1/21
Looks like no tags are added yet.
Name | Mastery | Learn | Test | Matching | Spaced | Call with Kai |
|---|
No analytics yet
Send a link to your students to track their progress
Sound waves are measured in —-
Hertz (Hz)
What are the pros and cons of ultrasound?
Pros:
Noninvasive
Detects size, shape, and position of organs
Some distinction of the texture of organs
Dynamic nature of some organs (eg: motility of the bowel)
Cons:
Not friendly with gas or bones
Patient limits
Transducer (probe)
Piezoelectric crystal
Converts electrical energy to sound energy
Once the echo returns it converts the sound energy back to electrical energy
What is the basic principle of ultrasound?
Production of sound wave from electronic signal
Sound wave interacts with tissue interfaces and within tissue
Some sound waves are:
Reflected (Echoes)
Transmitted
Alter direction
Echoes returning to machine are analyzed and are converted into an image
What are the transducer types?
Curvilinear
Linear
Microconvex
Phased
Curvilinear
Pie shaped image
Useful in areas that are deeper
Variable frequencies and size
E.g standard sized dogs
Less detail
Linear
Rectangle shaped image
Used in small animals where we want to zoom in on small structures
More detail
Tend to be higher frequency
e.g cats
Increasing frequency →
decreases penetration
Decreasing frequency →
increases penetration
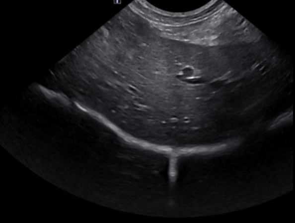
Sagittal image
Cranial to the left
Caudal to the right
Ventral at the top of image
Dorsal at bottom of image


Sagittal
Hyperechoic
(very bright) strong reflection
ex. bone, fat, calcifications, scar tissue


Transverse
Isoechoic
(same brightness): blends with surrounding tissues
Hypoechoic
(darker): weaker reflection
ex. many soft tissues
Anechoic
(black): no echoes
Example: fluid (like cysts or blood vessels)
What are the 4 transducer maneuvers?
Fanning, rocking, sliding, rotating

Liver

Kidney

Spleen

Urinary bladder

Small intestines