:
- Class II/III?
-Fixed/Removable?
-Functional/Space maintenance?
Class II
Fixed
Functional

High Pull Headgear:
- Class II/III?
-Fixed/Removable?
-Functional/Space maintenance?
Class II
Removable
Functional

Frankel III:
- Class II/III?
-Fixed/Removable?
-Functional/Space maintenance?
- Class III
- Removable
- Functional
ALL space maintainers are ______.
A. fixed
B. removable
A. fixed
Herbst and MARA are indicated for:
A. class II
B. class III
A.
T/F: all three class III functional (growth modifiers) are removable
true
(reverse pull facemask, frankel III, chin cup)
Class III elastics are placed from the ______ first molar to the _____ canine
maxillary; mandibular

Class III elastics are placed from the maxillary _____ _____ to the mandibular _____
first molar; canine

Class ____ elastics are placed from the maxillary first molar to the mandibular canine
III

What are the three main space maintainers used in orthodontics?
band and loop (picture)
lingual arch
nance appliance

T/F: all headgear is removable
true
High pull headgear is useful for ____ faces, while cervical pull headgear is useful for a _____ lower facial third.
longer; decreased
Class II division 1 has a Class II molar relationship with an ____ overjet and ____ maxillary central incisors
A. decreased; flared
B. increased; flared
C. decreased; retroclined
D. increased; upright
B.
overbite can vary

Class II division II has a Class II molar relationship with an ____ overbite and ____ maxillary central incisors
A. deeper; upright/retroclined
B. deeper; upright only
C. deeper; retroclined only
A
deeper overbite/upright centrals
retroclined is possible

Class II Division I = increased _____
Class II Division II = deeper ____
overjet
overbite
Class II division 1 vs division 2 in terms of overjet
excessive class 1
reduced class 2

fill in the following: neutrocclusion, mesioclusion, distocclusion
Class 1 = ______
Class 2= ______
Class 3= ____
class 1= neutrocclusion
class 2= distocclusion
class 3= mesiocclusion

Molar classification is based on the _____ cusp of the maxillary first molar and the ____ ____ of the mandibular first molar.
mesiobuccal; mesial groove

Molar classification is based on the mesiobuccal cusp of the _____ first molar and the mesial groove of the _____ first molar.
maxillary; mandibular

Maxillary first molar's mesiobuccal cusp is in the mandibular first's mesial groove:
A. Class I
B. Class II
C. Class III
A.
What are the five MAIN common fixed orthodontic appliances or space maintainers?
herbst, mara= class II fixed functional appliance
nance, band and loop, lingual arch = space maintainers
also: pendex, distal jet, expanders (not schwartz), quad helix (not space maintainers, functional appliances)

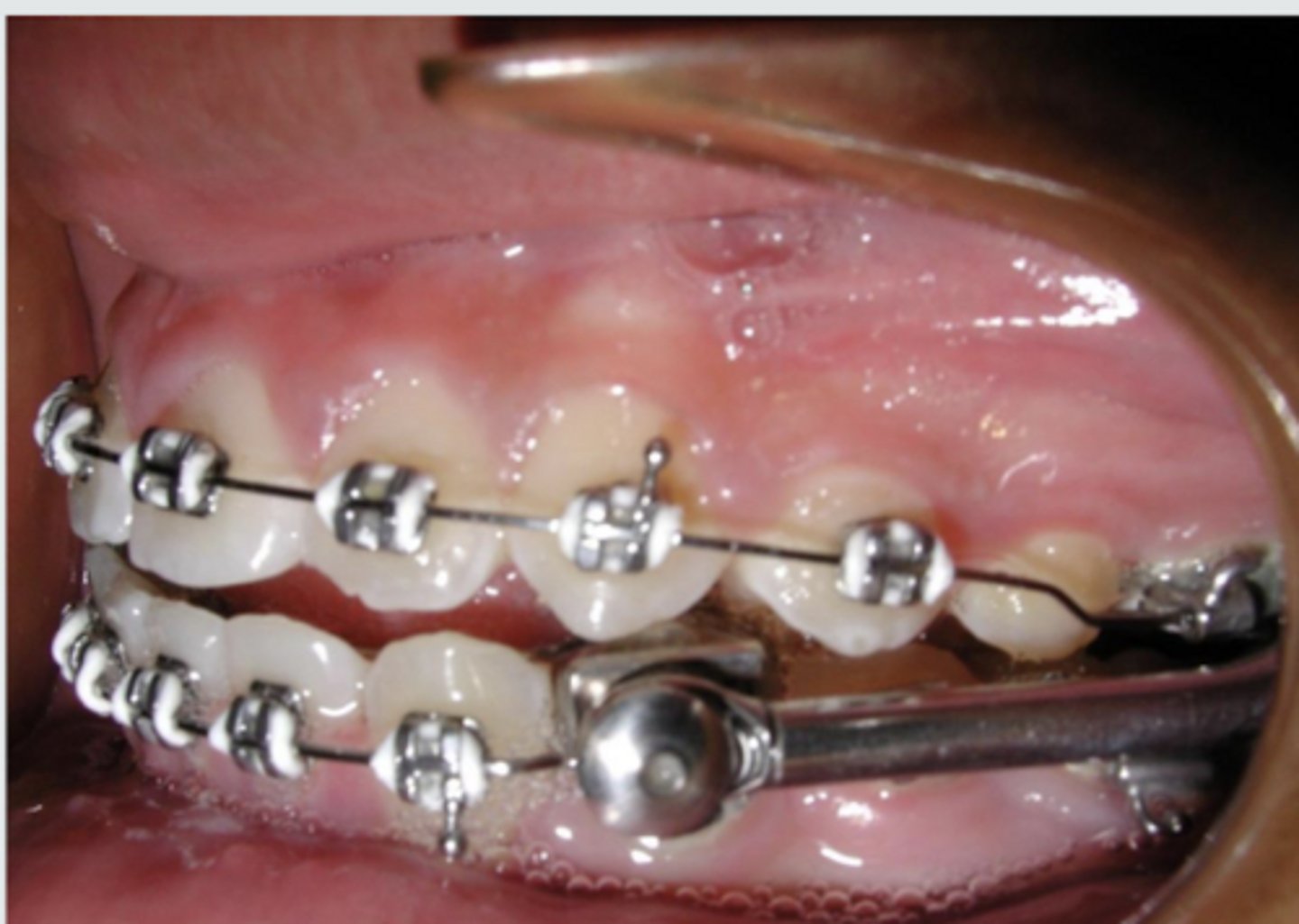
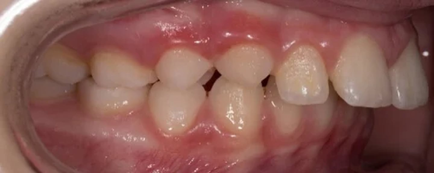
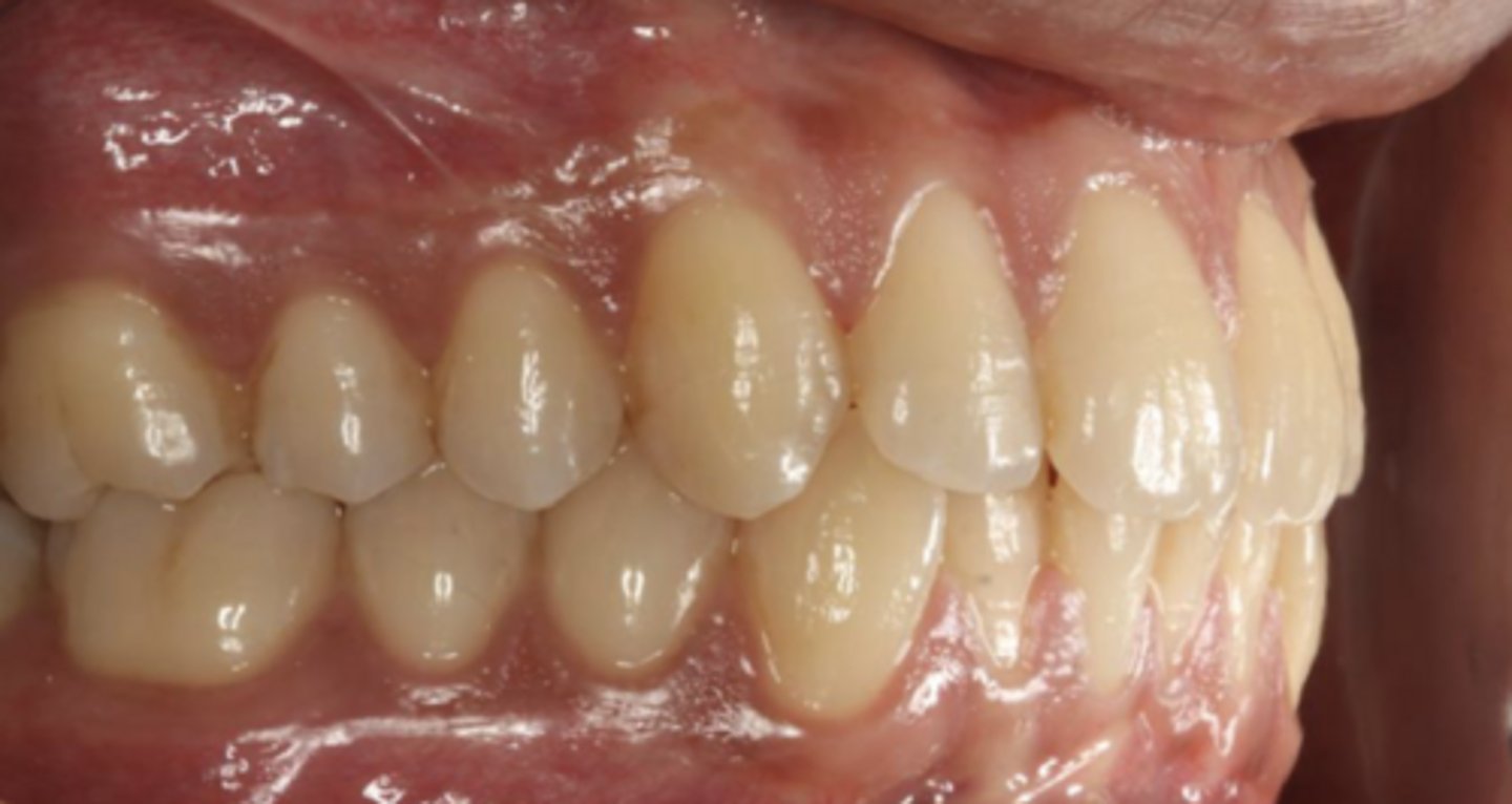
Molar relationship/malocclusion?
Class I malocclusion

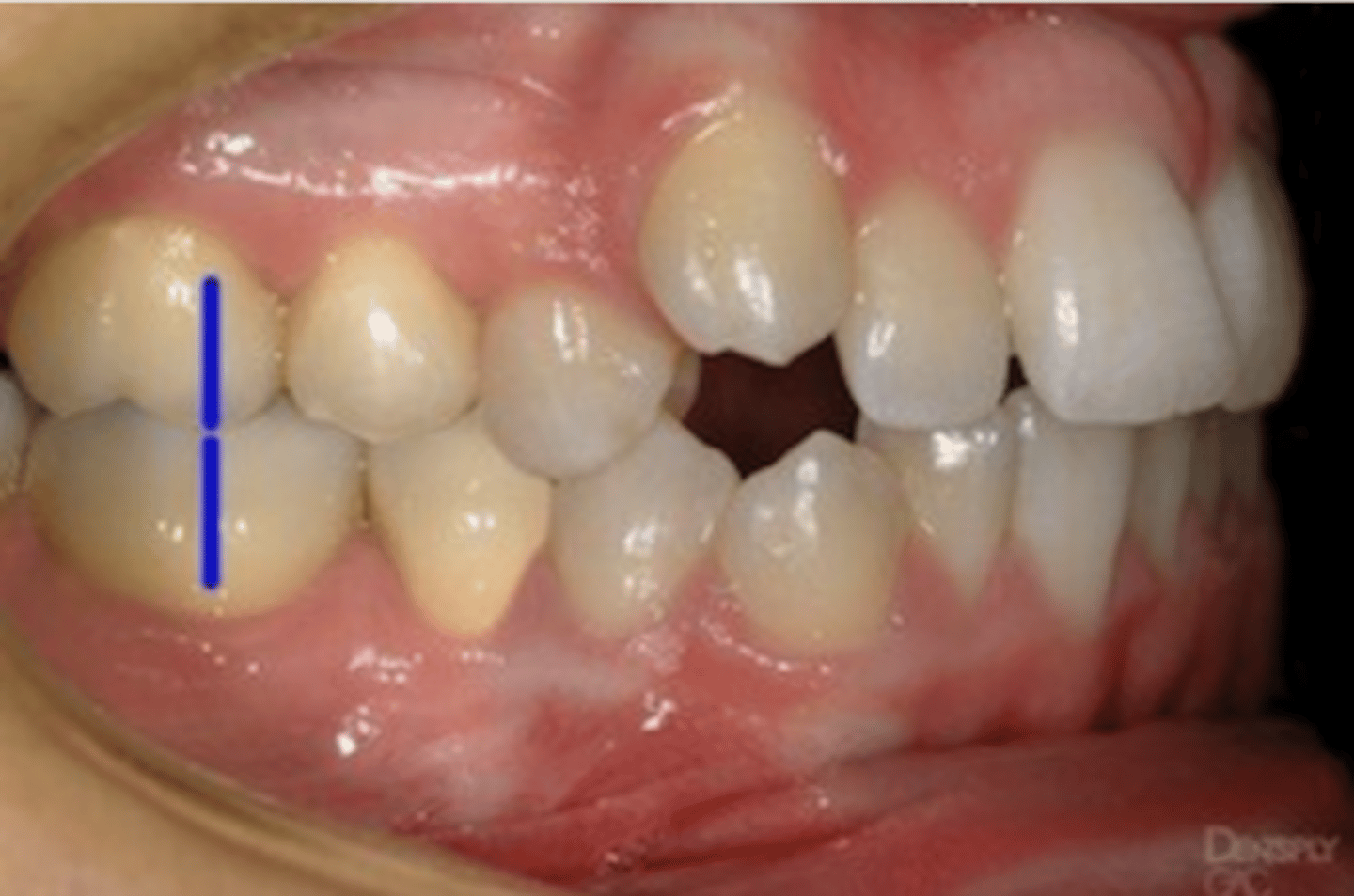
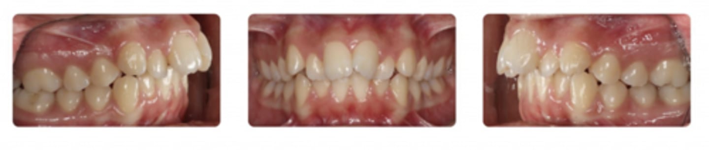
Molar relationship/malocclusion?
Class II Division 1
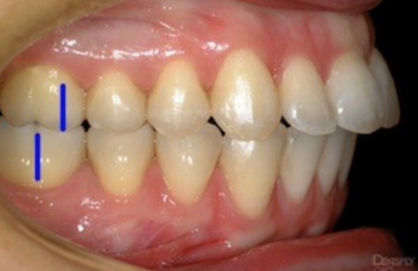
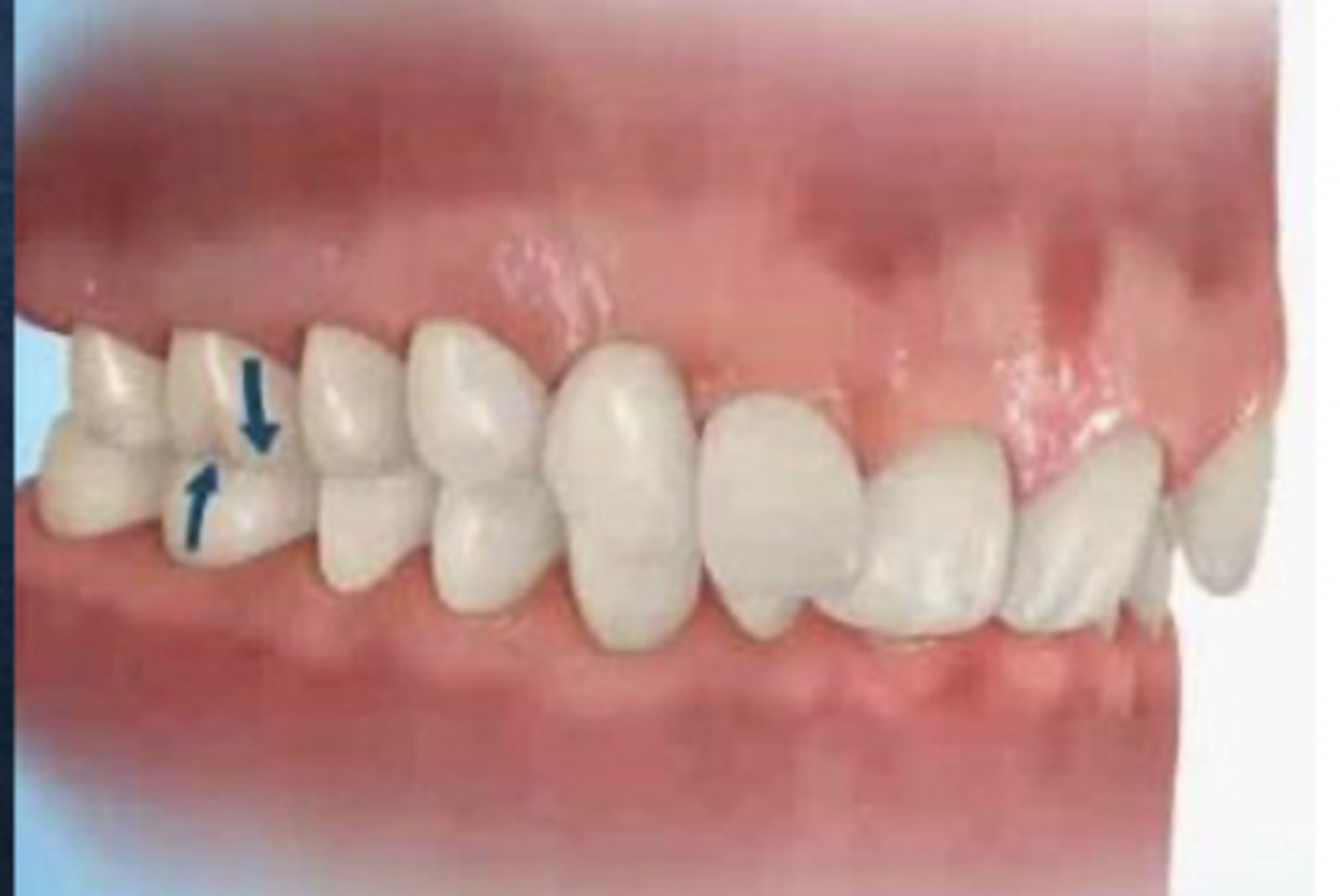
Molar relationship/malocclusion?
Class III

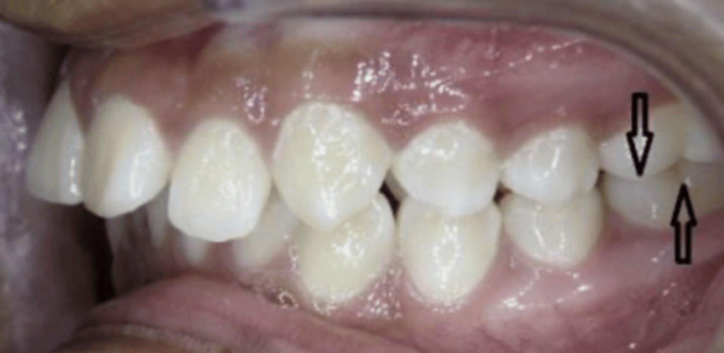
Molar relationship/malocclusion?
Class II division 1

Molar relationship/malocclusion?
Class II division 1

Malocclusion/molar relationship?
Class II division 2

Molar relationship/malocclusion?
Class II division 1

Molar relationship/malocclusion?
Class II division 2

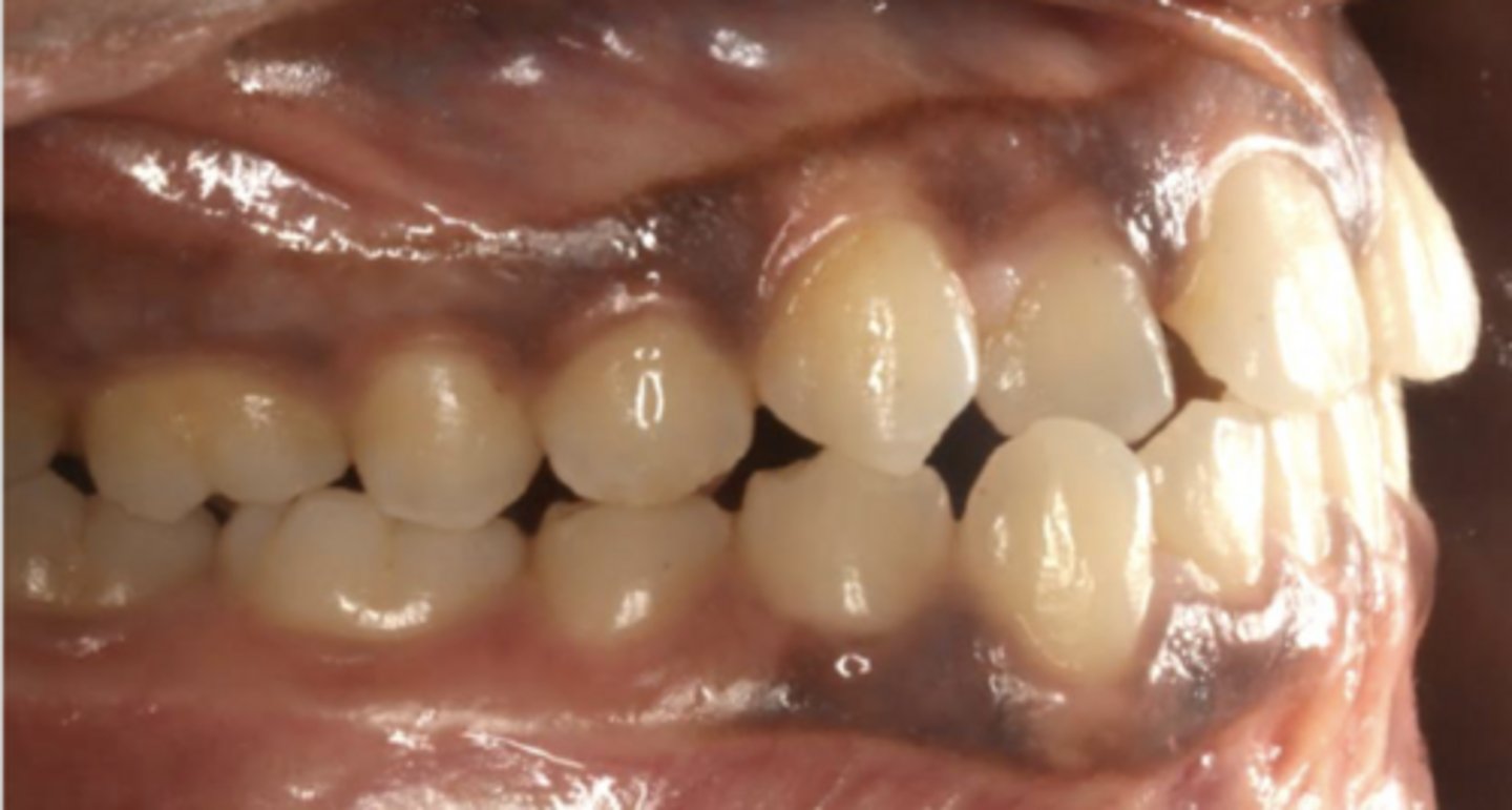
Molar relationship/malocclusion?
Class II division 1

Molar relationship/malocclusion?
Class I malocclusion

Molar relationship/malocclusion?
Class I occlusion

Molar relationship/malocclusion?
Class III

Molar relationship/malocclusion?
Class II division 2
