1/139
Looks like no tags are added yet.
Name | Mastery | Learn | Test | Matching | Spaced | Call with Kai |
|---|
No analytics yet
Send a link to your students to track their progress

What is A
lesser curvature

What is B
greater curvature

What is C
esophagus

What is D
gastroesophageal opening

What is E
lower esophageal sphincter

What is F
fundus

What is G
body/stomach

What is H
pylorus

What is I
pyloric sphincter

What is J
duodenal bulb

What is K
duodenum

What is L
rugae

What is M
(not priority for label testing)
serosa

What is N
(not priority for label testing)
longitudinal muscle layer

What is O
(not priority for label testing)
circular muscle layer

What is P
(not priority for label testing)
oblique muscle layer

What is Q
(not priority for label testing)
submucosa

What is R
(not priority for label testing)
mucosa

What is A
(arrow may be misleading — what is the organ)
small intestine

What is B
plica

What is C
plicae circulares

What is D
villi

What is A
hepatic (right colic) flexure

What is B
ascending colon

What is C
ileocecal valve

What is D
cecum

What is E
vermiform appendix

What is F
ileum

What is G
mesentery

What is H
rectum

What is I
external anal sphincter muscle

What is J
superior rectal artery and vein

What is K
anus

What is L
sigmoid colon

What is M
sigmoid artery and vein

What is N
descending colon

What is O
inferior mesenteric artery and vein

What is P
splenic (left colic) flexure

What is Q
transverse colon

What is R
(not priority for label testing)
inferior vena cava

What is S
(not priority for label testing)
portal vein

What is T
(not priority for label testing)
aorta

What is U
(not priority for label testing)
superior mesenteric artery

What is V
(not priority for label testing)
splenic vein

What is A
taeniae coli

What is B
haustra

What is C
epiploic appendages

What is D
orifice of appendix

What is the pink area?
terminal ileum

What is A
corpus (body) / gallbladder

What is B
neck/gallbladder

What is C
cystic duct/gallbladder

What is D
liver

What is E
minor duodenal papilla

What is F
right and left hepatic ducts

What is G
common hepatic duct

What is H
common bile duct

What is I
pancreatic duct

What is J
superior mesenteric artery and vein

What is K (2 names)
major duodenal papilla
AKA sphincter of Oddi

What is L
duodenum

What is M
sphincter muscle

What is N
pancreas

What is O (2 names)
Hepatopancreatic ampulla
AKA Ampulla of Vater

What is A
bile duct

What is B
accessory pancreatic duct

What is C
minor duodenal papilla

What is D (2 names)
major duodenal papilla
AKA sphincter of Oddi

What is E (2 names)
Hepatopancreatic ampulla
AKA Ampulla of Vater

What is F
main pancreatic duct

What is the green dotted area?
head/pancreas

What is the orange dotted area?
body/pancreas

What is the light blue dotted area?
tail/pancreas

What is 1
ascending colon/large intestine

What is 2
descending colon/large intestine

What is 3
stomach

What is 4
left kidney

What is 5
left psoas muscle

What is 6
right kidney

What is 7
right psoas muscle

What is 8
area of the liver
(number is on 12th floating rib)

What is indicated by the top left arrow?
pneumoperitoneum

What is indicated by the top right arrow?
air in the stomach (normal)

What is indicated by the letter C
large intestine obstruction

What is indicated by the shorter black arrows?
small bowel obstruction

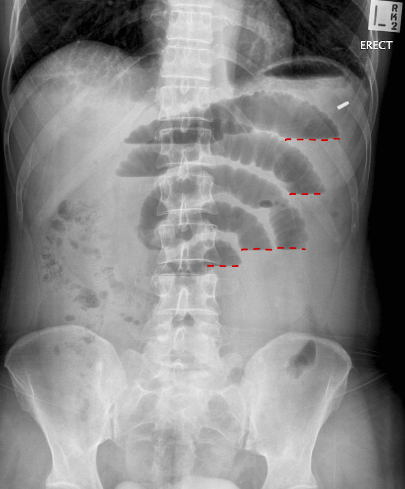
What is indicated by the red dotted lines?
small bowel obstruction

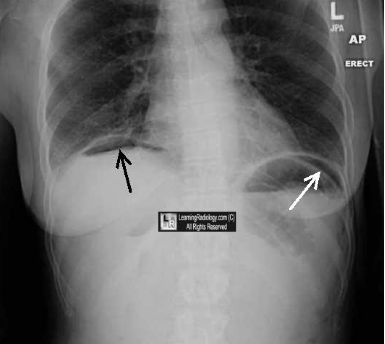
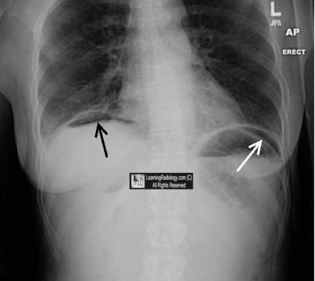
What is indicated by the black arrow?
pneumoperitoneum

What is indicated by the white arrow?
pneumoperitoneum
(see double line in the stomach shadow area)

What is 1
gastroesophageal opening
lower esophageal sphincter
sometimes called cardiac antrum/sphincter

What is 2
lesser curvature/stomach

What is 3
doudenal bulb/small intestine

What is 4
jejunum/small intestine

What is 5
pylorus
or pyloric antrum

What is 6
greater curvature/stomach

What is 7
fundus/stomach

What is 1
fundus/stomach

What is 2
duodenal bulb/small intestine

What is 3
pylorus
or pyloric antrum

What is 4
ileum/small intestine

What is 5
jejunum/small intestine